Cookie Consent byPrivacyPolicies.comOne shot. - Eugenol
Capture d  cran 2015 03 12 12.28 - Eugenol
chicot29

27/03/2019 à 14h23

IC ceram 23 + stellite.


--
En cas d'échec des négociations conventionnelles, seriez-vous prêt à suivre la promotion d'un déconventionnement massif de la profession par les syndicats représentatifs ? OUI - NON
Participez, anonymement, sur https://goo.gl/forms/nAO0htnsVmxotjYm1

Gbzul0je5rijv9aattfs - Eugenol
T6drmmdiet1u5j4jwdsd - Eugenol

Pierre logo clykpp - Eugenol
Denteo33

27/03/2019 à 15h39

Ah oui quand même!


Pierre logo clykpp - Eugenol
Denteo33

27/03/2019 à 15h41

Par contre, question annexe : quelle « durée de vie » donnes tu pour cette 23? Isolée, « à plat » et support de crochet?


Hok 1b hgd3rj - Eugenol
Hokusai

27/03/2019 à 15h43

impossible... une caméra c'est pas rentable !!! :))))


Capture d  cran 2015 03 12 12.28 - Eugenol
chicot29

27/03/2019 à 15h50


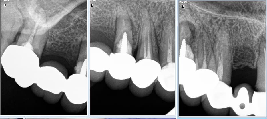
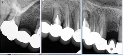
Plus longtemps que les dents restantes de l'autre coté. La patiente ne voulait pas passer au complet. Elle est au courant. Et passage au complet meme topo. One shot je me servirais de cette 23 comme base de réaccrochage de la camera. Ca s'appelle de l'efficience au sein d'un système de santé collectiviste. -)))


--
En cas d'échec des négociations conventionnelles, seriez-vous prêt à suivre la promotion d'un déconventionnement massif de la profession par les syndicats représentatifs ? OUI - NON
Participez, anonymement, sur https://goo.gl/forms/nAO0htnsVmxotjYm1

Yvenat 6 wljc49 - Eugenol

Ylfwcw979cz1jnx9gfqeaxndiuzk - Eugenol
Algi

27/03/2019 à 16h40

Chicot va falloir que tu organises des stages....


--
On a toujours le choix mais entre quoi et quoi?
Vas-y boulégue et l'avenir te le dira!


Bebe 038 nf8eum - Eugenol
danteyeah

28/03/2019 à 14h15

Idem que Chicot: Oneshot mais avec un peu plus d’éléments : 3IC, 8 CCM, 1 Stelitte. Aucune retouche autre qu’occlusale. Même Labo, c’est basique mais efficace

204bcf27 1d6f 4570 99fc 0279123961d2 occwz0 - Eugenol
B85501bc f92d 416b 9dd4 34b26de39636 osrchq - Eugenol
39f83a2a fe4c 4824 b773 e31c07e65000 hwgkan - Eugenol
95e6aaf3 4f42 4267 a85e 2945d5fb7a36 opbjrq - Eugenol
Aa48864c ea51 4af2 9e69 1f54fc8c47a1 qfcxdc - Eugenol

moi22

28/03/2019 à 14h35

quel labo?


loumi911

28/03/2019 à 15h35

Chicot rappelles moi le nom de ta cam (éra) ..?


Orezza gazeuse verre litre ocoxey - Eugenol
casa

28/03/2019 à 16h57

le titre c'est pas plutôt : one shot , one year ?


Blue eye thumb medium dx1i0w - Eugenol
bill

28/03/2019 à 17h26

danteyeah écrivait:
---------
> Idem que Chicot: Oneshot mais avec un peu plus d’éléments : 3IC, 8 CCM, 1
> Stelitte.

Le cd a une capacité d'adaptation exceptionnelle...
Je pense que la revoyure va être salée... :-))
.
--
https://docudent.fr
Tous les documents du cabinet dentaire
& l'aide à la cotation du Reste à Charge 0
________________________________________


Dprtmuluo7sk4wxn8aabgsxy7sde - Eugenol
Pervers Pépère

28/03/2019 à 17h34

casa écrivait:
----
> le titre c'est pas plutôt : one shot , one year ?

Et à ce rythme ça va être one shit.


Orezza gazeuse verre litre ocoxey - Eugenol
casa

28/03/2019 à 17h37

"Le cd a une capacité d'adaptation exceptionnelle...
Je pense que la revoyure va être salée... :-)) "

Drôle de profession quand même .....


Bebe 038 nf8eum - Eugenol
danteyeah

28/03/2019 à 23h50

Amusant les dernières réactions. Et hallucinant à quel point certaines choses chocs. Pas l’impression d’avoir posté du « shit » sur ce forum et il serait bon d’arrêter de faire les jamais content, persécuté systématiquement, et ne pas non plus prendre tout à la lettre. Le One Shot, c’est l’empreinte et la RIM à partir d’une maquette et d’un travail en amont. Vous croyez au père noël ou quoi??? Ce que la caméra économise c’est empreinte secondaire, cire d’articulé et éventuellement biscuits si le couple wax-up/mock-up est aux p’tits oignons. Exploiter une caméra et les softs qui vont avec change énormément le rythme du travail mais ne nous autorise pas à se débrancher le cerveau.
Pépère: ceux qui ont toujours fait de la merde, continueront à en faire avec ou sans caméra, ce n’est pas une technologie qui va changer leur esprit déviant, ou leur greffer enfin une main droite (je m’excuse auprès des gauchers).


Hok 1b hgd3rj - Eugenol
Hokusai

29/03/2019 à 06h03

Même si c est pas pour faire plus de chiffre, l avantage de la cam c est de faire la même chose qu avant avec plus d ergonomie plus rapidement et en se fatiguant moins... Ça veut aussi dire réduction du temps de travail a activité égale.

Sauf pour ce qui est de la précision de l empreinte et de la rim... La y a un gros gros progrès.


Capture d  cran 2015 03 12 12.28 - Eugenol
chicot29

29/03/2019 à 07h06

danteyeah écrivait:
---------
> Idem que Chicot: Oneshot mais avec un peu plus d’éléments : 3IC, 8 CCM, 1
> Stelitte. Aucune retouche autre qu’occlusale. Même Labo, c’est basique mais
> efficace

Pas mal. Attachements + augmentation de DV en plus.
--
En cas d'échec des négociations conventionnelles, seriez-vous prêt à suivre la promotion d'un déconventionnement massif de la profession par les syndicats représentatifs ? OUI - NON
Participez, anonymement, sur https://goo.gl/forms/nAO0htnsVmxotjYm1

Capture d écran 2019 03 29 07.03 - Eugenol

Capture d  cran 2015 03 12 12.28 - Eugenol
chicot29

29/03/2019 à 07h32

Pervers Pépère écrivait:
--------------
> casa écrivait:
> ----
> > le titre c'est pas plutôt : one shot , one year ?
>
> Et à ce rythme ça va être one shit.

Ben écoutes on fait ce qu'on peut pour réduire le temps consacré à la prothèse pour rattraper le déficit généré par les endos et les soins payés à coup de trique par la sécu. Tu préfèrerais que je gagne du temps sur l'endo ? Je recommence : one shot. -)))
--
En cas d'échec des négociations conventionnelles, seriez-vous prêt à suivre la promotion d'un déconventionnement massif de la profession par les syndicats représentatifs ? OUI - NON
Participez, anonymement, sur https://goo.gl/forms/nAO0htnsVmxotjYm1

Guel s 2 ottrai - Eugenol
Guel s1 efq2h3 - Eugenol
Guell s rmftfa - Eugenol

Capture d  cran 2015 03 12 12.28 - Eugenol
chicot29

29/03/2019 à 07h36

Ca te pousse à t'améliorer en fixe : t'évites de toucher la gencive pendant tes tailles : moins ca saigne mieux c'est.


--
En cas d'échec des négociations conventionnelles, seriez-vous prêt à suivre la promotion d'un déconventionnement massif de la profession par les syndicats représentatifs ? OUI - NON
Participez, anonymement, sur https://goo.gl/forms/nAO0htnsVmxotjYm1


Capture d  cran 2015 03 12 12.28 - Eugenol
chicot29

29/03/2019 à 07h40

Dis Pervers pourquoi tu utilises un silicone le plus hydrophile possible. ? Expliques. -))))
--
En cas d'échec des négociations conventionnelles, seriez-vous prêt à suivre la promotion d'un déconventionnement massif de la profession par les syndicats représentatifs ? OUI - NON
Participez, anonymement, sur https://goo.gl/forms/nAO0htnsVmxotjYm1


Hok 1b hgd3rj - Eugenol
Hokusai

29/03/2019 à 07h44

bill écrivait:
----
> danteyeah écrivait:
> ---------
> > Idem que Chicot: Oneshot mais avec un peu plus d’éléments : 3IC, 8 CCM, 1
> > Stelitte.
>
> Le cd a une capacité d'adaptation exceptionnelle...
> Je pense que la revoyure va être salée... :-))
> .

C est surtout la dent qui va prendre cher... La seule rentabilité sera de la tailler au max... Tu parles d une connerie.
La modernité ce serait le no post no crown... Nous en France on vient de créer le full post full crown... :)))


Capture d  cran 2015 03 12 12.28 - Eugenol
chicot29

29/03/2019 à 07h51


T'es resté à l'argentique en radios parce que c'est de meilleur qualité ? -)))

--
En cas d'échec des négociations conventionnelles, seriez-vous prêt à suivre la promotion d'un déconventionnement massif de la profession par les syndicats représentatifs ? OUI - NON
Participez, anonymement, sur https://goo.gl/forms/nAO0htnsVmxotjYm1


Capture d  cran 2015 03 12 12.28 - Eugenol
chicot29

29/03/2019 à 07h53

Hokusai écrivait:
-------
> bill écrivait:
> ----
> > danteyeah écrivait:
> > ---------
> > > Idem que Chicot: Oneshot mais avec un peu plus d’éléments : 3IC, 8 CCM, 1
> > > Stelitte.
> >
> > Le cd a une capacité d'adaptation exceptionnelle...
> > Je pense que la revoyure va être salée... :-))
> > .
>
> C est surtout la dent qui va prendre cher... La seule rentabilité sera de la
> tailler au max... Tu parles d une connerie.
> La modernité ce serait le no post no crown... Nous en France on vient de créer
> le full post full crown... :)))

Voilà ce qui se passe quand tu fais coller tes honoraires aux remboursements des assureurs. Surtout si il sont mauvais les assureurs. Alors forcément ça déteint.
--
En cas d'échec des négociations conventionnelles, seriez-vous prêt à suivre la promotion d'un déconventionnement massif de la profession par les syndicats représentatifs ? OUI - NON
Participez, anonymement, sur https://goo.gl/forms/nAO0htnsVmxotjYm1


Vw campersurfvan bmnk1q - Eugenol
enlaye

29/03/2019 à 07h58

faire un stellite de grande portée associé à de la fixe ç est un enfer .
ç est la prothese de tres loin la plus intellectuelle .
pcq on la fait à l envers , tout simplement :-)) eh oui ,on a pas le choix en travail classique :-)

il faudrait pouvoir commencer par le stellite
( puisque ç est lui qui te donne la RIM +le volume de l arcade dentaire etc )
et mettre ensuite , les couronnes dans les espaces disponibles .


or ce n est pas possible pcq le stellite dépend des couronnes .

donc il faut pouvoir conceptualiser virtuellement le truc final , en démonter mentalement les séquences , pour pouvoir démarrer à l envers finalement .
alors , va demander ça à un proto , mouhahaha , mission impossible
d autant plus impossible u il y a 2 corps de métiers :
- il y a celui qui fait la fixe qui se prend pour un Mia et qui s en branle de la mobile qui pour lui est un sous-metier .
- et celui qui fait la mobile qui lui est effectivement le resigné de la profession des prothésistes pcq on lui a fait croire qu il est abruti .

vas demander à 2 idiots de conceptualiser un truc ensemble :-))
et toi t es au milieu avec un gros gourdin , et tu ne sais plus sur qui taper en premier :-)
a tel point , que pour des cas comme ça , ben , je fais plus de stellite .
je fais une PPA puis je fais un trou dedans et j y plante une couronne apres . et marre .
alors qu avec la machine informatique …….. effectivement ...tout peut changer .







Dprtmuluo7sk4wxn8aabgsxy7sde - Eugenol
Pervers Pépère

29/03/2019 à 07h59

Faites pas vos sucrées les gars, soyez pas vexés, je réagissais en faisant un jeu de mot sur le fait qu'il y a quand même une compét' sur : moi avec mon jouet j'ai fait X couronnes + un stellite et l'autre, ben moi X+ ..., bientôt c'est un menu de resto chinois.
Après il est bien entendu qu'ici on fait tous de l'exxxcellent travail et que ceux qui faisant de la merde vont continuer.


Dprtmuluo7sk4wxn8aabgsxy7sde - Eugenol
Pervers Pépère

29/03/2019 à 08h09

chicot29 écrivait:
--------
> Dis Pervers pourquoi tu utilises un silicone le plus hydrophile possible. ?
> Expliques. -))))

Parce que c'est mieux quand c'est mouillé.


12