Cookie Consent byPrivacyPolicies.comDétartrage - Eugenol

Détartrage

Utilisateur banni

13/04/2019 à 12h00

Détartrage : acte de détartrer , enlever du tartre

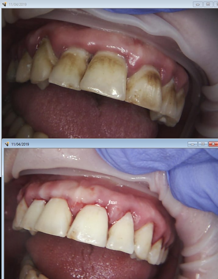
Comme toute coloration de tabac de café de thé n’est pas du tartre , il me paraîtrait tout à fait normal que le fait de virer ces colorations soit payé avec un surplus substantiel. (En dehors d’un polissage ou d’une désensibilisation)


--
Qu’on me donne l’envie, l’envie d’avoir envie


RépondreCiter
moritooth

13/04/2019 à 13h21

Question déjà largement évoquée lors de la mise en place de la CCAM en 2014...

Le libellé exact de l'acte HBJD001 est :"Détartrage ET polissage des dents"

Donc toutes les techniques de polissage, fussent-t-elle "aero" sont incluses dedans.

Maintenant si tu enlèves ces taches, autrement que par une technique utilisant un polissage, alors effectivement on peut envisager un supplément HN.


Ylfwcw979cz1jnx9gfqeaxndiuzk - Eugenol
Algi

13/04/2019 à 14h16

Si tu les frottes en les laissant pas trop lisses c'est pas poli.....

Nr pour un truc pas fini..... C'est malpoli de le faire ?




--
On a toujours le choix mais entre quoi et quoi?
Vas-y boulégue et l'avenir te le dira!


Utilisateur banni

13/04/2019 à 14h26

Pour moi polissage = rendre plus lisse
Ça ne veut pas dire enlever des tâches.

Quand t’as un patient qui est fumeur , tu ne détartres pas, tu ne polis pas, tu enlèves des tâches.
C’est par conséquent un acte purement esthétique

--
Qu’on me donne l’envie, l’envie d’avoir envie


RépondreCiter
moritooth

13/04/2019 à 16h25

En pratique c'est quoi ta technique pour enlever les taches ?


Utilisateur banni

13/04/2019 à 16h58

Et bien je dois bien avouer que dans la majorité des cas , j’enlève les traces de tabac etc etc avec des inserts à ultrason


--
Qu’on me donne l’envie, l’envie d’avoir envie


RépondreCiter
Eikichi

13/04/2019 à 18h10

La vraie question est est ce que l on peut t en vouloir d avoir laissé des taches....?




Dprtmuluo7sk4wxn8aabgsxy7sde - Eugenol
Pervers Pépère

13/04/2019 à 18h43

J'avais déjà soulevé ce problème :

https://www.eugenol.com/sujets/418977-astuce-cotation-taches-nicotine

et Pluton avait soumis ça :

HBMD005 Eclaircissement des dents pulpées NPC

ce qui semble pas mal.



Capture d  cran 2015 03 12 12.28 - Eugenol
chicot29

13/04/2019 à 19h32

Eikichi écrivait:
-------
> La vraie question est est ce que l on peut t en vouloir d avoir laissé des
> taches....?
>
>
>
Si on t'en veut c'est simple : plus de détartrage. Cupules à finir enhance pour virer les taches.

--
En cas d'échec des négociations conventionnelles, seriez-vous prêt à suivre la promotion d'un déconventionnement massif de la profession par les syndicats représentatifs ? OUI - NON
Participez, anonymement, sur https://goo.gl/forms/nAO0htnsVmxotjYm1

Detartrage cupules enhance uecfak - Eugenol

Eikichi

14/04/2019 à 01h42

Ca me plait HBMD005 Eclaircissement des dents pulpées NPC

Tu penses qu il faut faire un devis avant c est mieux non ?

@chicot bluffant tes cupules, ça abime un peu l émail non ? tu factures combien ?


moritooth

14/04/2019 à 10h26

Pour revenir au sujet, c'est vrai qu'il n'y a rien de plus chiant que de décaper un nicotineux. En général, je ne le propose qu'à ceux qui arrêtent de fumer, et de toute façon dans une séance autre que c'elle du "detartrage-polisssage", pour bien dissocier les deux choses. En général quand tu fais le devis oralement en appliquant ton simple tarif horaire, en NR biensûr, y'a beaucoup moins de candidat !

Il vaut mieux qu'ils mettent leurs sous de côté pour financer le futur traitement paro dont ils vont avoir besoin !!


Capture d  cran 2015 03 12 12.28 - Eugenol
chicot29

14/04/2019 à 11h05

Eikichi écrivait:
-------
> Ca me plait HBMD005 Eclaircissement des dents pulpées NPC
>
> Tu penses qu il faut faire un devis avant c est mieux non ?
>
> @chicot bluffant tes cupules, ça abime un peu l émail non ? tu factures combien
> ?
28,92.

--
En cas d'échec des négociations conventionnelles, seriez-vous prêt à suivre la promotion d'un déconventionnement massif de la profession par les syndicats représentatifs ? OUI - NON
Participez, anonymement, sur https://goo.gl/forms/nAO0htnsVmxotjYm1


Vw campersurfvan bmnk1q - Eugenol
enlaye

14/04/2019 à 11h06

Deja , que je paye des impots pour laver une grognasse , c est contrariant , mais qu en plus on m oblige a la laver pour 29 c est enervant.


Capture d écran 2018 05 16 à 21.30 - Eugenol
Daryl

14/04/2019 à 11h07

Eikichi écrivait:
-------
> Ca me plait HBMD005 Eclaircissement des dents pulpées NPC
>
> Tu penses qu il faut faire un devis avant c est mieux non ?
>

Moi aussi j'utilise avec tact et mesure ce code NPC : HBMD005 , chez les gros fumeurs par exemple... Le devis doit se faire, il me semble, si l'acte NPC est supérieur à 70 euros.


Vw campersurfvan bmnk1q - Eugenol
enlaye

14/04/2019 à 11h09

Non non , le coup des 70 c est une connerie :-)


Capture d écran 2018 05 16 à 21.30 - Eugenol
Daryl

14/04/2019 à 11h14

enlaye écrivait:
------
> Non non , le coup des 70 c est une connerie :-)

Ah bon ??? Donc on ne fait pas devis sauf pour un 90/60/90, c'est ça l'histoire ??


Vw campersurfvan bmnk1q - Eugenol
enlaye

14/04/2019 à 11h17

Normalement il faudrait un devis pour tout :-)


moritooth

14/04/2019 à 11h21

Daryl écrivait:
-----
Le devis doit se faire, il me semble, si l'acte NPC est
> supérieur à 70 euros.

Oui, le devis doit se faire, et dés le PREMIER euro.

L'histoire des 70€, c'est pour un acte nécessitant impérativement une exécution dés le premier rendez-vous, ne permettant donc pas l'information et le délais de réflexion du patient. En fait ce seuil a été mis en place pour les médecins secteur 2, afin d'éviter que les consultations deviennent impossibles. En pratique chez nous il ne s'applique quasiment jamais, sauf éventuellement pour une rep urgente que tu fais toi-même extemporanément au cabinet ( parce que si passe par le labo bin c'est plus le premier RDV...) et pour lequel tu prendrais moins de 70€.


Capture d écran 2018 05 16 à 21.30 - Eugenol
Daryl

14/04/2019 à 11h58

ok merci moritooth :))))


Ba2be871 3220 4edb a5bc d126045cb763 jy2fsv - Eugenol
cyber ratiches

14/04/2019 à 18h11


Voici des précisions intéressantes concernant les actes non pris en charge de la ccam avec lesquels nous ne sommes pas toujours à l'aise vis à vis du patient.
J'ai pris des dispositions par rapport à ce texte:

* Information sur la banque d'accueil du cabinet.
* Formulaire d'information écrit à faire signer par le patient ( Ne pas confondre avec un devis...)
.
Il faut rappeler l’extrait de l’article L 1111-3 concerné : « Une information écrite préalable précisant le tarif des actes effectués ainsi que la nature et le montant du dépassement facturé doit être obligatoirement remise par le professionnel de santé à son patient dès lors que ses honoraires dépassent un seuil fixé par arrêté des ministres chargés de la santé et de la sécurité sociale, sauf si le professionnel prescrit un acte à réaliser lors d’une consultation ultérieure, auquel cas il est tenu de remettre à son patient l’information préalable susmentionnée, y compris si ses honoraires sont inférieurs au seuil fixé par l’arrêté précité. L’inobservation de cette obligation peut faire l’objet d’une sanction financière égale au dépassement facturé, mise en oeuvre selon la procédure mentionnée à l’article L 162-1-14 du code de la Sécurité sociale ».

Cet arrêté ne concerne pas seulement les médecins, mais bien tous les professionnels de santé. Il est aussi très clair : l’information écrite est remise pour tous les actes supérieurs à 70 euros avant leur réalisation et pour tous les actes, même ceux dont le prix est inférieur à 70 euros, s’il est prévu de les réaliser lors d’une consultation ultérieure. Ces dispositions concernent aussi bien les actes pris isolément que les associations d’actes.

Les obligations légales de cette information écrite ne doivent pas être confondues, comme on l’entend souvent de façon abusive, avec celles liées à un devis. Ce terme n’est pas utilisé dans le code de la santé publique. Il pourrait être d’ailleurs déconseillé aux praticiens de porter la mention « devis » sur cette information écrite sur les honoraires. Cette dénomination doit être réservée aux actes de chirurgie esthétique, conformément aux dispositions de l’article L 6322-2 de ce même code. La remise de l’information écrite sur les honoraires au-delà de 70 euros ou pour tout acte à réaliser lors d’une consultation ultérieure n’est, par exemple, pas soumise concomitamment à un délai minimum entre celle-ci et l’exécution de l’acte. Ce délai est d’au minimum quinze jours pour les actes de chirurgie esthétique (Art. D 6322-30). Le soignant n’a donc aucun intérêt à accroître les obligations qui pèsent sur lui en inscrivant « devis » sur ce qu’il remet au patient conformément aux nouvelles dispositions du code de la santé publique. Une telle pratique pourrait avoir une influence sur la jurisprudence dans ce domaine.

Pour le chirurgien-dentiste, l’article R 4127-240 du code de la santé publique précisait déjà que lorsqu’il « est conduit à proposer un traitement d’un coût élevé, il établit au préalable un devis écrit qu’il remet à son patient ». Doit-on considérer que le « coût élevé » doit être assimilé aux 70 euros ? Cela impliquerait des obligations supplémentaires pour cette profession.

Une autre obligation existe pour le médecin et le chirurgien-dentiste. Elle est stipulée à l’article L 162-1-9 du code de la Sécurité sociale : « Lorsqu’un chirurgien-dentiste ou médecin fait appel à un fournisseur ou à un prestataire de services à l’occasion de la réalisation des actes pris en charge par les organismes d’assurance maladie, il est tenu de fournir au patient un devis préalablement à l’exécution de ces actes puis une facture lorsque ces actes ont été réalisés […] ».

--
•La chose la plus importante dans la communication est d'entendre ce qui n'a pas été dit. (Peter F. Drucker)


Ba2be871 3220 4edb a5bc d126045cb763 jy2fsv - Eugenol
cyber ratiches

14/04/2019 à 18h17

A la lecture de l'article il ne faut pas intituler ce document écrit comme un " devis ".

Ici il s'agit d'une " Information ". Subtilité qui à son importance.

Pour l'acte NPC réalisé à la volée il doit aussi faire l'objet d'une information écrite si il atteint les 70€.
Conséquence : En dessous de 70€ on ne peut rien te reprocher officiellement; Bien sur c'est mieux de prévenir oralement.

--
•La chose la plus importante dans la communication est d'entendre ce qui n'a pas été dit. (Peter F. Drucker)


Carie Grant

14/04/2019 à 18h20

moritooth écrivait:
---------
> Daryl écrivait:
> -----
> Le devis doit se faire, il me semble, si l'acte NPC est
> > supérieur à 70 euros.
>
> Oui, le devis doit se faire, et dés le PREMIER euro.
>
> L'histoire des 70€, c'est pour un acte nécessitant impérativement une exécution
> dés le premier rendez-vous, ne permettant donc pas l'information et le délais de
> réflexion du patient.

Ce que tu dis, moritooth, semble en contradiction avec ce qui est stipulé sur l'avant-dernière phrase du document à afficher en salle d'attente ( sources : ONCD / Docudent.fr ) ….


Utilisateur banni

14/04/2019 à 18h36

Je pense désormais :
- qu’ étant donné ils se sont amusés à mettre des plafonnements, il ne faut plus RIEN laisser passer . Il faut tout coter sans exception, patient sympa ou non . Et Ça commence dès les actes à la con comme le détartrage. Si il y a des tâches : ça n’est pas du tartre , ça n’est pas un détartrage ni un polissage mais un acte purement esthétique.
- ça commence dès le coup de téléphone pour la prise de RDV . « Oui je voudrais un rdv pour un détartrage » , l’assistante doit demander si c’est pour un détartrage classique ou si il faut enlever des traces de tabac, thé, café... auquel cas un supplément sera demandé avec remise en main propre d’un devis (ou information écrite)


--
Qu’on me donne l’envie, l’envie d’avoir envie


Utilisateur banni

14/04/2019 à 18h51

Et surtout je ne vois pas pourquoi ça serait le même tarif pour celui sur lequel on est obligé de passer plus de temps pour enlever des tâches. Le patient qui fume , sait qu’il y aura des tâches et que ce n’est pas du tartre mais des traces de tabac par exemple


--
Qu’on me donne l’envie, l’envie d’avoir envie


mr smith

14/04/2019 à 21h30

Jauni Holliday écrivait:
--------------
" Le patient qui fume , sait qu’il y aura des tâches et que ce n’est pas du tartre mais des
traces de tabac par exemple "

Elle me fait la semaine celle là ! ;o)


12