Tous les forums
reaction à l endo ?
25/04/2019 à 13h01
bonjour , j essaye de comprendre le pourquoi de cette reaction si importante et si rapide :
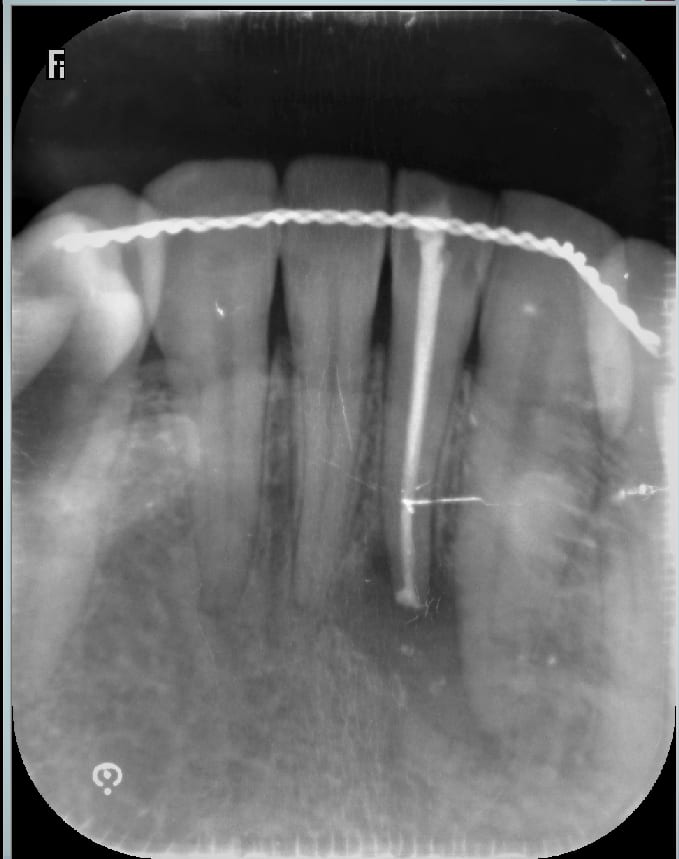
- acte 1 la dent est necrosée , asymptomatique , et lors d un contrôle det , une radio est prise . suite à une image à l apex , l' endo est faite , . , sans anesthesie . ok .
à un moment quand meme , il y a eu une grosse douleur électrique .
le résultat radio est plutôt sympa .
- acte 2 une petite boule blanche est apparue le lendemain , soit
- acte 3 du coup 2 jours apres , une anesthésie a eté faite autour de la boule fistulisante , et avec des compresses , la boule a eté crevée et esquichéé en appuyant bien fort pour bien faire tout sortir . ( !? )
mais ce qui m inquiète , ç est :
1/ l aspect que ça a
2 / une mega douleur au froid sur cette dent qui lui prend tout le menton comme une ligne verticale
je pense à une brulure au paroex pour l aspect blanc filandreux , et probablement à un double canal resté vivant pour ce qui est de la douleur au froid .
et puis probablement qu en esquichant la pression du pus a du décoller les plans muquex .
mais quand meme !
j ai passé un p'tit coup de fil a sa mere ce matin , il parait que ç est encore plus blanc malgré l arrêt du paroex depuis vendredi .
25/04/2019 à 13h15
çà serait pas plutôt un escarre dû à ton anesthésique?
çà devrait rentrer dans l'ordre dans quelques jours....
25/04/2019 à 13h24
à l anesthésique ?
possible , il parait qu on lui a fait plein de piqures tout autour de la " boule " apparue apres l endo .
" çà devrait rentrer dans l'ordre dans quelques jours.... " oui , ça ç est ce que je lui ai dit , mais apparemment ce n est pas le cas .
ce qui est sur ç est qu elle ne veut plus retourner voir sa dentiste , elle a fait un aller retour en avion pour me montrer ça , et moi je lui conseille quoi ?
pcq à tout les coups il y a 2 canaux pour cette putain de douleur au froid qui l empêche de manger .
25/04/2019 à 13h27
sont con aussi ces gonzesse , faut tjs qu elles esquichent , peuvent pas s empêcher , alors que d aspirer suffirait .:-)
25/04/2019 à 13h36
enlaye écrivait:
------
> elle a fait un aller retour en avion pour me montrer ça , et moi je lui conseille quoi ?
Si elle est mignonne, elle peut rester, sinon qu'elle prenne le train ?
25/04/2019 à 13h39
verifie par des inicidences variées l'existence d'un 2e canal
sinon avoue ton incompréhension et adresse en chu
25/04/2019 à 13h39
Ça ressemble effectivement à une lésion ischémique.
A voir aussi si le périoste a pas été ramoné par l'aiguille durant l'anesthésie.
Grande idée aussi de trituer une fistule. Un abcès ne s'incise que pour drainer en cas de collection bien localisée, dans une visée antalgique.
25/04/2019 à 13h49
Peeling (j'ai aussi une copine esthéticienne :-) à la compresse ou aux rouleaux de coton? Voir aussi s'il n'y a pas eu remède de mère grand ?
25/04/2019 à 14h01
Pervers Pépère écrivait:
--------------
" Si elle est mignonne, elle peut rester, sinon qu'elle prenne le train ? "
pfff , ce genre de bestiole ça prend pas le train :-)
genre la trentaine bonne comme le pain , mais Parisienne , tu vois ?, que ça parle vite tout en remuant , qu on croit tjs qu elle a envie de pisser :-)
25/04/2019 à 14h08
lachmar écrivait:
-------
" adresse en chu "
mais encore ? voir un stomato à l hosto ??
25/04/2019 à 14h10
Tu lui as demandé si elle ne s’ était pas appliquée un cachet d’aspirine contre la muqueuse ? Elle n’a rien appliqué sur sa gencive ? Étant donné que c’est une femme ça peut être ça.
Ou peut-être s’est elle mise un cachou lajaunie ou autre chose ?
--
Qu’on me donne l’envie, l’envie d’avoir envie
25/04/2019 à 14h15
vulpi écrivait:
-----
" j'ai aussi une copine esthéticienne :-) "
ah voila aut' chose :-))
" à la compresse ou aux rouleaux de coton? "
à la compresse , en appuyant à mort ! tu t y connais toi ? en esquichade ? :-))
25/04/2019 à 14h35
enlaye écrivait:
------
> vulpi écrivait:
> -----
> " j'ai aussi une copine esthéticienne :-) "
> ah voila aut' chose :-))
Nan mais si j'te les présente toutes tu vas plus t'y retrouver:-))
>
> " à la compresse ou aux rouleaux de coton? "
> à la compresse , en appuyant à mort ! tu t y connais toi ? en esquichade ? :-))
Parfois chez un patient qui si prête tu peux éplucher l'épithélium, il faut muqueuse sèche, ta compresse ou ton coton va "coller" et enlever la couche superficielle, après sa ressemble à ton truc sur la zone "décollée", c'est douloureux et guérit lentement mais surement.
Quand tu enlèves la compresse tu sens que ça colle.
25/04/2019 à 14h56
Pour le froid t'es sur c'est la latérale qui fait mal et pas la canine dont l'apex est très proche de la lésion apicale ?
Et puis cette contention....
Concernant une éventuelle ischémie c'est louche car concerne surtout la muqueuse de la lèvre.... Et pas tellement la gencive attachée.
C'est quoi a droite en bouche ? Un hématome ?
Ça fait plus penser à une brûlure ou une réaction à un produit irritant ou à un peeling comme décrit par vulpi... Ou les trois...
--
On a toujours le choix mais entre quoi et quoi?
Vas-y boulégue et l'avenir te le dira!
25/04/2019 à 15h02
ahh oui ! elle se serait faite pelé comme un oignon :-) bien vu .
ça + l anesthesie tout azymuth , effectivement .
donc , pour resumer , je la rappelle et j'y dit :
ç est pas grave , fallait pas se faire ramoner ( Aspius) tout en se faisant peler l oignon ( Vulpi ) , et encore moins se mettre un cachou par derriere ( aque Jauni ) , tout ça pour une petite fistule de rien du tout . et quant à la douleur au froid , faudra demander à ce que l on vous bouche bien les 2 canaux en meme temps si nécessaire .
j ai bon ? :-))
25/04/2019 à 15h08
Les deux canaux en même temps.... Ça m'intéresse... Tu m'esplique ?
--
On a toujours le choix mais entre quoi et quoi?
Vas-y boulégue et l'avenir te le dira!
25/04/2019 à 15h08
Mais pas à sec....
--
On a toujours le choix mais entre quoi et quoi?
Vas-y boulégue et l'avenir te le dira!
25/04/2019 à 23h40
1) il n'y a pas de deuxième canal.
2) cette nouille, s'est fait des compresses à l'alcool sur son abcès et elle ne te l'a pas dit.
3) elle n'a pas pris l'avion pour venir te voir mais parce-que c'est les vacances de la région parisienne. Elle s'imaginait descendre vers le soleil et il pleut tellement que je ne peux pas faire mes vernis !
Bien fait pour elle !
PS: il ne devrait plus pleuvoir demain, envoie la moi au bateau je vais lui obturer moi son deuxième canal, entre deux coups de pinceau...
--
Schooner For Ever
26/04/2019 à 00h51
rapelapente écrivait:
-----------
" 2) cette nouille, s'est fait des compresses à l'alcool sur son abcès et elle ne te l'a pas dit. "
hummm fort possible . il est fort en femme ce Rap :-))
ah fait j avais oublié , elle est aussi allé aux urgences Parisiennes , ( tout ça dans les 3jours suite a l acte 1 ) et ils lui ont dit , heu je ne sais pas tres bien ce qu ils lui ont dit , si ce n est que la dentiste avait bien bossé sur la dent , ce que j ai confirmé aussi .
26/04/2019 à 01h05
en tout cas je lui ai expliqué la moralité de son histoire :
" il faut arreter de nous faire chier avec vos détartrages à la con sinon ça peut mal tourner "
"" comment ca ?? ""
" ben tu comprends bien que passer 1 demi heure pour 29e ce n est juste pas possible , hein tu le comprends ça ? alors on va tjs te trouver un truc a faire en plus . bon ,là encore ,tu t en sors bien pcq elle a bien bossé la Gonzesse , estimes toi heureuse , aller la bise , et te fais pas de bile "
26/04/2019 à 08h20
Elle passe à quelle heure au bateau pour le 4eme avis ?
--
Schooner For Ever
26/04/2019 à 08h58
Eh ben mon coquin , on s’est fait plaisir à ce que je vois. On a tout donné.
--
Qu’on me donne l’envie, l’envie d’avoir envie