Cookie Consent byPrivacyPolicies.comMuqueuse gingivale tatouée - Eugenol

Muqueuse gingivale tatouée

6szjws718sv1jksw54v4mpj3a6cu - Eugenol
vulpi

03/05/2019 à 11h34

Pour les pigmentations ethniques, cela vient principalement de la mère... les asias ont une tache bleue en bas du dos, pour les blacks ce genre de tatouage sur la gencive... mais c'est quasi toujours lié aux origines de la mère.
Ethnique, ta mère.


Vw campersurfvan bmnk1q - Eugenol
enlaye

03/05/2019 à 11h57

:-))


6szjws718sv1jksw54v4mpj3a6cu - Eugenol
vulpi

03/05/2019 à 13h21

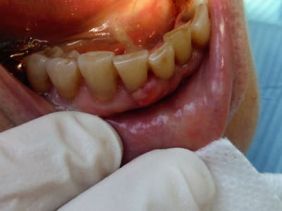
Jolis tori... c'est une femme, quand elle serre, elle serre.

Img 20190503 115657 q8vpb3 - Eugenol

6szjws718sv1jksw54v4mpj3a6cu - Eugenol
vulpi

03/05/2019 à 13h31

Vue de dessus.

Img 20190503 115610 ffdbxf - Eugenol

6szjws718sv1jksw54v4mpj3a6cu - Eugenol
vulpi

03/05/2019 à 14h49

Ne pas oublier, tout ce qui est tatoué et à moi.


Dprtmuluo7sk4wxn8aabgsxy7sde - Eugenol
Pervers Pépère

03/05/2019 à 14h55

vulpi écrivait:
-----
> Ne pas oublier, tout ce qui est tatoué et à moi.

Tatoué toi, tu parles trop.


6szjws718sv1jksw54v4mpj3a6cu - Eugenol
vulpi

03/05/2019 à 15h06

Là en revanche... je sèche.

Dscf3073 2 yrhkms - Eugenol

6szjws718sv1jksw54v4mpj3a6cu - Eugenol
vulpi

03/05/2019 à 15h12

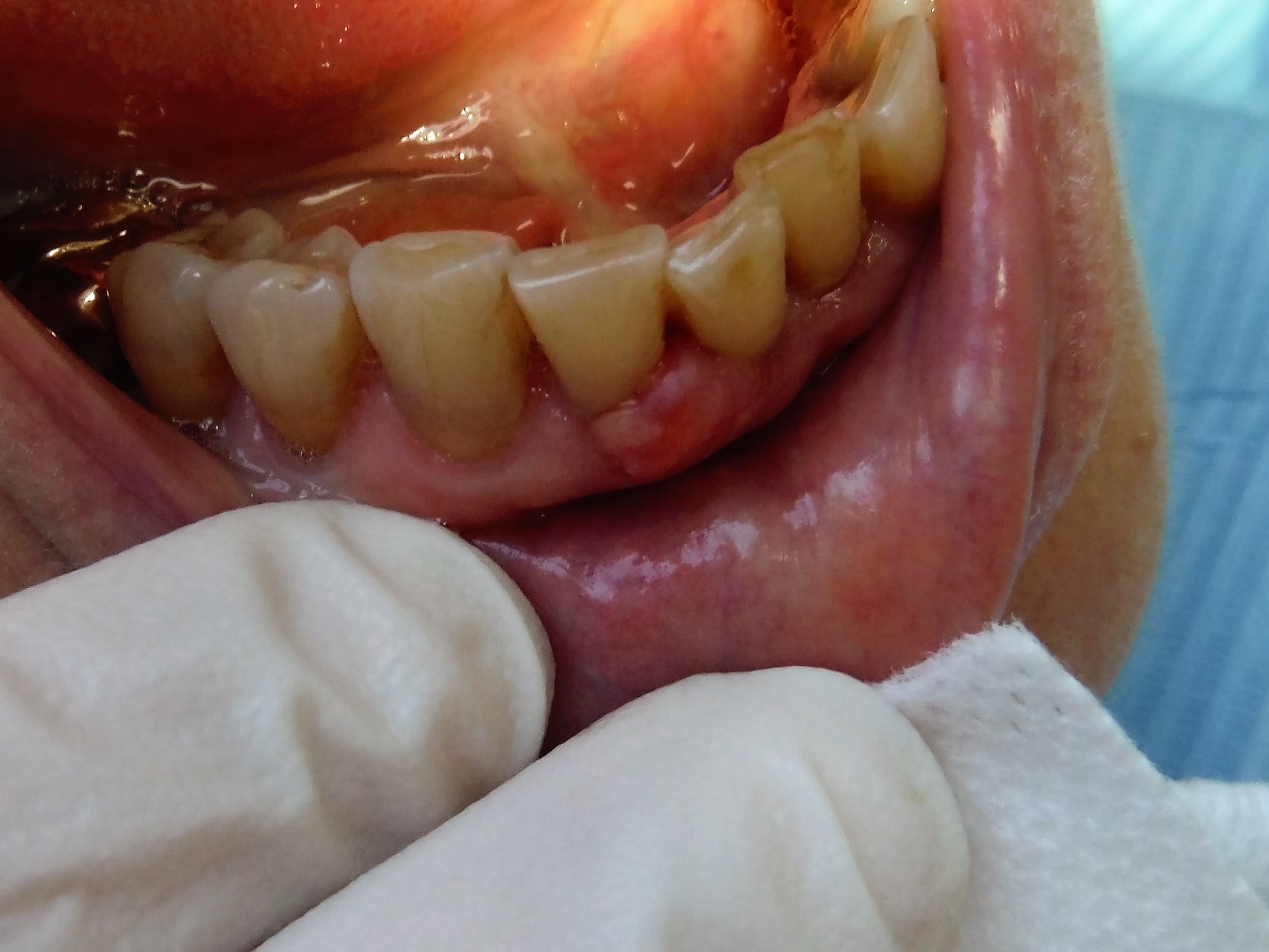
Avec une compresse pour mieux y voir:-)


Utilisateur banni

03/05/2019 à 15h54

vulpi écrivait:
-----
> Jolis tori... c'est une femme, quand elle serre, elle serre.

T’aurais pas positionné tes testicules dans le plâtre pour faire deux petites boules?

On ne voit pas , ta deuxième photo est floue .

--
Qu’on me donne l’envie, l’envie d’avoir envie


6szjws718sv1jksw54v4mpj3a6cu - Eugenol
vulpi

03/05/2019 à 15h57

Et le bobo à la gencive t'en dis quoi ?
T'as une heure pour y réfléchir... travail ☹️


Utilisateur banni

03/05/2019 à 15h59

Ta photo est floue ! Comment veux tu que je te dise?! Quand je zoome (zoom zen) ça devient flou

--
Qu’on me donne l’envie, l’envie d’avoir envie


6szjws718sv1jksw54v4mpj3a6cu - Eugenol
vulpi

03/05/2019 à 16h01

Imagine!

Dscf3075 xeeon3 - Eugenol

Utilisateur banni

03/05/2019 à 16h03

Diapneusie


--
Qu’on me donne l’envie, l’envie d’avoir envie


6szjws718sv1jksw54v4mpj3a6cu - Eugenol
vulpi

03/05/2019 à 16h05

Allez, pas la même teinte, pas la même forme, forme irrégulière d'ailleurs, mal délimité, apparition récente et évolutive.


6szjws718sv1jksw54v4mpj3a6cu - Eugenol
vulpi

03/05/2019 à 16h06

Patiente fumeuse...
Je suis... Je suis...


Utilisateur banni

03/05/2019 à 16h07

C’est un carcinome
En même temps on voit rien , y a que le prélèvement qui peut nous dire
On est pas chez questions pour un champion :)


--
Qu’on me donne l’envie, l’envie d’avoir envie


6szjws718sv1jksw54v4mpj3a6cu - Eugenol
vulpi

03/05/2019 à 16h10

le prélèvement a parlé, carcinome épidermoîde, bad news...
la photo est pas top... 2017 apn de plage, mais la plupart du temps ça ressemble à rien un carcinome.


12