Cookie Consent byPrivacyPolicies.comExpulsion 21 - Eugenol
Vw campersurfvan bmnk1q - Eugenol
enlaye

22/06/2019 à 09h08

professeur-labiche- écrivait:
-------------------
" Si il y a contrôle régulier je ne vois pas où est le problème."

le pb ç est que le gonz qui lui a mis l implant devant lui a pris beaucoup de pognon , et qu il en est fier . alors quand on lui dit que ç est moche des années plus tard , il le prend mal :-))

au delà de la croissance , l' os se modifie en permanence , que ce soit devant ou derrière d'ailleurs , mais quand ç est derrière , on s en moque pcq ça ne se voit pas :-))


Utilisateur banni

22/06/2019 à 09h33

Si tu ne mets pas d’implant plus tard , c’est pour le coup que l’os va se résorber puisque non sollicité et créer une concavité moche par la suite


--
Palme d’or de l’académie, Auteur du best-seller « I have mal aux teeth » traduit en 27 langues, Lion d’or greffe du fémur à la mandibule


Vw campersurfvan bmnk1q - Eugenol
enlaye

22/06/2019 à 09h54

oui , bien sur .
mais les gens pensent qu en payant , ou en se faisant payer :-))) , on fait des miracles , ( avec ou sans implant peu importe ).
alors qu il suffit d admettre que l on ne peut pas remplacer le naturel et tout va bien :-)


1 eugenol dmj5np - Eugenol
Dancha

22/06/2019 à 12h30

enlaye écrivait:
------
> ah mais on s en fout de l apexification , tu enleves la dent , tu mets un
> bouchon à l apex avec ce que tu veux de la gutta ou mieux de l irm ,
> éventuellement tu remplis le canal , tu curettes bien l alveole , et tu remets
> la dent . quand ça prend ça dure des années . jusqu'à l' implant .
>
> le pb ici ç est que la 1ere réimplantation ait eu lieu 17h après , ce qui est
> très défavorable (.risalyses )

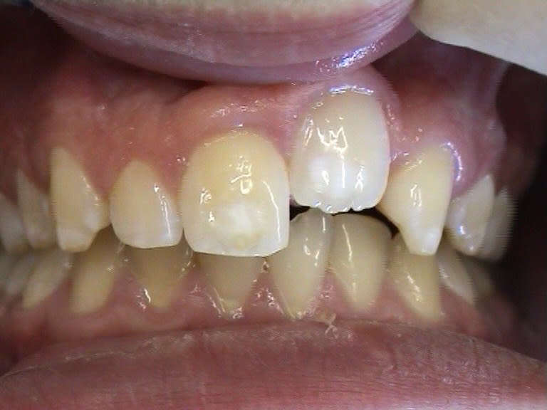
Le problème n’est pas de risquer une rizalyse, mais une ankylose, comme ici (image).
C’est le cas d’un adolescent qui avait explosé 21 et 22 quand il était petit. Sa 21 avait été réimplantée, pas sa 22. L’orthodontiste qui l’avait par la suite traité avait très justement mésialé l’arcade supérieure gauche pour fermer l’espace de 22, puis avait dit qu’il ne pouvait rien faire de plus. Ce garçon a 14 et n’ose plus sourire.
Le praticien consulté pour mettre un implant est venu me voir avec les moulages et m’a dit : « regarde ça, ton confrère orthodontiste me dit qu’il ne peut plus rien faire ! Et moi, qu’est ce tu veux que je fasse avec un cas pareil ? »
Et vous, que feriez- vous ?

Daniel

Ankylose 21 vmlshf - Eugenol

Nouveau image bitmap fz77zh - Eugenol
Sethef

22/06/2019 à 12h43

Sur un cas similaire, une 6 incluse ankylosée, j'ai vu mon implanto pratiquer une mobilisation+pose d'une chainette, là on n'a pas la radio mais ça semble envisageable.


1 eugenol dmj5np - Eugenol
Dancha

22/06/2019 à 12h49

As-tu vu le résultat â long terme de cette mobilisation/traction, as-tu des documents à montrer ?

Ici, il n'y a quasiment plus de racine, il n'est plus possible de mobiliser. Si la racine avait été suffisante, j'aurais plutôt envisagé ici une distraction osseuse.

Daniel


Vw campersurfvan bmnk1q - Eugenol
enlaye

22/06/2019 à 13h12

Dancha écrivait:
------
" Ici, il n'y a quasiment plus de racine, il n'est plus possible de mobiliser. "

Donc risalyse + ankylose et c est la risalyse qui te bloque pour la suite .


Nouveau image bitmap fz77zh - Eugenol
Sethef

22/06/2019 à 13h12

Pas de doc, ce n'est pas mon cas, mais j'ai déjà vu les résultats de tr similaires. La cause n'était cependant pas traumato.
Si plus de racine, j'imagine que l'extraction est indispensable. Est-elle conservable si il nous prenait l'envie d'y coller une facette? Une solution odf est-elle envisageable?
Sinon, bridge ou implant forcément... Il nous manque des éléments, j'imagine que tu les as. Envoie!


Gariane

22/06/2019 à 21h22

si plus de racine de 21 , alors pour moi aussi extraction de 21 .
apres ,dans le meme ordre d'idée que le cas precedent , mesialisation de 23 a la place de 21 et pourquoi pas 24 a la place de 22 ( mais là la coronoplastie de 24 va etre " speciale" ) puis implant en guise de 23.
alors ??????? j'ai bon ou c'est nul ?????


1 eugenol dmj5np - Eugenol
Dancha

22/06/2019 à 23h25

Gariane écrivait:
-------
> si plus de racine de 21 , alors pour moi aussi extraction de 21 .
> apres ,dans le meme ordre d'idée que le cas precedent , mesialisation de 23 a
> la place de 21 et pourquoi pas 24 a la place de 22 ( mais là la coronoplastie de
> 24 va etre " speciale" ) puis implant en guise de 23.
> alors ??????? j'ai bon ou c'est nul ?????

C'est pas mal, y a de l'idée mais effectivement une telle coronoplastie semble un peu difficilde.
Tu es tout près de trouver une solution viable, même sans implant, Gariane !
Réfléchis encore un peu...
Je n'ai pas les photos sous la main, mais sache qu'il est en demi classe II dentaire à droite et bien entendu classe II canines thérapeutique à gauche.

Daniel


1 eugenol dmj5np - Eugenol
Dancha

23/06/2019 à 06h47

Sethef écrivait:
------
> Sur un cas similaire, une 6 incluse ankylosée, j'ai vu mon implanto pratiquer
> une mobilisation+pose d'une chainette..

J'ai déjà essayé cette méthode sans résultat probant et j'aimerais bien voir un cas comme ça documenté à moyen et long terme.
Pour moi, mobilisation = casse de l'ankylose' qui va revienir à la vitesse "grand V". Si on veut que ça marche, il faut d'abord bien savoir à quel niveau et sur quelle étendue se situe cette ankylose, ensuite avulser la dent très proprement pour pouvoir remplacer lez zones d'ankylose par un cvi par exemple et enfin réimplanter la dent. Possible dans le cas d'une monoradiculée, semble utopique pour une molaire.

Daniel


Vw campersurfvan bmnk1q - Eugenol
enlaye

23/06/2019 à 07h15

Avulser la dent proprement lors d un ankylose ? Cad ? Sans faire d alveolectomie ? Et le cvi ?, je n ai pas compris tu le mets où ? .


1 eugenol dmj5np - Eugenol
Dancha

23/06/2019 à 07h41

enlaye écrivait:
------
> Avulser la dent proprement lors d un ankylose ? Cad ? Sans faire d alveolectomie

C'est ça le problème. Il faut que ligament ne soit pas trop lésé pour pouvoir se régénérer "ad integrum" lorsque la dent sera réimplantée.

> ? Et le cvi ?, je n ai pas compris tu le mets où ? .

Tu supprimes sur la racine la zone colonisée par l'os et tu la remplaces par un matériau neutre. Comme ça, il n'y aura plus de contact direct racine-os, donc plus d'ankylose.

Daniel


Images 1 qtgoxf - Eugenol
ciwil

23/06/2019 à 15h29

Dancha, as-tu déjà assisté ton traitement ortho en t'aidant de piezocision ?


Nouveau image bitmap fz77zh - Eugenol
Sethef

23/06/2019 à 19h02

Dancha écrivait:
------
> Sethef écrivait:
> ------
> > Sur un cas similaire, une 6 incluse ankylosée, j'ai vu mon implanto pratiquer
> > une mobilisation+pose d'une chainette..
>
> J'ai déjà essayé cette méthode sans résultat probant et j'aimerais bien voir un
> cas comme ça documenté à moyen et long terme.
> Pour moi, mobilisation = casse de l'ankylose' qui va revienir à la vitesse
> "grand V". Si on veut que ça marche, il faut d'abord bien savoir à quel niveau
> et sur quelle étendue se situe cette ankylose, ensuite avulser la dent très
> proprement pour pouvoir remplacer lez zones d'ankylose par un cvi par exemple et
> enfin réimplanter la dent. Possible dans le cas d'une monoradiculée, semble
> utopique pour une molaire.
>
> Daniel


Pour le cas que j'ai vu, c'était un coup d'élévateur et fin de l'histoire. Je poserai la question afin de me procurer les radios de l'évolution, si elles existent.


Gariane

23/06/2019 à 21h31

Dancha écrivait:
------
> Gariane écrivait:
> -------
> > si plus de racine de 21 , alors pour moi aussi extraction de 21 .
> > apres ,dans le meme ordre d'idée que le cas precedent , mesialisation de 23 a
> > la place de 21 et pourquoi pas 24 a la place de 22 ( mais là la coronoplastie
> de
> > 24 va etre " speciale" ) puis implant en guise de 23.
> > alors ??????? j'ai bon ou c'est nul ?????
>
> C'est pas mal, y a de l'idée mais effectivement une telle coronoplastie semble
> un peu difficilde.
> Tu es tout près de trouver une solution viable, même sans implant, Gariane !
> Réfléchis encore un peu...
> Je n'ai pas les photos sous la main, mais sache qu'il est en demi classe II
> dentaire à droite et bien entendu classe II canines thérapeutique à gauche.
>
> Daniel
> avec ce que tu m'indiques Dancha , j'en conclus que 24 a une place correcte et qu'il vaut mieux ne pas la deplacer . donc: distalisation de l'arcade sup droite d'une demi canine pour retrouver la classe 1 canine droite , mesialisation de 23 a la place de 21 puis bridge 21,22 ,ailette 24 coronoplastiée en 23 ???
c'est mieux là ?


Dentiste playmobil dwolng - Eugenol
PlaieMobile

24/06/2019 à 07h45

Merci à tous pour vos réponses. La solution de Dancha me semble la plus naturelle, pérenne et élégante, je suis pour ma part impressionné du résultat, c'est un immense cadeau que tu as fait à cette patiente et elle te remercie de la plus belle des manières : un franc et beau sourire. Que certains trouvent le résultat perfectible, cela me semble normal, nous sommes des obsédés de la finition et du micro détail, mais le principal est que cette patiente n'aie aucun complexe, car personne ne remarque cet artifice. On pourrait probablement obtenir un résultat esthétique encore meilleur avec un implant à un instant t, mais sûrement pas intégré "à vie" comme ici.
Je comptais botter en touche car cela me paraissait bien au delà de mes compétences, j'espère que mon ortho va bien récupérer.


Aiguille cyboyt - Eugenol
fatboy

24/06/2019 à 11h05

Le consensus actuel c'est qu'on peut implanter a partir de 18/19 ans chez la femme et 20 chez l'homme. Ensuite la croissance est negligeable. Les profils dolichocephales sont les plus casse-gueules, mais l'implant reste la solution de choix pour moi.


1 eugenol dmj5np - Eugenol
Dancha

24/06/2019 à 16h51

fatboy écrivait:
------
> Le consensus actuel c'est qu'on peut implanter a partir de 18/19 ans chez la
> femme et 20 chez l'homme. Ensuite la croissance est negligeable. ...

Ce n'est pas un problème de croissance osseuse résiduelle comme on le croyait, mais de déplacements dentaires progressifs liés au vieillissement du visage. Le consensus dont tu parles est aujourd'hui battu en brèche, il n'est plus d'actualité.

Daniel


1 eugenol dmj5np - Eugenol
Dancha

24/06/2019 à 17h01

PlaieMobile écrivait:
-----------
> Merci à tous pour vos réponses. La solution de Dancha me semble la plus
> naturelle...
>...
>...., j'espère que mon ortho va bien récupérer.

Je te conseille quand même d'en discuter avec lui et lui montrer les photos, les orthodontistes ne sont pas forcément tous au courant de cette façon de faire. Beaucoup ont encore l'habitude d'ouvrir l'espace comme ils ont appris et sans se poser de question.

Daniel


1 eugenol dmj5np - Eugenol
Dancha

24/06/2019 à 17h04

ciwil écrivait:
-----
> Dancha, as-tu déjà assisté ton traitement ortho en t'aidant de piezocision ?

Oui, nous avons d'ailleurs mis au point une méthodologie raisonnée pour cela. Le sujet en vaut la peine, si tu veux bien on en discutera un peu plus tard.

Daniel


1 eugenol dmj5np - Eugenol
Dancha

24/06/2019 à 17h10

Gariane écrivait:
-------
>..donc: distalisation de l'arcade sup
> droite d'une demi canine pour retrouver la classe 1 canine droite ,
> mesialisation de 23 a la place de 21 puis bridge 21,22 ,ailette 24
> coronoplastiée en 23 ???
> c'est mieux là ?
>

Il y a de l'idée, mais ce serait encore mieux si on pouvait se passer de prothèse pour remplacer une dent ou l'autre. Tu ne crois pas ?
Réfléchis encore un tout petit peu, je te redis qu'il est en demi classe II à droite...

Daniel


Gariane

25/06/2019 à 06h51

bon alors si je n'utilise ni prothese de remplacement ni implant , je ne vois plus que la solution de tout mesialer a droite pour fermer l'espace d'extraction de 21 .
donc alors on aurait 11 a la place de 21 , 12 a la place de 11 ,13 a la place de 12 , et 23 qui devient 22 , les 14 et 24 faisant office de 13 et 23 .
+ evidemment les coronoplasties necessaires (14,24,13,23 ) et couronne sur 12 pour la transformer en 11.
Dancha , ou cette solution est magnifique , ou c'est une pure hallucination de ma part ( mais tant pis au moins j'aurai essayé )
Dis- moi ....


1 eugenol dmj5np - Eugenol
Dancha

25/06/2019 à 14h03

Gariane écrivait:
-------
> bon alors si je n'utilise ni prothese de remplacement ni implant , je ne vois
> plus que la solution de tout mesialer a droite pour fermer l'espace
> d'extraction de 21 .
> donc alors on aurait 11 a la place de 21 , 12 a la place de 11 ,13 a la place de
> 12 , et 23 qui devient 22 , les 14 et 24 faisant office de 13 et 23 .
> + evidemment les coronoplasties necessaires (14,24,13,23 ) et couronne sur 12
> pour la transformer en 11.
> Dancha , ou cette solution est magnifique , ou c'est une pure hallucination de
> ma part ( mais tant pis au moins j'aurai essayé )
> Dis- moi ....

Ce n'est pas une hallucination, cette solution est parfaitement réalisable.
Bravo à toi pour ta réflexion, ton imagination et bravo d'oser proposer quelque chose qui sorte des sentiers battus.
Qu'est-ce qui pourrait t'empêcher de faire ça ?

Daniel


Gariane

25/06/2019 à 22h55

Ah je suis contente d'avoir trouvé !
Merci beaucoup pour tes compliments Dancha , ça me fait plaisir .
Maintenant , ,tu m'as quand meme bien aidée .
effectivement , je ne vois pas vraiment ce qui peut m'empecher de faire ça , si ce n'est le passage de 11 a la place de 21 eont