Cookie Consent byPrivacyPolicies.comExpulsion 21 - Eugenol
Gariane

25/06/2019 à 23h00

erreur de manip
je disais que ça me fait bizarre de passer 11 a la place de 21 : je n'ai pas (encore ) l'habitude .
En tous cas , ce genre de cas m'amene a progresser . Merci encore !


Aiguille cyboyt - Eugenol
fatboy

26/06/2019 à 05h14

Donc ca nous fait, dans la vraie vie, couronnes sur 14,13,24,23,12. 11 qui ressemble a une 21 (pas de probleme...) 14 et 24 qui devront etre devitalisees (la corne pulpaire en palatin appreciera surement). Le tout devant etre renouvelé tout les 10-15 ans avec une perte de substance a chaque fois. et un traitement ortho de 2 ans dont on est sur de la perenite totale. Les couronnes ne seront, bien sur, pas faite avant ses 20ans, ca va lui faire un sourire harmonieux entre temps. On passe sur le fait qu'il lui manque toujours 2 dents et que la mesialisation amene un applatissement de la courbe du maxillaire, c'est pas le plus grave apparemment...Tout ca pour eviter un differentiel de migration qui se limite le plus souvent a 0,1 mm tout les 10 ans. En effet, une solution elegante!



1 eugenol dmj5np - Eugenol
Dancha

26/06/2019 à 10h35

fatboy écrivait:
------
> …. 14 et 24 qui devront etre devitalisees (la corne pulpaire en palatin appreciera surement).
> ….
> … Le tout devant etre
> renouvelé tout les 10-15 ans avec une perte de substance a chaque fois.
> …
> ….. Les couronnes
> ne seront, bien sur, pas faite avant ses 20ans, ca va lui faire un sourire
> harmonieux entre temps.
> …
>...Tout ca pour eviter un differentiel de
> migration qui se limite le plus souvent a 0,1 mm tout les 10 ans.

1 - La classe II canines thérapeutique, ça existe depuis des lustres et il n’a jamais été question de dévitaliser 14 et 24 pour ça.

2 - Pourquoi donc « une perte de substance à chaque fois » ?

3 - Les coronoplasties avec addition de composite, ça n’existe pas ?

4 - Le différentiel peut s’avérer beaucoup plus important que ça. J’ai des photos de cas prises lors d’une conférence donnée à Nancy il y a quelques années par Séphane Bartelemi (SQODF, MCU-PH à Reims). Il montrait des migrations beaucoup plus importantes et très visibles. Je ne peux malheureusement pas les montrere parce qu’elles lui appartiennent.

Notre ami fatboy préférera donc ici faire une greffe et placer un implant à 20 ans.
Le confrère implantologiste désespéré qui était venu me voir avec ce cas était certainement moins bon que lui.

Daniel


1 eugenol dmj5np - Eugenol
Dancha

26/06/2019 à 10h40

CQFD
Pour ceux qui douteraient de cette faisabilité, voici le cas avant, après traitement et un plus plus tard.
La 11 n'est pas passée au travers de la suture, bien entendu, elle l'a déplacée.

Daniel

Ankylose 21 cqfd avbqqv - Eugenol

Vw campersurfvan bmnk1q - Eugenol
enlaye

26/06/2019 à 10h43

Quelle intelligence du cas !
Respect .


Aiguille cyboyt - Eugenol
fatboy

26/06/2019 à 11h36

CQFD, rien du tout...
Des canines a la place des laterales, c'est moche. Des platrees de compo , c'est moche et ca vieillit super vite. Les collets ne sont meme pas alignes.
"Notre ami fatboy", faut voir.
"Le confrère implantologiste désespéré", Danchaman le super-heros, ca va les mollets?


Vw campersurfvan bmnk1q - Eugenol
enlaye

26/06/2019 à 12h32

Ah ouiiiiii , :-) rhooo l escroc intellectuelle .
Ce matin au lever du zob , j ouvre la photo , et j etais tout émoustillé . Par la photo bien sur :-))
Je n avais meme pas réalisé , a demi ensuqué qu il s agissait du cas prealable et surtout pas lu tes commentaire quand à Fatboy .
Au vu de tous les bidouillages on va dire temporaires pour ne pas dire éphémère que necessite la finition du ttt pour avoir bel aspect , il est evident que je retire le commentaire que j en ai fait .


Vw campersurfvan bmnk1q - Eugenol
enlaye

26/06/2019 à 12h41

Je pourrais rajouter quelques commentaires occlusaux du cas mais au delà du cas ce qui me gene c est l esprit .
Quand bien meme que tu aurais eu un cas de folie avec un joker fatal , il n est pas necessaire , pour briller , de chercher à mettre un collegue en situation d echec et mat .
Il faut tjs lui laisser une porte de sortie digne afin qu il puisse te concéder ta victoire . La valeur etant dans le partage et non pas en se plaçant au dessus .


Gariane

26/06/2019 à 13h38

Excuse moi Enlaye mais moi je n'ai pas specialement ressenti que Dancha se plaçait au dessus ! en plus , accessoirement Fatboy ne s'est pas gené pour ironiser sur ma solution ! Elle lui plait pas ok , mais il peut aussi le dire autrement .
ceci dit , le cas etait interessant , documenté , et ça amene des infos .
c'est tout ce qu'il faut retenir .


Aiguille cyboyt - Eugenol
fatboy

26/06/2019 à 14h38

@Gariane si tu t'es sentie visee et que ca t'a vexee ce n'etait pas mon intention, sorry.


Gariane

26/06/2019 à 19h10

Dancha écrivait:
> La 11 n'est pas passée au travers de la suture, bien entendu, elle l'a déplacée.
ben justement je me demandais comment ça se passait au niveau de la suture . celle-ci n'a pas tendance a " revenir" en position initiale ? avec une reouverture d'espace en distal de la 11 ? tu maintiens ? gouttiere ? fil collé?
Merci de ta reponse Dancha


1 eugenol dmj5np - Eugenol
Dancha

26/06/2019 à 20h49

Gariane écrivait:
-------
> ..
> ben justement je me demandais comment ça se passait au niveau de la suture .
> celle-ci n'a pas tendance a " revenir" en position initiale ? avec une
> reouverture d'espace en distal de la 11 ? tu maintiens ? gouttiere ? fil collé?
> ..

Le maintient est réalisé au moyen d'un fil noyé en palatin.

Daniel


1 eugenol dmj5np - Eugenol
Dancha

27/06/2019 à 08h17

J'ai été très surpris par la teneur et la violence de certains messages précédents â mon endroit.
Ils m'ont profondément atteint.
Je viens de réaliser que c'est dû au fait que j'avais posté quasiment simultanément 2 réponses qui n'avaient rien à voir l'une avec l'autre alors qu'elles sont tout naturellement apparues liées.
Le "CQFD" concernait la suite de la discussion que j'avais avec Gariane et n'était pas un complément à ma réponse argumentée aux allégations de fatboy. Mon intention n'était obsolument pas de l'enfoncer de ma prétendue supériorité comme cela a été cru et dit.
J'aurais dû prévoir ça, mea mea-culpa.
Nous sommes tous des confrères, je vous respecte.
Si j'interviens sur le forum, c'est uniquement pour rendre service, notamment en montrant des cas répondant aux problèmes posés. Pour moi, ce forum n'est pas un ring.
Confraternellement.

Daniel


Sierra Tango

27/06/2019 à 11h44

Je ne la ramène pas souvent sur le forum, mais je dois dire que je suis aussi très déçu de voir la teneur de certains messages de ce post et la violence de certains commentaires a l’égard de Dancha.
Il n'agresse personne, étaie ses propos, montre des cas, qui, on dira ce que l'on veut, mais ils sont plutôt pas mal, il écrit en français et sans faire de fautes, il se cache a peine sous son pseudo vu qu'il signe de son prénom, franchement, des contributeurs comme lui, on en souhaiterait bien plus sur ce forum.
J'ajouterai que, et alors que l'on ne se connait pas, il m'a gentiment envoyé il y a deux ans, des articles suite a un de mes posts sur des canines incluses, ainsi que des fils de sa confection pour m'aider sur un cas compliqué. Tout ca pour aider, sans condescendance aucune, et sans rien attendre en retour.

Alors franchement, le voir se faire traiter de prétentieux ou de mediocre, par des types qui ne se font connaitre que par leur omnipresence sur le forum et pas spécialement pour la pertinence de leurs (trop nombreux) posts, c'est assez décevant...


Vw campersurfvan bmnk1q - Eugenol
enlaye

27/06/2019 à 12h20

Sierra Tango écrivait:
------------
" Alors franchement, le voir se faire traiter de prétentieux ou de médiocre "

médiocre ?? et où tu as vu ça , garçon ?
prétentieux ? ce n était pas mon sens non plus :-)
j ai simplement dit que lors d un échange , la discution peut dévier du cas du départ et s emporter et qu il est de bonne guerre de laisser une porte de sortie en tout honneur au soumis .
et ceci d une façon générale .
d autant plus que ce qui est vrai aujourd'hui ne le sera plus demain .


Vw campersurfvan bmnk1q - Eugenol
enlaye

27/06/2019 à 13h31

Sierra Tango écrivait:
------------
" par des types qui ne se font connaitre que par leur omnipresence sur le forum et pas spécialement pour la pertinence de leurs (trop nombreux) posts"

après , ç est sur que si tu considères Eugenol comme une formation continue scientifique , effectivement ç est assez léger , il n y a pas de quoi remplir son panier tous les jours .
mais si tu le considères comme un plaisir de communication distractif entre collègues , tu peux le voir différemment .
à nous les omnis , où l' on nous supprime tous les jour un petit peu , il nous reste au moins ça :-)
vivre , vivre :-)))


Gariane

27/06/2019 à 16h20

enlaye écrivait
> à nous les omnis , où l' on nous supprime tous les jour un petit peu , il nous
> reste au moins ça :-)
> vivre , vivre :-)))

Ben la voila l'explication : la JALOUSIE . c'est triste ......
d'autant que rien n'empeche les omnis de faire pareil . je l'ai deja dit du reste , notemment a toi Enlaye .
Apres Eugenol , on le prend comme on veut ( bavardage , formation .....) mais tout le monde doit y etre respecté
>


Vw campersurfvan bmnk1q - Eugenol
enlaye

27/06/2019 à 17h44

Gariane écrivait:
-------
" Ben la voila l'explication : la JALOUSIE . c'est triste ...…"
pour qu il y ait de la JALOUSIE il faudrait que je vous envie , ce qui n est pas le cas puisque :


" d'autant que rien n'empeche les omnis de faire pareil . je l'ai deja dit du reste , notemment a toi Enlaye "
a le faire , je le ferais différemment



Ylfwcw979cz1jnx9gfqeaxndiuzk - Eugenol
Algi

27/06/2019 à 19h42

Ola ça y est ça part en couille ici aussi?

Pas suffisant d'avoir fait partir seespan faut maintenant virer Dancha?

Oh les mecs c'est dancha, dancha qui poste ici depuis des lustres, donne des conseils et ce sans compter depuis toujours et est, désolé les mecs, mais à mon avis un trés trés bon praticien.

Bref deconnez pas.

On va dire c'est la chaleur, ça rend con la chaleur, ça fait bouillir les neurones et on s'enerve pour un rien.




--

https://open.spotify.com/user/8iz7teu84dfphmgspeh2979o8/playlist/59Tfpt7zoHfkI27430lfNg?si=MAiYEkb2S6mMV6qNX2aFwg


On a toujours le choix mais entre quoi et quoi?
Vas-y boulégue et l'avenir te le dira!


Ylfwcw979cz1jnx9gfqeaxndiuzk - Eugenol
Algi

27/06/2019 à 19h48


J'ai paq tout lu, pas le temps pas encie, moi aussi j'ai chaud mais juste pour dire que le cas présenté je trouve ça baleze.

Et de toutes façons mon avis vaut rien mais je pense que le gamin ainsi récupéré peut, lui, être reconnaissant.

Bisous à tous et paix sur la terre et le forum....

Et sinon si vraiment envie d'en découdre..... Allez plutôt balancer un pain aux connards qui sont en train de détruire la profession, ça vous fera du bien et ça me fera plaisir.

--

https://open.spotify.com/user/8iz7teu84dfphmgspeh2979o8/playlist/59Tfpt7zoHfkI27430lfNg?si=MAiYEkb2S6mMV6qNX2aFwg


On a toujours le choix mais entre quoi et quoi?
Vas-y boulégue et l'avenir te le dira!


1 eugenol dmj5np - Eugenol
Dancha

01/07/2019 à 12h53

Sierra Tango écrivait:
>..
Algi écrivait:
>…

Merci à tous les 2, je n’en demandais pas tant !

Pour terminer avec ce cas, il faut savoir que le traitement orthodontique lui-même n’a pas été « balèze », mais particulièrement simple, sans appareil multiattache et sans même appareiller le bas (il avait déjà eu 2 ans de traitement chez l’orthodontiste précédent et voulait donc le moins d’appareil visible).
Je ne vais pas détailler ici la méthode originale utilisée, mais comme j’avais été invité il y a quelques années à la présenter dans un congrès, j’ai encore le montage power-point de ma conférence. Il comporte 11 diapos qui l’expliquent en détails.
Je peux l’envoyer à ceux que ça intéresse, il suffit qu’ils me donnent leurs coordonnées par message privé et je leur transmettrai amicalement.
Je dis bien « amicalement », car encore une fois nous sommes confrères et il est encore plus nécessaire aujpurd’hui qu’avant que nous restions unis. Comme le dit algi, ceux qui veulent en découdre peuvent très bien trouver ailleurs matière à se défouler.
Je reste cependant sur ma faim, car un certain nombre de confrères ont affirmé qu’il serait plus judicieux de remplacer la 21 par un implant, sans expliquer comment ils feraient pour gérer l’important déficit osseux. J’aimerait bien en pas en rester là et savoir comment ils procèderaient.
Merci d’éclairer ma lanterne.
Daniel


Images 1 qtgoxf - Eugenol
ciwil

01/07/2019 à 16h07

Salut Daniel, je n'ai pas vu les photos du cas que tu as présenté mais un mélange PRF+ biooss ne ferait pas l'affaire?


Images 1 qtgoxf - Eugenol
ciwil

01/07/2019 à 20h19

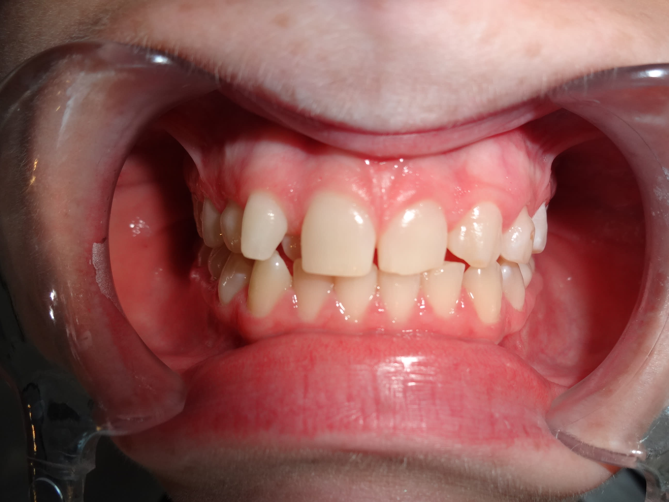
je suis d'accord avec Dancha pour ne pas foncer sur le davier tête baissée, un maquillage compo rend des services esthétiques et fonctionnels
jeune fille de 20 ans, très jolie, méritante (travaille dans un resto pour payer ses études), pas une thune, j'allais pas lui proposer de virer les prépubères 53 et 63, ainsi que la 12 selon le proverbial jamais 2 sans 3 et de se payer 2 implants avec une CIV résine dessus en attendant de trouver un job
pour info, agénésie 35 45 22, 12 rikikiziforme, en classe 1 (très classe d'ailleurs la nénette)

A12 keof8x - Eugenol
A4 el6cxg - Eugenol
A1 sh5wnf - Eugenol

Gariane

01/07/2019 à 22h06

joli cas Ciwil ! juste une chose : si je comprends bien , tu as gardé la 12 que tu as maquillée , mais alors qu'as tu fait de la 13 ? elle est toujours derriere la 12?


Images 1 qtgoxf - Eugenol
ciwil

01/07/2019 à 22h28

seule la 12 a dégagé, les 3 cohabitent avec leur ancêtre, les racines sont intactes
les 13 11 21 23 sont maquillées, je n'ai qu'une seule teinte de flow