Tous les forums
Félure radiculaire ou odontalgie idiopathique ?
19/07/2019 à 15h51
Bonjour le groupe,
Jeune Assistante dentaire dans le Loiret.
Je souffre de douleurs dentaires depuis 3 ans.
Mon boss est désemparé car il ne voit rien. Alors par désespoir de cause, je m'adresse à vous avant d'aller à la pitié salpétrière ou il m'a conseillé de voir le professeur Yves Boucher spécialiste en douleur orofaciale.
Mon anamnèse :
J'ai refait pas mal de couronne et d'onlay il y a 3 ans.
A la suite de cela, j'ai eu quelques épisodes douloureux sans trop de cause réelle.
Du coup, on a arrêté les reprises de traitement.
Néanmoins une régularité : au moins une fois par an, je souffre de brulure/picotements sur zone 36/37 cela dure quelques semaines et cela passe (j'ai pris du laroxyl). Et mal de manière aiguë ponctuellement sur cette même zone en mangeant des éléments fibreux.
Douleurs/brûlures plus fortes le matin...moins l'après midi.
C'est la situation actuelle : je me réveille avec ces brulures qui me titillent et ce midi..ouille en mangeant du pain.
Avec mon chef, on a donc discuté de toutes les pistes dont
fêlure radiculaire, symptôme sournois.
Pour lui RAS : tests divers non concluant
Il est penaud et perdu..comme moi : et passer par le stade codeine..voire laroxyl/lyrica ou autre rivotril....me gêne un peu pour pas dire m'angoisse.
Je fini par désespoir de lui demander de faire l'endo de cette 36 mais il refuse : pensant que la dent est saine et voulant la préserver au maximum.
Je fini par avoir le moral en berne avec cela.
Que faire endo chez un exclusif pour inspection de la cavité ?
Rien c'est sain tout cela ?
c'est dans votre tête ma petite dame voyez la pitiésalpetriere en effet ?
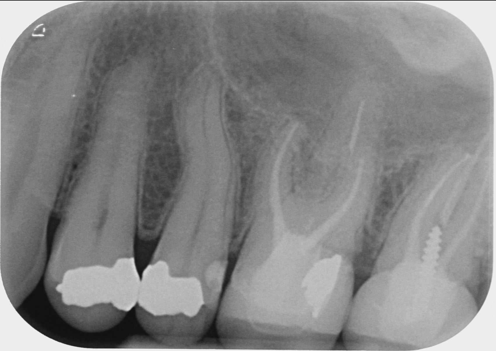
vraiment je suis paumé : la radio semble nickel : pas de poche, pas de granulome
je fais appel au meilleur dentiste "House" du forum pour avoir son avis
Bonne journée
En PJ la rétro de la zone prise en 2016, 2018 et il y a un mois
19/07/2019 à 16h21
bonjour le point de contact entre 35 36 n'est pas bon et un truc m'interpelle douleur aux aliments fibreux. Pareil pour ajustage de la 47..... Avez voius du bourrage alimentaire
Ca ne serait pas un syndrome du septum???
19/07/2019 à 16h23
Bonjour (et merci) Edouard
Oui les points de contacts ne sont pas top
Et j'ai eu un saignement entre la 36/37 il y a 10 jours
Mais actuellement RAS
je passe hydrojet et brossette tous les jours (ou presque).
Et un pb de septum...ne traine pas plus d'une semaine je pense
mais oui Bonne piste
19/07/2019 à 16h29
et oups c'est mon boss qui a fait ces onlays et couronne (Cerec)
dur de lui dire que ces points de contacts pas top..mais si il faut..il faut
Edouard 62 : le septum peut il engendrer une infection bactérienne dans le parodonte plus profond que l'espace interdentaire ?
Cela se verrait sur la rétro je pense ?
19/07/2019 à 16h44
ç est peut être tout simplement occlusal .
est ce que ce ne serait pas le premier contact en fermeture dans cette zone ?
19/07/2019 à 17h13
je suis persuadé qu'en reprenant les reconstitutions avec de bons points de contact ET en supprimant tous
les excès de colle, ca le fera...
19/07/2019 à 17h18
dans l'ordre,
brossettes, fil dentaire, nettoyage après chaque repas des espaces inter-dentaires, cure de dentex?
analyse (équilibration si besoin) occlusale (fermer les pt ctc avec???)
réévaluation... reprise des obturations, 1? .. 2? ...3? si besoin.
et voir proximité corne pulpaire 46.
Il y a obligatoirement des bourrages alimentaires (gène aliments fibreux... donc faire les choses dans l'ordre).
C'est quoi le code pour le traitement d'un bourrage alimentaire... ?-) Yobi??? Yoba??? Ah on me dit à l'oreillette "attendre les caries et deux CR +IC+Prov", merkiki???
19/07/2019 à 17h44
Merci tout le monde
Les points de contact ont été vérifiés
Donc normalement ras de ce côté
Personne ne met un euro sur une sournoise fêlure radiculaire ?
Je suis pour ma part dans l intuition que cela pouvait être cela sur la 36
Mais je suis assistante pas chir
19/07/2019 à 17h47
ça se diagnostique au sondage... et il devrait y avoir un élargissement desmodontal.
19/07/2019 à 18h03
Merci Vulpi
Oui c est vrai que je n ai pas à la radio de souci sur le desmodonte me semble t il.
Et comme j ai déjà eu ses douleurs il y a un an si c était une fêlure, je suppose qu on verrait une poche en forme de chaussette je crois que c est comme cela qu on le dit ?
Et une fêlure entraîne sur dent vivante de grosses douleurs type carie pas des brûlures ?
19/07/2019 à 18h08
douleur à la mastication, sensibilité froid.
Après tout est possible, par correspondance... c'est point fiable:-(
19/07/2019 à 18h22
les points de contact ont été vérifiés ok mais ils ne sont pas bons!, les embrausures non plus soit dit en passant
19/07/2019 à 18h34
certes ils ne sont pas bon , et alors ?
elle dit : " PJ la rétro de la zone prise en 2016, 2018 et il y a un mois "
tu y vois une perte d os en 3 ans , toi ? moi non .
19/07/2019 à 18h38
une photo des arcades en plâtre h+b
- le bas
- le haut
- le bas + le haut en occlusion vu de devant de cotés ET vu de derrière
et après on cause .
19/07/2019 à 19h20
"je souffre de brulure/picotements sur zone 36/37........ Et mal de manière aiguë ponctuellement sur cette même zone en mangeant des éléments fibreux"
Cà a tout l'air d'un syndrome du septum.
La couronne de 37 a un profil d'émergence mésial en surcontour
Peut être qu'une hygiène bucco-dentaire excellente (assitante dentaire oblige....) a evité une résorption osseuse au cours des années
19/07/2019 à 19h57
Tu aurais pas une radio du secteur IV ?
On pourrait comparer si la taille de la chambre pulpaire est diminuée sur 36 par rapport à 46. Signe d’une « souffrance » de type occlusale ou fêlure...
Tes nerfs sont déjà très fins...bruxisme ?
Fait réaliser une gouttière occlusale en résine rigide, j’avais une fêlure sur ma 26 et je souffre quasiment plus depuis le port nocturne !
😷😉
19/07/2019 à 20h19
fistule 69 écrivait:
----------
" Tes nerfs sont déjà très fins...bruxisme ?
Fait réaliser une gouttière occlusale en résine rigide, j’avais une fêlure sur ma 26 et je souffre quasiment plus depuis le port nocturne ! "
pourquoi faire une gouttière rigide ?, alors qu' un coup de fraise et on en parle plus
19/07/2019 à 20h23
motorola écrivait:
--------
" Peut être qu'une hygiène bucco-dentaire excellente (assitante dentaire oblige....) a evité une résorption osseuse au cours des années "
bien justement ,si ç était une douleur paro , cela irait à l encontre des douleurs matinales il y aurait des douleurs le soir .
19/07/2019 à 20h33
L expression paro existe entre la 6 et la 7 l os cortical disparait au sommet du septum.
A mon avis c est occluso chez une bruxomane nocturne + syndrome du septum (radio + douleur aliment filandreux)
19/07/2019 à 20h55
Hokusai écrivait:
-------
" A mon avis c est occluso chez une bruxomane nocturne + syndrome du septum (radio + douleur aliment filendreux) "
oui je suis déjà plus d accord .
- et meme mieux je dirais que le pb occlusal vient de l antagoniste de la crete proxymale distale de 6 .
- si le gonz a gonflé la crete mesiale de 7 ç est pas pour rien .
- et il faut meme diminuer la pente de cuspide vest de 7 du bas pour en diminuer le verrouillage en vest de 7 .
19/07/2019 à 21h00
et puis je mise un billet à 7 contre 1 que la courbe de spee est inversée ,à cause d une 6 du haut qui bascule vers l arrière .
19/07/2019 à 21h02
s il y en a un qui veut parier , on peut commencer avec 5 euro , pour démarrer , en attendant la photo :-))
PS : à 1 contre1 , suis pas là pour vous piller :-)
19/07/2019 à 21h06
Merci pour toutes ces réponses..je suis touchée merci
Vraiment merci
hygiène dentaire maintenant oui j'y veille
dommage que mes parents n'aient pas été assez vigilants ....car
j'ai pas été douée ou attentive étant jeune....sinon je n'aurais pas eu autant de dents couronnées
deux radios secteur 2 en face....2018 et 2019 sur un 2 ème post
19/07/2019 à 21h07
Et oui anxieuse je suis..donc je peux faire du clenching...bruxisme je ne pense pas