Cookie Consent byPrivacyPolicies.comFélure radiculaire ou odontalgie idiopathique ? - Eugenol

Félure radiculaire ou odontalgie idiopathique ?

felureoupas

19/07/2019 à 21h10

Vais essayer de trouver ma dernière pano


Vw campersurfvan bmnk1q - Eugenol
enlaye

19/07/2019 à 21h14

ceci dit il travaille bien ton boss .


felureoupas

19/07/2019 à 21h19

C'est un ange pour ses patients
Et il est embêté pour moi.

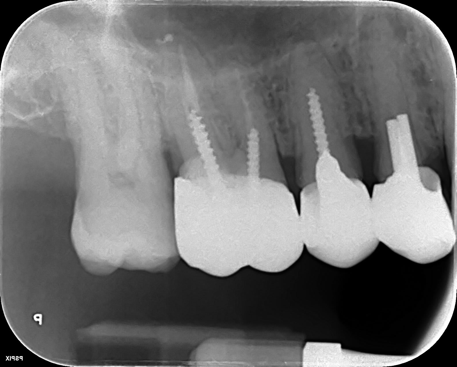
voilà un extrait de fichier de pano..j'ai fait comme j'ai pu pour la conversion de format

Pano jpeg nhk8yk - Eugenol

felureoupas

19/07/2019 à 21h21

Merci Enlaye pour tes remarques... je suis pas joueuse..dommage pour le pari :-)


Vw campersurfvan bmnk1q - Eugenol
enlaye

19/07/2019 à 21h26

Pas de douleurs au froid ?


Vw campersurfvan bmnk1q - Eugenol
enlaye

19/07/2019 à 21h29

Et donc à 21h tu te promènes avec des rétros et des extraits de pano avec toi ?? :-))


felureoupas

19/07/2019 à 21h46

Ah non, j'ai préparé un dossier au cas ou (sur cle USB) je doive aller à la pitiésalpétrière, en désespoir de cause :-(
Sensibilité au froid..oui..douleur paroxystique non


Utilisateur banni

19/07/2019 à 22h40

Connaît le terme de clenching ... ça devrait vous interpeller

--
Palme d’or de l’académie, Auteur du best-seller « I have mal aux teeth » traduit en 27 langues, Lion d’or greffe du fémur à la mandibule


carident

20/07/2019 à 07h07

ça serait bien de faire un cone beam de la zone 36-37. Il se pourrait bien qu'il y ait une LIPOE de la racine/canal Vestibulo-Distal de la 36.


Vw campersurfvan bmnk1q - Eugenol
enlaye

20/07/2019 à 07h43

Bon apres , d un point de vue philosophique , ( si elle a mal à la 36 d une façon précise ) , pourquoi ne pas la dévitaliser ?


elje

20/07/2019 à 08h47

Heu, y aurait pas un petit quelque chose aussi sur la racine médiale de 26, comme qui dirait un MV2 oublié. Sinon de l’avis d’enlaye, vu l’évolution pulpaire de cette dent, pourquoi ne pas programmer une endo en sécurité, sous digue . Ca éclaircirai les choses. Bien souvent dans ma pratique une douleur bien localisée sur une dent apparement saine, c’est une fracture liée soit à une chute(parfois anodine) avec l’effet marteau de porte de la mandibule , soit a du clenching nocturne en porte à faux.


felureoupas

20/07/2019 à 08h54

Bonjour
mon boss n'est pas chaud pour une endo sur la 36 car pour lui elle n'a rien....mais je peux peut être insister..car j'avoue être démoralisée (voire en déprime) par cette sensation de brulure....brulure plus autour de la 37 d'ailleurs
par contre c'est sur la 36 ou j'ai parfois mal quand je mange dessus.

CARIDENT.....si j'avais un LIPOE cela se verrait quand même sur la radio..car je n'ai pas l'impression que cela a changé depuis 2016 (voir historique de mes rétro).
Mais OUI un cone beam est peut être intéressant.


carident

20/07/2019 à 09h02

felureoupas écrivait:
-----------
> CARIDENT.....si j'avais un LIPOE cela se verrait quand même sur la radio..car
> je n'ai pas l'impression que cela a changé depuis 2016 (voir historique de mes
> rétro).
> Mais OUI un cone beam est peut être intéressant.

Un LIPOE peut passer complétement inaperçu sur une rétro, surtout au niveau des molaires mandibulaires à cause de l’inclinaison des dents. Suivant l'orientation du générateur et du capteur, la superposition des structure sur un cliché 2D peut masquer ce que l'on cherche à voir...


Vw campersurfvan bmnk1q - Eugenol
enlaye

20/07/2019 à 09h08

Que la sensation de brulure soit en zone de 37 ou 36 ou 35 , ce n est pas significatif , puisque c est le nerf dentaire inf ( intra osseux dans cette zone ) qui est enflammé.


Vw campersurfvan bmnk1q - Eugenol
enlaye

20/07/2019 à 09h21

Mais quand meme , lorsque tu fais l endo , tu supprimes les points d occlusions en faisant ta voie d accès .
Et du coup tu auras tjs le doute de savoir si c etait occlusal ou pulpaire ou les 2 .
Alors pourquoi ne pas commencer par le debut en regardant l occlusion ? , Ca ne mange pas de pain :-) , je pose la question :-) .


felureoupas

20/07/2019 à 09h46

Merci Enlaye vraiment pour votre aide
J ai déjà eu des soucis d occlusion dans le
passé puisque j ai déjà porté une orthese en haut
J avais en effet mal aux atm
Actuellement je n’ai plus ces douleurs caractéristiques comme mal au niveau des tempes
Mais oui
J ai à la même époque eu déjà du laroxyl car j avais déjà des brûlures sur cette zone ainsi que sur d autres dents
Donc oui cela est peut être revenue !

D ailleurs j y pense mais cela ne me dérange pas plus que cela
J ai parfois sur la 22 de la tension dans la dent mais cela ne me gêne pas plus que cela


felureoupas

20/07/2019 à 09h50

Enlaye
Me suis gourée vous vouliez voir le secteur 4 pas le secteur 2 pour comparer
C est cela ?


felureoupas

20/07/2019 à 09h54

Vraiment un grand merci à tout le monde
Pour votre empathie
Cela me touche profondément
J avoue que je suis une grande anxieuse
Et que cela ne doit pas aider pour les douleurs
Je ne peux pas vous adresser de bonnes tartes poire chocolat (ma spécialité)
Alors je vous envoie mes remerciements les plus sincères


elje

20/07/2019 à 09h57

Heu pourquoi du laroxyl?Qui vous l’a prescrit? Que donnent les antalgiques classiques? Quel est l’historique de la 38?
Vous avez quel âge?


felureoupas

20/07/2019 à 10h11

J ai 38 ans.
La 38 a été enlevée quasi au même moment où on a posé couronne et onlay.
Le laroxyl par mon généraliste comme j avais des brûlures dentaires à l époque
À faible dose il semble agir sur les douleurs neuropathiques
Mon boss n était pas convaincu de son côté.

Depuis 4 ans j ai donc régulièrement des douleurs sur la zone 37/38
Brûlure et mal à la mastication de manière ponctuelle
Mais là cela dure depuis deux semaines


Hok 1b hgd3rj - Eugenol
Hokusai

20/07/2019 à 10h23

T as pas une radio de la 38 avant sans avulsion ??


felureoupas

20/07/2019 à 10h36

Bonjour Hokusai
J essaye de trouver cela pour la fin de la matinée
Vous pensez au trijumeau ?


6szjws718sv1jksw54v4mpj3a6cu - Eugenol
vulpi

20/07/2019 à 10h42

Des fois c'est bizarre. Patient, vient pour douleur molaire sup, irradiante, qui a duré un jour, va mieux.

Ricaud 14 rqxbql - Eugenol
Ricaud17 pvv0vr - Eugenol

6szjws718sv1jksw54v4mpj3a6cu - Eugenol
vulpi

20/07/2019 à 10h44

Forcément la pêche sur 14 attire l’œil. L'élargissement apex 15 aussi.
Mais si épisode infectieux ça ne dure pas une journée... c'est pas l'origine des douleurs. Il y a des soucis à venir OK:-)


6szjws718sv1jksw54v4mpj3a6cu - Eugenol
vulpi

20/07/2019 à 10h46

Alors j'ai pensé, ganglion trigéminal et douleurs projetées, ça peut être un peu emmêlé dans le trigéminal et tromper son monde.
RX secteur 4 et bingo... 47 carie juxta pulpaire pouvant expliquer des douleurs par crises irradiantes.
Voili, voilà...

Ricaud47 c5coje - Eugenol