Cookie Consent byPrivacyPolicies.comReconstitution bord incisif, et pb de propulsion - Eugenol

Reconstitution bord incisif, et pb de propulsion

Squirell g6yuwa - Eugenol
La_noisette

07/08/2019 à 09h58

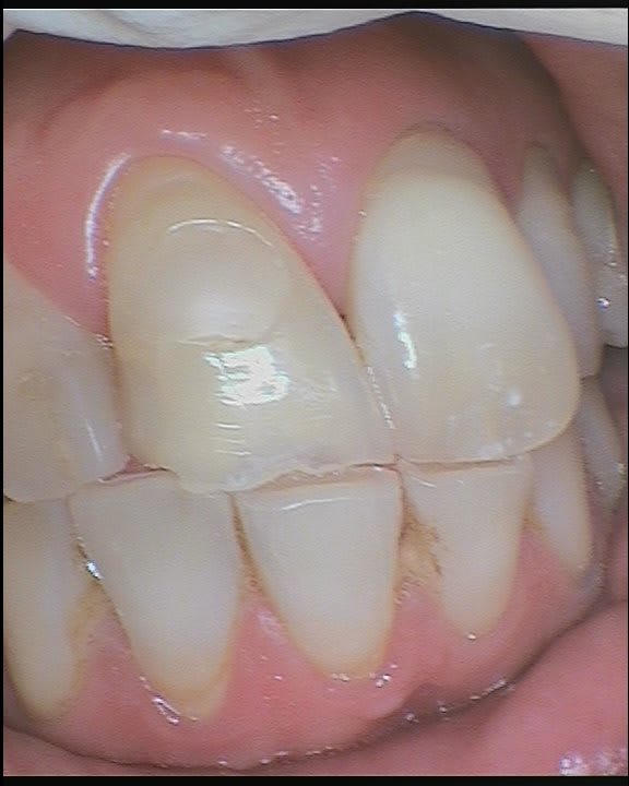
Ci joint une photo de mon patient qui souhaiterait restaurer son incisive, usée (pourquoi depuis combien de temps il ne sait pas), en position de propulsion quasi maximale.
Le problème est qu'en propulsion, incisive centrale supérieure et inférieure se font guide. Si je colle un composite dans cette situation, ça risque de ne pas aller.
Ma question est : quelles solutions proposer au patient ?
Fraiser l'insicive inférieure ?

Je precise : aucun problème de DVO.
+ mes connaissances pratiques sont celles d'un etudiant sortant de la fac il y a moins de 6 ans.

La camera qui a pris la photo est une sopro 717 de mémoire.

Bonne journée a tous.

O1ohqsm4gq6uhpg5hifc - Eugenol

Fourre tout 05 12 08 017 apc4pu - Eugenol
Pier

07/08/2019 à 10h27

En fait la dent n'est pas usée mais ébréchée ce qui pourrait signaler des micro chocs à repetitions et un probleme d'occlusion. Les autres dents adjacentes ne presentent pas la même altération . Il est possible que la mandibule soit en propulsion et frappe en priorité sur cette dent à la fermeture. Vérifie l'occlusion en propulsion et en lateralité. Propose lui de pour la dent legerement car si tu mets une obturation elle sautera et le fait de meubler la dent antagoniste ( à ne pas faire bien sur) ne changera rien si ce n'est ce n'est amener un probleme supplémentaire à savoir la création d'un décalage en marche d'escalier difficile à gérer par la suite.
Bon courage


Pierre logo clykpp - Eugenol
Denteo33

07/08/2019 à 13h31

De l’orthodontie?


Squirell g6yuwa - Eugenol
La_noisette

07/08/2019 à 14h00

Merci pour vos reponses.
Je vais procéder comme vous le conseillez Pier, et je vous tiendrai au courant la semaine prochaine si possible.


Vw campersurfvan bmnk1q - Eugenol
enlaye

07/08/2019 à 14h24

je suis encore une fois de plus d accord avec Pier .
je dirais meme plus qu il y a obligatoirement une interference post , a enlever , bien sur .


Nouveau image bitmap fz77zh - Eugenol
Sethef

07/08/2019 à 20h08

Denteo33 écrivait:
--------
> De l’orthodontie?

Ou plutôt, n y aurait il pas eu d orthodontie?


Squirell g6yuwa - Eugenol
La_noisette

14/08/2019 à 12h29

Pier écrivait:
----
> En fait la dent n'est pas usée mais ébréchée ce qui pourrait signaler des micro
> chocs à repetitions et un probleme d'occlusion. Les autres dents adjacentes ne
> presentent pas la même altération . Il est possible que la mandibule soit en
> propulsion et frappe en priorité sur cette dent à la fermeture. Vérifie
> l'occlusion en propulsion et en lateralité. Propose lui de pour la dent
> legerement car si tu mets une obturation elle sautera et le fait de meubler la
> dent antagoniste ( à ne pas faire bien sur) ne changera rien si ce n'est ce
> n'est amener un probleme supplémentaire à savoir la création d'un décalage en
> marche d'escalier difficile à gérer par la suite.
> Bon courage

Effectivement c'est une interférence postérieure, qui a amène à frapper sur la dent. Il manque la 46, et 47 48 sont très versées.


Fourre tout 05 12 08 017 apc4pu - Eugenol
Pier

15/08/2019 à 19h01

CQFD
Et voilà du coup tu sais ce qui te reste à faire avant d'aller toucher à l'incisive.
Bon courage