Cookie Consent byPrivacyPolicies.comdent fêlée conservable ou pas ?? - Eugenol

dent fêlée conservable ou pas ??

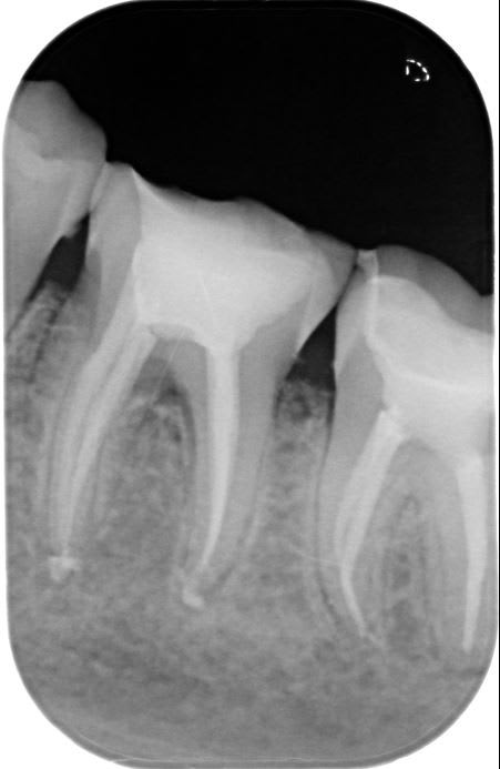
Capture d écran 2018 05 16 à 21.30 - Eugenol
Daryl

11/09/2019 à 12h46

Bonjour,

J'ai dévitalisé une 36 nécrosée à cause d'une fêlure en linguale... La patiente n'avait pas eu de signes d'appel avant les fortes douleurs dues à la nécrose.

Lors de la dévitalisation, j'ai été surprise à la radio par la largeur du trait de fêlure qui ne correspond pas à ce que je vois avec mes loupes ( zeiss x2.5)
Je n'ai pas non plus de fêlure au niveau du plancher pulpaire mais je vois bien une fêlure qui continue un peu sous la gencive linguale.

J'ai quand même fini mon endo mais j'hésite à conserver cette dent et comment la conserver au mieux si je décide de la garder ?

En post op : pas de douleur à la pression, la dent n'est pas mobile non plus. La patiente n'a plus de douleur

Merci de vos avis.

Lhszu0jkzrq2gnz5kfhj - Eugenol
Is6v3gsntps1gejtjxq9 - Eugenol
Jfx7zgmkzm3y4lrd7vah - Eugenol

Hok 1b hgd3rj - Eugenol
Hokusai

11/09/2019 à 12h51

Tu separes bien les racines et tu fais 2 premol...


lachmar

11/09/2019 à 12h52

joli traitement
ce que je fais dans ce cas c'estune séparation des racines assez importante pour permettre le brossage , 2 inlay-cores et une couronne avec une large embrasure


Joli traitement, pareil, méhoukélé la digue, hein 'tite coquine ? ;-))


Capture d écran 2018 05 16 à 21.30 - Eugenol
Daryl

11/09/2019 à 14h10

merci pour vos réponses sympa !!

La séparation des racines, je la fais à la fraise à os mais peut être pas trop large car j'ai peur de fragiliser cette 36 ??
Et j'attends combien de temps après pour faire l'empreinte ??


lachmar

11/09/2019 à 14h48

je vais te dire comment je fais : je ratibois les bords fragiles, je ne finis pas la séparation et fais faire 2 inlay cores soudés par une petite barre ; je scelle ; je coupe la scéance suivante et fais ma séparation (a la diamantée ) et je prends l'empreinte de la couronne


Vw campersurfvan bmnk1q - Eugenol
enlaye

11/09/2019 à 15h09

je n ai pas compris la subtilité de ce tour de passe passe surtout avec des racines souvent divergentes .


Hok 1b hgd3rj - Eugenol
Hokusai

11/09/2019 à 15h13

Y a une contre indication a l implant ???


Capture d écran 2018 05 16 à 21.30 - Eugenol
Daryl

11/09/2019 à 15h29

@ Hokusai : j'aimerais bien conserver cette dent asymptomatique !!!

@lachmar : merci pour ta technique mais c'est pas trop fragilisant ??
surtout que ma 36 n'a pas de longues racines et présente 4 canaux fins pour les futurs inlay cores...


Ylfwcw979cz1jnx9gfqeaxndiuzk - Eugenol
Algi

11/09/2019 à 16h10


A priori elle est pas fêlée mais fendue si j'en crois la radio lime en place....

Donc pas possible de garder la dent en l'état.

Reste la séparation de racines comme indiquée plus haut...

Possibilité c'est de faire un inlay core en U qui solidariser les deux racines et laisse un accès aux brossettes.

Ensuite si t'as un doute rien t'interdit de faire une provisoire par dessus histoire de voir ce que ça donne.

--

https://open.spotify.com/user/8iz7teu84dfphmgspeh2979o8/playlist/59Tfpt7zoHfkI27430lfNg?si=MAiYEkb2S6mMV6qNX2aFwg


On a toujours le choix mais entre quoi et quoi?
Vas-y boulégue et l'avenir te le dira!


lachmar

11/09/2019 à 16h18


ton inlay core en U ne me parait pas bete du tout a condition d'avoir un poli miroir au niveau de l'embrasure


Zorba le grec 1373406512 108 lfk5ey - Eugenol
zorbalegrec

11/09/2019 à 16h20

Pas de précipitation d'autant que le trait de fracture rejoint la racine mésial (c'est peut être l'incidence de la rx qui fait croire ca) donc séparer les racines et mettre sous provisoire et attendre de 6 à 12 mois


Utilisateur banni

11/09/2019 à 16h46

J'aime bien quand Daryl dépose ses lunettes roses et devient studieuse. Un peu déjantée puis appliquée dans son travail pour alterner les saisons. Tous mes encouragements à t'it Daryl qui deviendra grande si elle le veut


Capture d écran 2018 05 16 à 21.30 - Eugenol
Daryl

11/09/2019 à 17h56

Algi écrivait:
----
>
> A priori elle est pas fêlée mais fendue si j'en crois la radio lime en place....
>
> Possibilité c'est de faire un inlay core en U qui solidariser les deux racines
> et laisse un accès aux brossettes.
>

En effet, je crois que fendue c'est le bon terme !!!

Et donc l'inlay core en U , ça me plait bien ...Me reste plus qu'à franchir le gué car ça fait 2 séances où je regarde cette 36 sans oser me lancer , ce qui n'est pas du tout mon genre !!


Capture d écran 2018 05 16 à 21.30 - Eugenol
Daryl

11/09/2019 à 18h01

Guady écrivait:
-----
> J'aime bien quand Daryl dépose ses lunettes roses et devient studieuse. Un peu
> déjantée puis appliquée dans son travail pour alterner les saisons. Tous mes
> encouragements à t'it Daryl qui deviendra grande si elle le veut

Je suis toujours très appliquée dans mon taf, et c'est pourquoi j'ai beaucoup besoin de décompresser en pratiquant le trapèze et la voltige assidûment , voire obsessionnellement ;-)


Ylfwcw979cz1jnx9gfqeaxndiuzk - Eugenol
Algi

11/09/2019 à 18h07

Juste un truc: ce sera casse gueule et il y a risque de fracture d'une des racines surtout la mesiale qui est en général en arc et fine...


--

https://open.spotify.com/user/8iz7teu84dfphmgspeh2979o8/playlist/59Tfpt7zoHfkI27430lfNg?si=MAiYEkb2S6mMV6qNX2aFwg


On a toujours le choix mais entre quoi et quoi?
Vas-y boulégue et l'avenir te le dira!


Vw campersurfvan bmnk1q - Eugenol
enlaye

11/09/2019 à 18h07

Algi écrivait:
----
" A priori elle est pas fêlée mais fendue ."

j en ai connu une qui etait les 2 a la fois .


Ylfwcw979cz1jnx9gfqeaxndiuzk - Eugenol
Algi

11/09/2019 à 18h17

Aut'chose....

Qui dit inlay core acrobatique dit faire gaffe au provisoire..... genre quand on veut le retirer il vient avec l'inlay core.....

Donc méfi comme on dit chez moi à pas utiliser un ciment provisoire trop costaud.


--

https://open.spotify.com/user/8iz7teu84dfphmgspeh2979o8/playlist/59Tfpt7zoHfkI27430lfNg?si=MAiYEkb2S6mMV6qNX2aFwg


On a toujours le choix mais entre quoi et quoi?
Vas-y boulégue et l'avenir te le dira!


enlaye écrivait:
------
> Algi écrivait:
> ----
> " A priori elle est pas fêlée mais fendue ."
>
> j en ai connu une qui etait les 2 a la fois .

Qu'une ?
T'ain t'as du bol toi.


Ylfwcw979cz1jnx9gfqeaxndiuzk - Eugenol
Algi

11/09/2019 à 20h23

Fêlée et fondue....

Ou alors c'est que t'as fendu une fêlée...

Pas pareil.


--

https://open.spotify.com/user/8iz7teu84dfphmgspeh2979o8/playlist/59Tfpt7zoHfkI27430lfNg?si=MAiYEkb2S6mMV6qNX2aFwg


On a toujours le choix mais entre quoi et quoi?
Vas-y boulégue et l'avenir te le dira!


6szjws718sv1jksw54v4mpj3a6cu - Eugenol
vulpi

11/09/2019 à 20h47

N'empêche, si t'aimes dormir tranquille ou si tu es surbookée, extrais, tu vas gagner du temps.


dcs

12/09/2019 à 10h16

sympa mais
2 couronnes+2 inlay cores ou 1 couronne 2 ic coût ? efficacité ? longévité?
avec un bourbier potentiel au niveau de la gencive .(faut préparer et gérer et cela a un coût) )
le patient dira (dans 2 3,5,10 ans )et pensera que tu t es acharné sur la dent , qu il a payé pour rien car il faut extraire et mettre un implant .......;
bilan : rapport prix efficacité emmerdement et réalisme ......implant sinon tu expliques bien les enjeux au patient , tu lui fait signer son consentement sur le protocole i2 ic + couronnes mais il pourra toujours t attaquer...... quand cela lâchera même si ce ne st pas en rapport avec ton geste .
bonne journée


Images oecc9d ijdijh - Eugenol
Akrobat

12/09/2019 à 10h32

Mets au moins un clamp quand tu fais tes endos. Ça maintient les cotons, c'est très pratique...


Ylfwcw979cz1jnx9gfqeaxndiuzk - Eugenol
Algi

12/09/2019 à 13h44

Dcs...

Ok implant de suite....

Et comment il sera dans 10 ans cet implant ?

Donc peut être pas si con de faire durer la dent si le patient est d'accord.


--

https://open.spotify.com/user/8iz7teu84dfphmgspeh2979o8/playlist/59Tfpt7zoHfkI27430lfNg?si=MAiYEkb2S6mMV6qNX2aFwg


On a toujours le choix mais entre quoi et quoi?
Vas-y boulégue et l'avenir te le dira!


makalu

12/09/2019 à 15h03

A la Fac ,il a très très longtemps, j'avais un vieux prof qui répétait souvent :" Don't be a hero , les patients n'en seront jamais reconnaissants ". Il avait bien raison. Des séparations de racines avec des reconstructions acrobatiques dessus j'en ai fait plein mais aujourd'hui c'est terminé. 1ere séance : extraction. 2eme séance 3 mois après : implant et PC quand ce dernier est ostéo intégré. C'est moderne et comme l'a justement dit quelqu'un plus haut, on dort bien ! Après chacun fait comme il veut.


12