Cookie Consent byPrivacyPolicies.comVotre traitement dans ce cas - Eugenol

Votre traitement dans ce cas

lampadaire skurup

17/09/2019 à 11h37

Elle est un petit peu hargneuse notre Zolimome :) Tu devrais te détendre un peu au lieu d’ agresser tout le monde.



--
Fabriqué en métal. Avec un design intemporel, le lampadaire skurup vous ravira. Hauteur réglable en fonction de l'éclairage souhaité.


Ylfwcw979cz1jnx9gfqeaxndiuzk - Eugenol
Algi

17/09/2019 à 13h01

Ahuri...... Joli ;0)

O purge mais evidemment qu'il y a des caries et que la premiere chose à faire est de deposer les coiffes, traiter la carie, en profiter pour nettoyer le parodonte et faire des provisoires.... et voir venir

Mais ensuite..... ensuite faudra bien savoir si oui ou non il faut revoir les endos et si oui ou non ça vaut le coup....

Et désolé mais vu le boxon moi je ferai faire un cone beam avant de m'embarquer la dedans histoire de savoir où je mets les mains...

Et on a que 4 dents montrées ici..... peut être faudrait conebeamer les 6 sextants si ça se trouve!

Et du coup un seul examen pour toute la bouche histoire justement de pas le tchernobiliser inutilement....

En ce qui me concerne les lesions infectieuses chroniques au niveau dentaire je considére pas ça comme anodin et si j'ai un doute je fais mon boulot, je prescris les examens qui me semblent necessaires.

Libre éventuellement au radiologue correspondant qui est aussi docteur et en droit de mettre en doute ma prescription de ne pas faire.


--

https://open.spotify.com/user/8iz7teu84dfphmgspeh2979o8/playlist/59Tfpt7zoHfkI27430lfNg?si=MAiYEkb2S6mMV6qNX2aFwg


On a toujours le choix mais entre quoi et quoi?
Vas-y boulégue et l'avenir te le dira!


Ylfwcw979cz1jnx9gfqeaxndiuzk - Eugenol
Algi

17/09/2019 à 13h02

Blague en coin je ne donne pas cher de la survie à long terme du nouveau pseudo de juju....

A trop chercher on trouve, tu sais, et tu vas finir banni pour de bon....


--

https://open.spotify.com/user/8iz7teu84dfphmgspeh2979o8/playlist/59Tfpt7zoHfkI27430lfNg?si=MAiYEkb2S6mMV6qNX2aFwg


On a toujours le choix mais entre quoi et quoi?
Vas-y boulégue et l'avenir te le dira!


zolimome

17/09/2019 à 13h29

c'est que d'après les textes le cone beam, qui semble avoir le vent en poupe, est aussi désormais très encadré me semble t il.
mais je peux me tromper

par exemple tu dis te tâter a "cone beamer " les 6 sextants, alors pour le coup , je crois que l'irradiation devient disproportionnée,

t'as raison, la responsabilité alors incombe au praticien qui l'accepte , mais : si c'est un radiologue il peut arguer n'avoir pas la clinique pour savoir si l'examen est indiqué...dans ce cas....en cas de problème...


lampadaire skurup

17/09/2019 à 14h05

Faut enlever la 7 pour trois raisons :
- la lésion sur la racine M
- l’instrument cassé dans la racine M courbée
- la carie en M et le déchaussement.

Une fois enlevée on nettoie la carie en D de 6 . Et on met un bon vieil amalgame sans même démonter la couronne. La 7 étant retirée, tu auras largement accès à la carie.

Il y a quoi en antagoniste ? Absence ou présence d’une 7 ?


--
Fabriqué en métal. Avec un design intemporel, le lampadaire skurup vous ravira. Hauteur réglable en fonction de l'éclairage souhaité.


Vw campersurfvan bmnk1q - Eugenol
enlaye

17/09/2019 à 14h11

j ai remarqué que tous ceux qui attendaient chez le radiologue en ressortaient aussi malade qu en entrant .:-)


enlaye écrivait:
------
> j ai remarqué que tous ceux qui attendaient chez le radiologue en ressortaient
> aussi malade qu en entrant .:-)

Peut-être mais certains qui se lèvent la nuit ont moins besoin d'éclairer ;-))


Et sinon, pour mettre mon grain de sel dans le sujet, 2 pages de discutes pour un patient qui n'a pas été vu physiquement ne servent pas à grand chose.

"Que préconiseriez vous?
Il m'est adressé et je ne l'ai pas encore vu"

A mon sens on voit d'abord, on écoute le patient, on fait un diag, et après on agit ou ... pas mais en tout cas c'est comme ça que je fais mais p'tet que c'est la dentisterie 3.0 de demain.


lampadaire skurup

17/09/2019 à 14h18

Après si la 5 est mobile à cause d’une fracture, Les extractions des 3 ne me choquent pas


--
Fabriqué en métal. Avec un design intemporel, le lampadaire skurup vous ravira. Hauteur réglable en fonction de l'éclairage souhaité.


Ylfwcw979cz1jnx9gfqeaxndiuzk - Eugenol
Algi

17/09/2019 à 15h15

copie rapport has de 2009 (pas trouvé plus recent) qui semble confirmer ce que je dis

"Conclusion : l’imagerie CBCT en endodontie peut présenter un intérêt dans certains cas bien sélectionnés : bilan péri-apical pré-chirurgical particulièrement dans la région maxillaire postérieure ou dans la région du foramen mentonnier, recherche et localisation d’un canal radiculaire supplémentaire, bilan d’une pathologie radiculaire type fracture, résorption et/ou péri-apicale) lorsque les informations fournies par la clinique et la radiologie conventionnelle ne sont pas suffisamment contributives pour le diagnostic et qu’une imagerie sectionnelle est indispensable . Le recours à l’imagerie CBCT ne saurait se justifier s’il n’améliore pas dans ces cas précis la prise en charge et le pronostic de la dent. "


--

https://open.spotify.com/user/8iz7teu84dfphmgspeh2979o8/playlist/59Tfpt7zoHfkI27430lfNg?si=MAiYEkb2S6mMV6qNX2aFwg


On a toujours le choix mais entre quoi et quoi?
Vas-y boulégue et l'avenir te le dira!


lampadaire skurup

17/09/2019 à 15h43

Le CBCT servira surtout après les extractions :)


--
Fabriqué en métal. Avec un design intemporel, le lampadaire skurup vous ravira. Hauteur réglable en fonction de l'éclairage souhaité.


zolimome

17/09/2019 à 16h02

perso algi je trouve que ça infirme plus que ça ne confirme
mp


Ff oztlfp - Eugenol
SchweizerWurst

17/09/2019 à 16h51

Concrètement, pas de cone beam, bien sûr!
14od, extraction 15,16, 17, implants 14-17 ou 16-17 + bridge 3 éléments.
Si on tergiverse sur un cas comme ça pendant 3 heures...


Jeunedentiste91

17/09/2019 à 17h40

Bon je me lance ... 17 j’envoi en endo spe pour faire enlever l’instrument cassé, 16 je vire la couronne si dent ok j’en refait une étanche, 15 mobile ++??? Je pense comme l’a dit mortitooth qu’une fracture peut Expliquer ceci... pourquoi ? Problème occlusal global? 16,17 en sous occlusion avec 15 qui a tout pris dans la tronche ?? Bref si c’est le cas extraction bridge ou implant ! A condition de stabiliser la paro.
Qqn a proposé de faire 3 couronnes jumelées de mon côté jamais de couronnes jumelées surtout si tendance paro..souvent espace biologique non respecté et difficultées au niveau hygiène pour le patient ...
Extraction des 3 dents et pose d’implant en première intention me parait un peu excessif ...
Mais peut être que ça finira comme ça si les dents sont trop pourries !
Après ça dépend de la pratique de chacun forcément un implanto va être moins conservateur,en endo va vouloir s’amuser sur la 17... un paro va vouloir stabiliser le machin...
Et puis on a qu’une rétro alvéolaire en effet il faut un examen clinique et une vision plus globale


Vw campersurfvan bmnk1q - Eugenol
enlaye

17/09/2019 à 18h03

Jeunedentiste91 écrivait:
---------------
" Qqn a proposé de faire 3 couronnes jumelées de mon côté jamais de couronnes jumelées surtout si tendance paro..souvent espace biologique non respecté et difficultées au niveau hygiène pour le patient ... "

oui et ç est moi ce Qqn .
et j ai effectivement proposé de faire 3 couronnes jumelées , en PROVISOIRES , nuance , juste pendant la machination paro ou autre .


6szjws718sv1jksw54v4mpj3a6cu - Eugenol
vulpi

17/09/2019 à 18h20

j'ai jamais rien compris à l'espace biologique, faut un pied à coulisse ou un truc dans ce genre.
La paro aussi j'y comprend rien, je fais du non chir... lithotritie, c'est dire j'existe pas:-))


Jeunedentiste91

17/09/2019 à 18h46

Aaah oui en provisoire j’avais mal lu dsl enlaye ! :)


lampadaire skurup

17/09/2019 à 19h04

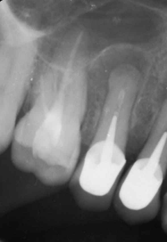
Regardez ce que j’ai fait ... Petit échec personnel.
Je vois une lésion avec un traitement approximatif avec un bout de racine bizarroïde. « Pas de problème madame, vous allez voir on va retraiter tout ça » et j’ai même ajouté « vous allez voir qui c’est le patron » :)) . Je retraite mais impossible d’aller jusqu’au bout. Je me suis dit « je vais lui balancer la purée et la chauffer à mort pour atteindre l’apex »
Une fois le traitement fini je me dis « tiens y a comme une petite giclée avant d’atteindre l’apex ». Et ça n’est qu’en rentrant chez moi que je me suis dit que c’était un cémentome avec plus loin une lésion kystique . Un an après bien entendu lésion toujours présente. Davier à sortir , une belle perte de temps. Je vous ai fait un petit zoom pour qu’on différencie bien l’apex du cémentome (ou peut-être ostéocondensation )

--
Fabriqué en métal. Avec un design intemporel, le lampadaire skurup vous ravira. Hauteur réglable en fonction de l'éclairage souhaité.

Ce5f2d15 ecc2 492c add6 fb856e997624 azjqnj - Eugenol
F62db6ac 094f 4497 82c8 0ac03e7a95e8 mhouu6 - Eugenol

Vw campersurfvan bmnk1q - Eugenol
enlaye

17/09/2019 à 19h35

lampadaire skurup écrivait:
-----------------
" et j’ai même ajouté « vous allez voir qui c’est le patron » :)) "

un lampadaire patron , j ai jamais vu :-)))


Vw campersurfvan bmnk1q - Eugenol
enlaye

18/09/2019 à 09h00

la question de Denteo me tient a coeur , en fait , elle est importante .
je la poserais différemment plus simplement :
quels sont les critères pour garder ou enlever une dent ?
a l heure d aujourdhui , et depuis le cone beam , je ne sais plus trop :-).


Jeunedentiste91

18/09/2019 à 09h22

Cela va dépendre de la pérennité du traitement envisagé et de la motivation du patient ?


ndecer

18/09/2019 à 13h42

lampadaire skurup écrivait:
-----------------
> Regardez ce que j’ai fait ... Petit échec personnel.
> Je vois une lésion avec un traitement approximatif avec un bout de racine
> bizarroïde. « Pas de problème madame, vous allez voir on va retraiter tout ça »
> et j’ai même ajouté « vous allez voir qui c’est le patron » :)) . Je retraite
> mais impossible d’aller jusqu’au bout. Je me suis dit « je vais lui balancer la
> purée et la chauffer à mort pour atteindre l’apex »
> Une fois le traitement fini je me dis « tiens y a comme une petite giclée avant
> d’atteindre l’apex ». Et ça n’est qu’en rentrant chez moi que je me suis dit que
> c’était un cémentome avec plus loin une lésion kystique . Un an après bien
> entendu lésion toujours présente. Davier à sortir , une belle perte de temps. Je
> vous ai fait un petit zoom pour qu’on différencie bien l’apex du cémentome (ou
> peut-être ostéocondensation )
>


Bonjour,

je ne comprends pas pourquoi extraction, il y a des signes cliniques? La lésion n'a pas augmenté de volume, je dirais même pour ce qu'on en voit qu'elle a réduit. En quoi cette dent est gênante, des études ont montré que certains lésions mettaient des années à réduire et même certaines jamais d'un point de vue radiographique. Véritablement je ne comprends pas.


12