Cookie Consent byPrivacyPolicies.comoulaaa ça pisse !?? - Eugenol

oulaaa ça pisse !??

lachmar

20/09/2019 à 10h14


puisque tu es gentil et que tu vas lui refaire son claquos , je te suggère de doubler le devis

si elle accepte ca fera passer les aigreurs )


Vw campersurfvan bmnk1q - Eugenol
enlaye

20/09/2019 à 10h31

pas besoin de lui refaire , j en ai eu pour 2 secondes .
le labo a fait une double erreur


Ylfwcw979cz1jnx9gfqeaxndiuzk - Eugenol
Algi

20/09/2019 à 10h33

Tu as ouvert la fenêtre et jeté le claquos à la mer ?


--

https://open.spotify.com/user/8iz7teu84dfphmgspeh2979o8/playlist/59Tfpt7zoHfkI27430lfNg?si=MAiYEkb2S6mMV6qNX2aFwg


On a toujours le choix mais entre quoi et quoi?
Vas-y boulégue et l'avenir te le dira!


Ylfwcw979cz1jnx9gfqeaxndiuzk - Eugenol
Algi

20/09/2019 à 10h33

Remarque... Si il était pas top propre ça bromuge bien...


--

https://open.spotify.com/user/8iz7teu84dfphmgspeh2979o8/playlist/59Tfpt7zoHfkI27430lfNg?si=MAiYEkb2S6mMV6qNX2aFwg


On a toujours le choix mais entre quoi et quoi?
Vas-y boulégue et l'avenir te le dira!


Nouveau image bitmap fz77zh - Eugenol
Sethef

20/09/2019 à 10h42

Ils ont confondu et ils lui ont fait un duplicata du complet bas?


Hok 1b hgd3rj - Eugenol
Hokusai

20/09/2019 à 10h44

enlaye écrivait:
------
> pas besoin de lui refaire , j en ai eu pour 2 secondes .
> le labo a fait une double erreur

il a collé la feuille d'étain sur l'empreinte au lieu du modele… le con...


Vw campersurfvan bmnk1q - Eugenol
enlaye

20/09/2019 à 10h45

bon déjà les analyses sont impec :
tp 100%
globules , plaquettes ,impec
biochimie du sang , ras
ç est déjà ça .


Vw campersurfvan bmnk1q - Eugenol
enlaye

20/09/2019 à 10h53

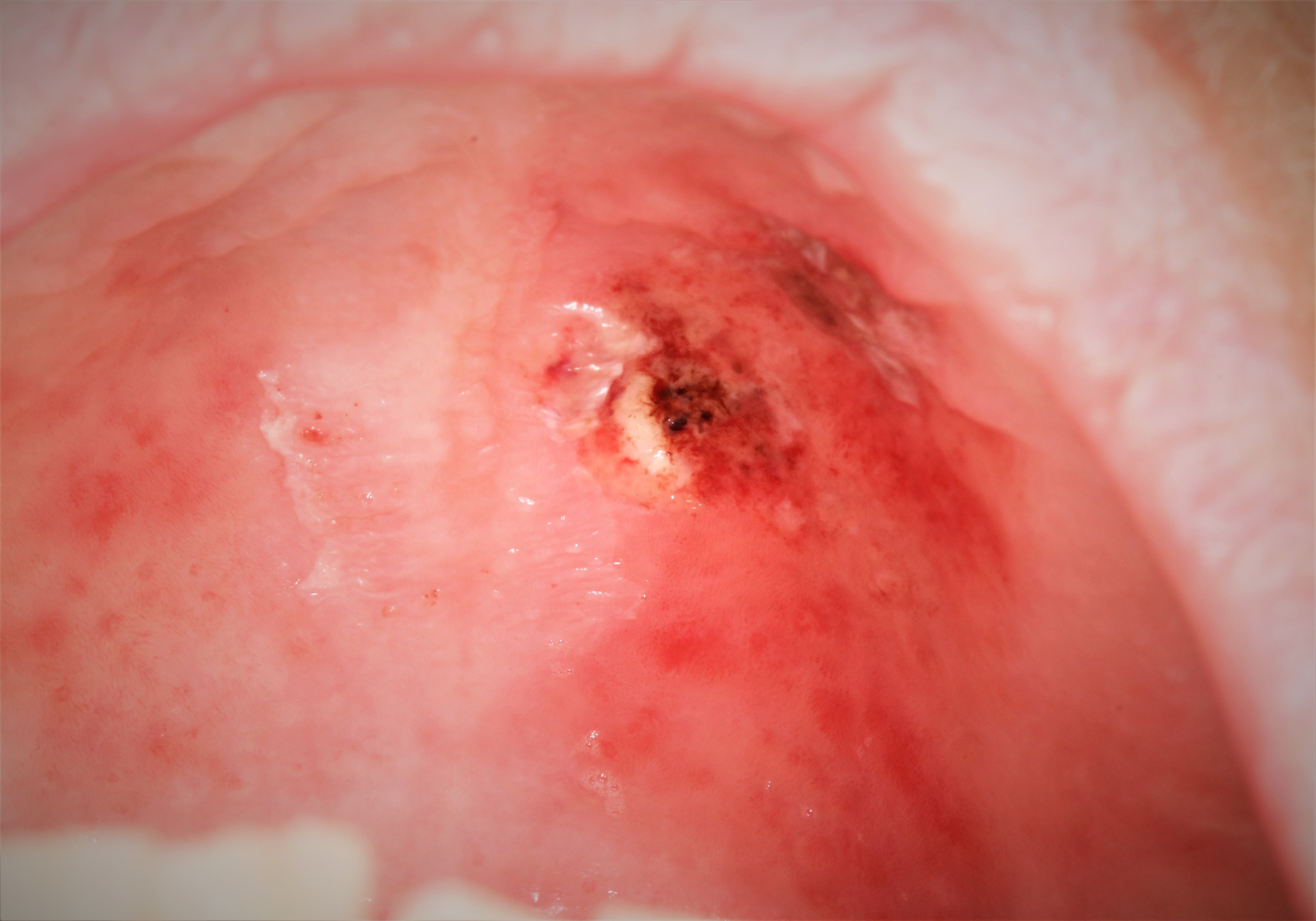
ce matin après électrocoagulation à l hosto , ç est comme ça .
pas de suspicion de truc malin d après eux .

 mg 1800 jmrssy - Eugenol

Bon , qu'est ce qu'elle avait Mamie Globule, tu vas avouer où te faut la lumière dans la tronche.

Elle a mangé un couscous et avait oublié de faire cuire la graine et les pois chiches ?


Vw campersurfvan bmnk1q - Eugenol
enlaye

20/09/2019 à 11h41

a mon avis un petit éclat de résine estanqué dans le palais


zolimome

20/09/2019 à 11h43

dommage que tu sois gentil, ce genre de cas est tellement démonstratif...


lampadaire skurup

20/09/2019 à 11h50

Les plombiers, quand ils ont une fuite qu’ils ne trouvent pas , font passer de la fumée colorée dans les tuyaux. Est-ce que t’as essayé d’en profiter pour lui mettre de la fumée colorée pour voir si ça sort bien par le nez ? Car ça se trouve il y a deuxième fuite autre part. On ne sait jamais


--
Fabriqué en métal. Avec un design intemporel, le lampadaire skurup vous ravira. Hauteur réglable en fonction de l'éclairage souhaité.


Vw campersurfvan bmnk1q - Eugenol
enlaye

20/09/2019 à 11h51

bon je vous dit tout .
effectivement , cela est à cause de mon appareil !
mais, mais , j ai compris pourquoi , en menant mon enquête .


Ylfwcw979cz1jnx9gfqeaxndiuzk - Eugenol
Algi

20/09/2019 à 11h53

O tu vas accoucher ou pas ?


--

https://open.spotify.com/user/8iz7teu84dfphmgspeh2979o8/playlist/59Tfpt7zoHfkI27430lfNg?si=MAiYEkb2S6mMV6qNX2aFwg


On a toujours le choix mais entre quoi et quoi?
Vas-y boulégue et l'avenir te le dira!


Elle a mangé des oursins sans son appareil et savait pas les ouvrir ?


Vw campersurfvan bmnk1q - Eugenol
enlaye

20/09/2019 à 11h56

vous vous rappelez de mon post sur le besoin de limer les crêtes proximales saillantes ? :-))
ç est ce qui m a fait comprendre l historique de ce cas , et élucider l affaire .


A fait une tite gaterie à l'homme de fer ?


Capture d écran 2018 05 16 à 21.30 - Eugenol
Daryl

20/09/2019 à 12h13

enlaye écrivait:
------
> bon je vous dit tout .
> effectivement , cela est à cause de mon appareil !
> mais, mais , j ai compris pourquoi , en menant mon enquête .

Ton appareil de 20 ans ou celui que ton pote proto a refait en loucedé ??


Vw campersurfvan bmnk1q - Eugenol
enlaye

20/09/2019 à 12h19

vous etes pressé donc je vous donne la soluce
en fait ce qui s est passé , ç est qu elle avait fait tomber mon appareil de 1997 dans le lavabo et qu il s est fendu ( a mon avis le fait qu il soit tombé , ce n est pas forcement ça qui l a fendu , d'ailleurs )
alors elle est directement allé voir son ami Polo dit le conno qui lui a bricolé la reparation
bien sur en tant que bon chapacan , il n a pas fait les finitions dans l intrado et il y a des bavures par ci par là
donc au final ç est bien mon appareil qui l a blessé , mais suite à sa rep .

Intrado dsvrum - Eugenol

6szjws718sv1jksw54v4mpj3a6cu - Eugenol
vulpi

20/09/2019 à 12h26

Mouais...


Vw campersurfvan bmnk1q - Eugenol
enlaye

20/09/2019 à 12h27

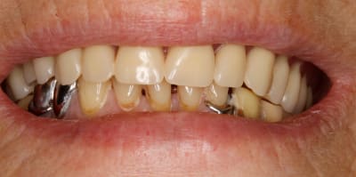
et il en a profité pour lui en vendre un neuf par la meme occasion ,appareil que voilà

2019 ufjoef - Eugenol
20192 z0ru12 - Eugenol

Bizarre quand même qu'un chti bout de résine non poli soit l'origine d'un saignement d'un telle ampleur.


Vw campersurfvan bmnk1q - Eugenol
enlaye

20/09/2019 à 12h32

si ç est une echarde de resine qui s est décollée puis plantée dans un muqueuse déjà enflammé , peut etre , non ? peut etre bien que lorsque je l ai vu hier l écharde y était encore


Vw campersurfvan bmnk1q - Eugenol
enlaye

20/09/2019 à 12h39

ce qui est sur ç est qu au niveau occlusion l' appareil 2019 du conno , ça n allait pas .
sur contact ant + interference proximale . l appareil la " chauffait " a mon avis a cause des mvts induits .
le montage est trop resserré , il a même enlevé le diasteme que j avais mis à l epoque .

 mg 1804 qucnww - Eugenol
 mg 1808 mq3pdq - Eugenol

Hok 1b hgd3rj - Eugenol
Hokusai

20/09/2019 à 12h39

ca c'est parce qu'il a utilisé de la résine de mauvaise qualité...


1234...