Cookie Consent byPrivacyPolicies.comFini les detartrages... - Eugenol

Fini les detartrages...

Ylfwcw979cz1jnx9gfqeaxndiuzk - Eugenol
Algi

21/09/2019 à 11h59

Payez vous un laser.....

1/ séance de motivation et explications brossage...

2/ rdv à 3 semaines pour 1er détartrage et 2 gingivectomies qui prennent 10 minutes.

92€

Si ça suffit rdv à 3 mois mais en général 2ème séance 15 jours plus tard, permettant de voir si patient sérieux....

Si sérieux et motivé, vu qu'il voit que ce va mieux, proposition séances surfacage et devis.

3/ revoyure ensuite tous les 3 mois
--

https://open.spotify.com/user/8iz7teu84dfphmgspeh2979o8/playlist/59Tfpt7zoHfkI27430lfNg?si=MAiYEkb2S6mMV6qNX2aFwg


On a toujours le choix mais entre quoi et quoi?
Vas-y boulégue et l'avenir te le dira!


Vw campersurfvan bmnk1q - Eugenol
enlaye

21/09/2019 à 12h43

eh qué devis ? et tu veux pas me payer en ticket restaurant tant que t y es ? aller vaille envoies 10 sacs et on en parle plus .


Pierre logo clykpp - Eugenol
Denteo33

21/09/2019 à 15h08

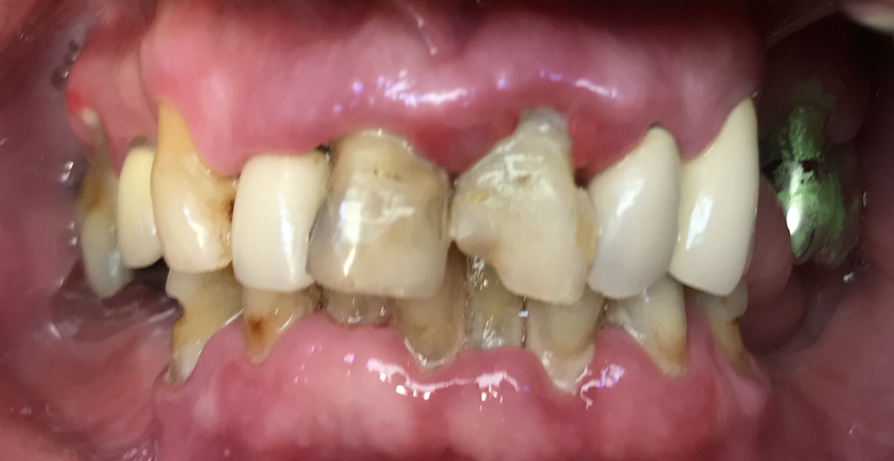
Mon bilan parodontal n’a qu’un but : le NR
Selon le patient, je noterai les profondeurs de poche, les dents fragiles, les particularités du patient... 🍮


Capture d écran 2018 05 16 à 21.30 - Eugenol
Daryl

21/09/2019 à 17h26

ok merci Denteo ;-)


579482 10150853902839038 1346467120 n lry9nx - Eugenol
paulcast

22/09/2019 à 09h16

Pour moi ce n'est jamais qu'un détartrage. C'est soit un premier contact et donc un plan de traitement et devis, soit un contrôle annuel. Dans tous les cas, c'est 4 btw et détartrage haut et bas.


Hok 1b hgd3rj - Eugenol
Hokusai

22/09/2019 à 09h54

paulcast écrivait:
--------
> . Dans tous les cas,
> c'est 4 btw et détartrage haut et bas.

;)


zebigboss

22/09/2019 à 12h56

PAS DE RENDEZ-VOUS " POUR UN DETARTRAGE" !!!
Passe le mot à ta secrétaire.
Le patient n' a rien à vouloir, c'est toi le patron !
Et tu n'es pas garçon coiffeur.
Cela éliminera bien des soucis.
Et de toutes manières, un détartrage effectué sans examen / bilan préalable est une FAUTE PROFESSIONNELLE !


0524 fatah al islam wl0jd5 - Eugenol
Lacrosse

22/09/2019 à 13h51

"pas de rdv pour un détartrage"... Mais quelle hypochrisie...


Hok 1b hgd3rj - Eugenol
Hokusai

22/09/2019 à 14h27

Un détartrage non...


Nouveau image bitmap fz77zh - Eugenol
Sethef

22/09/2019 à 18h58

Hokusai écrivait:
-------
> Un détartrage non... Deux coup de "bzim bzim" pour 40e oui !!! La rentabilité
> horaire d une orthoptiste... Bienvenue en raczeroquie.

Ben à la fois, à part la première fois que tu leur fais, y'a pas besoin de plus, si?


Hok 1b hgd3rj - Eugenol
Hokusai

22/09/2019 à 19h09

Sethef écrivait:
------
> Hokusai écrivait:
> -------
> > Un détartrage non... Deux coup de "bzim bzim" pour 40e


Nouveau image bitmap fz77zh - Eugenol
Sethef

23/09/2019 à 07h38

Mouais. Je sais même pas réellement ce que je veux défendre, mais 15min pour gratouiller, plus 2 ou 4 rétros tous les 3 ans, ça fait 200 balles de l'heure, aucune fatigue et pas de frais variables, moi j'en demande pas plus.

Pour les suivis paros, je leur mets d'avance le rdv suivant à 3 ou 6 mois.


Vw campersurfvan bmnk1q - Eugenol
enlaye

23/09/2019 à 08h15

Denteo33 écrivait:
--------
"Mon bilan parodontal n’a qu’un but : le NR
Selon le patient, je noterai les profondeurs de poche, les dents fragiles, les particularités du patient... "

et donc , tu les mesures tous les 6 mois ?
t es un géomètre en fait :-)


Hok 1b hgd3rj - Eugenol
Hokusai

23/09/2019 à 08h21

Sethef écrivait:
------
> Mouais. Je sais même pas réellement ce que je veux défendre, mais 15min pour
> gratouiller, plus 2 ou 4 rétros tous les 3 ans, ça fait 200 balles de l'heure,
> aucune fatigue et pas de frais variables, moi j'en demande pas plus.

Bon sinon a quand le rac0 en ortho et en implanto ???


Vw campersurfvan bmnk1q - Eugenol
enlaye

23/09/2019 à 09h30

Hokusai écrivait:
-------
" Bon sinon a quand le rac0 en ortho et en implanto ??? "

arrêtes tu m excites


Nouveau image bitmap fz77zh - Eugenol
Sethef

23/09/2019 à 09h34

Hokusai écrivait:
-------
> Sethef écrivait:
> ------
> > Mouais. Je sais même pas réellement ce que je veux défendre, mais 15min pour
> > gratouiller, plus 2 ou 4 rétros tous les 3 ans, ça fait 200 balles de l'heure,
> > aucune fatigue et pas de frais variables, moi j'en demande pas plus.
>
> 200e CA de l heure pour 120e/h d charges... Ça te fait 80e de benef super
> brut... Comme une coiffeuse dame. Remarque 80e de benef brut c est la
> rentabilité horaire de rac0... Il va tirer la gueule le concessionnaire
> Porsche.
>
> Bon sinon a quand le rac0 en ortho et en implanto ???

80 de l'heure, aucune fatigue, aucune responsabilité? Dis moi où je signe, je suis prêt à faire ça toute la journée. Sauf que là j'en ai que 4 aujourd'hui, déjà c'est plus que d'habitude, va encore falloir que je bosse, c'est chiant.


Vw campersurfvan bmnk1q - Eugenol
enlaye

23/09/2019 à 09h34

Denteo33 écrivait:
--------
" Mon bilan parodontal n’a qu’un but : le NR Selon le patient, je noterai les profondeurs de poche, les dents fragiles, les particularités du patient... "

là ou ç est embêtant , ç est que si tu mesures qu' une dent est foutue , tu lui enlèves pour 33 , la séance d après ? pas cher :-)


Nouveau image bitmap fz77zh - Eugenol
Sethef

23/09/2019 à 09h36

Et surtout, quand t'as mesuré tout ça, pourquoi pas fait des tests bactériens et génétiques, tu fais quoi finalement, à part lui dire de frotter et grattouiller, à tarif opposable?


lampadaire skurup

23/09/2019 à 09h51

« Ze comprends pas pourquoi mes dents bougent, ze saigne beaucoup, pourtant ze les nettoie régulièrement »


--
Fabriqué en métal. Avec un design intemporel, le lampadaire skurup vous ravira. Hauteur réglable en fonction de l'éclairage souhaité.

C4b149bf 2d27 437d 97e4 5214c28cc6b6 fl3hnh - Eugenol

Vw campersurfvan bmnk1q - Eugenol
enlaye

23/09/2019 à 10h48

déjà écrit et un peu édité.

1er rdv en urgence
" blablabla , cher devis cher , blablabla alors j y dit blablabla ç est normal ça Dr ? blablabla ...."
--- zzzzzz
" et alors j y dit blalblabla "
--- t'ain ça fait dejà 5 mn qu elle est là , et j en peux plus
" blablabla .....mais d abord un BON detartrage ! "

Ouffff le mot qu' il fallait pas dire , le mot mistigri qui compte triple qui me rend dingue fou
ç en est trop ,ç est elle ou moi , pourtant je m étais promis de ne plus le faire , le duel à mort ,le combat déloyal que même la convention de Genève & Bhinas réunis n approuvent pas .

alors tjs sans rien dire ,je penche un peu la tète de coté et je la regarde fixement dans les yeux ,elle me regarde aussi un peu étonnée et s arrête de parler net , ambiance western spaghetti .

et là , tout en la fixant je dégaine du tiroir mon arme ultime sans dire un mot :
la paire de lunette cassée avec le verre qui tient par miracle !! :-)
et comme d ab , au moment où je la mets lentement tout en la fixant , , je pousse avec le doigt , et le verre tombe par terre .
"" HOP là , mince j y vois plus rien ,comment on fait ? on fait quand même ? ou bien on se revoit ????? ""
:-)))


Hok 1b hgd3rj - Eugenol
Hokusai

23/09/2019 à 10h54

Sethef écrivait:
------
> 80 de l'heure, aucune fatigue, aucune responsabilité? Dis moi où je signe


Hok 1b hgd3rj - Eugenol
Hokusai

23/09/2019 à 10h56

enlaye écrivait:
------
> Denteo33 écrivait:
> --------
> " Mon bilan parodontal n’a qu’un but : le NR Selon le patient, je noterai les
> profondeurs de poche, les dents fragiles, les particularités du patient... "
>
> là ou ç est embêtant , ç est que si tu mesures qu' une dent est foutue , tu
> lui enlèves pour 33 , la séance d après ? pas cher :-)

Pire... Aux radio tu vois une carie mésiale sur 17...


Capture d écran 2018 05 16 à 21.30 - Eugenol
Daryl

23/09/2019 à 11h02

Hokusai écrivait:
-------
> C est pour cela que je voulais faire bbd-detartro-ecvacuateur d abcès ologue
> exclusif... Mais helas c est impossible !!!

Et alors, question annexe , lors du BBD ( j'en ai beaucoup et dès 3 ans maintenant !!) c'est noté que l'on ne peut faire qu'un seul acte dans la même séance , genre on peut pas faire le BBD + un détartrage + une petite carie, vous le respectez ce truc du 1 seul acte ???

Et pis, qu'est ce que vous faîtes de mieux que Denteo 33 lors de vos bilan paro NR ??
Merci ;-)


Hok 1b hgd3rj - Eugenol
Hokusai

23/09/2019 à 11h08

Daryl écrivait:
-----
> Hokusai écrivait:
> -------
> > C est pour cela que je voulais faire bbd-detartro-ecvacuateur d abcès ologue
> > exclusif... Mais helas c est impossible !!!
>
> Et alors, question annexe , lors du BBD ( j'en ai beaucoup et dès 3 ans
> maintenant !!) c'est noté que l'on ne peut faire qu'un seul acte dans la même
> séance , genre on peut pas faire le BBD + un détartrage + une petite carie

Mais pourquoi ???


Hokusai écrivait:
-------
>Autant filer 50e a la maman

Ouhhlaaaaa, ça pourrait être mal interprété ça ;-)