Cookie Consent byPrivacyPolicies.comc'est quoi cet implant? - Eugenol

c'est quoi cet implant?

Fp0nzmvgll50biy - Eugenol
doc Holiday

22/09/2019 à 19h28

bonjour à tous
parfois www.whatimplantisthat ne suffit pas....
Alors si on pouvait se faire un forum la dessus ce serait top.
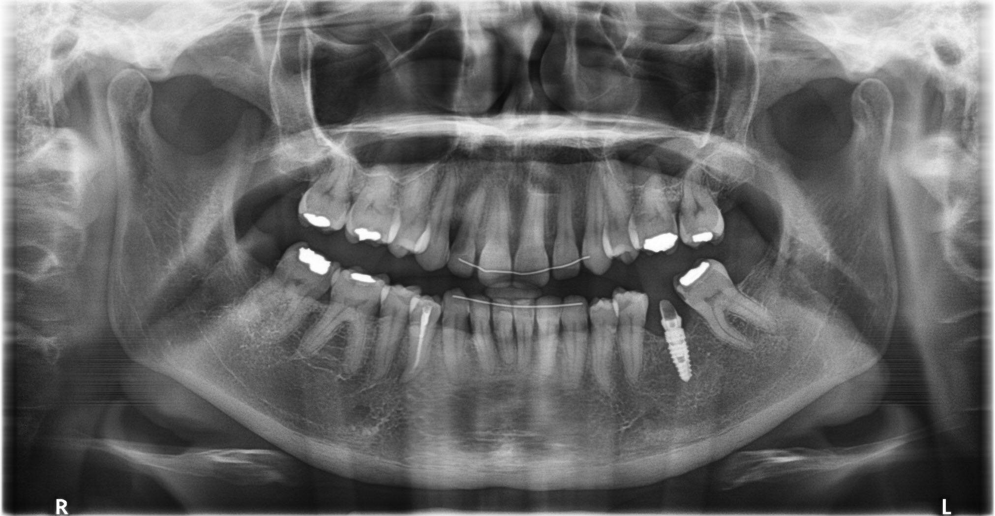
Je commence ci joint la pano
je sais juste que l'implant date d'environ 5 ans; la personne ne se rappelle pas qui lui a fait.
Merci

Rijxybum5gwg9clwvigs - Eugenol
Tc6ddakydpfqlxkoqb2h - Eugenol

Fp0nzmvgll50biy - Eugenol
doc Holiday

22/09/2019 à 19h31

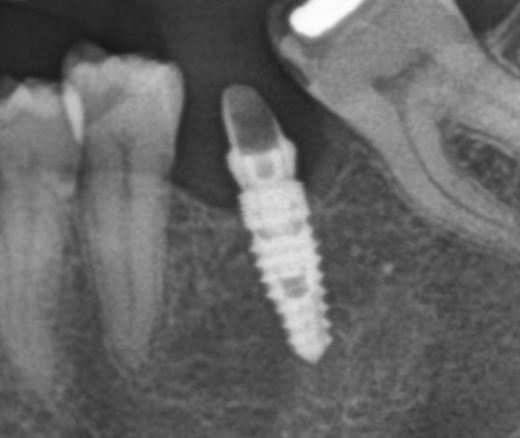
l'implant est conique, le col a des micros filets, l'apex est pointu, et la connexion est interne.


Photo pluton1b h9n4ea - Eugenol
pluton

23/09/2019 à 08h08

pour moi c'est un tiologic dentaurum....

http://osseosource.com/dental-implants/product_info.php?products_id=950


Fp0nzmvgll50biy - Eugenol
doc Holiday

23/09/2019 à 09h30

Merci Pluton😊


Photo pluton1b h9n4ea - Eugenol
pluton

23/09/2019 à 09h36

personne ne se rapelle de rien car c'est des implants qui étaient beaucoup utilisés dans les centre de soins low cost, si tu vois ce que je veux dire....


Botticelli birth venus 2 erg9vl - Eugenol
garance

23/09/2019 à 09h56

A mon tour, sur 16 et 17, je sais que c'est eurotechnica natural diamètre 4 mais je n'ai pas pu avoir de réponse pour 15 . le patient a des eurotechnica en 26 et 27 également posés par la même personne .
Alors , une idée pour 15 ?

20190922 183219 lvoewn - Eugenol

moi22

23/09/2019 à 10h30

garance écrivait:
-------
> A mon tour, sur 16 et 17, je sais que c'est eurotechnica natural diamètre 4
> mais je n'ai pas pu avoir de réponse pour 15 . le patient a des eurotechnica en
> 26 et 27 également posés par la même personne .
> Alors , une idée pour 15 ?

je pense à du TBR pour la 15


Photo pluton1b h9n4ea - Eugenol
pluton

23/09/2019 à 11h38

oui, TBR

http://osseosource.com/dental-implants/product_info.php?manufacturers_id=38&products_id=435


Fp0nzmvgll50biy - Eugenol
doc Holiday

23/09/2019 à 15h42

je pense pas que ça soit un dentaurum
le tiologic à une spire dédoublée et le tiolox n'a pas de microspire au col.
sur la radio la spire est simple et le col est microspiré


Fp0nzmvgll50biy - Eugenol
doc Holiday

23/09/2019 à 15h48

je vais chercher sur osseosource

36 me gm dpvlpu - Eugenol

Photo pluton1b h9n4ea - Eugenol
pluton

23/09/2019 à 16h08

doc Holiday écrivait:
-----------
> je vais chercher sur osseosource
m'est d'avis que tu aurais une RETRO et non un crop de la pano tu verrais plus de détails....
et donc on aurais une meilleure base de recherche....


Fp0nzmvgll50biy - Eugenol
doc Holiday

23/09/2019 à 16h09

je me demande si c'est pas un paltop

31npxk9lx7l - Eugenol

Fp0nzmvgll50biy - Eugenol
doc Holiday

23/09/2019 à 16h10

j'ai pas de retro
je vais la faire revenir ou demander à son praticien


Botticelli birth venus 2 erg9vl - Eugenol
garance

23/09/2019 à 16h21

Pluton, tu n'as pas une idée pour mon cas ?


Photo pluton1b h9n4ea - Eugenol
pluton

23/09/2019 à 16h26

garance écrivait:
-------
> Pluton, tu n'as pas une idée pour mon cas ?
je t'avais répondu TBR


Fp0nzmvgll50biy - Eugenol
doc Holiday

23/09/2019 à 18h39

son prat m'a envoyé une retro, mais c'est pas mieux que la pano

Guillerot martine 261127511417024 dr - Eugenol

doc Holiday écrivait:
-----------
> son prat m'a envoyé une retro, mais c'est pas mieux que la pano

Ben pourquoi il te donne pas carrément le nom de l'implant plutôt que la radio pourrave.


Fp0nzmvgll50biy - Eugenol
doc Holiday

23/09/2019 à 19h13

c'est pas lui qui l'a posé; elle a été dans un centre à Paris...


Botticelli birth venus 2 erg9vl - Eugenol
garance

25/09/2019 à 23h47

pluton écrivait:
------
> garance écrivait:
> -------
> > Pluton, tu n'as pas une idée pour mon cas ?
> je t'avais répondu TBR

Pardon, je n'avais pas vu .
En tout cas, vous êtes trop forts : j'ai pu contacter le poseur maintenant à la retraite qui m'a confirmé que c'est un TBR .Il va regarder dans ses carnets et me dire lequel .
Vous savez où l'on peut trouver des transferts d'implants pour cette marque ?


Photo pluton1b h9n4ea - Eugenol
pluton

26/09/2019 à 07h23

garance écrivait:

> Vous savez où l'on peut trouver des transferts d'implants pour cette marque ?

heu...chez TBR, non?


Fp0nzmvgll50biy - Eugenol
doc Holiday

26/09/2019 à 10h07

garance écrivait:

> Vous savez où l'on peut trouver des transferts d'implants pour cette marque ?

[email protected]
+33 6 74 79 53 30


Botticelli birth venus 2 erg9vl - Eugenol
garance

27/09/2019 à 00h35

pluton écrivait:
------
> garance écrivait:
>
> > Vous savez où l'on peut trouver des transferts d'implants pour cette marque ?
>
> heu...chez TBR, non?

Oups, je croyais que cette marque n'existait plus :(
L'implant c'est apparemment un "oct In" mais il ne retrouve pas le diamètre; un 3.5 ou un 4 .
J'ai appelé TBR du coup mais je n'ai pas dù avoir la bonne personne , si besoin j'appellerai le numéro donné par doc . Il ont une hotline pour aider à l'identification de l'implant : j'ai envoyé les radios mais pas de nouvelle pour le moment.
Alors, bises et bonne nuit
Le tournevis, c'est bien un hexagonal 1.2 ?


Fp0nzmvgll50biy - Eugenol
doc Holiday

27/09/2019 à 08h04

tbr c'est un hex plus petit 1mm

Tournevis tbr czhw5l - Eugenol

S2y2o1v7q53ws4r5wy6ou8czrpom - Eugenol
pxav

27/09/2019 à 08h09


les vis pour TBR (de mémoire) sont les mêmes que celles pour les anthofit Anthogyr pour la partie pilier, il faut que je vérifie, (j'en ai encore au cabinet)
Si TBR ne peux fournir, le plus simple serait peut être de faire en cadcam?


--
xbk
La connaissance s'acquiert par l'expérience, tout le reste n'est que de l'information." ALBERT EINSTEIN


Botticelli birth venus 2 erg9vl - Eugenol
garance

27/09/2019 à 13h25

j'ai appelé tbr, ils ne peuvent pas me dire : il faut acheter leur tournevis à 75 €, je vais essayé de m'en faire prêter un et la hotline par mail ou tel ne répond pas


12