Cookie Consent byPrivacyPolicies.comBilan médit - Eugenol

Bilan médit

Vw campersurfvan bmnk1q - Eugenol
enlaye

30/11/2019 à 23h36

Mireille-Mathieu écrivait:
----------------
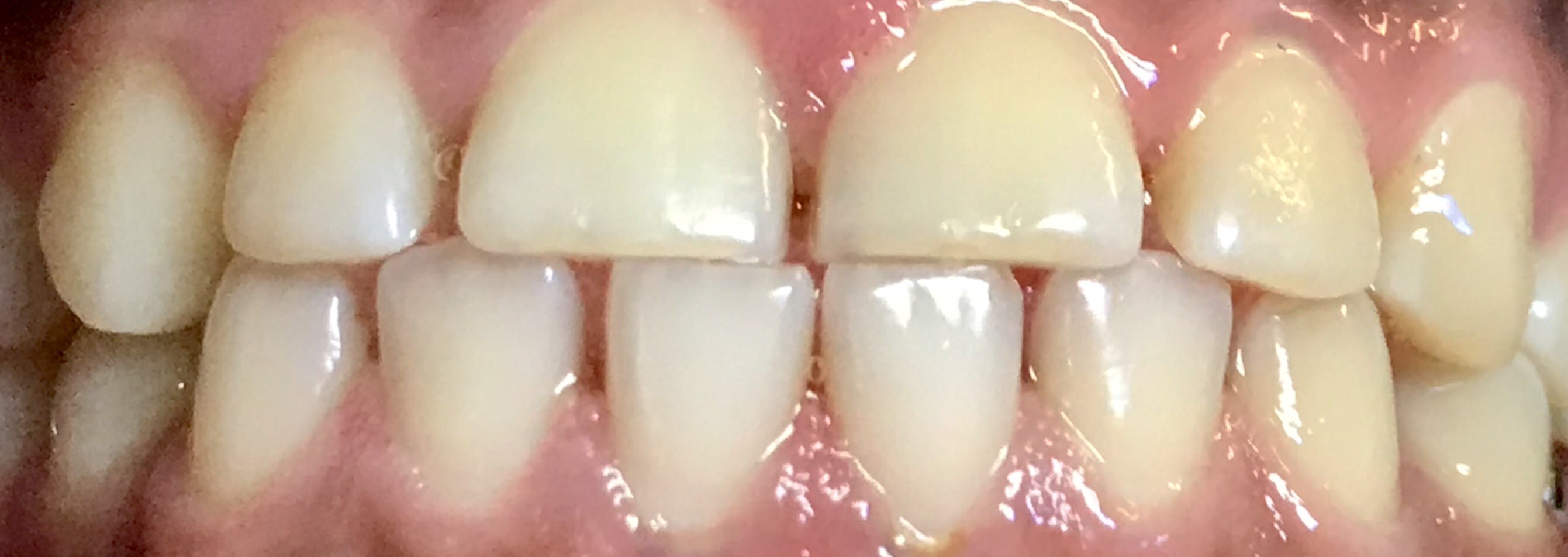
" personnellement j’ai remarqué que sur mes incisives supérieures j’avais deux glissières en palatin , qu’on appelle des crêtes marginales .... elles sont où ces fameuses glissières bien utiles pour guider l’incision ? "

ç est plus que ça .
- d abord par cette forme ç est un renfort de la centrale par effet de tuile :
si tu regardes bien la face occlusale de la centrale sup est décalée / racine , elle est projetée en avant . ce qui lui permet d avoir une forme arqué en cingulum . alors ces 2 crêtes marginales empêche la flexion de la partie coronaire .
- elles augmentent la proprioception en latéral :
si tu regardes bien la forme de la racine , elle est plate et l apex est tordu projeté en avant . ce qui veut dire que cette forme s oppose à l effet de couple de torsion due la forme des ces crêtes des qu un appui se fait sur l une d elle .

la somme de ces 2 caractéristiques fait que la centrale a une fonction de CENTRAGE à la fermeture : des que la mand atterrit de traviol sur le maxillaire , les crêtes reçoivent le contact ( renfort) , informent de la direction ( proprioception latérale) , ce qui permet de recentrer la mand pour que les incisives inf glissent gentiment dans le cingulum du haut avec une friction minimale et une vitesse ralentie .
Centrage à l ouverture : pareil mais à l envers :-)

et là on ne parle que des cretes , ç est bien fait une centrale , une merveille de technologie :-)


Utilisateur banni

01/12/2019 à 06h52

danteyeah écrivait:
---------
> Mireille-Mathieu
>
> > > Donc les facettes délabrent les dents pour toi!
> >
> > Bien entendu c’est dans pas mal de cas un délabrement puisque c’est collé. Je
> > vois pas mal de cas où j’ai honte pour notre profession. Je vois des patients
> > qui ont été abusés effectivement et oui on leur a collé ces merdes .
> > Après dans certains cas c’est justifié mais dans d’autres « on se dit que
> c’est
> > du délabrement »
> >
> « On se dit »????? Donc T’es pas tout seul, d’où la multiplication des
> avatars.....OK
> « C’est délabré puisque c’est collé »?????? Là je ne vois pas trop le
> rapport.....la colle délabre???? C’est pour ça que tu scelles tes inlays aux
> Cvimar alors

Alors nous allons prendre de notre temps pour t’expliquer en quoi c’est un délabrement . Tu as des dents qui sont souvent saines , et pour des raisons esthétiques tu leur colles de la céramique. Donc c’est à vie. Si un jour tu veux les enlever c’est toujours possible mais il va avoir de l’email qui va se barrer. Donc oui contrairement à ce que tu penses dans pas mal de cas , tu ne fais pas de la restauration, mais bien au contraire tu délabres les dents (avec ou sans préparation) puisque tu enduis avec de la colle la face antérieure de dents saines. Et cela encore plus si t’as taillé la dent avant. Alors ne me fais pas dire ce que je n’ai pas dit , nous avons remarqué que dans certains cas extrêmes, les facettes pouvaient avoir une utilité. Mais combien de fois n’avons-nous pas vu de dents parfaitement saines sans marque qui juste pour des petites raisons esthétiques se sont vus infligées la pose de facettes par un praticien avide d’argent qui a profité d’une faiblesse chez le patient ?

D’autre part tu remarqueras que pour éviter la fracture du bridge , le prothésiste a fait une longue jonction entre les deux dents allant jusqu’à la gencive. Comment le patient va-t-il pouvoir nettoyer au niveau de cette jonction puisque la céramique va jusqu’à la gencive ? Le patient ne pourra pas nettoyer dans cette zone, ce qui provoquera une inflammation gingivale.

--
La forme de ma coupe de cheveux futuriste me permet une meilleure pénétration dans l'air et d' avoir moins de résistance face au vent lorsque je me déplace.

84574ebc 914e 4a5d a24b 3e36a14d099b lutyvg - Eugenol
5de55f6a 269c 478c aaf8 ae3f802914ec w4xhrm - Eugenol

Bebe 038 nf8eum - Eugenol
danteyeah

01/12/2019 à 08h57

Mireille-Mathieu écrivait:
----------------
> Alors nous allons prendre de notre temps pour t’expliquer en quoi c’est un
> délabrement .

Merci pour cet effort

Tu as des dents qui sont souvent saines , et pour des raisons
> esthétiques tu leur colles de la céramique. Donc c’est à vie. Si un jour tu veux
> les enlever c’est toujours possible mais il va avoir de l’email qui va se
> barrer. Donc oui contrairement à ce que tu penses dans pas mal de cas , tu ne
> fais pas de la restauration, mais bien au contraire tu délabres les dents (avec
> ou sans préparation) puisque tu enduis avec de la colle la face antérieure de
> dents saines.

Pourquoi pas, un traitement quel qu’il soit présente des inconvénients et des avantages, notre boulot est donc d’arbitrer entre les deux et d’y inclure l’avis du patient pour obtenir un consentement éclairé de sa part

Et cela encore plus si t’as taillé la dent avant. Alors ne me fais
> pas dire ce que je n’ai pas dit , nous avons remarqué que dans certains cas
> extrêmes, les facettes pouvaient avoir une utilité.

Après « arbitrage «  le consentement éclairé du patient et de ses parents (le patient étant encore mineur), issu des radiographies rétro-alvéolaires, des informations tirées du cône beam, de l’avis de l’implanto, de l’historique et de l’état global buccal mais aussi des attentes esthétique et fonctionnelle du patient, nous sommes arrivés à la conclusion que la situation était « extrême » (pour reprendre ton expression)


Mais combien de fois
> n’avons-nous pas vu de dents parfaitement saines sans marque qui juste pour des
> petites raisons esthétiques se sont vus infligées la pose de facettes par un
> praticien avide d’argent qui a profité d’une faiblesse chez le patient ?

Tu as bien pointé le problème du doigt ici. J’ai remarqué que dans les quelques échanges avec moi, souvent, tu crée ton raisonnement sur des « à priori « , et tu me prêtes des intentions que je n’ai pas. Tu ne connais pas ton interlocuteur, mais après l’avoir jugé et catégorisé tu adaptes ton propos en fonction.

Les possibilités prothétiques pour ce cas étaient :

- Implant: avantage à 18 ans? A cet âge là et en secteur antérieur ni moi ni l’implanto N’en avons trouvé. Inconvénients à 18 ans? Risque important de décalage fonctionnelle est esthétique si pose avant fin de croissance totale avec nécessité de reprise de greffon osseux et conjonctif important à terme. Coût important, douleur et risque chirurgicale, incluant le délabrement tissulaire.

-Prothèse amovible: avantage? Coût faible et acte réversible . Inconvénients? Risques fonctionnels (occlusion, phonation), inesthétique, psychologiquement perturbant à cet âge

-TOBBI: avantages? Coût faible, simplicité de mise en œuvre. Inconvénients? Inconfort, esthétique perfectible et délabrement amélaire (supposé) suite au collage des bagues sur les 6

-Cantilever céramique : avantages? Esthétique, confortable, coût modéré, fonctionnel. Inconvénients? Apparente fragilité (il n’en est rien), délabrement amélaire réel, technicité relative du collage

-Bridge: avantages? Aucun, inconvénients? Tous.


> D’autre part tu remarqueras que pour éviter la fracture du bridge , le
> prothésiste a fait une longue jonction entre les deux dents allant jusqu’à la
> gencive. Comment le patient va-t-il pouvoir nettoyer au niveau de cette jonction
> puisque la céramique va jusqu’à la gencive ? Le patient ne pourra pas nettoyer
> dans cette zone, ce qui provoquera une inflammation gingivale.

Le fil dentaire est passé entre 11 et 12 puis glissé sous le pontique pour rejoindre aisément l’espace inter dentaire 11/21. La céramique Parfaitement polie est très facile à nettoyer et autorise un état gingival parfaitement sain.
Pour pérenniser ce résultat il faut être particulièrement vigilant au retrait des excédents de collage: la digue parfaitement étanche est incontournable.


Utilisateur banni

01/12/2019 à 10h02

Ah oui pourquoi pas passer par la 12 pour mettre le fil :))) et pourquoi pas pendant qu’on y est se gratter le nez en passant sa main entre les jambes, en se contorsionnant, puis en remontant sa main pour arriver enfin au nez ? :)))
Pourquoi pas aussi pour un trajet Paris Marseille passer par Honolulu ? C’est plus simple et c’est plus pratique. :)


--
La forme de ma coupe de cheveux futuriste me permet une meilleure pénétration dans l'air et d' avoir moins de résistance face au vent lorsque je me déplace.


Bebe 038 nf8eum - Eugenol
danteyeah

01/12/2019 à 10h31

Mireille-Mathieu écrivait:
----------------
> Ah oui pourquoi pas passer par la 12 pour mettre le fil :))) et pourquoi pas
> pendant qu’on y est se gratter le nez en passant sa main entre les jambes, en se
> contorsionnant, puis en remontant sa main pour arriver enfin au nez ? :)))
> Pourquoi pas aussi pour un trajet Paris Marseille passer par Honolulu ? C’est
> plus simple et c’est plus pratique. :)
>
Dommage tu redeviens con, et là c’est lassant


blaise2583

01/12/2019 à 12h17

Je n aime pas trop donner mon avis sur le travail des autres surtout que je vois défiler des choses pas descriptible... mais la dentayeah je trouve que tu as fait un beau travail et surtout tu as rendu bien service à ton patient.
En effet à 18ans il a encore quelques années avant l implant et peut etre des etudes à payer pour les parents donc ta solution me semble adaptée et lui permettra d attendre que les conditions soient réunies pour implanter. La il peut sourire pendant une periode importante de sa vie... le peu de dent viable qui restait me semble trop juste pour faire quelque chose de fiable et esthétique et même une traction on ne sait jamais comment cette dent réagirait et quid de la temporisation . Le peu de dent que tu as enlevé pour gerer le cas me semble dérisoire au vu du service rendu. Pour l anatomie palatine oui on peut toujours dire que... mais combien de dentiste et de prothesiste les recréer correctement avec leurs composites et leurs ccm et ccc? la critique fait avancer les choses mais il faut rester juste, le cas est bien gérer et j aurais aimé qu' on traite mon gamin de cette façon si la situation avait été celle ci... je pense qu il doit etre satisfait de son cas. Il ne faut pas oublier que tout ce que l on fait c est de mettre de l artificiel en bouche pour tricher les defauts ou accidents de la nature ,alors bravo pour ton boulot et donnes le bonjour à enlaye je crois que t es situé dans son coin, et dieu sait que vous etes gâté de vivre dans cette belle region


Nouveau image bitmap fz77zh - Eugenol
Sethef

01/12/2019 à 12h24

Pour être plus constructif dans la critique, n'as-tu pas peur que le cantilever finisse par créer une rotation de l'incisive support? (à supposer que le boulot tienne, mas je n'ai pas vraiment de doute à ce sujet en fait, car c'est opérateur dépendant...)

(Quitte à proposer une autre solution minimalement invasive, je crois que j'aurais envisagé une dent résine sur fil inclus collé, même si le résultat esthétique ne pourrait évidemment pas être équivalent)


Bebe 038 nf8eum - Eugenol
danteyeah

01/12/2019 à 14h09

blaise2583 écrivait:
----------
> donnes le
> bonjour à enlaye je crois que t es situé dans son coin, et dieu sait que vous
> etes gâté de vivre dans cette belle région

C’est parfaitement vrai et d’autant plus que cette région se prête fabuleusement bien au VTTAE....un paradis pour les pratiquants


Bebe 038 nf8eum - Eugenol
danteyeah

01/12/2019 à 14h32

Sethef écrivait:
------
> Pour être plus constructif dans la critique, n'as-tu pas peur que le cantilever
> finisse par créer une rotation de l'incisive support?

Une autre image du cas en palatin avec un axe un peu décalé montre mieux les crêtes marginales mésiales...l'idée est de concentrer l'occlusion sur les crêtes marginales de la 21, car effectivement il y a risque de migration de cette dent suite à la perte importante d'os vestibulaire liée à la résorption externe de la 11 . Et c'est pour cela que la crête marginale distille de la 21 n'est pas incluse dans la taille, elle peut alors conserver son guidage originel, est orienter ainsi le travail prothétique.
J'ai conscience (le patient aussi) que le canti se trouve sur une centrale bien plus sollicité qu'une latérale (situation plus conventionnelle), et que l'occlusion sera à surveiller de près. Junior a eu largement raison d'insister sur ce fait d'ailleurs.

> (Quitte à proposer une autre solution minimalement invasive, je crois que
> j'aurais envisagé une dent résine sur fil inclus collé, même si le résultat
> esthétique ne pourrait évidemment pas être équivalent)

Je pense que la place ici est trop limité pour la résine, ça ne serait pas assez solide.

Img 4441 fjngzd - Eugenol

Utilisateur banni

01/12/2019 à 14h58

Mais ne te fatigue pas . Tu ne vois pas que je te fais marcher :))) ? t’as fait du bon boulot.


--
La forme de ma coupe de cheveux futuriste me permet une meilleure pénétration dans l'air et d' avoir moins de résistance face au vent lorsque je me déplace.


Hok 1b hgd3rj - Eugenol
Hokusai

01/12/2019 à 15h01

C est de l empress ?? De l emax?


Bebe 038 nf8eum - Eugenol
danteyeah

01/12/2019 à 15h08

Mireille-Mathieu écrivait:
----------------
> Mais ne te fatigue pas . Tu ne vois pas que je te fais marcher :))) ?

Non t’as fait ce que j’attendais de toi.
Je n’ai pas posté ce cas pour avoir une quelconque approbation, mais au contraire une confrontation d’idées....et t’as fais le job, le message initial t’était dédié (cadeau pour Junior).


Bebe 038 nf8eum - Eugenol
danteyeah

01/12/2019 à 15h09

Hokusai écrivait:
-------
> C est de l empress ?? De l Emax

Emax pressée


Vw campersurfvan bmnk1q - Eugenol
enlaye

01/12/2019 à 16h56

danteyeah écrivait:
---------
" J'ai conscience (le patient aussi) que le canti se trouve sur une centrale bien plus sollicité qu'une latérale (situation plus conventionnelle) "

pas sur .
pas sur que tu devrais plus zen si tu avais fait de meme pour la latérale .
dans ton cas TOUT est réuni pour être optimisé :
- patient jeune et de bonne hygiène .
ce qui fait que déjà il doit encore avoir un bon calage naturel , et voué à le garder un bon moment .
- pas de supra , voir sous occ incisive en fonctionnel ( on y voit encore les lobules incisifs ) . on y voit meme un fort centrage par les canines qui ont mesio vest les latérales ( 22 en tout cas ).
- le fait de mettre le canti sur la 21 augmente +++ la proprioception coté mesial , donc par effet nociceptif il ne va pas trainer coté 10.
s il doit y aller il ira dans un position + decalée vers la canine ( 13 ).

* Si tu avais solidarisé l inter avec aussi la 12 , la proprio aurait été une moyenne entre 21 et 12 , avec une perte de discrimination mésiale ou distale , et donc là il pourrait forcer sur l inter sans retenue . . paradoxalement , à vouloir repartir les efforts , ce serait moins favorable .
* Dans le meme esprit , Le meme cas , mais avec une latérale ,collée sur une canine , on aurait moins de proprioception mesiale .
tout simplement pcq la proprioception latérale ( mesiale et distale ) d une canine n est pas faite pour ça ne serait ce que par l absence du petit crochet en haut de la racine . et heureusement pcq qu elle est là pour centrer et caller l occlusion par ses face Proxi , il ne s agirait pas d etre algique des qu elle est en fonction .
ce qui fait qui fait que là aussi il pourrait trainer sur sa laterale . surtout s il y a embrouille au fond :-))

voilà pourquoi , je pense qu' un canti est à mon avis + favorable sur une centrale que sur une latérale collée sur une canine .
est ce à dire qu une latérale devrait être collée sur une centrale plutôt que sur un canine ? ton cas me conforte dans le fait de dire que oui .
bien sur comme d habitude , toute ressemblance avec ce qui a pu être dit par ailleurs est fortuit , et cela n engage que moi :-))


Mireille-Mathieu écrivait:
----------------
> Mais ne te fatigue pas . Tu ne vois pas que je te fais marcher :))) ? t’as fait
> du bon boulot.


C'était trrrrrès bien ....


4a338550 6a5b 47ea b2a7 d3cb675c5076 oni5gh - Eugenol
fistule 69

01/12/2019 à 18h55

@macigogne
Ben moi je confronte !
J’ai fait le même genre de truc sauf une ccc sur 11 et cantilever 12, gamine 22 ans.
M’a tout cassé au bout de 6 semaines...
J’ai rien fait Docteur !
J’ai refait gratis en ccm avec des taquets distaux.
C’est bien plus moche mais je dors mieux.
Bonne chance.
😷🥴


Bebe 038 nf8eum - Eugenol
danteyeah

01/12/2019 à 20h06

enlaye écrivait:
------
> danteyeah écrivait:
> ---------
> " J'ai conscience (le patient aussi) que le canti se trouve sur une centrale
> bien plus sollicité qu'une latérale (situation plus conventionnelle) "
>
> pas sur .
> pas sur que tu devrais plus zen si tu avais fait de meme pour la latérale .
> dans ton cas TOUT est réuni pour être optimisé :
> - patient jeune et de bonne hygiène .
> ce qui fait que déjà il doit encore avoir un bon calage naturel , et voué à le
> garder un bon moment .
> - pas de supra , voir sous occ incisive en fonctionnel ( on y voit encore les
> lobules incisifs ) . on y voit meme un fort centrage par les canines qui ont
> mesio vest les latérales ( 22 en tout cas ).
> - le fait de mettre le canti sur la 21 augmente +++ la proprioception coté
> mesial , donc par effet nociceptif il ne va pas trainer coté 10.
> s il doit y aller il ira dans un position + decalée vers la canine ( 13 ).
>
> * Si tu avais solidarisé l inter avec aussi la 12 , la proprio aurait été une
> moyenne entre 21 et 12 , avec une perte de discrimination mésiale ou distale ,
> et donc là il pourrait forcer sur l inter sans retenue . . paradoxalement , à
> vouloir repartir les efforts , ce serait moins favorable .
> * Dans le meme esprit , Le meme cas , mais avec une latérale ,collée sur une
> canine , on aurait moins de proprioception mesiale .
> tout simplement pcq la proprioception latérale ( mesiale et distale ) d une
> canine n est pas faite pour ça ne serait ce que par l absence du petit crochet
> en haut de la racine . et heureusement pcq qu elle est là pour centrer et caller
> l occlusion par ses face Proxi , il ne s agirait pas d etre algique des qu elle
> est en fonction .
> ce qui fait qui fait que là aussi il pourrait trainer sur sa laterale . surtout
> s il y a embrouille au fond :-))
>
> voilà pourquoi , je pense qu' un canti est à mon avis + favorable sur une
> centrale que sur une latérale collée sur une canine .
> est ce à dire qu une latérale devrait être collée sur une centrale plutôt que
> sur un canine ? ton cas me conforte dans le fait de dire que oui .
> bien sur comme d habitude , toute ressemblance avec ce qui a pu être dit par
> ailleurs est fortuit , et cela n engage que moi :-))

Bien vu, aucun cas de canti latérale sur canine, toujours sur centrale.
Et finalement le boitier de connexion céramique sera plus grand entre 2 centrales qu'entre centrale et latérale.

Au fait t'as le boujour de Blaise ;-)


Bebe 038 nf8eum - Eugenol
danteyeah

01/12/2019 à 20h13

fistule 69 écrivait:
----------
> @macigogne
> Ben moi je confronte !
> J’ai fait le même genre de truc sauf une ccc sur 11 et cantilever 12, gamine 22
> ans.
> M’a tout cassé au bout de 6 semaines...

Problème de respect des limites mécaniques imposé par l'industriel (Ivoclar pour Emax par ex., si oui engueule le proto).

> J’ai rien fait Docteur !
> J’ai refait gratis en ccm avec des taquets distaux.

Risque de migration différente entre 11 et 13 d'où espacement entre le taquet et la 13, risque curieux ++++


> C’est bien plus moche mais je dors mieux.
> Bonne chance.
> 若

Celui-là a 6 mois , j'ai aussi du 4 ans, 6 ans et 10 ans d âge (pas la même indication pour le dernier ni le même matériau, mais c'est celui qui m'a prouver que ça peut marcher) ..........Bientôt du 12 ans j'espère, on va trinquer !


4a338550 6a5b 47ea b2a7 d3cb675c5076 oni5gh - Eugenol
fistule 69

01/12/2019 à 21h43

Tu as raison, mauvaise préparation, j’avais une 11 tellement ridicule qu’avec une préparation pénétrante il ne me serait resté plus rien...
Le taquet c’est surtout en cas de surcharge.
Elle avait déjà un truc métallique depuis 10 ans, j’arrive après la bataille initiale.
12 ans, beau résultat !
😷🤗🍾


Orezza gazeuse verre litre ocoxey - Eugenol
casa

01/12/2019 à 23h07

Hokusai écrivait:
-------
> casa écrivait:
> ----
> > Ha ha ha et toi tu n'as pas lu jusqu'à le fin ou alors tu ne comprends pas le
> > second degré .....
>
> :)))
> Ça fait plaisir de te relire.
> T as commandé ton scanner intra buccal au père noël ??
Ah non j'attends 2 ou 3 ans quand ça coûtera 1500 balles ! mais il faut des pionniers ,un peu comme avec la RVG et merci messieurs d'essuyer les plâtres .


Hok 1b hgd3rj - Eugenol
Hokusai

02/12/2019 à 05h20

Les plâtres c était quand il fallait poudrer et enregistrer l'occlusion en scannant un mordu.


Utilisateur banni

02/12/2019 à 12h02

Bon c’est pas tout ça mais c’est un sujet sur la medit non.
- préparation sur molaire et empreinte du secteur latéral
- prise de l’occlusion validée par la medit
- on va donc regarder si le virtuel correspond à la réalité. En virtuel on voit un espace entre les incisives. Dans la réalité on voit que les incisives sont parfaitement en contact

Alors on va me dire : « oui faut aller plus loin lors de l’empreinte de l’occlusion » sauf que la caméra m’a clairement affiché en vert qu’il n’y avait pas besoin d’aller plus loin dans l’empreinte de l’occlusion



--
La forme de ma coupe de cheveux futuriste me permet une meilleure pénétration dans l'air et d' avoir moins de résistance face au vent lorsque je me déplace.

1f25b92a 7ab4 46a2 a9f4 6a0aab69dea5 typ4ub - Eugenol
0949b80d fc2a 40f0 8b5b 6ab6a24a0f8c zjxyni - Eugenol

PtnbZ

02/12/2019 à 12h24

Qu'est ce que tu racontes Junior? Il y a un espace entre les incisives sur les deux.


6szjws718sv1jksw54v4mpj3a6cu - Eugenol
vulpi

02/12/2019 à 12h30

Il est même plus capable d'enregistrer une occlusion de convenance. Les vacances vont te faire du bien.


Capture d  cran 2015 03 12 12.28 - Eugenol
chicot29

02/12/2019 à 12h31

blaise2583 écrivait:
----------
> Je n aime pas trop donner mon avis sur le travail des autres surtout que je vois
> défiler des choses pas descriptible... mais la dentayeah je trouve que tu as
> fait un beau travail et surtout tu as rendu bien service à ton patient.
> En effet à 18ans il a encore quelques années avant l implant et peut etre des
> etudes à payer pour les parents donc ta solution me semble adaptée et lui
> permettra d attendre que les conditions soient réunies pour implanter.

Oui et après si il a du bol de trouver un emploi il faudra qu'il paye ses charges sociales et ses impôts avant. Il se démerdera avec la moitié qu'on veut bien lui laisser.


1...212223...