Cookie Consent byPrivacyPolicies.comfreinectomie du frein médian sup et indications ortho ?? - Eugenol

freinectomie du frein médian sup et indications ortho ??

Hok 1b hgd3rj - Eugenol
Hokusai

16/10/2019 à 17h54

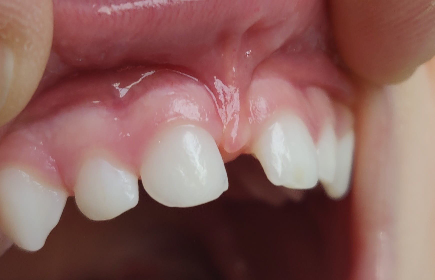
Reçu ce jour en BBD, une jeune patiente de 3 ans…

J'ai comme référence cet article très intéressant:

https://www.lecourrierdudentiste.com/dossiers-du-mois/la-freinectomie-de-la-theorie-a-la-pratique.html

Je cherche finalement un discours a tenir a la mère de la jeune patient qui s'inquiète.

Img 20191016 173921  01 zli71l - Eugenol
Img 20191016 173918  01 edakqe - Eugenol
Img 20191016 173914  01 dw6dqo - Eugenol

Nouveau image bitmap fz77zh - Eugenol
Sethef

16/10/2019 à 18h16

Tu peux simplement lui dire que dans 90% des cas, pas certain du chiffre exact, le problème se règle lors de l'éruption de 13 23; avant 12 ans donc. Il sera toujours temps de voir après.


Ylfwcw979cz1jnx9gfqeaxndiuzk - Eugenol
Algi

16/10/2019 à 18h26

Sinon sous locale avec un laser c'est pas grand chose à faire, ça prend 5 minutes mais bon, 3 ans.... T'as le temps.

Et sinon.... L'incision en Z, toussa toussa y'en a qui ont essayé ?

Perso rien que de réfléchir à comment je coupe, comment je décolle, comment je replace et comment je recouds ça me donne mal à la tête...


--

https://open.spotify.com/user/8iz7teu84dfphmgspeh2979o8/playlist/59Tfpt7zoHfkI27430lfNg?si=MAiYEkb2S6mMV6qNX2aFwg


On a toujours le choix mais entre quoi et quoi?
Vas-y boulégue et l'avenir te le dira!


Trop tôt à 3 ans, à faire éventuellement plus tard vers 7-9 ans, uniquement si gène pour la descente des latérales, et c'est joli un diastème, cf Vanessa ou Noah.


Nouveau image bitmap fz77zh - Eugenol
Sethef

16/10/2019 à 19h20

Euh, je le redis, il faut attendre l'éruption des canines. Sans ça ça s'appelle du surtraitement, ça présente comme tout traitement des risques, même minimes, et c'est surtout parfaitement inutile.
Et désolé algi, mais des freins traversants on en voit souvent, des latérales incluses, jamais, genre zéro dans ma carrière.
Sérieux, des freinectomies, je crois que j'en ai fait 3 en 10 ans. C'est anecdotique et ça doit le rester.


Hok 1b hgd3rj - Eugenol
Hokusai

16/10/2019 à 19h23

Ok donc je vois demain la maman a la maternelle et je lui dis qu il y a pas le feu au lac !!! Merci pour vos réponses.


Ylfwcw979cz1jnx9gfqeaxndiuzk - Eugenol
Algi

16/10/2019 à 19h25

Maikeskejédi? Keskejéfé?

J'ai dit c'est pas la mer à boire une freinectomie surtout si faite au laser mais y'a largement le temps....

LAR GE MENT LE TEMPS....


--

https://open.spotify.com/user/8iz7teu84dfphmgspeh2979o8/playlist/59Tfpt7zoHfkI27430lfNg?si=MAiYEkb2S6mMV6qNX2aFwg


On a toujours le choix mais entre quoi et quoi?
Vas-y boulégue et l'avenir te le dira!


Photo1 wmxx1a - Eugenol
Dentalgic

16/10/2019 à 19h30

Trop tôt... on est encore sur des dents lactéales?!!


Ylfwcw979cz1jnx9gfqeaxndiuzk - Eugenol
Algi

16/10/2019 à 19h31

Je rajouterai que j'ai horreur de martyriser les petits nenfants et que quand j'ai la chance de pouvoir intercepter un trouble ortho, surtout à 3 ans, je m'empresse de leur proposer un traitement fonctionnel... Ou en tout cas de surveiller de prés comment ça grandit....

J'utilise bcp les soulet et besombes.... Et souvent je constate que ce fichu frein se barre tout seul au bout de quelques temps....

Et suis très très déçu de pas pouvoir dégainer mon machin de jedaï...


--

https://open.spotify.com/user/8iz7teu84dfphmgspeh2979o8/playlist/59Tfpt7zoHfkI27430lfNg?si=MAiYEkb2S6mMV6qNX2aFwg


On a toujours le choix mais entre quoi et quoi?
Vas-y boulégue et l'avenir te le dira!


Ylfwcw979cz1jnx9gfqeaxndiuzk - Eugenol
Algi

16/10/2019 à 19h34

Sauf si.....

Sauf si comme vu sur un minot de 9 10 ans y'a pas longtemps ce foutu frein provoque un souci paro majeur de la papille...

Mais 9 10 ans j'ai bon non ? Là on peut les brûler ?


--

https://open.spotify.com/user/8iz7teu84dfphmgspeh2979o8/playlist/59Tfpt7zoHfkI27430lfNg?si=MAiYEkb2S6mMV6qNX2aFwg


On a toujours le choix mais entre quoi et quoi?
Vas-y boulégue et l'avenir te le dira!


Hok 1b hgd3rj - Eugenol
Hokusai

16/10/2019 à 19h42

Dentalgic écrivait:
---------
> Trop tôt... on est encore sur des dents lactéales?!!

Bin oui elle a 3 ans...


Nouveau image bitmap fz77zh - Eugenol
Sethef

16/10/2019 à 20h41

Oui bon pardon m'suis enflammé. Mais j'en ai marre d'entendre des aberrations, qui sont ensuite répétées à l'envi sans base scientifique, alors je pars un peu vite.


Ylfwcw979cz1jnx9gfqeaxndiuzk - Eugenol
Algi

16/10/2019 à 21h18

En fait la vraie raison c'est qu'à trois ans ça braille mais ça braille dans des aigus pas humains, un truc à te faire saigner des oreilles... Un truc que les morceaux postés par barba tu les écoutes comme du miel auditif...

Le pire c'est les voisins, y supportaient plus les locataires du dessus...

Donc j'ai arrêté. Obligé.

Je songe à déménager, dans un pavillon isolé...



--

https://open.spotify.com/user/8iz7teu84dfphmgspeh2979o8/playlist/59Tfpt7zoHfkI27430lfNg?si=MAiYEkb2S6mMV6qNX2aFwg


On a toujours le choix mais entre quoi et quoi?
Vas-y boulégue et l'avenir te le dira!


Picture1111 zburnd - Eugenol
saidkholoki

23/10/2019 à 09h27

Bonjour à tous,
Après le Professeur Delaire, le frein labial joue un rôle déterminant dans la croissance du prémaxillaire et de ce fait il ne faut pas pratiquer la frénectomie avant l'arrivée complète des canines maxillaires permanentes sur l'arcade et en absence de toute DDD d'origine maxillaire! Vous trouvez le schéma explicatif de Delaire ci-dessous.


--
A suivre...
Said

Role du frein labial g1yqoz - Eugenol

Carie Grant

23/10/2019 à 10h49

Algi écrivait:
----

>
> Et sinon.... L'incision en Z, toussa toussa y'en a qui ont essayé ?
>

Oui, y'en a qu'on essayé .... Et pis c'est prévu dans le RAC Zorro ....

Zorro wxcr10 - Eugenol

Carie Grant

23/10/2019 à 10h56

.


Utilisateur banni

23/10/2019 à 11h25

:D
on l'avait pas trouvé celle là


Vw campersurfvan bmnk1q - Eugenol
enlaye

23/10/2019 à 11h37

bijou


Ylfwcw979cz1jnx9gfqeaxndiuzk - Eugenol
Algi

23/10/2019 à 12h21

En même temps "faire zorro" pour 36,45€ c'est le terme approprié car pour faire un acte aussi complexe pour podzob c'est être un justicier, une sorte de Robin des bois de la dentisterie....

Moi pas mieux d'ailleurs.... avec un coup de laser c'est plutôt du côté de Luke que je me range vu qu'à 20 balles Dark Vador va pas se déranger... Mais ça prend 5 minutes...


--

https://open.spotify.com/user/8iz7teu84dfphmgspeh2979o8/playlist/59Tfpt7zoHfkI27430lfNg?si=MAiYEkb2S6mMV6qNX2aFwg


On a toujours le choix mais entre quoi et quoi?
Vas-y boulégue et l'avenir te le dira!


Blue eye thumb medium dx1i0w - Eugenol
bill

23/10/2019 à 14h08

Carie Grant écrivait:
-----------
> Algi écrivait:
> ----
>
> >
> > Et sinon.... L'incision en Z, toussa toussa y'en a qui ont essayé ?
> >
>
> Oui, y'en a qu'on essayé .... Et pis c'est prévu dans le RAC Zorro ....

Clap...clap...clap… :-)


lampadaire skurup

23/10/2019 à 14h24

saidkholoki écrivait:
-----------
> Bonjour à tous,
> Après le Professeur Delaire, le frein labial joue un rôle déterminant dans la
> croissance du prémaxillaire et de ce fait il ne faut pas pratiquer la
> frénectomie avant l'arrivée complète des canines maxillaires permanentes sur
> l'arcade et en absence de toute DDD d'origine maxillaire! Vous trouvez le schéma
> explicatif de Delaire ci-dessous.

Est-ce qu’ il y a une preuve ?


--
Fabriqué en métal. Avec un design intemporel, le lampadaire skurup vous ravira. Hauteur réglable en fonction de l'éclairage souhaité.


Ylfwcw979cz1jnx9gfqeaxndiuzk - Eugenol
Algi

23/10/2019 à 14h34

Delaire est décrié par certains mais à sans doute raison...

Comme Planas....

Le souci c'est que traiter en fonctionnel c'est chronophage, ça demande la coopération active du petit patient et que ses parents soient derrière pour vérifier qu'il fait sa rééducation faut en plus lui faire bouffer autre chose que du MacDo...

Bref ça fait chier tout le monde et c'est moins rentable que d'extraire les premolaires et coller des bagues....

En plus c'est accessible à ces peigne cul d'omnipraticiens...

Donc mal vu voire répréhensible si possible.
--

https://open.spotify.com/user/8iz7teu84dfphmgspeh2979o8/playlist/59Tfpt7zoHfkI27430lfNg?si=MAiYEkb2S6mMV6qNX2aFwg


On a toujours le choix mais entre quoi et quoi?
Vas-y boulégue et l'avenir te le dira!


Ylfwcw979cz1jnx9gfqeaxndiuzk - Eugenol
Algi

23/10/2019 à 14h39

Le pire c'est que j'en ai discuté avec des ortho competents et qu'ils reconnaissent que c'est ce qui devrait être fait la plupart du temps avant de passer au multibague, voire en accompagnement mais (et la c'est off) tu comprends c'est chiant et moins rentable...
Alors OK massacrons les minots pour pas incommoder leurs géniteurs et pas leur enseigner les bonnes habitudes alimentaires peu en accord avec les objectifs de l'industrie agro alimentaire.....

--

https://open.spotify.com/user/8iz7teu84dfphmgspeh2979o8/playlist/59Tfpt7zoHfkI27430lfNg?si=MAiYEkb2S6mMV6qNX2aFwg


On a toujours le choix mais entre quoi et quoi?
Vas-y boulégue et l'avenir te le dira!


Utilisateur banni

23/10/2019 à 14h54

Algi écrivait:
----

> Le souci c'est que traiter en fonctionnel c'est chronophage, ça demande la
> coopération active du petit patient et que ses parents soient derrière pour
> vérifier qu'il fait sa rééducation faut en plus lui faire bouffer autre chose
> que du MacDo...
>

t'oublies la sécu qui emmerde les ortho qui préfèrent prescrire une rééducation linguale chez un kiné/orthophoniste à 6 ans plutôt qu'un bon gros multibague à 12.

ça coute moins cher mouais on s'en branle.... ça dépasse les stats nationales ? alerte rouge!!! ^^
faudrait pas priver le gamin de son apnée du sommeil :D

je me radicalise les mecs... je fait des rêve ou ou j'attaque le guichet à la hache :D


Ylfwcw979cz1jnx9gfqeaxndiuzk - Eugenol
Algi

23/10/2019 à 15h01

Que ça coûte plus ou moins cher notre chère secu devrait s'en branler....

De dont elle devrait se préoccuper c'est de santé publique...

Pas grave le classe 2 en supra sera bagué à 12 ans, perdra 4 dents définitives au passage.

Fera une récidive à 20 ans et finira à 50 avec des apnées du sommeil traitées avec une orthese d'avancée mandibulaire.

Qu'il ait pas entre temps appris à deglutir ou respirer par le nez c'est pas grave même si c'est à l'origine de tous ses soucis.


--

https://open.spotify.com/user/8iz7teu84dfphmgspeh2979o8/playlist/59Tfpt7zoHfkI27430lfNg?si=MAiYEkb2S6mMV6qNX2aFwg


On a toujours le choix mais entre quoi et quoi?
Vas-y boulégue et l'avenir te le dira!