Cookie Consent byPrivacyPolicies.comdes nouvelles et un grand merci encore : odontalgie - Eugenol

des nouvelles et un grand merci encore : odontalgie idiopathique

felureoupas

22/10/2019 à 10h47

Bonjour,

Je suis l'assistante dentaire du Loiret qui a postée cet été..et qui a reçu plein de réponses : tout d'abord un grand merci tout le monde !!

Résumé : mon boss est désemparé face à mes douleurs dentaires d'origine inconnue..du moins rien de flagrant sur les rétros, pano.

J'ai des douleurs qui passent d'une dent à l'autre. Douleurs non paroxystiques mais pénibles. Plutôt présente en matinée..moins l'AM;
Je suis très anxieuse et grâce aux conseils de certains d'entre vous..commence à voir un psychothérapeute/sophrologue.

Mon boss a regardé sur le net de son côté et pense à une odontalgie idiopathique et me dit que le spécialiste serait YVES BOUCHER à la pitié salpétrière. Si vous avez d'autres noms, je suis preneur...car délai d'attente très long. En tout cas quand je le verrais..je ferais un retour..car cela peut intéresser vos patients.

Par contre, je viens de tomber sur ce site
https://www.osteopathe-nancy.com/single-post/2016/11/10/Douleurs-dentaires-et-si-%C3%A7a-venait-des-cervicales?fbclid=IwAR1shdGc3UO2Os2Utg3xJWHByryhy1iGJmOnmrp4jRdIKyociE-Oe762XuI

Je sais qu'une malocclusion peut engendrer une cervicalgie...mais l'inverse n'est il pas vrai comme mentionné dans ce site. Mon boss est plus mitigé. Votre point de vue ?

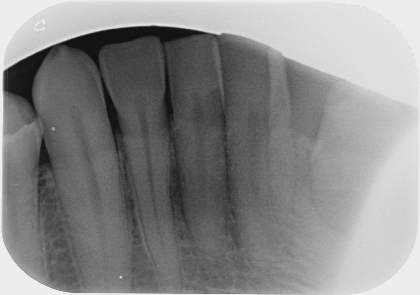
Actuellement la douleur tourne autour de la 42....voir radio en PJ
il n'y a rien, tests de vitalité fait...elle a réagit difficilement mais elle a réagit.
Pb de sensibilité dentaire ???

Bref merci à ceux qui ont lis ce long post..et suis preneur de vos retours..que faites vous quand un de vos patients à des douleurs pour lesquelles vous ne trouvez pas de cause. L'anxiété avec sans doute bruxisme..doit forcément jouer.
Cela devient un peu dingue d'avoir ces douleurs..limite je me prendrais bien une radio toutes les semaines..pour voir si j'ai bien rien.

Excellente et belle journée





Xhv9hbebscvmbphcs5j3 - Eugenol

Utilisateur banni

22/10/2019 à 11h38


je peux pas te dire d'aller cueillir des psilocybe je vais finir radié ou en prison. mais il parait....

pour les truc "idiopathique" ce qui marche très bien selon un expert que j'ai souvent à table c'est:
- changer de taf
- changer de conjoint
- se barrer de chez soi
- les sports de combat
Le reste c'est du pipeau, et là je rigole pas ;)

Sinon c'est pas idiopathique :D


Aiguille cyboyt - Eugenol
fatboy

22/10/2019 à 11h44

La radio est pas tres nette, mais je crois voir une carie en mesial de 42. Tu veux pas en faire une mieux, avec un angulateur?


Ylfwcw979cz1jnx9gfqeaxndiuzk - Eugenol
Algi

22/10/2019 à 11h53

Je veux pas être rabat joie mais idiopathique ça veut dire, en gros "dont on ne sait fichtre rien et surtout pas sa cause"...

Bref un mot mis sur des symptômes, ça rassure le patient mais c'est une autre façon de lui dire qu'on ne sait rien ...

Du coup t'avais l'air contente... Et tu risques de l'être moins à cause de moi....

Des fois je suis un sale con, je sais....


--

https://open.spotify.com/user/8iz7teu84dfphmgspeh2979o8/playlist/59Tfpt7zoHfkI27430lfNg?si=MAiYEkb2S6mMV6qNX2aFwg


On a toujours le choix mais entre quoi et quoi?
Vas-y boulégue et l'avenir te le dira!


6szjws718sv1jksw54v4mpj3a6cu - Eugenol
vulpi

22/10/2019 à 11h55

Des fois c'est un virus sinon... ça passe avec le temps.
J'ai des cas comme ça.


Ylfwcw979cz1jnx9gfqeaxndiuzk - Eugenol
Algi

22/10/2019 à 11h56

A la liste de harta's on peut rajouter aller voir le loup....

Je dis ça je dis rien et même je sors.


--

https://open.spotify.com/user/8iz7teu84dfphmgspeh2979o8/playlist/59Tfpt7zoHfkI27430lfNg?si=MAiYEkb2S6mMV6qNX2aFwg


On a toujours le choix mais entre quoi et quoi?
Vas-y boulégue et l'avenir te le dira!


Ylfwcw979cz1jnx9gfqeaxndiuzk - Eugenol
Algi

22/10/2019 à 11h58

Vulpi t'es qu'un hypocrite, gentil mais hypocrite....


--

https://open.spotify.com/user/8iz7teu84dfphmgspeh2979o8/playlist/59Tfpt7zoHfkI27430lfNg?si=MAiYEkb2S6mMV6qNX2aFwg


On a toujours le choix mais entre quoi et quoi?
Vas-y boulégue et l'avenir te le dira!


Nouveau image bitmap fz77zh - Eugenol
Sethef

22/10/2019 à 12h00

harta's écrivait:
-------
>
> je peux pas te dire d'aller cueillir des psilocybe je vais finir radié ou en
> prison. mais il parait....
>
> pour les truc "idiopathique" ce qui marche très bien selon un expert que j'ai
> souvent à table c'est:
> - changer de taf
> - changer de conjoint
> - se barrer de chez soi
> - les sports de combat
> Le reste c'est du pipeau, et là je rigole pas ;)
>
> Sinon c'est pas idiopathique :D

Pff, m'en parle pas le reste j'avais fait, ça s'est joué à rien que je rachète un food truck.


Utilisateur banni

22/10/2019 à 12h21

Sethef écrivait:
------

> Pff, m'en parle pas le reste j'avais fait, ça s'est joué à rien que je rachète
> un food truck.

:D
le chef de l'info du site d'une multinational du coin qui se barre.
maraichage qu'il va faire, formation et tout.
" je me lance dans la courge, je penserais à vous " qu'il leur a dit.
ben depuis fini le psoriasis. je dirais même qu'il a le poil luisant.

je lui avait bien dit de tuer sa femme mais a flippé.


felureoupas

22/10/2019 à 12h39

Merci hartas pour cette humour eugenolien
Mais à quoi pensez vous du coup?


felureoupas

22/10/2019 à 12h51

Algi
Je savais pour le terme idiopathique
Par contre il y a vraiment des odontologues qui ont cherché sur ces douleurs diffuses vu sur internet woda, pionchon et boucher.
Cela se rapproche des douleurs dentaires fantômes.
Mon boss ne voit rien.
Mon occluso voit un pb de surcharge ligamentaire.
Bref total perdue l assistante.
En tout cas sans être extrême ces satanées douleurs sont penibles.
Surtout quand on ne sait pas d ou cela vient.


Vw campersurfvan bmnk1q - Eugenol
enlaye

22/10/2019 à 13h02

ici il y a Sethef qui est le spécialiste de la 42 , si si :-)


Ylfwcw979cz1jnx9gfqeaxndiuzk - Eugenol
Algi

22/10/2019 à 13h23

Le souci c'est que des comme toi j'en vois plein...

Les copains quand ils ont un cas relou qu'ils savent pas quoi en faire se disent "tiens et si je me l 'adressais à algi ?" moi évidemment pas con j' essaie de les fourguer à enlaye mais hors détartrage il veut pas de patients adressés en fait...

Bref j'en vois des verts et des pas mûrs et quand bien même je les ai en vrai sur le fauteuil ben c'est compliqué.... T'imagine par post interposé comme je vais pouvoir t'aider...
. Ceux que je préfère c'est ceux qui savent....

On leur a dit des mots savants, ils peuvent mettre un terme sur leur problème mais sans y mettre un terme pour autant.

Il y a eu la mode de la fibromyalgie mais c'est un peu has been.

J'ai les atteints de la maladie de Lime, très tendance celle là..

Semaine dernière une nouveauté : le syndrome de Kaspersky Maladrovidch (j'invente car me rappelle pas du vrai nom), une maladie orpheline concernant environ 200 types dans le monde entier et dont on ne sait rien... Surtout pas "comment ça se traite"...


La patiente est pourtant ravie, on lui a trouvé ce qu'elle a..... Qu'il n'existe aucune solution à son truc c'est juste moi que ça va emmerder....


--

https://open.spotify.com/user/8iz7teu84dfphmgspeh2979o8/playlist/59Tfpt7zoHfkI27430lfNg?si=MAiYEkb2S6mMV6qNX2aFwg


On a toujours le choix mais entre quoi et quoi?
Vas-y boulégue et l'avenir te le dira!


Ylfwcw979cz1jnx9gfqeaxndiuzk - Eugenol
Algi

22/10/2019 à 13h49

Ps je les déteste ceux qui trouvent le nom des maladies à la con, ils passent pour des dieux....

Toi t'es que le sous fifre qui devra essayer d'arranger les choses....

Et encore s'il ne font que nommer le problème.... Mais bien souvent ils ont la solution, que eux trop occupés dans leur olympe ne s'abaisseront jamais à mettre en œuvre...

" veuillez réaliser une gouttière je vous prie mon brave"....

Du coup la patiente se dit je suis sauvée, la solution existe...

Et toi tu passes pour un con si des fois tu proposes autre chose voire si ta gouttière est, comme prévu, pas miraculeuse....

Et ouais je dis "la" patiente, rien de sexiste juste que 9 fois sur 10 c'est des filles qui souffrent de machins idiopathiques.

Bon.... des fois c'est des mecs et alors là ça frise la paranormal car en général c'est encore plus coton que les gonzesses...

Ceci étant dit comme je suis pas un chien, si des fois tu te sent de descendre dans le sud...

Pour le varois je sais pas si il sera d'accord pour te voir.

Pour ce qui est d'aller voir le loup, si il s'avère que c'est une piste, je peux en toucher un mot à pp....


--

https://open.spotify.com/user/8iz7teu84dfphmgspeh2979o8/playlist/59Tfpt7zoHfkI27430lfNg?si=MAiYEkb2S6mMV6qNX2aFwg


On a toujours le choix mais entre quoi et quoi?
Vas-y boulégue et l'avenir te le dira!


Pubg2 rjl8jc - Eugenol
lemondestvaste

22/10/2019 à 13h50

Putain on devait avoir la même patientelle .... moi je me suis barré en courant au bout de 5 ans. J ai craqué.


Pubg2 rjl8jc - Eugenol
lemondestvaste

22/10/2019 à 13h53

Éventuellement fêlure ou pas un second avis. Parfois j ai envoyé des trucs que je ne comprenait pas a ma collaboratrice. Et c est juste que je m étais un peu perdu a force de chercher et de reprendre et reprendre les bilan. Parfois on passe a côté de quelque chose.


Utilisateur banni

22/10/2019 à 14h01

Algi écrivait:
----

> Ceci étant dit comme je suis pas un chien, si des fois tu te sent de descendre
> dans le sud...
> Pour le varois je sais pas si il sera d'accord pour te voir.

du coup je comprend pas.
Tu te propose de buter le mari ?
c'est enlaye qui balance le corps au large ?


Vw campersurfvan bmnk1q - Eugenol
enlaye

22/10/2019 à 14h06

et encore on est que mardi .
vendredi ça va être terrible .


Vw campersurfvan bmnk1q - Eugenol
enlaye

22/10/2019 à 14h09

et aussi qu est c' qu il branle ton patron ?
on lui avait pourtant dit de te limer un ptit coup , rapide , sans chichi .


Ylfwcw979cz1jnx9gfqeaxndiuzk - Eugenol
Algi

22/10/2019 à 14h22

Solution number one..... D'après enlaye..... The wolf!

Souvent la bonne d'ailleurs mais difficile à prescrire...
Et encore plus à administrer vu qu'y paraît c'est interdit, c'est mal, c'est immoral

Aouuuuuooohh


--

https://open.spotify.com/user/8iz7teu84dfphmgspeh2979o8/playlist/59Tfpt7zoHfkI27430lfNg?si=MAiYEkb2S6mMV6qNX2aFwg


On a toujours le choix mais entre quoi et quoi?
Vas-y boulégue et l'avenir te le dira!


felureoupas écrivait:
-----------
> Merci hartas pour cette humour eugenolien
> Mais à quoi pensez vous du coup?

Les autres, je sais pas mais moi je pense qu'au Q.


Algi écrivait:
----

> Pour ce qui est d'aller voir le loup, si il s'avère que c'est une piste, je peux
> en toucher un mot à pp....

Rien qu'un mot, toi tu me touches rien d'autre.

Après si c'est pour rendre service et à partir du moment où t'es blonde à f p....


azerty

22/10/2019 à 14h30

idem que pervers


Ylfwcw979cz1jnx9gfqeaxndiuzk - Eugenol
Algi

22/10/2019 à 15h06

Mieux vaut en rire...

D'ailleurs, rire, selon certains ça peut être aussi efficace que le loup....

Comme j'ai 5 minutes....

Des fois c'est facile l'ocluso...

Patiente suivie 15 ans puis plus de nouvelles....

Se repointe un beau jour avec la totale : mal partout, au cou, à la tête, au dos...

Elle ouvrz la bouche.... Et là le LES vois....

36 37 teinte bidet, gencive rouge fluo, béance antérieure de pas loin de 2 MM quand elle ferme dessus...

Coiffes posées 1 semaine avant.... Vous allez vous y faire qu'y lui avait dit le grand maître es dents qui l'avait turbinée....


M'a miss je la connaissais bien depuis le temps, une chic fille sympa et ouverte à pas mal de choses, avait fait 3 ans de médecine chinoise entre autre...

Bref on dépose les bouses en surcontour de surcroît et manifestement réalisées avec un alliage ccm fortement niquelisé, métal auquel elle est allergique pour de vrai (l'avait fait des tests à l'hosto).

Une semaine après pose des provisoires tout est nickel chhrome, la voilà guérie.

Empreintes et 2 zircone.

Entre temps on avait un peu causé surocclusion, mal au dos, alliages, dentisterie low cost, de la mise en perspective de tout ça avec son boulot, son couple....

Le jour de la pose elle mire ses 'ouvelkes ratiches dans une glace, essaie de mordiller dessus et est manifestement ravie.

Puis tout à trac elle me déballe "de toutes façons c'est un con et un rapiat, il (son mec donc) m' a envoyé chez l'autre parceque vous êtes trop cher... Et puis en plus il est ejaculateur précoce.... (pas le confrère hein mais son mec).

Bref 15 jours plus tard la procédure de divorce était engagée...

Donc oui les dents, manifestement.... Mais le loup.....

--

https://open.spotify.com/user/8iz7teu84dfphmgspeh2979o8/playlist/59Tfpt7zoHfkI27430lfNg?si=MAiYEkb2S6mMV6qNX2aFwg


On a toujours le choix mais entre quoi et quoi?
Vas-y boulégue et l'avenir te le dira!


dédé06

22/10/2019 à 15h48

1.cone beam
2.gouttière


12