Cookie Consent byPrivacyPolicies.comNécrose osseuse que faire - Eugenol

Nécrose osseuse que faire

Mesdiscussions 14274 y9skw0 - Eugenol
ericthedoc

28/10/2019 à 21h49

Bonjour à tous.
Bon je suis bien emmerdé avec un cas.
Patiente grosse fumeuse en bonne santé sinon.

Photo 1:radio finale endo faite en juillet, difficile pour l'anesthésie j'ai dû en rajouter 1 carpule en intralig.
Évidemment c'était un traitement fait sur pulpite 24h avant que je parte en vacances.

Photo 2 : Bref je revois la patiente fin Aout à mon retour et elle me dit qu'elle à toujours mal même si ça va mieux 2 : gencive bien gonflée entre 36 et 35, 35 douloureuse mais vitale.
Je commence à plus rien comprendre, la patiente part en vacances pour 4 semaines du coup ne sachant pas trop quoi faire je l'ai mise sous atb après avoir vérifier les contacts proximaux.

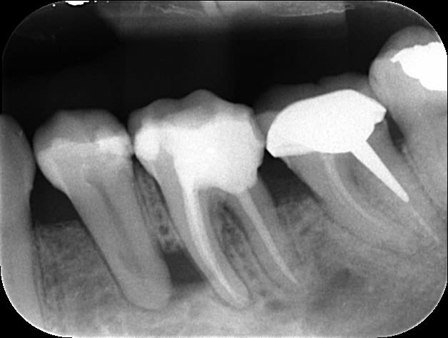
Et aujourd'hui, elle est contente plus aucune douleur sauf que en bouche je vois un bout d'os entre 35 et 36 et à la radio ... (image 3)

Outre le fait que je ne comprend pas trop ce que j'ai merdé, a votre avis c'est mort ou je tente de virer le fragment osseux de bien débrider et de voir ce qui se passe?


Merci par avance.

Icxtvlul0dyh3ebpv5kp - Eugenol
Vbtdxmzapfzz8zc4a75z - Eugenol
Ys9pusork0tralysz0zk - Eugenol

Pierre logo clykpp - Eugenol
Denteo33

28/10/2019 à 21h59

C’est le gros danger des intraligamentaires chez les fumeurs et aussi chez les diabétiques, nécrose osseuse due à un excès de vasoconstricteur sous pression.

Le traitement? Enlève le morceau d’os pour le moment


Vw campersurfvan bmnk1q - Eugenol
enlaye

28/10/2019 à 23h59

ça ne peut pas etre une intraligamentaire que tu as fait .
une carpule c est bien plus gros que le ligament de 10 dents :-)
a mon avis tu a glissé sous le périoste et tu l as disséqué sous pression .
comme Denteo , tu enleves le morceau et c est bon .


Aiguille cyboyt - Eugenol
fatboy

29/10/2019 à 04h34

Ca fait quand meme un gros morceau a enlever, c'est tout le septum qui a l'air de s'etre deplace vers le haut et qui donc serait mobile?


Pierre logo clykpp - Eugenol
Denteo33

29/10/2019 à 06h12

Tu as raison fatboy le morceau est important et je pense que la 5 et la 6 sont condamnées

0f88428f e20d 43d9 aef9 861977d3a536 qgxszt - Eugenol

P2eqdh3csim6s7nb09ktdq3e7ev8 - Eugenol
barbabapat

29/10/2019 à 07h57

Sinon pour une prochaine fois. Lors des formations au quicksleeper, il est enseigné de préférer les zones d'os volumineuse pour éviter d'avoir un effet de réduction de la vascularisation temporaire liée à l'anesthésique dans le secteur.

Enfin potentiellement sur une intraligamentaire, je ne dépasse plus la 1/200 000.


Vw campersurfvan bmnk1q - Eugenol
enlaye

29/10/2019 à 08h28

comment as-tu réussi à injecter si bas avec une aiguille 12 mm ? , c'est pas possible .


Mesdiscussions 14274 y9skw0 - Eugenol
ericthedoc

29/10/2019 à 08h33

C'est bien la question que je me pose.
J'en sais rien en fait.
Je vois pas comment j'ai merdé à ce point...
C'était du 1/200000
Merci pour vos réponses en tout cas


Vw campersurfvan bmnk1q - Eugenol
enlaye

29/10/2019 à 08h43

c est quoi comme seringue et quoi comme aiguille ?


Vw campersurfvan bmnk1q - Eugenol
enlaye

29/10/2019 à 08h58

on dirait que la nécrose soit partie de la prémolaire . comme si tu étais parti trop bas en vestibulaire de la molaire, et que tu aurais traversé l'os intra septal en direction de la prémolaire ..
si tu étais resté dans le ligament de la molaire la surpression serais repartie par l apex de la racine mésiale lors de l endo .


Mesdiscussions 14274 y9skw0 - Eugenol
ericthedoc

29/10/2019 à 09h00

Une seringue à cliqué aiguille 0.3 * 13


Avatar transparent iqadnc - Eugenol
adhoc

29/10/2019 à 09h02

>Je vois pas comment j'ai merdé à ce point...
C'était du 1/200000<

Si on te répond, c'est que ca nous est deja arrivé :-))n Sauf les jeunots, mais ca va leur arriver aussi ... dans 10 ans ou dans 2 mois...
On n'a pas de 1/400000, unr anesthésie qui ne prend pas, tu rajoutes, et crac...
Tu en auras une merdouille de ce style tous les 10 ans!
Comme il t'a été bien conseillé, tu enleves ce setptum, et tu temporises en avertissant que l'os a souffert pendant le traitement. Tu adresses ensuite a un paro.

Et c'est rare, mais ca peut arriver avec du QS aussi., surtout quand il faut frapper assez bas lors de recession osseuse deja présente.On croit faire une intraosdseuse, ba non, on fait une intraseptale!!!!

Ne te culpabilise pas, tu as fait ce que tu as pu.


Mesdiscussions 14274 y9skw0 - Eugenol
ericthedoc

29/10/2019 à 09h03

enlaye écrivait:
------
> on dirait que la nécrose soit partie de la prémolaire . comme si tu étais parti
> trop bas en vestibulaire de la molaire, et que tu aurais traversé l'os intra
> septal en direction de la prémolaire ..
> si tu étais resté dans le ligament de la molaire la surpression serais repartie
> par l apex de la racine mésiale lors de l endo .

C'est ce que je pense.
Mais sur le coup rien ne m'a choqué après la pulpite de merde avant de partir en vacances +
anesthésie qui prend mal au début j'étais peut-être pas concentré au max de ce que j'aurais du.
Fait chier!!


Vw campersurfvan bmnk1q - Eugenol
enlaye

29/10/2019 à 10h32

oui le problème et c'est pas un problème de pression hydraulique c'est un problème de pression de temps.
les conneries arrivent toujours quand il faut que tu ailles vite . et avec le raczobi il va falloir aller très très vite .


Ylfwcw979cz1jnx9gfqeaxndiuzk - Eugenol
Algi

29/10/2019 à 10h34

Rien ne dit que c'est l'anesthésie...

La 5 est vivante ?

Comment tu as mené ton endo de la 6 ?

Possible que l'irrigation ait lésé le péri apex, possible que la 5 aie été néceosée et que tu aies traité la 6....

Bref c'est pas pool mais ça arrive et ce n'est certainement pas une faute, juste pas de chance et peut être aussi que la patiente ait un peu traîné pour consulter...

Ai eu un cas similaire y'a quelques années.

Septum foutu suite sans doute à anesthésie plus laser un peu trop appuyé sur une gencive hémorragique...

J'avais pu reintervenir dans les 8 jours.

Curetage et élimination du séquestre, j'ai fait saigner et coagulé le caillot au laser.

C'est revenu quasi ad integrum .

Au passage, si tu éliminés le séquestre vérifie bien avant qu'il soit mobile et ne rosé entièrement, des fois que ça se termine en autogreffe....


--

https://open.spotify.com/user/8iz7teu84dfphmgspeh2979o8/playlist/59Tfpt7zoHfkI27430lfNg?si=MAiYEkb2S6mMV6qNX2aFwg


On a toujours le choix mais entre quoi et quoi?
Vas-y boulégue et l'avenir te le dira!


Aiguille cyboyt - Eugenol
fatboy

29/10/2019 à 12h01

bonne chance!


Vw campersurfvan bmnk1q - Eugenol
enlaye

29/10/2019 à 12h32

d habitude Algi est plein de Ying et de Yang , mais là je lui mets +1.


Img 5097 lxchd7 - Eugenol
Queixal

29/10/2019 à 13h02

Bizarre.
Biphosphonates?
test vitalité de la 5.
Fracture de la 6?
Peuts tu faire une radio plus basse ou une pano? Je trouve que l´os se densifie sous la fracture au fur et a mesure de tes radios.


Capture d  cran 2015 05 13   10.37 - Eugenol
BA

29/10/2019 à 14h08

Ca m' est arrivé une fois , ca m' a servi de leçon ... quick bidule à la poubelle et retour aux bonnes vieilles anesthésie à l' épine de Spix!


La 45 a pas l'air nickel non plus, comme Queixal, test de vitalité ?


Mesdiscussions 14274 y9skw0 - Eugenol
ericthedoc

29/10/2019 à 16h07

35 Positive au froid

fracture de la 36 peut-être, le localisateur d'apex me donnait des mesures logique.
Après le mésio-vestivulaire était douloureux lors du ttt


Zorba le grec 1373406512 108 lfk5ey - Eugenol
zorbalegrec

29/10/2019 à 16h14

tu peux tenter de retirer le séquestre, bien faire saigner la zone, remettre le séquestre et suturer
allez bruler un cierge à Saint Antoine
ca peut marcher avec les cellules souches et si tu as un laser mettre deux ou trois coups pour accélérer la cicatrisation


Mesdiscussions 14274 y9skw0 - Eugenol
ericthedoc

29/10/2019 à 16h48

zorbalegrec écrivait:
-----------
> tu peux tenter de retirer le séquestre, bien faire saigner la zone, remettre le
> séquestre et suturer
> allez bruler un cierge à Saint Antoine
> ca peut marcher avec les cellules souches et si tu as un laser mettre deux ou
> trois coups pour accélérer la cicatrisation

Au point ou j'en suis je peux toujours essayer.


Vw campersurfvan bmnk1q - Eugenol
enlaye

29/10/2019 à 17h26

ericthedoc écrivait:
----------
" Au point ou j'en suis je peux toujours essayer. "

ho , comme te l a dit Adhoc , ce que tu as fait es plus que correct : dans l urgence de la pulpite du bas , l endo est nickel . .
faut pas trop te flageller à mort pour un impondérable , non plus .


enlaye écrivait:
------

> faut pas trop te flageller à mort pour un impondérable , non plus .


Sauf si t'aimes ça.

Y en a qu'ont essayé, zont eu des problèmes.

Index 2 vs1g1o - Eugenol

12