Cookie Consent byPrivacyPolicies.comBeau traitement - Eugenol

Beau traitement

Gabzou

04/11/2019 à 12h23

Voici un joli cas que j'ai vu ce matin. Ce qui est sympa c'est que j'ai l'historique en radios depuis 2017.
Je vous laisse un peu de temps pour essayer deviner le motif de consultation en urgence et le pourquoi du comment.
A vos théories.

Kp8jnntsbpunxagyprma - Eugenol
Yfysyrxill2qeqr30ubp - Eugenol
Afkckwblnd0xpmywhop0 - Eugenol

South park   craig te7bfk - Eugenol
CRAIG

04/11/2019 à 12h31

Oh P......


Capture d  cran 2015 03 12 12.28 - Eugenol
chicot29

04/11/2019 à 12h39


Joli cas de mutilation volontaire.

--
En cas d'échec des négociations conventionnelles, seriez-vous prêt à suivre la promotion d'un déconventionnement massif de la profession par les syndicats représentatifs ? OUI - NON
Participez, anonymement, sur https://goo.gl/forms/nAO0htnsVmxotjYm1


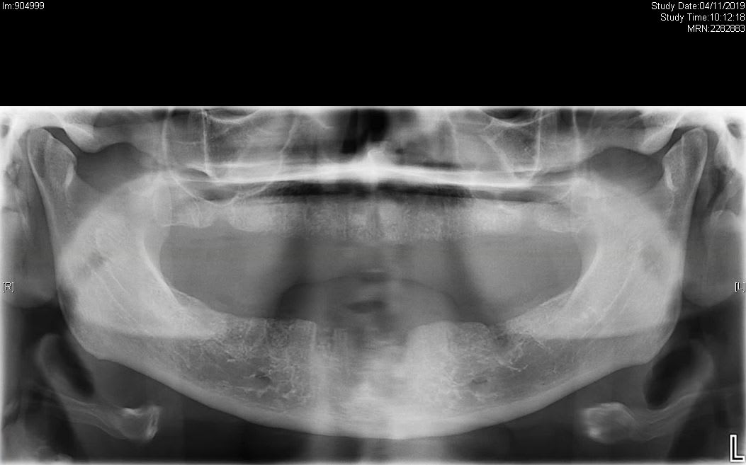
Ylfwcw979cz1jnx9gfqeaxndiuzk - Eugenol
Algi

04/11/2019 à 12h46


Au départ plenty of teeth coiffées.

A priori conservables même si j'ai lu en diagonale la pano.

Ensuite..... Plein d'implants... Pas réussi à bien voir en haut en antérieur.... Plus d'os ou image bof ?

Quoi qu'il en soit et surtout en bas je vois pas pourquoi 6 mois plus tard le patient se retrouve edenté complet....

Centre low cost?

Voyage en Hongrie ?

Visite chez un naturopathe qui lui a dit qu'il fallait pas tout ce titane après lui avoir fait extraire toutes les dents ?

Irradiation prévue ?

Un mix de tout ça ?

--

https://open.spotify.com/user/8iz7teu84dfphmgspeh2979o8/playlist/59Tfpt7zoHfkI27430lfNg?si=MAiYEkb2S6mMV6qNX2aFwg


On a toujours le choix mais entre quoi et quoi?
Vas-y boulégue et l'avenir te le dira!


Vw campersurfvan bmnk1q - Eugenol
enlaye

04/11/2019 à 12h52

pour profiter du raczobi ? :-))


Gabzou

04/11/2019 à 12h52

Pour les implants en antérieur, c'est juste une image bof, j'ai des rétro-alvéolaires qui montrent que tout va bien.
C'est effectivement un mix d'un des éléments évoqués par Algi et d'un autre pas encore évoqué.
La première radio à été prise dans le cadre de l'avulsion de la 48 au CHU, évidemment aucun des soins non urgents (bridge/couronnes/implants) n'a été fait chez nous.


Ylfwcw979cz1jnx9gfqeaxndiuzk - Eugenol
Algi

04/11/2019 à 12h53

Et pour le motif de la consult en urgence?

Ben il lui faut des dents pour samedi, mariage de sa fille et bizarrement le praticien qui lui a réalisé le reste est fermé....
Parti à l'étranger on sait pas pourquoi...


--

https://open.spotify.com/user/8iz7teu84dfphmgspeh2979o8/playlist/59Tfpt7zoHfkI27430lfNg?si=MAiYEkb2S6mMV6qNX2aFwg


On a toujours le choix mais entre quoi et quoi?
Vas-y boulégue et l'avenir te le dira!


S2y2o1v7q53ws4r5wy6ou8czrpom - Eugenol
pxav

04/11/2019 à 12h54


scandaleux...

--
xbk
La connaissance s'acquiert par l'expérience, tout le reste n'est que de l'information." ALBERT EINSTEIN


Utilisateur banni

04/11/2019 à 12h57


Y'a 10 ans j'aurais dit que tu bosses en Espagne. Mais 2017 c'est possiblement du local ^^

je me lance un peu au pif ...

1ere consult :
-Dr X j'ai super mal partout, faites un truc.
-ok faut tout péter voilà le devis ça fait 25K€ ou allez voir celui qui vous a fait ça.

2eme consult:
- je suis retourner chez Dr Y y m'as soigné mais je pue du bec et ça branle en haut.
Vous pouvez y mettre un coup de tournevis ?
- bof... allez voir Dr Y ... c'est louche. Sinon je vous refait le truc pour 35K€

3eme consult:
- Dr j'ai le dentier du Dr Y qui blesse.


sacré Dr Y
il est gentil
en plus il fait des plans de financement et il y a au moins 4 écrans et 2 microscopes dans la salle de soin.


Ylfwcw979cz1jnx9gfqeaxndiuzk - Eugenol
Algi

04/11/2019 à 13h04

Marisol T. naive, a été voir un dentiste...

Lui, rancunier, s'est fait plaisir...

Évidemment j'ai changé le nom et rendu la patiente méconnaissable.


--

https://open.spotify.com/user/8iz7teu84dfphmgspeh2979o8/playlist/59Tfpt7zoHfkI27430lfNg?si=MAiYEkb2S6mMV6qNX2aFwg


On a toujours le choix mais entre quoi et quoi?
Vas-y boulégue et l'avenir te le dira!

Img 20191104 130229 ylyklt - Eugenol

Olieve

04/11/2019 à 13h20

Patient Cancereux ? Prévention d'un risque de nécrose ?


Gabzou

04/11/2019 à 13h23

Olieve écrivait:
------
> Patient Cancereux ? Prévention d'un risque de nécrose ?

Oh non, rien d'aussi honnête.
Les autres ont déjà bien identifié le surtraitement qui explique les pano 1 et 2, mais il leur manque un élément qui explique le passage à la 3 et la consult en urgence.
Je vais manger et je vous donne la solution dans l'aprèm.


Hok 1b hgd3rj - Eugenol
Hokusai

04/11/2019 à 13h33

Ste teasing de folie...


Ylfwcw979cz1jnx9gfqeaxndiuzk - Eugenol
Algi

04/11/2019 à 13h37

Il s'est mis à capter la radio avec ses dents ?

Manque de chance il pouvait chopper que rire et chansons....

Dans l'impossibilité de déménager pour raison professionnelle et n'en pouvant plus de bigard et chevalier et laspales il a fallu intervenir....


--

https://open.spotify.com/user/8iz7teu84dfphmgspeh2979o8/playlist/59Tfpt7zoHfkI27430lfNg?si=MAiYEkb2S6mMV6qNX2aFwg


On a toujours le choix mais entre quoi et quoi?
Vas-y boulégue et l'avenir te le dira!


Ylfwcw979cz1jnx9gfqeaxndiuzk - Eugenol
Algi

04/11/2019 à 13h47

Monsieur, suite à un souci dans la chaîne de fabrication vos implants font partie d'un lot défectueux, merci de bien vouloir vous présenter au cabinet lundi matin pour un retour produit.

--

https://open.spotify.com/user/8iz7teu84dfphmgspeh2979o8/playlist/59Tfpt7zoHfkI27430lfNg?si=MAiYEkb2S6mMV6qNX2aFwg


On a toujours le choix mais entre quoi et quoi?
Vas-y boulégue et l'avenir te le dira!


Utilisateur banni

04/11/2019 à 14h07

pas aussi simple que le dévissage à répétition because la connectique foirée alors....

bourdel quel suspense...

la pano est trompeuse tout les implants sont posé mi-corticale ?


sagito

04/11/2019 à 14h13

je veux pas le croire ,c'est pas le même patient


Ylfwcw979cz1jnx9gfqeaxndiuzk - Eugenol
Algi

04/11/2019 à 14h17

C'est ça d'aller se faire soigner à la fac... On te balade de service en service...


--

https://open.spotify.com/user/8iz7teu84dfphmgspeh2979o8/playlist/59Tfpt7zoHfkI27430lfNg?si=MAiYEkb2S6mMV6qNX2aFwg


On a toujours le choix mais entre quoi et quoi?
Vas-y boulégue et l'avenir te le dira!


zolimome

04/11/2019 à 14h20

ça mange pas vite un Gabzou


Utilisateur banni

04/11/2019 à 14h21

ou sinon col de l'implant centre de la crête et apex visible hors de la gencive ^^
histoire de rajouter un écrou en bas Mr... ça tiendra mieux.

vu les hauteurs des comblements sur c'est ça ^^


Vw campersurfvan bmnk1q - Eugenol
enlaye

04/11/2019 à 14h41

ils ont oublié de mettre les vis ?
et on ne les trouve plus :-)


A pas pris la carte Casto ?
A pas pris l'extension de garantie ?


zolimome écrivait:
--------
> ça mange pas vite un Gabzou

En plus il a repris un autre café et va attaquer le dijo pendant que tout nonol est en haleine, ça fait la sieste un Gabzou ?


Gabzou

04/11/2019 à 14h46

Allez, je met fin au suspens.
Patiente la 50aine

1er RDV en 2017 pour l'avulsion de la 48, rien à signaler hormis le gros soupçon de surtraitement vu la quantité de prothèses.

2ème RDV en Février 2019, nous apprenons que la patiente s'est faite poser des implants en Turquie (ne me demandez pas pourquoi, mais çà sent le deuxième épisode de surtraitement, soit elle est volontaire, soit naïve et pas de bol, je ne sais pas, c'est sa fille qui traduisait je n'ai pas insisté) en Aout 2018, et souffre depuis de douleurs permanentes, irradiantes dans toute l'hémiface droite, jusque dans le cou, l'épaule et le sommet du crâne. Nous ne diagnostiquons aucun défaut implantaire ni pathologie en bouche.

3ème RDV ce jour. La patiente a quand même fait enlever les implants en Turquie de nouveau; évidemment les douleurs persistent. Évidemment ce jour rien à signaler, muqueuses parfaitement saine, aucun signe infectieux ou inflammatoire en bouche ou autour. Adressée vers le centre de gestion de la douleur locale avec soupçon de névralgie, possible lésion liée à la chirurgie.

Bref, une jolie combinaison de surtraitement, tourisme dentaire, et douleur d'origine inconnue comme on les aime.


ℙ𝕖𝕣𝕧𝕖𝕣𝕤 ℙé𝕡è𝕣𝕖 écrivait:
--------------
ça fait la sieste un Gabzou ?


Ah ben non.


12