Cookie Consent byPrivacyPolicies.comBeau traitement - Eugenol

Beau traitement

T'as pas été tenté de lui reproposer des implants, comme ça, juste pour rire ?


Utilisateur banni

04/11/2019 à 14h51

pas assez exotique !!
faut trouver autre chose !
lésion irréversible induite par une pinceàsucrite aigue ? :D
enlaye ! le peuple veut savoir!


Gabzou

04/11/2019 à 14h54

Pas de sieste malheureusement, le restaurant du CHU et retour aux urgences pour l'après midi!


Ylfwcw979cz1jnx9gfqeaxndiuzk - Eugenol
Algi

04/11/2019 à 15h40

J'allais faire un commentaire à la con mais non...

Juste atterré.

Ceci dit si depuis le départ elle souffrait et que le diagnostic de névralgie a pas ete posé on peut comprendre le déroulé...


--

https://open.spotify.com/user/8iz7teu84dfphmgspeh2979o8/playlist/59Tfpt7zoHfkI27430lfNg?si=MAiYEkb2S6mMV6qNX2aFwg


On a toujours le choix mais entre quoi et quoi?
Vas-y boulégue et l'avenir te le dira!


Olieve

04/11/2019 à 15h51

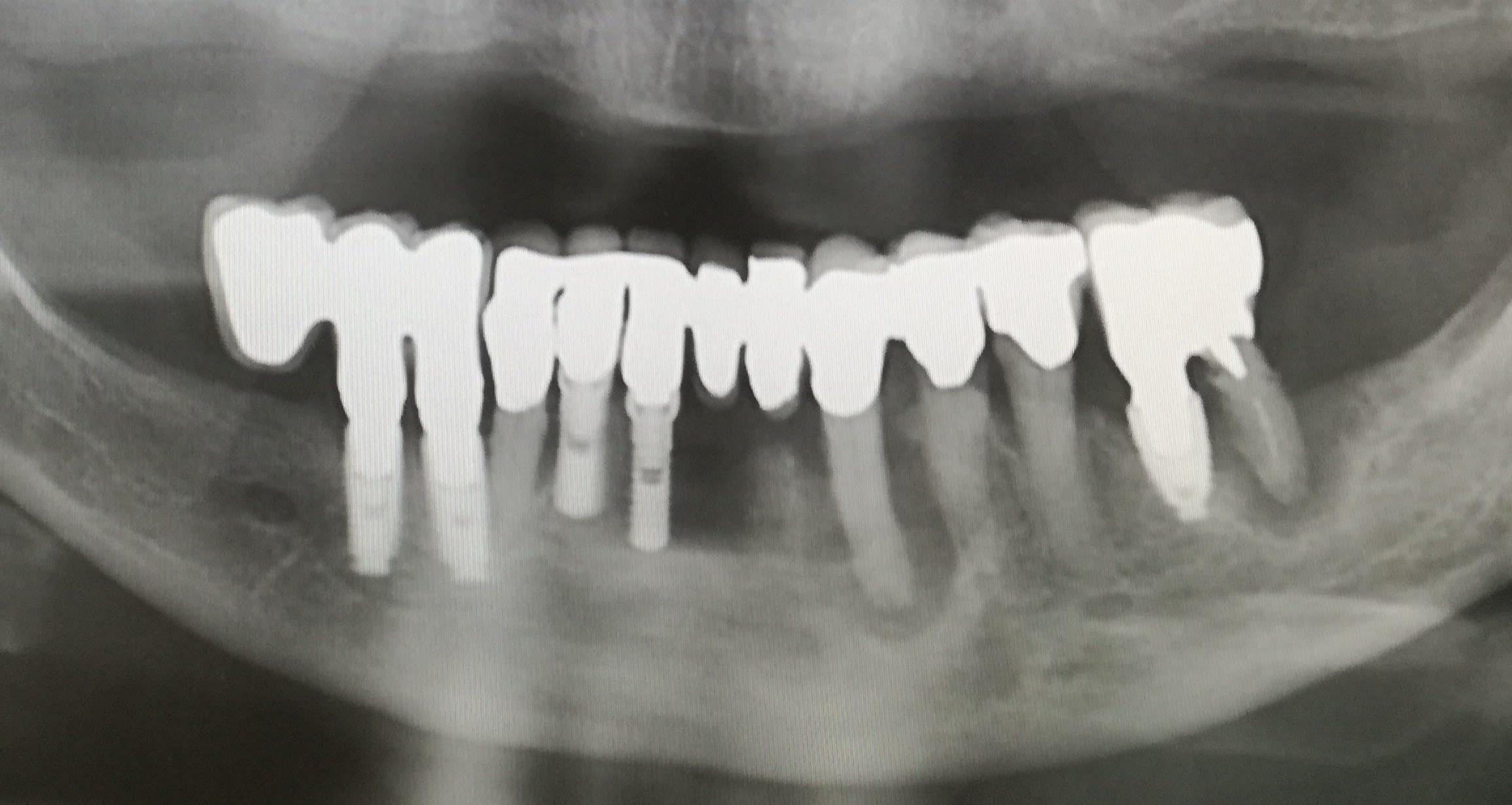
Faut reconnaitre que la dépose des implants s'est faite proprement, enfin d'après la radiographie.
Ça aurait pu être un carnage osseux.


Bebe 038 nf8eum - Eugenol
danteyeah

04/11/2019 à 17h04

Il a un drôle d’aspect le condyle droit. Ça donne quoi la palpation musculaire, notamment du Pterigoydien lat D ?


South park   craig te7bfk - Eugenol
CRAIG

04/11/2019 à 17h57

Je souhaitais faire la remarque que les soins initiaux avec toutes ces couronnes sur dents vivantes me rappelaient les traitements typique de pas mal de patients turques que j'ai pu croiser.
Les soins initiaux avaient été déjà été effectués là bas? La patiente est turque d'origine?


Gabzou

04/11/2019 à 18h08

CRAIG écrivait:
-----
> Je souhaitais faire la remarque que les soins initiaux avec toutes ces couronnes
> sur dents vivantes me rappelaient les traitements typique de pas mal de
> patients turques que j'ai pu croiser.
> Les soins initiaux avaient été déjà été effectués là bas? La patiente est turque
> d'origine?

Pour les prothèses initiales je ne sais pas, mais la patiente est bien d'origine turque.


Gabzou

04/11/2019 à 18h09

danteyeah écrivait:
---------
> Il a un drôle d’aspect le condyle droit. Ça donne quoi la palpation musculaire,
> notamment du Pterigoydien lat D ?

Je ne la reverrai probablement pas, mais rien de particulier lors de la palpation, bien que j'avoue ne pas avoir trop insisté.


Screenshot 20190204 160354 2 ookelm - Eugenol
Arsénieux

04/11/2019 à 18h29

Sûrement un dentiste kurdes !


Vw campersurfvan bmnk1q - Eugenol
enlaye

04/11/2019 à 18h37

danteyeah écrivait:
---------
" Il a un drôle d’aspect le condyle droit. Ça donne quoi la palpation musculaire, notamment du Pterigoydien lat D ? "

il frappe fort le Danteyeah ! :-)
tu remarqueras que je n ai rien dit :-) histoire qu on ne me traite pas de maniaco occluso radoteur .
désormais , je me reposerais sur toi , te passe la main .
suis d accord avec toi , bien sur , et ce qui m étonne aussi , ç est la disproportion entre la longueur des racines / a la taille des couronnes .
le tout combiné , serait ce une cl3 que l on aurait machiné et verouillé pour des raisons esthétiques ? possible .


PS: je n ai jamais vu d aussi belles radios panoramiques .


Gabzou

04/11/2019 à 19h02

enlaye écrivait:

> PS: je n ai jamais vu d aussi belles radios panoramiques .

On a régulièrement un soucis au service de radio avec des panos qui sont illisibles au niveau Incisivo-Canin, celles là sont dans la moyenne haute je dirais (sauf pour la deuxième au Mx ) . Un jour je me pencherai dessus si j'ai envie d'aller embêter le service radio, en attendant j'ai déjà eu fort à faire pour retoucher les prescriptions (et on débat encore pour savoir si l'ibuprofène doit aller dans les antalgiques ou anti-inflammatoires!).


6szjws718sv1jksw54v4mpj3a6cu - Eugenol
vulpi

04/11/2019 à 20h39

L'ibuprofen? À la poubelle ça doit aller 😝


Bebe 038 nf8eum - Eugenol
danteyeah

04/11/2019 à 20h45

enlaye écrivait:
------
> danteyeah écrivait:
> ---------
> " Il a un drôle d’aspect le condyle droit. Ça donne quoi la palpation
> musculaire, notamment du Pterigoydien lat D ? "
>
> il frappe fort le Danteyeah ! :-)
> tu remarqueras que je n ai rien dit :-) histoire qu on ne me traite pas de
> maniaco occluso radoteur .
> désormais , je me reposerais sur toi , te passe la main .

Ouais! Compte là-dessus va....j’ai vélo 🚲

> PS: je n ai jamais vu d aussi belles radios panoramiques .

Espace Santé 3 à La Seyne y savent faire


South park   craig te7bfk - Eugenol
CRAIG

06/11/2019 à 17h25

Gabzou écrivait:
------

> Pour les prothèses initiales je ne sais pas, mais la patiente est bien d'origine
> turque.

Je te confirme alors que les toutes ces prothèses sur dents vivantes ont été effectuées en Turquie.
Typique des soins effectués là bas....Et le jour où la pulpite est là ils sont souvent en France!....lol


Gabzou

18/02/2020 à 21h18

Allez, pour le plaisir des mirettes et pour vous faire rire un coup (même si franchement quand j'ai du expliquer la situation à la patiente qui était adressée pour le traitement d'un kyste sur 33 ni elle ni moi n'étions trop heureux), je vous propose un nouveau cas. A mon grand regret je n'ai pas l'historique du dossier ce coup ci, juste une visite de la patiente. Vous aurez moins de réflexion, mais l'originalité du traitement vaut son pesant de cacahuètes.

Donc à la place de réfléchir (çà soulagera les pauvres neurones des nonoliens), je vous propose de voter pour votre prothèse préférée.
Au menu:
-L'original bridge en extension implanto-porté (46)45-44
-Le (trop) audacieux bridge antérieur implanto-dento-porté sur dents vivantes et son assortiment de lésion endoparodontale et de péri-implantite
-Et enfin ma préférée, l'extravagante couronne implanto-dento-portée en 36, sa lésion endoparo et sa probable fracture radiculaire

Autrement j'ai quand même une question pour vous, comment le praticien a-t-il réussi son coup pour monter une infrastructure coronaire en 36 qui s'appuie sur les deux supports à la fois avec des axes divergents?

Img 20200217 153252 b0agzy - Eugenol
Img 20200217 153433 wkfgn5 - Eugenol

Jeunedentiste91

18/02/2020 à 22h24

On peut au moins reconnaître qu’il a fallut beaucoup d’imagination pour élaborer ce plan de traitement ...


Hok 1b hgd3rj - Eugenol
Hokusai

18/02/2020 à 22h38

L amputation de la racine mésiale de 46 et la racine distale solidarisee sur l implant... Mais c est de l art.


Gabzou

18/02/2020 à 22h49

Hokusai écrivait:
-------
> L amputation de la racine mésiale de 46 et la racine distale solidarisee sur l
> implant... Mais c est de l art.

Oui mais par quel protocole tu arrives à solidariser çà ? J'ai du mal à concevoir le type d'empreinte qui a permis de monter un truc solidarisant les deux éléments, et le truc en lui même. IL faudrait une moitié tenon radiculaire, une moitié pas de vis pour implant? Mais du coup impossible à visser. Ou alors c'est juste scellé dans l'implant et la dent comme un simple inlay core à clavette?
Effectivement c'est de l'art!
Que de mystères, je vais regretter de ne pas assister à la dépose.


Hok 1b hgd3rj - Eugenol
Hokusai

18/02/2020 à 23h04

Un pilier implantaire a la place de la racine mésiale et en distal un inlay core. Une double CCM solidarisee par dessus le tout... De la dentisterie du Turfu.

Enfin quoique... Je sais pas trop ce qui rentre dans la connexion de l implant... Si ça se trouve c est juste une pièce scellé dans l implant. Du très très haut niveau.


Gabzou

19/02/2020 à 16h06

Hokusai écrivait:
-------
> Un pilier implantaire a la place de la racine mésiale et en distal un inlay
> core. Une double CCM solidarisee par dessus le tout... De la dentisterie du
> Turfu.
>
> Enfin quoique... Je sais pas trop ce qui rentre dans la connexion de l
> implant... Si ça se trouve c est juste une pièce scellé dans l implant. Du très
> très haut niveau.

Oui, je l'avais envisagé ce montage sur 2 supports avec une espèce de double CCM, le top niveau.


12