Cookie Consent byPrivacyPolicies.comDépose IC - Eugenol
Nouveau image bitmap fz77zh - Eugenol
Sethef

15/11/2019 à 11h01

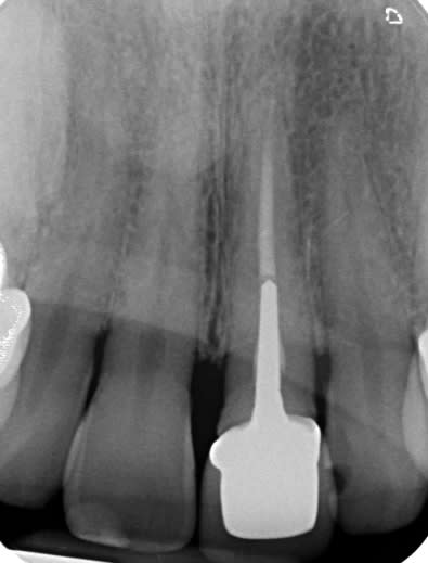
Petit sondage du matin: sur une radio similaire, céramique à reprendre pour raisons esthétiques, traitement endo correct et asymptomatique:

Qui dépose l'IC?
Quels sont vos critères décisionnels?

Ceram xhddm0 - Eugenol

Pubg2 rjl8jc - Eugenol
lemondestvaste

15/11/2019 à 11h22

Merci pour la question. Je me la pose une fois par mois. Perso c est qualité radio du tt de racine et examen a la loupe des limites du tfm qui me font prendre ma décision.


Pubg2 rjl8jc - Eugenol
lemondestvaste

15/11/2019 à 11h24

Dans mon coin c est facilité par le fait que quand le tt de racine a pas l air top a la radio ...generalement il est vraiment pas top. J ai découvert que certains traitement de racine assez anciens pouvaient être . .. liquide. C est un concept.


lemondestvaste écrivait:
--------------
> Dans mon coin c est facilité parle gait

Homophobie ?

Je comprends de moins en moins les posts , c'est moi ou bien ?


Vw campersurfvan bmnk1q - Eugenol
enlaye

15/11/2019 à 11h28

je le laisse tranquille .


Et sinon le mieux étant l'ennemi du bien, quelquefois il vaut mieux s'abstenir, là le traitement endo a l'air nickel, j'essaierais de l'enlever juste comme ça pour la forme, sinon zou.


Images oecc9d ijdijh - Eugenol
Akrobat

15/11/2019 à 11h41

je le laisse


Toriko ucqp9i - Eugenol
Giantcoco

15/11/2019 à 12h35

je suis souvent contraint de les enlever, les préparations étant souvent minimalistes et sans épaulement. reprendre une préparation dans du métal c est trop galère.


Vw campersurfvan bmnk1q - Eugenol
enlaye

15/11/2019 à 12h38

Giantcoco écrivait:
---------
" je suis souvent contraint de les enlever, les préparations étant souvent minimalistes et sans épaulement. reprendre une préparation dans du métal c est trop galère. "

et comment tu fais quand ç est une Richmond ? :-))


Nouveau image bitmap fz77zh - Eugenol
Sethef

15/11/2019 à 13h43

Ah ben c'était une richmond, du coup...

Ceram ifnwjp - Eugenol

Pubg2 rjl8jc - Eugenol
lemondestvaste

15/11/2019 à 14h10

Les fraises adéquates pour préparer les richmond aident bien.


Vw campersurfvan bmnk1q - Eugenol
enlaye

15/11/2019 à 15h19

fraise à Richmond ?


Nouveau image bitmap fz77zh - Eugenol
Sethef

15/11/2019 à 17h34

J'ai trois cas en tête:
-un petit papi à qui j'avais tout refait, avec la ferme intention qu'il emmène le boulot dans sa tombe. J'avais laissé UN putain d'IC qui paraissait nickel à tout point de vue, sur la 13 support de bridge. Fracture radiculaire 3 ans plus tard.

-une jeune présentant une ccm en surcontour, sur un ic en surcontour, sur 35 de mémoire; vu les vibrations engendrées par la reprép de l'IC, décision de déposer pour éviter un descellement plus tard: une heure de boulot, un paquet de transmétal, et un max de fatigue mécanique pour la racine résiduelle.

-une autre jeune, ccm en surcontour, sur un ic en surcontour, à nouveau, une 25. Cette fois, pas con, je reprep l'IC, l'endo est clean à la radio, empreinte. Le jour de la pose, l'IC vient avec la pro, et le canal palatin n'est pas traité.

Je n'ai pas encore formulé mes conclusions.


Ylfwcw979cz1jnx9gfqeaxndiuzk - Eugenol
Algi

15/11/2019 à 17h44

En général quand on décide laisser un vieil ic....

Ça merde...

Chais pas pourquoi..

Du coup quand je peux je dépose...

Et sinon en parlant de Richmond....

La dernière que j'ai du déposer j'ai senti que ce serait pas faisable...

Du coup j'ai taillé mon moignon dedans....

Et j'ai côté un ic....

Ic taillé dans la masse c'est quel code ccam ?
--

https://open.spotify.com/user/8iz7teu84dfphmgspeh2979o8/playlist/59Tfpt7zoHfkI27430lfNg?si=MAiYEkb2S6mMV6qNX2aFwg


On a toujours le choix mais entre quoi et quoi?
Vas-y boulégue et l'avenir te le dira!


Vw campersurfvan bmnk1q - Eugenol
enlaye

15/11/2019 à 19h43

Sethef écrivait:
------
" J'ai trois cas en tête:
………..
Je n'ai pas encore formulé mes conclusions. "

ton 3eme cas est fantastique . et on a tous eu ce genre cas .
il y en a qui ont de la chance ( des patients ) et d autres moins , et finalement , lorsque l on fait de bons traitements , il serait orgueilleux de penser que l on en est les seuls responsables .


Aiguille cyboyt - Eugenol
fatboy

16/11/2019 à 06h28

A moins que ce soit nickel de chez nickel je vire les IC, et comme je vire les IC je refais les endos. Qui n'a pas eu un patient avec une endo OK-moyenne, pas d'image, asymptomatique, tu lui refait la couronne , 2 mois apres, il revient avec une peche.


Bebe 038 nf8eum - Eugenol
danteyeah

17/11/2019 à 16h58

.


Bebe 038 nf8eum - Eugenol
danteyeah

17/11/2019 à 16h59


> Perso j’évalue d’abord le ratio temps/emmerdement: dans ton cas il y a exigence
> esthétique et situation radio permettant de laisser le bénéfice du doute au
> traitement préalable. Donc taille/provisoire (avec au préalable wax-up et tout
> le toutim si nécessaire), empreinte si paro OK etc.... soit un temps limité au
> max et emmerdement mini. Si ça merde on reprend tout et on récupère déjà
> l’esthétique préalable, donc à tout casser t’as perdu 1H de taf et 1 CCM ou CCC,
> si tout va bien, par contre, t’as gagné une bonne matinée de boulot inutile
> La question est évidemment bien différente dans le cas d’un volume de travail
> plus conséquent où il sera difficile de revenir esthétiquement sur le travail
> une fois achevé.