Cookie Consent byPrivacyPolicies.comil faut que je me défoule.. - Eugenol

il faut que je me défoule..

burnax

18/11/2019 à 17h49

Je refais venir une patiente russe avec son mari français, car la discussion et compréhension orale était impossible.

Le mari me fait comprendre vu le nombre d'implants et le coût estimé, que l'intervention et la prothèse se fera en Russie, car moins chère.

Par contre, si je pouvais commencer les extractions low-cost , ce sera gentil de ma part !!

J'ai refusé, alors ce brave homme est monté sur ses grands chevaux dans une discussions mélangeant mutuelle, cmu et migrants, bref les sous pour le social et pas pour les honnêtes gens qui bossent en plus dans de grosses voitures.

Il est parti et il ne reviendra plus dans mon cabinet..

Quelle tristesse..

Bref, je suis énervé à cause de cet abruti.


burnax

18/11/2019 à 18h18

En plus, cet enfoiré vient de me balancer un commentaire de chiotte, avec Quel courage.....


azerty

18/11/2019 à 18h18

remarque, il n'a pas tort....
quand tu vois ce que tu payes en cotis obligatoire et ce que tu as , il y a de quoi se poser des questions!!!


azerty

18/11/2019 à 18h48

par contre pour le commentaire c'est pas fin....


dcs

18/11/2019 à 18h59

on devrait faire un syndicat des commentaires joyeux et gratifiant !
une entraide puisque l on est pas censé répondre


Hok 1b hgd3rj - Eugenol
Hokusai

18/11/2019 à 19h16

Sérieux ??


Screenshot 20190204 160354 2 ookelm - Eugenol
Arsénieux

18/11/2019 à 19h18

Prends ça comme un compliment ! C'est qu'ils n'ont pas confiance dans les extractions faites en Russie !


burnax

18/11/2019 à 21h08

photo de Miss monde (en réalité le mari coupe Beatles)
4 avis
il y a 3 heures (soit 20 mn après la consultation).
ce Charlat ... pense a son bénéfice avant le bien-être de ses patients ! Honteux!! comme quoi certains avis sont tronqués..
Visité en novembre

Ma réponse:

Bonsoir mde Devos, si cela est bien votre nom.
Nous vous remercions de votre avis.
Après vérification, vous n'apparaissez pas dans notre fichier patient sous ce nom d'emprunt.
Aussi je regrette votre décision , derrière ce pseudo, d' exprimer votre mécontentement et surtout, votre dénigrement, à la suite de notre discussion sur votre volonté de soins prothétiques globaux à l' Etranger.
Cordialement.
сердечно


Ylfwcw979cz1jnx9gfqeaxndiuzk - Eugenol
Algi

18/11/2019 à 21h54

Mais ils croient qu'on gagne notre vie avec les soins...

Et ils croient aussi que non contents de gagner beaucoup sur les soins on se gave comme des porcs sur la prothèse...

Donc réaction de patient normale en somme...

--

https://open.spotify.com/user/8iz7teu84dfphmgspeh2979o8/playlist/59Tfpt7zoHfkI27430lfNg?si=MAiYEkb2S6mMV6qNX2aFwg


On a toujours le choix mais entre quoi et quoi?
Vas-y boulégue et l'avenir te le dira!


Cynthia

18/11/2019 à 22h04

Burnax

Tu as eu raison de l'envoyer paître . J'ai déjà eu quelques patients russes et je n'en garde pas un bon souvenir.
Ils souvent assez secs dans leur discussion et te remercie rarement.

Tu n'as rien perdus sauf un peu d'agacement et on te comprends fort bien

Passe quand même une bonne soirée


Ylfwcw979cz1jnx9gfqeaxndiuzk - Eugenol
Algi

18/11/2019 à 22h30

En en même temps faut le comprendre le gusse, il est vénère.

Il a été s'acheter une meuf pas chère en Russie et la, elle va lui coûter une blinde....

--

https://open.spotify.com/user/8iz7teu84dfphmgspeh2979o8/playlist/59Tfpt7zoHfkI27430lfNg?si=MAiYEkb2S6mMV6qNX2aFwg


On a toujours le choix mais entre quoi et quoi?
Vas-y boulégue et l'avenir te le dira!


doc.yoyo

19/11/2019 à 08h23

Le traitement c'est global, donc soins + prothèses ou rien sinon c'est qu'il n'a pas confiance pour faire qu'une partie !!!!!! et tu le fous dehors !!!


Ylfwcw979cz1jnx9gfqeaxndiuzk - Eugenol
Algi

19/11/2019 à 08h32

C'est l'esprit du moment, faire jouer la concurrence....

Il a du choisir sa clinique implant russe sur le net, prendre son billet avec kayak et trouver un hôtel avec booking...

Avec nos soins tarif tiers monde faut pas s'étonner si on voit fleurir ce genre de tourisme médical.... Chez nous....


--

https://open.spotify.com/user/8iz7teu84dfphmgspeh2979o8/playlist/59Tfpt7zoHfkI27430lfNg?si=MAiYEkb2S6mMV6qNX2aFwg


On a toujours le choix mais entre quoi et quoi?
Vas-y boulégue et l'avenir te le dira!


Hok 1b hgd3rj - Eugenol
Hokusai

19/11/2019 à 08h41

Algi écrivait:
----
> En en même temps faut le comprendre le gusse, il est vénère.
>
> Il a été s'acheter une meuf pas chère en Russie et la, elle va lui coûter une
> blinde....
>

c'est clair


Ylfwcw979cz1jnx9gfqeaxndiuzk - Eugenol
Algi

19/11/2019 à 08h54

Fallait lui dire d'aller sur le net à ton gars.... il t'en aurait été reconnaissant.

S'en trouver une neuve plutôt que d'envisager des travaux sur une d'occasion...

https://www.google.com/search?client=firefox-b-d&ei=VZ_TXeqSOcv0aIuzlLAG&q=femmes+russes&oq=femmes+russes&gs_l=psy-ab.3..0l10.2588.5553..7524...0.2..0.75.883.13......0....1..gws-wiz.......0i71j0i67j0i131j0i131i67.ZO_UAwJBevk&ved=0ahUKEwiqkZTQ5fXlAhVLOhoKHYsZBWYQ4dUDCAo&uact=5


--

https://open.spotify.com/user/8iz7teu84dfphmgspeh2979o8/playlist/59Tfpt7zoHfkI27430lfNg?si=MAiYEkb2S6mMV6qNX2aFwg


On a toujours le choix mais entre quoi et quoi?
Vas-y boulégue et l'avenir te le dira!


Ylfwcw979cz1jnx9gfqeaxndiuzk - Eugenol
Algi

19/11/2019 à 08h58

Oula faut changer les dents.... Ca va chercher dans les 12 000 ça....

Pi aussi y'a les nichons, sont une peu tombants les nichons....

Et les levres.... Vous avez vu les lévres?

Bref ça fait des frais tout ça....

Elle est cotée combien à l'argus?

Faudrait voir à la changer à mon avis...

Et sinon si vous pensez pas à une neuve j'ai une ukrainienne d'occasion, très peu servie, poitrine neuve, full épilée....


--

https://open.spotify.com/user/8iz7teu84dfphmgspeh2979o8/playlist/59Tfpt7zoHfkI27430lfNg?si=MAiYEkb2S6mMV6qNX2aFwg


On a toujours le choix mais entre quoi et quoi?
Vas-y boulégue et l'avenir te le dira!


Ylfwcw979cz1jnx9gfqeaxndiuzk - Eugenol
Algi

19/11/2019 à 09h01

Et sinon s'il a pas les moyens d'entretenir une belle étrangère, comme ceux qui tentent la Porsche et arrivent pas à suivre.... Dis lui d'aller voir en Albanie, au Soudan ou en Thaïlande, un bol de riz, de l'eau, voire les sous louer en rbnb


--

https://open.spotify.com/user/8iz7teu84dfphmgspeh2979o8/playlist/59Tfpt7zoHfkI27430lfNg?si=MAiYEkb2S6mMV6qNX2aFwg


On a toujours le choix mais entre quoi et quoi?
Vas-y boulégue et l'avenir te le dira!


Ylfwcw979cz1jnx9gfqeaxndiuzk - Eugenol
Algi

19/11/2019 à 09h04

J'avais oublié le catalogue....

https://www.google.com/search?q=femmes+russes&tbm=isch&source=univ&client=firefox-b-d&sa=X&ved=2ahUKEwjFnZjU5fXlAhUkShUIHQY2A5UQsAR6BAgIEAE&biw=1920&bih=966


--

https://open.spotify.com/user/8iz7teu84dfphmgspeh2979o8/playlist/59Tfpt7zoHfkI27430lfNg?si=MAiYEkb2S6mMV6qNX2aFwg


On a toujours le choix mais entre quoi et quoi?
Vas-y boulégue et l'avenir te le dira!


Pr tournesol

19/11/2019 à 09h06

on a pas vu le cas en question mais je pense que la réponse la plus efficace aurait été

ok je fais les extractions mais il faudra faire un comblement osseux pour préparer le site implantaire (et donc devis en conséquence)


Hok 1b hgd3rj - Eugenol
Hokusai

19/11/2019 à 09h28

non mais quand y'a trop de frais.


zolimome

19/11/2019 à 09h30

ces choses là, étonnamment, ne m'arrivent jamais

peut être qu'à force de vouloir communiquer à tout prix, expliquer, voire donc justifier, on perd en autorité.

pour ce patient spécialement il n'y aurait pas eu de conversation durant plus de quelques secondes, et loin de me chagriner, j'aurais été confortée dans ma zénitude d'exercice.


burnax

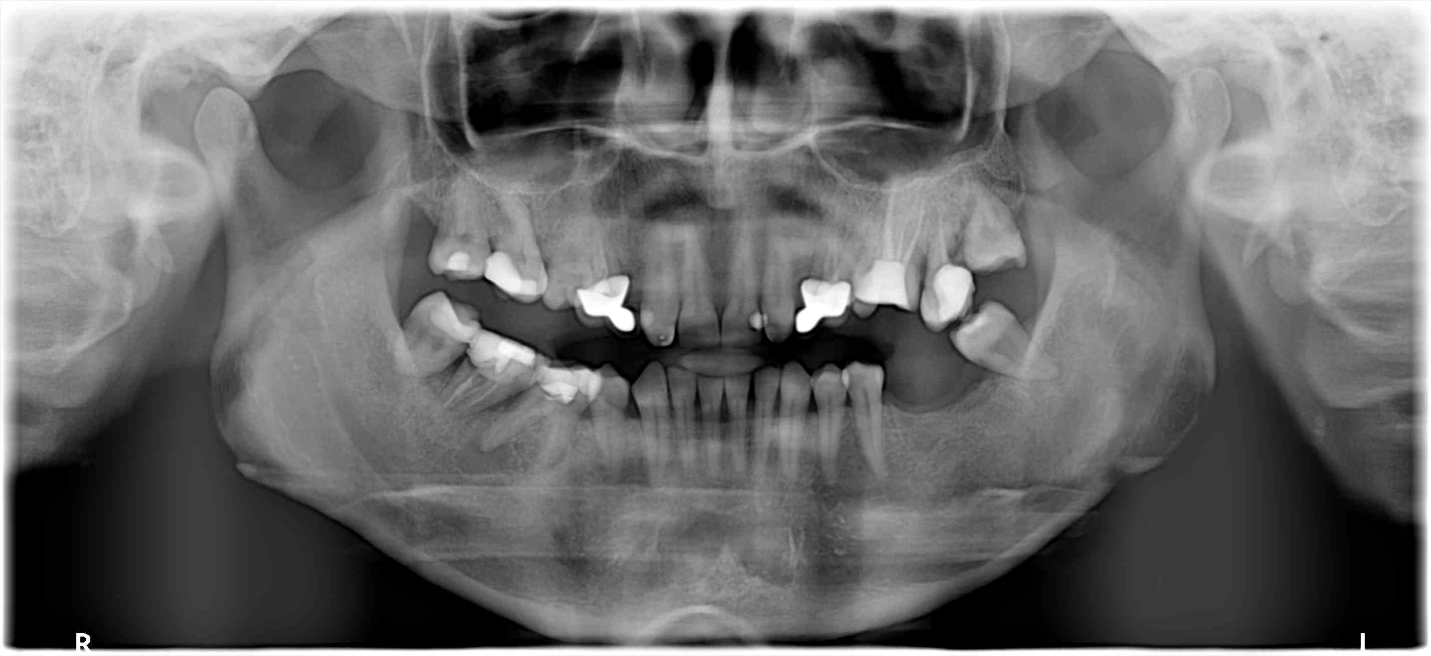
19/11/2019 à 10h17

Pano du cas...

P1 faohfv - Eugenol

Algi écrivait:
----

> Elle est cotée combien à l'argus?


Ben là c'est plutôt l' arghhh russe.

Et la prochaine fois faudra qu'il regarde ses dents avant de l'acheter la matriochka.

Index ngzx02 - Eugenol

Et pas de jolies dents, la pouliche, hop goulag, direct.

Index 2 zivqjq - Eugenol

Ylfwcw979cz1jnx9gfqeaxndiuzk - Eugenol
Algi

19/11/2019 à 11h34

Vu la pano c'est pas vraiment de la mci qui est possible...

Ça va être soit long et compliqué soit bâclé...

Dans tous les cas vu l'état d'esprit du mari vaut peut être mieux que ce soit pas toi qui gère...

Pi faut pas désespérer.... T'auras peut être un beau cas de dépose et de réhabilitation correcte à faire d'ici quelques temps....


--

https://open.spotify.com/user/8iz7teu84dfphmgspeh2979o8/playlist/59Tfpt7zoHfkI27430lfNg?si=MAiYEkb2S6mMV6qNX2aFwg


On a toujours le choix mais entre quoi et quoi?
Vas-y boulégue et l'avenir te le dira!


12