Cookie Consent byPrivacyPolicies.comle compo liquide ç est bien mais ç est liquide . - Eugenol

le compo liquide ç est bien mais ç est liquide .

Hok 1b hgd3rj - Eugenol
Hokusai

13/02/2020 à 14h18

lemondestvaste écrivait:
--------------
> Sérieux Chicot t as fait le compo tenon sans faire le rte ?

Mais non, c est sa reconstitution pré endo...


Vw campersurfvan bmnk1q - Eugenol
enlaye

14/02/2020 à 15h44

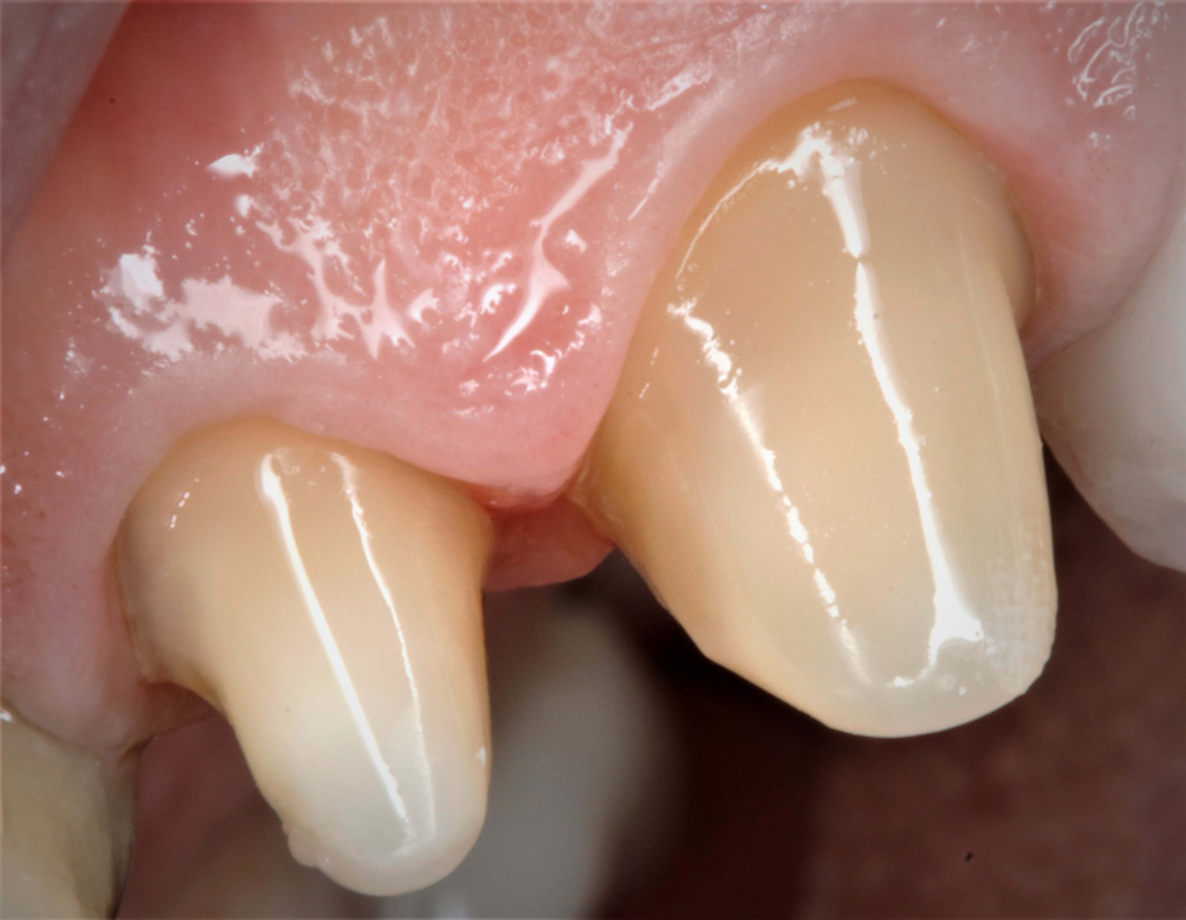
bon , comme vous étés gentils , voilà les tailles faites à l instant .
- alors , Mireille , tu vois , si j avais fait faire des IC à clavettes ,elles auraient du sortir sur le coté .
jamais il ne m aurait fait ça , il m aurait fait une belle merde , bien massive , et après il m aurait dit :
Gné , j ai pas de place pour la ceram .
- ensuite , le fait d avoir fait la pre-taille la fois d avant , et de l avoir laissé sans prov , aujourd'hui j ai pu descendre en infra sans une goutte de sang .

 mg 1883 vnrt73 - Eugenol
 mg 1884 taoac2 - Eugenol

Hok 1b hgd3rj - Eugenol
Hokusai

14/02/2020 à 15h46

enlaye écrivait:
------
> aujourd'hui j ai pu descendre en infra sans une goutte de
> sang .

avec des loupes ?? tu finis avec des fraises tungstène a lames ??


Capture d écran 2018 05 16 à 21.30 - Eugenol
Daryl

14/02/2020 à 15h53

A la diamantée bague jaune, je dirais..


Vw campersurfvan bmnk1q - Eugenol
enlaye

14/02/2020 à 15h57

non non , bague verte puis rouge tranquille celles là .
le tungstène , ç est pour les retouches sur IC .


Y m'énervent ces varois.


Vw campersurfvan bmnk1q - Eugenol
enlaye

14/02/2020 à 16h35

Hokusai écrivait:
-------
" avec des loupes ?? "

mouhahaha , pourquoi faire ? meme pas je regarde quand je taille , et de toute façon je n y vois rien , j ai un scialytique chinois pipé qui n éclaire pas , un clochard :-) .
tout à la proprioception , à la turbine bien sur . au contre angle ce serait impossible .


Capture d écran 2018 05 16 à 21.30 - Eugenol
Daryl

14/02/2020 à 17h49

D'aussi belles tailles sans lumière, y a pas à dire, il a du doigté le varois ;-))


Daryl écrivait:
-----
> y a pas à dire, il a du doigté le varois
> ;-))

Intéressée ?


Capture d écran 2018 05 16 à 21.30 - Eugenol
Daryl

14/02/2020 à 18h52

Jalouxxxxxxxxxxxxxxx ??? ;-))


Vw campersurfvan bmnk1q - Eugenol
enlaye

14/02/2020 à 19h54

Mireille me disait : tu les suces , les moignons , ben il a raison :-) ils sont sucés , mais pas par moi , par le patient , puisqu il n y a pas de prov . pour ça qu ils sont polis , et à grand coup de langue :-))
du coup regardes la gencive comme elle est belle . on voit meme que la dent s est teinté , alors zou
un petit coup de bossette avec detartrine et hop un pt'it mordu sans fil sans produit sans rien.
et la fois d apres la couronne rentre impec dans le sulcus comme un doigt au cul :-)

 mg 1854 i9xlne - Eugenol

blaise2583

14/02/2020 à 21h36

enlaye écrivait:
------
> bon , comme vous étés gentils , voilà les tailles faites à l instant .
> - alors , Mireille , tu vois , si j avais fait faire des IC à clavettes ,elles
> auraient du sortir sur le coté .
> jamais il ne m aurait fait ça , il m aurait fait une belle merde , bien massive
> , et après il m aurait dit :
> Gné , j ai pas de place pour la ceram .
> - ensuite , le fait d avoir fait la pre-taille la fois d avant , et de l avoir
> laissé sans prov , aujourd'hui j ai pu descendre en infra sans une goutte de
> sang .
Je fais exactement la meme chose le 1er jour moignon et pretaille sans prov puis j au 2eme juste finition taille en plus t as un autre recul de vision la 2eme fois. Sinon belles tailles et tu lui laisses la place quil faut et l angulation que tu veux, cela me rassure je ne suis le seul à faire comme cela


Vw campersurfvan bmnk1q - Eugenol
enlaye

14/02/2020 à 21h51

blaise2583 écrivait:
----------
"en plus t as un autre recul de vision la 2eme fois "

ouiii exact :-) et ç est le plus important .
d abord pcq la fois d apres tu as un œil + critique ,
mais surtout pcq la gencive s est réorganisée à ta taille d une façon stable et saine , et dans la deuxième séance , ç est toi qui fait les finitions des limites en fonction d elle . donc elle te le rend bien en restant tranquille et stable pdt des années .


Vw campersurfvan bmnk1q - Eugenol
enlaye

16/02/2020 à 19h21

" D'aussi belles tailles sans lumière, y a pas à dire, il a du doigté le varois ;-)) "

exact , le secret c est de préparer avec l index devant et le majeur derrière .... de l autre main :-))
pcq le seul truc qu il faut comprendre , ç est que si tu veux avoir une découpe nette et franche et placée où tu veux , ç est le fouet de la fraise qui est ton ennemi et rien d autre.
or il n y a que comme ça que tu peux supprimer le fouet de la fraise en gardant une pression constante et en te guidant .

et comme ça fait beaucoup de doigts , tu n 'y vois rien , juste un peu le bout de temps en temps . voilà pourquoi je te dis que des loupes ne servent à rien pendant la préparation , et de toute façon ,après , ce serait trop tard .
circulez ( autour de la dent ) il n y a rien à voir :-) juste à regarder l axe de la turbine

A axkopl - Eugenol
B tugxlv - Eugenol
C fqhd12 - Eugenol

Vw campersurfvan bmnk1q - Eugenol
enlaye

16/02/2020 à 19h27

si tu ne mets pas le doigt , tu ne peux pas maîtriser :
- ni la position de la limite
- ni le parallélisme
tjs à cause du fouet de la fraise .

 mg 1722 vkn3ti - Eugenol
 mg 1339 t1ugjx - Eugenol

Vw campersurfvan bmnk1q - Eugenol
enlaye

16/02/2020 à 19h32

maintenant , , n ayant pas de loupes moi même , si quelqu' un me montre un plus joli résultat évident grâce aux loupes , je veux bien investir :-)))

P6095483 u5uzyu - Eugenol
P6095483 aqdtri - Eugenol

Vw campersurfvan bmnk1q - Eugenol
enlaye

21/02/2020 à 12h42

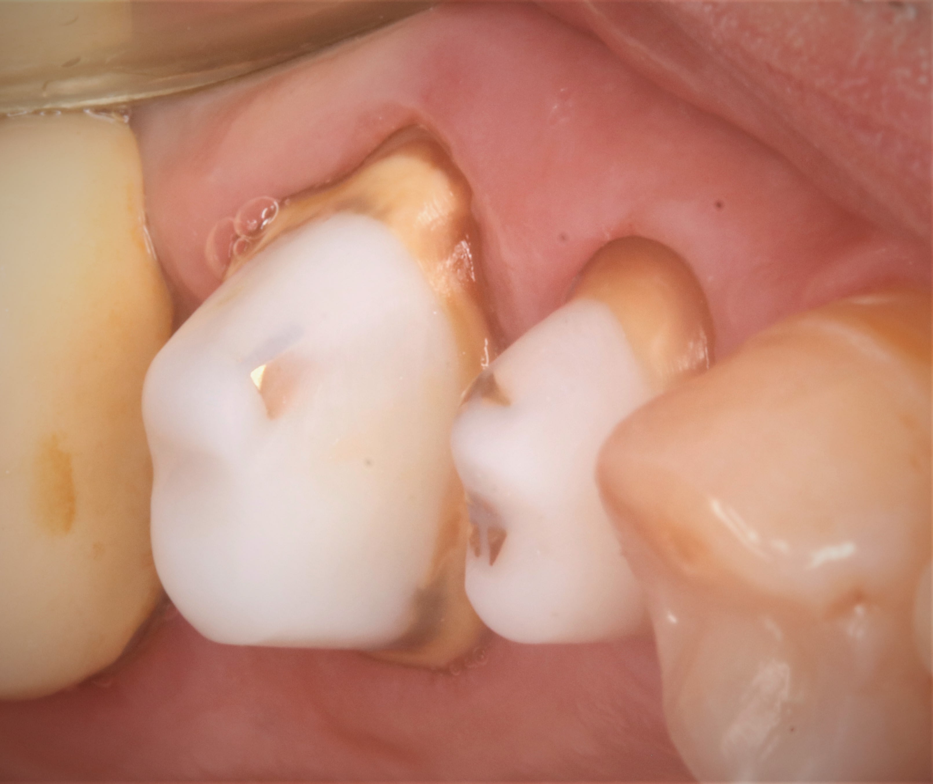
je fini le cas pour faire plaisir à Blaise .
donc aujourd’hui , , tjs sans prov , la gencive est impec .
y a plus qu a mettre .


Vw campersurfvan bmnk1q - Eugenol
enlaye

21/02/2020 à 12h43

ça marche plus les photos ?


Vw campersurfvan bmnk1q - Eugenol
enlaye

21/02/2020 à 12h44

ah siiiii

 mg 1897 bhqurf - Eugenol
 mg 1898 baprff - Eugenol

Hok 1b hgd3rj - Eugenol
Hokusai

21/02/2020 à 12h50

il aurait pu personnaliser un peu ses ceram...


Vw campersurfvan bmnk1q - Eugenol
enlaye

21/02/2020 à 12h56

là encore ça va ç est du full @max à 110 e
suis devenu ferologue :-) marre .


blaise2583

21/02/2020 à 13h02

Eh oui la gencive est belle quand on laisse la nature tranquille. Good job


Vw campersurfvan bmnk1q - Eugenol
enlaye

21/02/2020 à 13h03

merci , Blaise


Vw campersurfvan bmnk1q - Eugenol
enlaye

21/02/2020 à 13h06

et devant comme derrière , lui il est resté 4 semaines comme ça :-))))

 mg 1899 ecoxiu - Eugenol