Cookie Consent byPrivacyPolicies.compas trop cool comme carie... - Eugenol
S2y2o1v7q53ws4r5wy6ou8czrpom - Eugenol
pxav

20/02/2020 à 20h52

Mireille-Mathieu écrivait:
----------------


> Je te comprends c’est un truc nouveau , ça a un petit coté excitant , et ça
> change de la routine.
>
>
> --

c'est une bonne façon de voir les choses...
par contre je n'ai fait qu'un devis...

--
xbk
La connaissance s'acquiert par l'expérience, tout le reste n'est que de l'information." ALBERT EINSTEIN


Utilisateur banni

20/02/2020 à 20h55

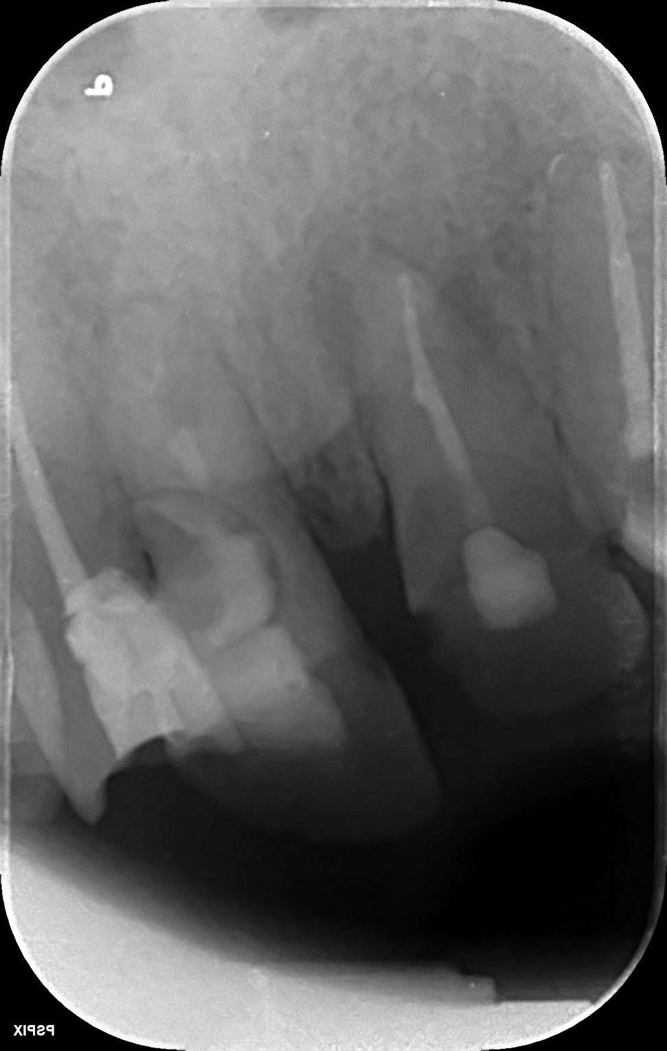
C’est le cône qui dépasse là ? :))) ou juste la pâte ?
C’est pas grave tu lui feras une résection si c’est le cône. On n’est plus à ça près .
Que celui qui n’a jamais foiré une endo te jette la première pierre ... moi je ne te la jette pas :)


--
La forme de ma coupe de cheveux futuriste me permet une meilleure pénétration dans l'air et d' avoir moins de résistance face au vent lorsque je me déplace.


Hinanui

20/02/2020 à 21h02

Aie ma main ! ;-)

Pour Sethef : Je maintiens tout de même qu'il arrive que des résorptions cervicales descendent dans la racine en suivant le canal.
Un petit cas traité il y a 2 ans. La résorption s'étendait jusqu'à la limite du tiers apical et entourait complétement le canal.
Aux dernière nouvelles la dent est toujours là.
(Le point de départ est disto palatin, donc dur dur d'avoir une super belle limite pour l'obturation de la résorption)

Rce 21 djx1xc - Eugenol
Rce coupes axiales zze448 - Eugenol
Rce rétro alvéolaire xlmdyv - Eugenol

Vw campersurfvan bmnk1q - Eugenol
enlaye

20/02/2020 à 21h08

Putain enlaystradamus a encore frappé !
Malchance mais pas grave
ERI avec compo avec renfort de fibres souples comme dit précédemment .
Désolé.


4a338550 6a5b 47ea b2a7 d3cb675c5076 oni5gh - Eugenol
fistule 69

20/02/2020 à 21h13

Ton dépassement me faite penser à quelqu’un...
Bon travail collègue !
😷😉

A3bb1334 eee8 49ae b3a4 5a187d485ae3 cy1ziq - Eugenol

Hok 1b hgd3rj - Eugenol
Hokusai

20/02/2020 à 21h30

Pas con l ancrage osseux transradiculaire pour compenser la faible hauteur de dent saine... C est la dent de l enfer.


montmartre

20/02/2020 à 21h39

.


S2y2o1v7q53ws4r5wy6ou8czrpom - Eugenol
pxav

20/02/2020 à 21h39

enlaye écrivait:
------
> Putain enlaystradamus a encore frappé !
> Malchance mais pas grave
> ERI avec compo avec renfort de fibres souples comme dit précédemment .
> Désolé.

non


--
xbk
La connaissance s'acquiert par l'expérience, tout le reste n'est que de l'information." ALBERT EINSTEIN


montmartre

20/02/2020 à 21h42

.


S2y2o1v7q53ws4r5wy6ou8czrpom - Eugenol
pxav

20/02/2020 à 21h43

pourquoi voulez vous extraire cette brave incisive qui ne demande qu'un peu d'aide pour vivre...


--
xbk
La connaissance s'acquiert par l'expérience, tout le reste n'est que de l'information." ALBERT EINSTEIN


Vw campersurfvan bmnk1q - Eugenol
enlaye

20/02/2020 à 21h50

pxav écrivait:
----
" non "
:-))) on ne dit pas non à stradamus .
Meme moi il me fait peur :-)))


S2y2o1v7q53ws4r5wy6ou8czrpom - Eugenol
pxav

20/02/2020 à 22h05


après avoir lu l'article, je regrette effectivement de n'avoir pas de scan pour l'iconographie...

--
xbk
La connaissance s'acquiert par l'expérience, tout le reste n'est que de l'information." ALBERT EINSTEIN


S2y2o1v7q53ws4r5wy6ou8czrpom - Eugenol
pxav

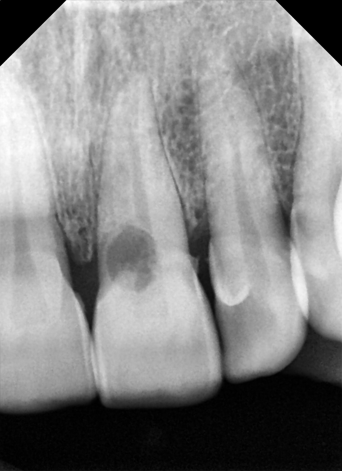
20/02/2020 à 22h26

une autre radio qui explique un peu le dépassement, (enfin ça m'arrange de le penser) condensation trop forte pour avoir aussi les canaux accessoire.


--
xbk
La connaissance s'acquiert par l'expérience, tout le reste n'est que de l'information." ALBERT EINSTEIN

015 hboxvo - Eugenol

montmartre

20/02/2020 à 22h35

.


S2y2o1v7q53ws4r5wy6ou8czrpom - Eugenol
pxav

20/02/2020 à 22h42


Du tout simple gutta foulée plus ciment (septodon je crois a vérifier)


--
xbk
La connaissance s'acquiert par l'expérience, tout le reste n'est que de l'information." ALBERT EINSTEIN


dent2669

21/02/2020 à 10h42

Hinanui écrivait:
-------
> Je mets ma main à couper !!! (Et je tiens beaucoup à mes mains !!!!)
> Un petit lien avec un cas similaire (mais moins avancé) trouvé sur internet.
> https://www.lefildentaire.com/articles/pratique/step-by-step/traitement-des-resorptions-cervicales-externes-a-propos-de-2-cas-cliniques/

C'est gentil de citer un article que j'ai écrit en plus ;-) !!!
Croyez moi ou non, l'incisive centrale que vous voyez dans l'article s'est brisée d'elle même 3 ans plus tard... j'avais déjà écrit l'article donc je ne l'ai pas cité mais quand même... au moins vous, vous avez la fin de l'histoire !


S2y2o1v7q53ws4r5wy6ou8czrpom - Eugenol
pxav

21/02/2020 à 10h47

dent2669 écrivait:
--------

> https://www.lefildentaire.com/articles/pratique/step-by-step/traitement-des-resorptions-cervicales-externes-a-propos-de-2-cas-cliniques/
>
> C'est gentil de citer un article que j'ai écrit en plus ;-) !!!
> Croyez moi ou non, l'incisive centrale que vous voyez dans l'article s'est
> brisée d'elle même 3 ans plus tard... j'avais déjà écrit l'article donc je ne
> l'ai pas cité mais quand même... au moins vous, vous avez la fin de l'histoire !

alors là je dis bravo, reconnaitre un bug c'est carrément classe, merci.

Par contre malgré une technique de goret, ça ne cassera pas à 3 ans dans mon cas ... :-)) mais attendons la fin du traitement, qui ne sera pas à la biodentine (qui est un excellent produit au demeurant)
--
xbk
La connaissance s'acquiert par l'expérience, tout le reste n'est que de l'information." ALBERT EINSTEIN


Vw campersurfvan bmnk1q - Eugenol
enlaye

21/02/2020 à 12h52

pxav écrivait:
----
" :-)) mais attendons la fin du traitement, qui ne sera pas à la biodentine "

ahhh ? t avais un pot de cavit à finir ? :-))


Hok 1b hgd3rj - Eugenol
Hokusai

21/02/2020 à 12h55

pxav écrivait:
----
> mais attendons la fin du traitement, qui ne sera pas à la biodentine

Ce teasing de fou.


Vw campersurfvan bmnk1q - Eugenol
enlaye

21/02/2020 à 13h02

ah oui , il est fort pour ça , 5 page et on ne sait tjs pas comment il va se la farcir .


Utilisateur banni

21/02/2020 à 13h10

tu n'es pas seul pxav :D

Le mec à bien morflé (coté palatin ça pique) mais la dent est encore là.....
pour le moment... Je le motive pour le davier cet été, au cas où.

Je parie sur une obturation avec un chip de ceram.
Ce serait tellement classe. :D

1 h6ygsz - Eugenol

Utilisateur banni

21/02/2020 à 13h13

pour l'obturation "coffrage" interne avec un cône de gutta, coffrage externe avec un truc rigide pour les face vestibulaire.

Je facture une reconstitution pré endo :D

2 myrucn - Eugenol

6szjws718sv1jksw54v4mpj3a6cu - Eugenol
vulpi

21/02/2020 à 13h36

Pour la 11 ça a pas fonctionné:-(
(gériatrie).
C'est la même 11, j'ai pas mis la RX dans le bon sens.

Wechler oekfif - Eugenol
Wechler 2 w1tvay - Eugenol

S2y2o1v7q53ws4r5wy6ou8czrpom - Eugenol
pxav

21/02/2020 à 13h41

harta's écrivait:
-------
> tu n'es pas seul pxav :D
>
> Le mec à bien morflé (coté palatin ça pique) mais la dent est encore là.....
> pour le moment... Je le motive pour le davier cet été, au cas où.
>
> Je parie sur une obturation avec un chip de ceram.
> Ce serait tellement classe. :D

Tu rigoles c'est tout petit cette lésion là😁
--
xbk
La connaissance s'acquiert par l'expérience, tout le reste n'est que de l'information." ALBERT EINSTEIN


S2y2o1v7q53ws4r5wy6ou8czrpom - Eugenol
pxav

21/02/2020 à 13h45


C'est carrément sympa ce post
J'apprends plein de trucs style le cône de gutta pour garder l'accès au canal c est un bon plan
(Par contre je ne vois pas la digue🤔)

--
xbk
La connaissance s'acquiert par l'expérience, tout le reste n'est que de l'information." ALBERT EINSTEIN


1...456...