Cookie Consent byPrivacyPolicies.comOnlay inlay petit détail technique - Eugenol

Onlay inlay petit détail technique

Vw campersurfvan bmnk1q - Eugenol
enlaye

06/03/2020 à 12h35

Sont forts les commerciaux , moi j y arrive pas a vendre ma came apparemment :-))


Capture d  cran 2015 03 12 12.28 - Eugenol
chicot29

06/03/2020 à 12h49

SchweizerWurst écrivait:
--------------
> Je la trouve un peu pourri la solution de Enlaye avec ce gros truc mous et
> spongieux.
> Pour mon cas deux solutions
> - le baton avec de la cire au bout type pic'n stic:
> https://www.net32.com/ec/picnstic-21-2-long-plastic-stick-adhesive-d-38897
> - un applicateur de bond monté sur manche que tu polymérise sur l'onlay et ça on
> en a tous!
Deuxième solution. Le truc jaune c'est un coup à chercher ton onlay par terre.

--
En cas d'échec des négociations conventionnelles, seriez-vous prêt à suivre la promotion d'un déconventionnement massif de la profession par les syndicats représentatifs ? OUI - NON
Participez, anonymement, sur https://goo.gl/forms/nAO0htnsVmxotjYm1


sagito

06/03/2020 à 16h24

enlaye écrivait:
------
> la classe , très élégante ton idée !
pourquoi tu dis ça ?


Vw campersurfvan bmnk1q - Eugenol
enlaye

06/03/2020 à 16h36

Pcq c est malin et puis que j aime le fait d utiliser un instrument usuel pour le rendre encore plus universel .
Non non je n etais pas du tout moqueur :-)


Vw campersurfvan bmnk1q - Eugenol
enlaye

02/06/2020 à 12h04

je reviens sur mes mousses avec un cas de ce matin .
autant pour un inlay , tu peux utiliser un bâton , mais quand tu commences à faire des prothèses à la demi douzaine , 6 bâtons ça commence à faire un peu mikado cette affaire .
eh oui parce que une fois l essayage fait , gentiment sans trop enfoncer , rien ne ressemble plus à une 31 qu une 41 ,... surtout lorsque toutes les tailles sont identiques en forme . et puis à attraper , c est tout petit , conique , et ça glisse à mort .

 mg 1929 kllqax - Eugenol

Vw campersurfvan bmnk1q - Eugenol
enlaye

02/06/2020 à 12h11

alors au moment ou tu scelles , une fois que tu farcis , tu ne vois plus rien , tu risques de te tromper de dent ( ça m est arrivé ) , de les faire tomber , de les mettre à l envers .etc
alors pour ne pas te tromper , surtout si tu ne les scelles pas en même temps genre 1 sur 2 ( pour mieux gérer les points de contacts ) . ,
la mousse prend tout son intérêt / aux bâtons . moins de stress le scellement .

 mg 1930 yganrv - Eugenol
 mg 1931 g6e6kp - Eugenol

Perle69

02/06/2020 à 12h51

merci pour ces idées Enlaye.
As tu une réf et un fournisseur à nous donner,
j’ai cherché mais pas trouvé encore...


paulman2

02/06/2020 à 13h00

Perso j'utilise ceux-ci
https://www.megadental.fr/porte-films-emmenix-flap-873-9318.html

Bonne journée

Paulman


Vw campersurfvan bmnk1q - Eugenol
enlaye

02/06/2020 à 13h02

je viens de taper google : mousse porte film dentaire .
suis tombé là dessus : boite de 500 mousses = 25.76
ce qui fait 0.051 la mousse
et sachant que tu peux les couper en 6 , ce qui te fait , environ 0.00858 euro la dent :-)
pas trop cher , si ? :-))

Porte film nd98ww - Eugenol

blaise2583

02/06/2020 à 13h05

Tres joli...


Vw campersurfvan bmnk1q - Eugenol
enlaye

02/06/2020 à 13h06

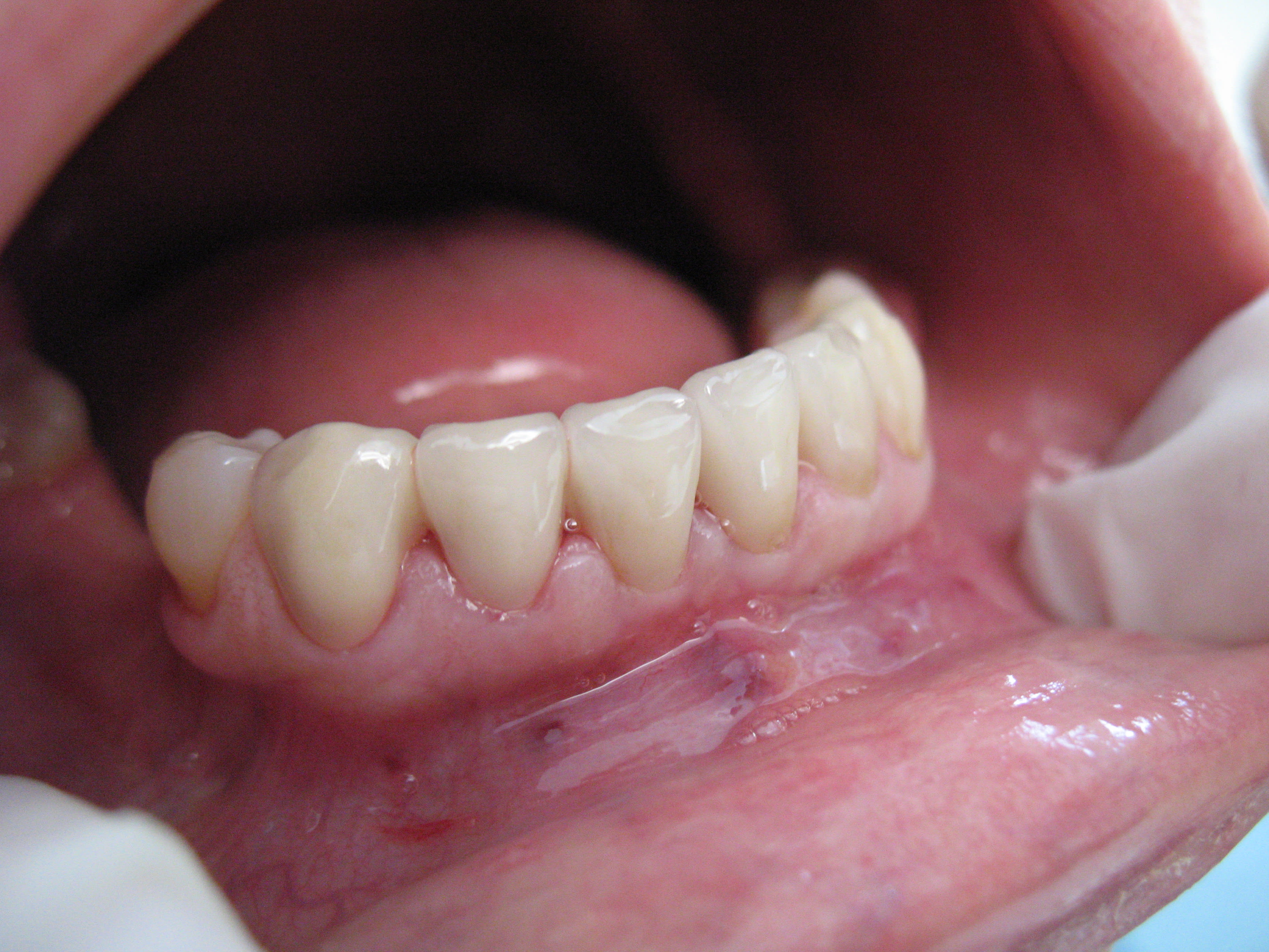
merci . voila ,avant et pendant

 mg 1728 jahlhg - Eugenol
 mg 1919 mgxvn2 - Eugenol

Perle69

02/06/2020 à 13h35

maintenant faut lui faire pareil en haut ;-)
merci pour la réf


Vw campersurfvan bmnk1q - Eugenol
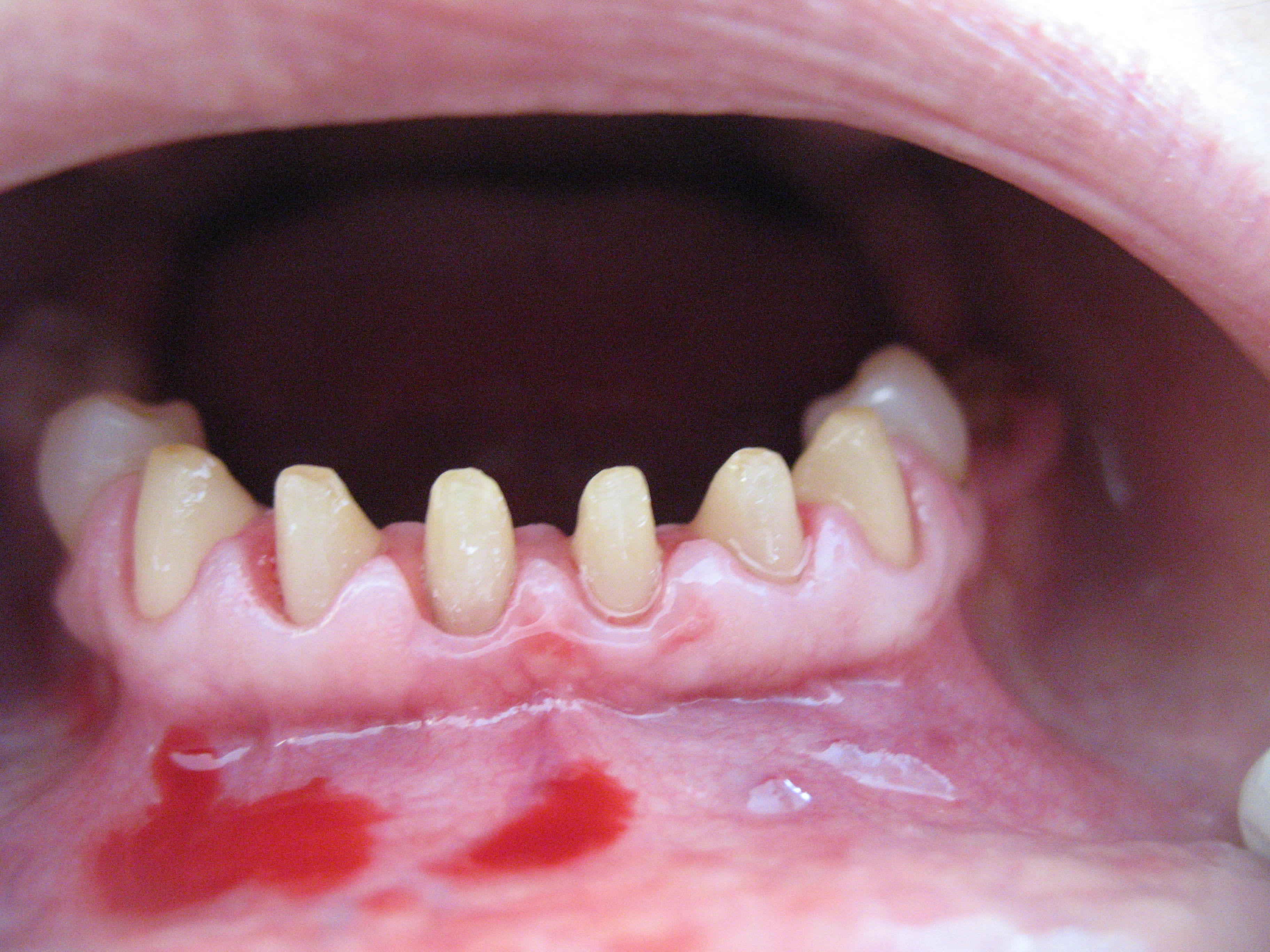
enlaye

02/06/2020 à 13h44

Oui , Perle , c est prevu .
Pour pouvoir faire un haut esthétique et fonctionnel , il faut tjs commencer par le bas sinon tu te mets vite dans une impasse .


Bebe 038 nf8eum - Eugenol
danteyeah

03/06/2020 à 08h00

enlaye écrivait:
------
> Oui , Perle , c est prevu .
> Pour pouvoir faire un haut esthétique et fonctionnel , il faut tjs commencer par
> le bas sinon tu te mets vite dans une impasse .

Topissime....... Y'a du niveau dans le Var, j'te dis. Par contre il faut que tu étayes ta citation "tjs commencer par le bas".....c'est trop réducteur (et pas totalement vrai), sinon tous les fan du Ditramax et autres vont te tomber dessus ;-)


Orezza gazeuse verre litre ocoxey - Eugenol
casa

03/06/2020 à 08h15

haaa la devanture .....mais toujours aussi top Enlaye .


Ratata

03/06/2020 à 08h26

Salut, petite question ccam: Enlaye, tes couronnes sont elles NPC ?


blaise2583

03/06/2020 à 13h07

Ce qui est con cest que t as du mettre des provisoires pour le coup...


blaise2583

03/06/2020 à 13h38

un petit cas qui y ressemblait il y a 3 ans

Img 3347 rgoedd - Eugenol

blaise2583

03/06/2020 à 13h39

a la pose

Img 3352 wo0h28 - Eugenol

blaise2583

03/06/2020 à 13h39

idem

Img 3354 tmwxml - Eugenol

Vw campersurfvan bmnk1q - Eugenol
enlaye

03/06/2020 à 22h53

Ratata écrivait:
------
" Salut, petite question ccam: Enlaye, tes couronnes sont elles NPC ? "
elles sont en rien du tout puisqu' il n y a pas de feuille , tu l écris où que ç est en NPC ? :-) y a meme pas de devis puisqu' ils ne remboursent pas :-))
pas de feuilles pour les couronnes par contre pour les prov , oui , n importe quoi :-)


Vw campersurfvan bmnk1q - Eugenol
enlaye

03/06/2020 à 23h20

danteyeah écrivait:
---------
" Par contre il faut que tu étayes ta citation "tjs commencer par le bas".....c'est trop réducteur (et pas totalement vrai), sinon tous les fan du Ditramax et autres vont te tomber dessus ;-) "

ce n est pas du tout en opposition avec le ditramax cette phrase .
et puis le concepteur du ditramax , ça m étonnerait qu il me tombe dessus :-)) , puis que j étais son mentor quand il était étudiant , j étais son prof d occluso wax up et lui était mon poulain .
à ce propos ç était un minot d une dextérité hors du commun , avec un cerveau en rapport , que j avais repéré tout de suite .

pour ce qui est de la phrase , je vais meme la modifier pour lui donner un caractère encore plus fort :
"Pour pouvoir faire un haut esthétique DURABLE , il faut tjs commencer par le bas ."
j ai mis des années pour en arriver à cette conclusion , j en suis convaincu , et là on est hors sujet et je ne voudrais pas en parler qu un peu ici .
mais a la limite sur un post dedié , ç est volontiers , et tu peux me mettre qui tu veux en face , y a pas de problème .:-))
en gros , avec l age les levres descendent et laissent apparaitre les dents du bas .
et souvent quand on ne fait rien en bas, ç est moche , et quand on le touche ( apres le haut ) ç est encore plus moche :-)


Blue eye thumb medium dx1i0w - Eugenol
bill

03/06/2020 à 23h41

C'est un grand plaisir de voir encore ce genre d'images, bravo les gars.
Pas sûr qu'on voit encore ça dans quelques années ou alors réservé à une élite, le nivellement par le bas sera passé par là...


--
https://docudent.fr
Tous les documents du cabinet dentaire
& l'aide à la cotation du Reste à Charge 0
________________________________________


Bebe 038 nf8eum - Eugenol
danteyeah

04/06/2020 à 12h36

enlaye écrivait:
------

> ce n est pas du tout en opposition avec le ditramax cette phrase .
> et puis le concepteur du ditramax , ça m étonnerait qu il me tombe dessus :-)) ,

Non Non c'est des fans dont je parlais.....tu sais bien les gars qui te font de la formation Aesthéticccc de 16 à 26 sans oublier de te remonter la DVO de 5 mm.


> pour ce qui est de la phrase , je vais meme la modifier pour lui donner un
> caractère encore plus fort :
> "Pour pouvoir faire un haut esthétique DURABLE , il faut tjs commencer par le
> bas ."

J'ai était trop biberonné au cycle masticatoire et ma base de calage occlusal c'est la 6 sup et son pont d'émail à la con, sur lequel mon Enlaye de l'époque à la fac m'avait fait trimer (et on oublie pas ses premiers amours occluso quitte à les ériger en dogme), après je m'attaque au bas.

> j ai mis des années pour en arriver à cette conclusion , j en suis convaincu ,
> et là on est hors sujet et je ne voudrais pas en parler qu un peu ici .
> mais a la limite sur un post dedié , ç est volontiers , et tu peux me mettre
> qui tu veux en face , y a pas de problème .:-))

c'est pas parler, c'est écrire et sur un clavier en plus.... je préfère une rando-occluso-weeling .... :-)))
où l'on accepterai même les routeux

> en gros , avec l age les levres descendent et laissent apparaitre les dents
> du bas .
> et souvent quand on ne fait rien en bas, ç est moche , et quand on le touche (
> apres le haut ) ç est encore plus moche :-)

Effectivement, et comme il est rare de faire des réhab complète à 20 ans, et que le Botox n'a qu'un temps, on doit prendre cette donnée en compte.


Vw campersurfvan bmnk1q - Eugenol
enlaye

04/06/2020 à 14h20

danteyeah écrivait:
---------
" Effectivement, et comme il est rare de faire des réhab complète à 20 ans, et que le Botox n'a qu'un temps, on doit prendre cette donnée en compte. "

et voilà , toute la différence est là .
il s agit là de restaurations et non pas d énoncer des principes pipés utilisés par les cliniques esthétiques de bouches à pipes .
donc tu veux qu on parle ? :-) ok , ok , mais cette fois ci j aimerais bien , ne pas être le seul à parler .

bon , je disais donc , que la restauration n est esthétique , que si elle est durable . en effet si ç est pour avoir peu de temps apres les travaux des fractures de ceram , des usures vilaines , ou des gencives violettes , on ne peut plus parler de travail esthétique .
et puis dejà esthetique ç est un mot à supprimer , depuis quand ceux qui n ont pas de clinique de sourire à pipe aiment faire des choses vilaine ?

lorsque tu restaures , il faut voir les choses différemment , et meme les principes de tailles sont différents .
bien entendu on est aussi très loin du : empreinte pour ic + couronne :-)
vais chercher 2, 3 photos .. si en attendant quel qu' un veut se mêler , ..


123...