Cookie Consent byPrivacyPolicies.comOnlay inlay petit détail technique - Eugenol

Onlay inlay petit détail technique

Vw campersurfvan bmnk1q - Eugenol
enlaye

05/06/2020 à 00h56

danteyeah écrivait:
---------
" Escroc ;-))) c’est pas qu’il faut faire le bas avant le haut là! C’est qu’il faut re équilibré une occlusion et le haut ne va pas sans le bas et vice-versa avant toute réhabilitation esthétique "

ouii , ce qui est la meme chose que ce que je disais :, lorsque tu fais le haut , tu retouches d abord le bas ,par équilibration ( si l équilibration suffit ) , ou par couronne ou autre si ça ne suffit pas .
mais faire le canard t amené à une impasse , ce que je disais aussi .
le cas le plus fréquent , ç est lorsque tu fais le haut en fonction du bas pipé , et que quelques temps après ,il te dis et le bas ? on fait pas ?? là t es dans la merde .


Utilisateur banni

05/06/2020 à 05h33

Ça c’est quand même le gros problème des tailles sur dents vivantes. Je n’avais pas tout lu et je n’avais vu que c’était sur dents vivantes, j’avais juste regardé les modèles.
Quand on sort de la fac on fait toujours ce genre d’erreur dans l’ordre :
- « la meilleure obturation c’est la pulpe » , du coup on essaie de garder vivantes les dents
- donc au départ on ne dépulpe pas , on fait ses tailles comme d’habitude, un peu plus légères tout de même , mais on est conscient q’il faut tailler pour laisser l’espace de la céramique
- jusqu’au jour où on se fait pigeonner, le patient a mal , du coup t’es obligé de faire un joli trou dans la couronne et de traiter la dent
- ensuite une fois que tu t’aies fait pigeonner une fois, tu fais des préparations à minima pour ne pas avoir de dents sensibles à dépulper . Résultat des courses , l’ épaisseur de l’espace vide (l’ équivalent de la couche du die spacer ) entre la prepa et la couronne + l’épaisseur de la couronne , font que tu te retrouves avec une sur épaisseur linguale ou palatine. Et le même genre de problème comme ton cas Enlaye
- Et enfin tu comprends rapidement que mieux vaut dépulper dans pas mal de cas pour avoir une liberté de réalisation prothétique.
- parce que bon tout le monde respecte une chose sur les dents vivantes, c’est de ne pas avoir de surocclusion, donc la taille est normalement toujours respectée en O de façon à avoir suffisamment d’épaisseur de céramique. Par contre en V et L c’est autre chose ça n’est pas toujours respecté.

Comme quoi « la meilleure obturation c’est la pulpe » que j’avais déjà critiquée il y a plusieurs années , est très loin d’être toujours vraie dans le sens où cela peut provoquer indirectement de gros dégâts avec des tailles minimales en P, surtout avec les nouvelles couronnes CCM redevenues à la mode, les full zircones , ou les zircones stratifiées juste en antérieur... et toutes ces couronnes cassos0 faites en moins de temps. Qui dit baisse de prix , dit taille plus rapide , dit moins de réflexion à se demander si oui ou non l’épaisseur de céramique ne va pas au contraire entraîner des dégâts ultérieurs. Taille, couronne , et advienne que pourra.


Vw campersurfvan bmnk1q - Eugenol
enlaye

05/06/2020 à 07h52

popopopopo comme ç est bon de lire ça et comme je suis d accord avec toi , la Poignée de porte :-))
je vais meme plus loin que toi , en exagérant , sur un bloc anterieur SUPERIEUR il ne faudrait meme pas faire d inlay core mais que des Richmonds . si on doit mettre un tenon , bien sur .
comment veux tu , dans une occlusion normale avec recouvrement , pouvoir passer en palatin 1 ic+ une chape +un cosmetique et tout ça avec une forme hyper concave et dont la concavité doit démarrer presque au raz de la gencive palatine ? . comme une vrai dent , quoi .
quand je dis que tu ne peux pas faire un haut sans toucher au moins un peu le bas , ç est justement parce que l on est iatrogene dès que l on modifie la forme palatine des inc du haut , et qu il faut adapter le bas aux conneries qu on fait en haut !!
surtout que si tu dois toucher le haut , ç est bien qu il y avait un pb au départ . un pb d ortho ?? :-)))


Utilisateur banni

05/06/2020 à 08h04

Ce sont comme les reconstitutions foulées quand il y a très peu de délabrement au niveau des incisives sup . Souvent j’ai remarqué que pour bien travailler, le tenon il ne servait plus à rien . Il est mis à ras. Au ras de la taille palatine. Avec un compo qui bouche juste le puit d’accès d’endo. :) je mets juste mon tenon pour coter ma reconstitution. Mais il ne sert strictement à rien :))
C’est pourquoi ton histoire de Richmond me parle beaucoup. Je suis bien d’accord avec toi.


Vw campersurfvan bmnk1q - Eugenol
enlaye

05/06/2020 à 08h12

poignée de porte écrivait:
----------------
" je mets juste mon tenon pour coter ma reconstitution. Mais il ne sert strictement à rien :)) "
+1 :-) si , il sert à t' eclater la dent :-))
à faire ça je prefere le screw post à 80 balles , au moins tu risques rien :-)
édit : qué 80 , 92 maintenant


Bebe 038 nf8eum - Eugenol
danteyeah

05/06/2020 à 08h40

poignée de porte écrivait:
----------------

> Quand on sort de la fac on fait toujours ce genre d’erreur dans l’ordre :
> - « la meilleure obturation c’est la pulpe » , du coup on essaie de garder
> vivantes les dents

Le problème des citations, expressions.... c'est qu'elles finissent par devenir des dogmes, et y'a rien de pire que de figer à vie des idées, et c'est pourquoi je tique quand on m'en balance un.

Le plus marrant c'est que l'expression "la meilleure obturation c'est la pulpe" a un sens totalement pipé (comment ça !!!! on pourrait obturer quelque chose avec de la pulpe ???? comment ça se passe ???? y'a un tuto ???), non l’expression devrait être "la meilleur obturation radiculaire est une pulpe saine et protégée de toute agression", et la s'ouvre la porte à la réflexion: quelles agression ? Voilà des idées et pas des dogmes.

Donc pour moi " En réhabilitation esthétique, il faut toujours commencer par réhabiliter le bas avant le haut" est aussi un dogme que je préférerais remplacer par " dans notre taf il n'y a pas d’esthétique durable sans fonction à l'équilibre durable", et ouais c'est plus flou, mais ça laisse la porte ouverte à la réflexion.


Bebe 038 nf8eum - Eugenol
danteyeah

05/06/2020 à 08h59

Une autre réflexion qui rejoint celles de Junior sur le RAC0:
On a un magnifique exemple d'analyse de travail pré mâchée (l'analyse hein, pas le travail !) par Le King, avec les photos des modèles et leur surfaces de travail colorées en rouge et les manques cerclés (perso j'aurais rajouté une touche de couleur différente sur les cavités au niveau des pointes cuspidiennes des PM et M......ça éclaire sur les problèmes latéraux).
Cela nous a permis une analyse plutôt rapide du cas en fonctionnel.
Dans la vrai vie tous cela est chronophage (encore plus pour ceux qui ne savent même pas ce qu'ils cherchent), aujourd'hui des outils technologique te permettent de voir cela en 3D, sous toute les coutures (caméra 3D), de visualiser la dynamique de la fonction en temps réel et toujours en 3D (Modjaw) et d'intégrer le tout dans la tronche du patient toujours en 3D (Bellus pour l'extérieur et cone beam pour l'invisible).....en gros un paquet d'outils pour perfectionner réellement la citation " pas d'esthétique durable sans fonction durable" en contre partie d'un investissement financier conséquent et d'une refonte d'une partie de notre méthodologie et notre enseignement technique (l’intellect et la dextérité restent les mêmes). Et pour répondre à ces nouveaux défis nos têtes pensantes gouvernemental et leur sous-fifre (de bonne foi ou pas) nous ont pondu des conventions soviétiques, frustrant à jamais une génération de praticiens français.

Pas étonnant que je me sois mis en mode balek.....et que je préfère allé rayonner ma roue ;-)


Vw campersurfvan bmnk1q - Eugenol
enlaye

05/06/2020 à 10h46

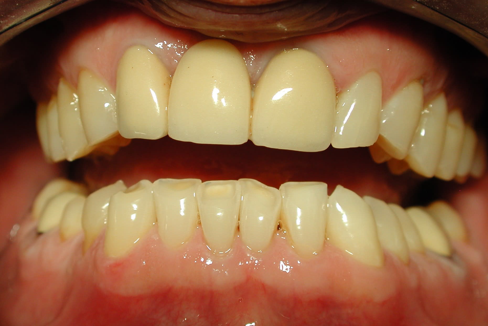
situation globale initiale .

Dscn2200 kkjjgc - Eugenol

Vw campersurfvan bmnk1q - Eugenol
enlaye

05/06/2020 à 12h29

bon , on cause on cause , mais on a encore rien branlé , faut y aller , maintenant :-)
de toute évidence , faut tout reprendre à zéro , '( sans le RAC :-) , on est bien d accord , mallette oblige) .
bien sur , il faudra refaire le haut et le bas , mais même si on refait tout , il nous faut forcement un paramètre prioritaire pour nous guider histoire d avoir une stratégie .
--le haut , on a vu que si on ne dévitalise pas , on a pas assez de place , ( mais pas de place / à quoi ? :-)
- le bas , que l on va tailler , sauf que là on va garder les dents vivantes , bien sur , faudrait pas exagérer non plus :-)
à ce propos l incisive du bas ç est la dent la plus facile à tailler vivant .
on dirait que les dents ont bougé mais que le nerf lui est resté à la meme place :-)
donc on va taper dedans au plus possible pour essayer de la rentrer . et il y a tjs la place nécessaire .
dés que l on ne pourras plus reduire , ce sera notre limite , et les faces palatines du haut seront adaptées d autant .
ainsi on peut dire que c est le bas qui guide la restauration du haut . tu vois ou je voulais en venir ?

la chance que l on a , ç est que l incisive du haut peut se concevoir en 2 etapes scindables :
1 face palatine qui elle gère la fonction
et 1 face vest qui elle amuse les esthéticiens et les encoleurs de mouche .

du coup , les principes de tailles peuvent êtres differents entre une incisive de haut et du bas , et meme entre 1 face palatine et vest pour celle du haut .
en haut , on va chercher à réduire de l épaisseur au niveau des limites , en bas non .
en haut on va chercher à paralléliser pour la stabilisation , en bas ,non , pas besoin .
en haut on doit s opposer aux forces qui ont tendance à chasser la couronne en vest , en bas ,non .
et ça nous arrange , comme ça , on peut tailler les dents du bas en pointe , bien coniques .
ce qui laissera au labo , la possibilité de redresser les axes , tout en replaçant les points inter incisifs , tout en gerant au mieux les points de contacts , tout en faisant un bord libre le plus fin possible etc etc .

P6165521 oomhth - Eugenol

Vw campersurfvan bmnk1q - Eugenol
enlaye

05/06/2020 à 12h52

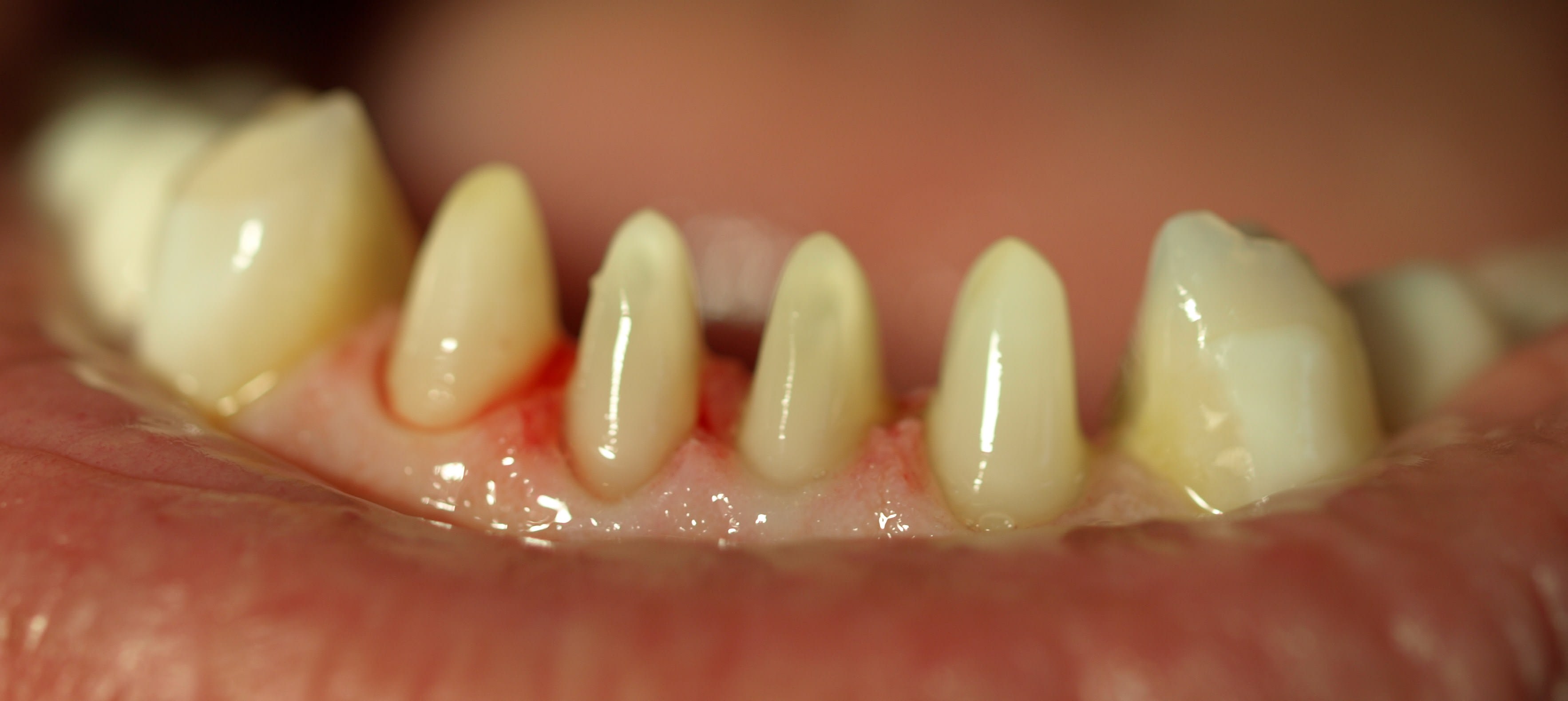
le jour de la pose et 11 ans après .
va falloir machiner un peu le bord libre de la 22 au grain fin , mais jusque là , ça va encore je m en sort bien :-)
me cague , en fait :-))

P7285763 biia7t - Eugenol
 mg 1610 e8ljot - Eugenol

Bebe 038 nf8eum - Eugenol
danteyeah

05/06/2020 à 13h14

enlaye écrivait:
------

> ainsi on peut dire que c est le bas qui guide la restauration du haut . tu vois
> ou je voulais en venir ?

Toujours vu où tu voulais aller!
Mais brut de décoffrage sans explicité le dogme de toujours commencer par le bas, on atrophie le cerveau de tes ouailles en cours de wax.


Bebe 038 nf8eum - Eugenol
danteyeah

05/06/2020 à 13h16

enlaye écrivait:
------
> le jour de la pose et 11 ans après .
> va falloir machiner un peu le bord libre de la 22 au grain fin , mais jusque là
> , ça va encore je m en sort bien :-)
> me cague , en fait :-))

Pourquoi il pousse comme un salaud avec sa langue ???? c'est pour la pose ou y'a un loup ???


Vw campersurfvan bmnk1q - Eugenol
enlaye

05/06/2020 à 13h16

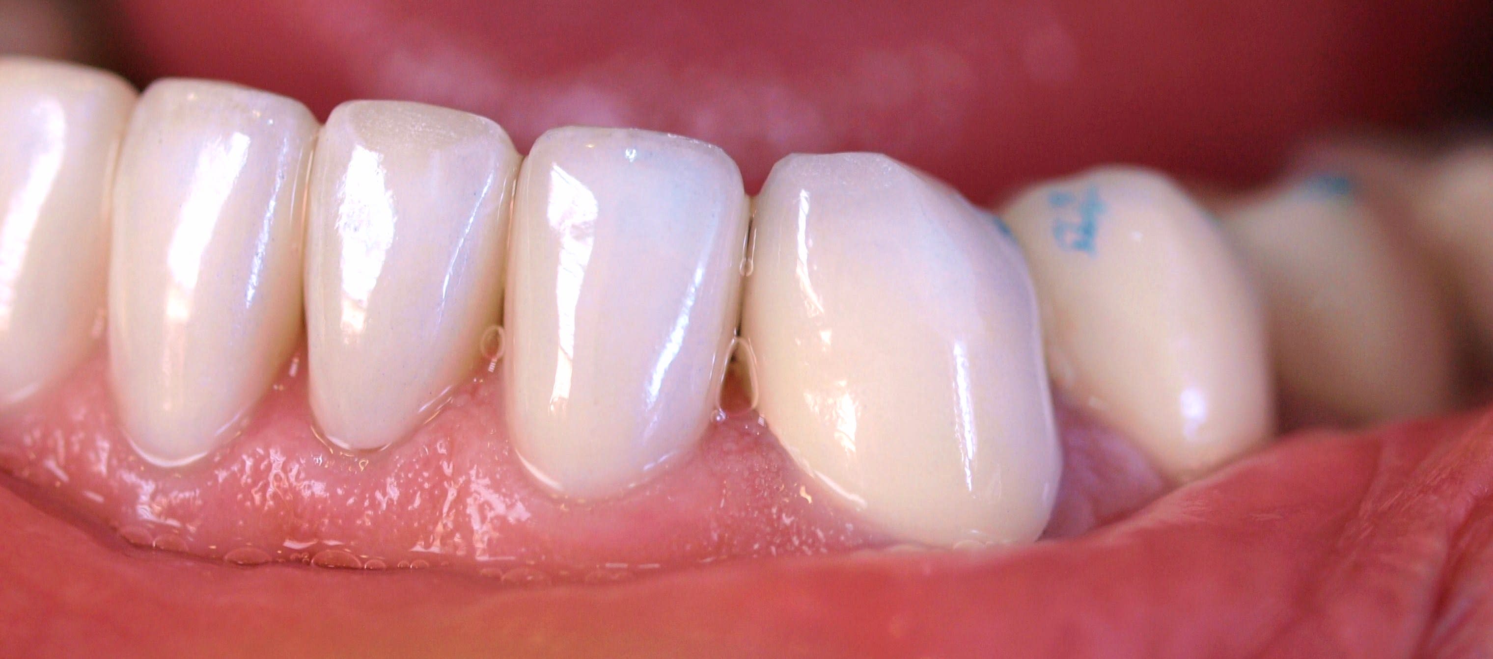
et ça c etait lors d' une etape intermediaire où j ai du refaire les 4/5/6 du bas encore des années apres .
tu vois un peu les masséters de fou , ça fait peur , hein .
et tu remarqueras la dysmétrie musculaire . ça ça veut dire qu il y a encore un pb .
par contre la lèvre du haut , ç est plus sympa , plus rieur .
une legere petite coronoplasties esthétique du bloc ant du bas au niveau des bords libre et ça repart . gencives nickels .

 mg 1391 bobrzc - Eugenol

Bebe 038 nf8eum - Eugenol
danteyeah

05/06/2020 à 13h19

enlaye écrivait:
------
> et ça c etait lors d' une etape intermediaire où j ai du refaire les 4/5/6 du
> bas encore des années apres .

Table top sur PM M inf ???


6szjws718sv1jksw54v4mpj3a6cu - Eugenol
vulpi

05/06/2020 à 13h20

J'ai un ami qui fréquente des bombasses beaucoup plus jeunes que lui, il peut passer te voir? Le blanco 11 ans d'age ça lui plait bien;-)


Vw campersurfvan bmnk1q - Eugenol
enlaye

05/06/2020 à 13h25

danteyeah écrivait:
---------
" Table top sur PM M inf ??? "
oui , collés à meme les ceram , en prov . un truc mi ceram mi compo à la mode que ç est pipé complet mais suffisant en prov le temps d un voyage
pcq lui , il a quand même eu droit à des prov en ceram , hein :-))


Kams34

05/06/2020 à 13h29

Merci pour ce partage enlaye.


6szjws718sv1jksw54v4mpj3a6cu - Eugenol
vulpi

05/06/2020 à 13h30

Question idiote+++
Pourquoi il en est là? Je veux dire la gueule toute ravagée? C'est fait par toi, je suis pas inquiet, mais au départ... enfin perso j'aime pas toucher les dents... ou le moins possible.
J'sais pas si tu vois ce que je veux dire?
(avec le racO je suis aux anges... la négation du métier, c'est avec les silents et séances fluor qu'on devrait se faire des couilles en or)


Bebe 038 nf8eum - Eugenol
danteyeah

05/06/2020 à 13h32

enlaye écrivait:
------

> pcq lui , il a quand meme eu droit à des prov en ceram , hein :-))

BAH BAH BAH, prov en céram, et définitives en Or massif et Diams.....j'te raconte pas le standing du quartier, à faire se pâmer St-trop !!!!


Vw campersurfvan bmnk1q - Eugenol
enlaye

05/06/2020 à 13h39

vulpi écrivait:
-----
" Question idiote+++
Pourquoi il en est là? Je veux dire la gueule toute ravagée? C'est fait par toi,
je suis pas inquiet, mais au départ... enfin perso j'aime pas toucher les dents... ou le moins possible.
J'sais pas si tu vois ce que je veux dire? "

à la base ç est un bruxo en puissance , et il est passé entre plusieurs mains .
et si ça peut repondre à ta question , il y a eu plusieurs cab dans mon village qui ont fermé du jour au lendemain , on sait pas pourquoi :-))))) y s'passe de drole de choses ici :-)


Vw campersurfvan bmnk1q - Eugenol
enlaye

05/06/2020 à 13h41

danteyeah écrivait:
---------
" BAH BAH BAH, prov en céram, et définitives en Or massif et Diams.....j'te raconte pas le standing du quartier, à faire se pâmer St-trop !!!! "

il habite derrière chez toi :-))


Vw campersurfvan bmnk1q - Eugenol
enlaye

05/06/2020 à 13h42

Kams34 écrivait:
------
" Merci pour ce partage enlaye. "

de rien , j en ai d autres , si tu veux :-)


Nouveau image bitmap fz77zh - Eugenol
Sethef

05/06/2020 à 13h50

C'est splendide, mais ce blanc, my god... Il t'a forcé?


Bebe 038 nf8eum - Eugenol
danteyeah

05/06/2020 à 13h54

enlaye écrivait:
------
> danteyeah écrivait:
> ---------
> " BAH BAH BAH, prov en céram, et définitives en Or massif et Diams.....j'te
> raconte pas le standing du quartier, à faire se pâmer St-trop !!!! "
>
> il habite derrière chez toi :-))

Tant qu'il n'est pas "derrière" moi, ça me va !!
Putain, tu crois qu'y en aurait au moins un du quartier qui ramènerait sa fraise au cab ???? rien, nada, queud ......Aahhhh La clin. du sourire et autre Bordel rivage y z'ont que ça comme référence ces pignes.
Moi j'dis que le voisin il a eu de la chance de tomber sur toi


6szjws718sv1jksw54v4mpj3a6cu - Eugenol
vulpi

05/06/2020 à 14h02

C'est dredi, je peux persister dans mes bêtises:-))
Le gonze avec la 47 qui escagasse tout le monde... tu as deux idées qui te viennent de suite. Dans le cadre du global, hein!
- implant 17/CR 47, histoire de rajouter des balises rouges et vertes.
-exo de 47 et gérer le reste.
Tu as une préférence, une philosophie?
...
Après tu as cr solidarisées 46,47, mais perso je n'aime pas du tout.


12345...