Cookie Consent byPrivacyPolicies.comOnlay inlay petit détail technique - Eugenol

Onlay inlay petit détail technique

Vw campersurfvan bmnk1q - Eugenol
enlaye

07/06/2020 à 11h23

Blaise est un sage , il vaut mieux 1 tiens que 2 complets tu auras .
Au moins il est prévenu ( le patient )


Bebe 038 nf8eum - Eugenol
danteyeah

07/06/2020 à 14h00

De toute façon la communication endo-paro c’est pas un mythe et vue le niveau de déchaussement sur les photos, ce cas une foi assaini deviendrait rapidement invivable pour le patient (sensibilités exacerbées) et justifierait l’acte de devitalisation auprès du CDC.
Faudrait des photos occlusales et pano pour que nos petits cerveaux aient du grain à moudre.
Y’aura t-il de l’ERI????


Orezza gazeuse verre litre ocoxey - Eugenol
casa

07/06/2020 à 14h42

enlaye écrivait:
------
> casa écrivait:
> ----
> "Bah pourquoi ? ça change quoi ?, une dent vivante se défend mieux non ? "
> Et vivante elle se défend de quoi , chou chou ? Du davier ? :-))
> La dent vivante , elle cause , elle communique . Le pb c est que dans certains
> cas ( paro ou occluso ) elle ne raconte que des conneries .
> Alors , il faut lui fermer le claquet .
> Au moins le gps de fermeture ne sera plus pollué par les conneries qu elle
> raconte .
>

Excellent , L'homme qui parlait à l'oreille des dents .... !


Orezza gazeuse verre litre ocoxey - Eugenol
casa

07/06/2020 à 14h45

Pas mal la façon de Blaise mais sur une durée de combien de temps tout ça : un ordre d'idée : 3 mois ; 6 mois , un an , plus ?


blaise2583

07/06/2020 à 15h24

C est la cicatrisation clinique qui me guide en premier, et ou j en suis dans l étude du cas ( dvo, soutient de levre.....) comment le patient supporte aussi sa transition et mon agenda... mais ca faut pas le dire ...
donc 3 mois mini mais c est plus proche des 6 mois que je bascule en fixe faut que j ai validé tous mes points avec patient et labo ,
aussi pour voir s il tient les efforts dans le temps car une fois que tu commences c est plus le moment de gerer hbd...
Apres des cas de paro comme celui-là ou tu te dis je vais partir en fixe si ok t en fais pas tous les 36 du mois donc ma verite ne sera pas celle de mon voisin
En fait rien de scientifique que de l empirique


Blue eye thumb medium dx1i0w - Eugenol
bill

07/06/2020 à 15h32

blaise2583 écrivait:
----------
> En fait rien de scientifique que de l empirique

Oula, t'as pas une étude randomisée en triple aveugle et groupes témoins dans tous les pays de l'UE ?
Ca va être ta fête… ;-)


Vw campersurfvan bmnk1q - Eugenol
enlaye

07/06/2020 à 16h50


j ai pensé à ce cas pcq il y a une grande similitude avec le cas d avant , pcq dans les 2 cas j ai pu faire ce qu il me venait par la tete , il n y avait pas de limite .
pour le 1er cas l argent n etait pas le pb ,
et pour celui ci , l argent n etait pad le pb non plus puisque , ç etait mon cas cassos où tout était gratos ,( sauf la partie labo reglée direct au labo ), le 1er compensant le 2eme .
l autre point commun , ç est que pour ces 2 cas , tu travailles souvent le dimanche
- soit pour etre discret ou palier au sav
- soit pour ne pas emboucaner le cab avec le gratos
et au final , tu t amuses bien .


Vw campersurfvan bmnk1q - Eugenol
enlaye

07/06/2020 à 17h06

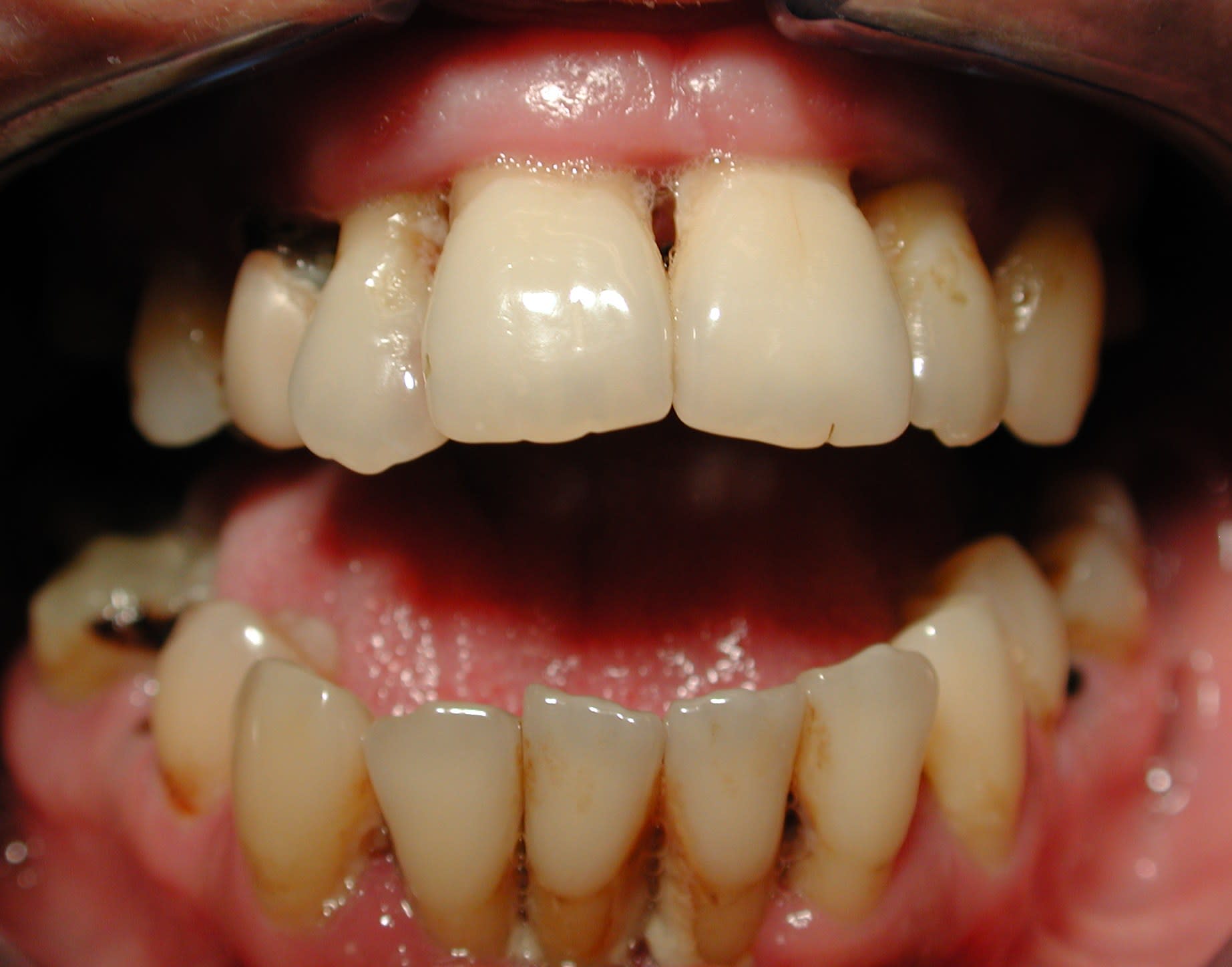
le cas a commencé en 2004 , date à laquelle j ai viré les incisives et bricolé un bridge prov .
puis arrêt des soins jusqu en 2010 date à laquelle où j ai pris les 2 photos montrées avant .
je dois avoir le panorex quelque part

Dscn1576 qhsehy - Eugenol
Dscn1579 dl1x1p - Eugenol
Dscn1580 xa27lh - Eugenol

Vw campersurfvan bmnk1q - Eugenol
enlaye

07/06/2020 à 17h17

donc en 2010 , j ai fait un bon détartrage , et c est le seul ttt parodontal qu il y a eu .
en même temps je ne sais rien faire d autre :-)

A w3bzjq - Eugenol
B xoxap1 - Eugenol

Bebe 038 nf8eum - Eugenol
danteyeah

07/06/2020 à 17h31

enlaye écrivait:
------
> en même temps je ne sais rien faire d autre :-)

Bin si apparemment t’es pas mauvais pour ficeler un bon rôti :-)))


Vw campersurfvan bmnk1q - Eugenol
enlaye

07/06/2020 à 17h39

au depart c etait un belle classe 2 avec beance avec occlusion sur les molaires .
comme on a perdu les calages post on se trouve sur une occlusion prémo . sur les 4 qui sont en fait des 5 puisque les orthos se sont bien bien amusés avant moi .
eux ils sont rigolos , ils enlevent les 4 et espèrent rentrer le bloc ant h+b , mais en fait ils descendent surtout les incisives du haut et avec la récidive on se retrouve avec une beance associée à un sourire gingival .

alors la question est : quelle occlusion on va pouvoir donner pour avoir de la stabilité ?


Vw campersurfvan bmnk1q - Eugenol
enlaye

07/06/2020 à 17h54

pourrait on imaginer faire une occlusion en bout à bout pour repartir les contacts genre prothèse totale ?
pas possible , cela allongerait considérablement les dents avec un effet Fernandel certain et il y aurait un porte-à-faux terrible sur les dents de devant . déjà que c était un lapin ç est un coup à la transformer en murène .
et puis , bien sur , il n est pas question de réduire la hauteur prothétique des dents d une façon globale pour ne pas perdre encore de la DVO


blaise2583

07/06/2020 à 18h09

C est vrai que la beance est grande... le sourire gingival...
Apres derriere c est foireux aussi
le soutient de levre est aussi à prendre en compte car le patient s y est habitué esthetiquement parlant
Alors t as du partir du bloc incisif inférieur et sa nouvelle angulation puis adapter celui du haut en respectant une longueur de dents cohérente avec le sourire et le soutien de levre puis équilibré au mieux en post presque comme en complete derrière pour favoriser les mouvements latéraux
Après tu pouvais le faire que sur dents devitalisees pour jouer sur les angulations des blocs ant


Vw campersurfvan bmnk1q - Eugenol
enlaye

07/06/2020 à 18h18

donc idée ! ;-)
on va faire une occlusion en centrée sur 1 seule dent , la prémo et basta !!
enfin 2 , une à gauche et une à droite quand même :-)
et devant ? y a rien qui cale un peu devant ??
et ç est là l astuce , ben ,on va se servir de la langue pour repartir les efforts .
donc contact à l enfoncement derrière et amortissement et calage par la langue par devant .
ce qui fait que l on va pouvoir déterminer la longueur des dents de devant en fonction de la position de la langue au repos .
ce sera tjs ça de gagné sur la longueur énorme des dents de devant qu on aurait eu avec une occlusion classique .


Orezza gazeuse verre litre ocoxey - Eugenol
casa

07/06/2020 à 18h24

haaaa voilà qui est intéressant ! et oui pas de double aveugle , c'est c... quand même , tu fais quand une vidéo Blaise ,en blouse blanche STP !


Vw campersurfvan bmnk1q - Eugenol
enlaye

07/06/2020 à 18h26

blaise2583 écrivait:
----------
" Alors t as du partir du bloc incisif inférieur et sa nouvelle angulation puis adapter celui du haut.... "
et bien sur :-)
une fois determinée l angulation des incisives du bas , ç etait mon seul repaire du maintient de la langue , pour les enregistrements


blaise2583

07/06/2020 à 18h28

enlaye écrivait:
------
> donc idée ! ;-)
> on va faire une occlusion en centrée sur 1 seule dent , la prémo et basta !!
> enfin 2 , une à gauche et une à droite quand même :-)
> et devant ? y a rien qui cale un peu devant ??
> et ç est là l astuce , ben ,on va se servir de la langue pour repartir les
> efforts .
> donc contact à l enfoncement derrière et amortissement et calage par la langue
> par devant .
> ce qui fait que l on va pouvoir déterminer la longueur des dents de devant en
> fonction de la position de la langue au repos .
> ce sera tjs ça de gagné sur la longueur énorme des dents de devant qu on aurait
> eu avec une occlusion classique .
Un peu comme en piezo en complete non?


Vw campersurfvan bmnk1q - Eugenol
enlaye

07/06/2020 à 18h36

blaise2583 écrivait:
----------
" Après tu pouvais le faire que sur dents devitalisees pour jouer sur les angulations des blocs ant"

- oui et rien que pour dévitaliser ç etait mariole . il fallait tenir les dents pour ne pas qu elles tournent autour de la fraise
- ensuite , comme je ne comprends rien en paro , bien jesurface les racines à la grain fin jusqu a l os , ç est à à dire tres tres infragingivale . impossible sur dents vivantes .


Vw campersurfvan bmnk1q - Eugenol
enlaye

07/06/2020 à 18h37

blaise2583 écrivait:
----------
" Un peu comme en piezo en complete non? "
voilà ! :-))


blaise2583

07/06/2020 à 18h44

Donc si tu temporises pendant la cicatrisation gingivale avec 2 complets montés en fonction de la langue par piezzo tu as déjà un peu ton montage prospectif pour ta fixe future
Par contre t es parti de tres loin en paro... et occluso...


Vw campersurfvan bmnk1q - Eugenol
enlaye

07/06/2020 à 18h44

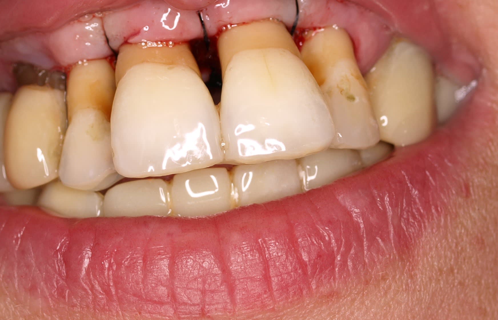
bridge zircon haut et bas . le jour de la pose
ce n était pas mon labo , et je trouve ça un peu rustique .
mais en tout cas aujourd’hui , soit 10 ans après c est tjs là

P5227185 pc7x1c - Eugenol
P5227187 a6slf2 - Eugenol
P5227186 yfc6lv - Eugenol

blaise2583

07/06/2020 à 18h55

Elle peut te remercier car vu le cas au debut c est sympathique le résultat
Peut etre comme tu dis un peu d animation esthétique aurait été un plus mais bon à 10 ans encore la c est beau


Vw campersurfvan bmnk1q - Eugenol
enlaye

07/06/2020 à 18h56

moralité :
heureusement que les orthos n ont pas "rééduqué " la langue , on aurait plus de dents :-)))))


Vw campersurfvan bmnk1q - Eugenol
enlaye

07/06/2020 à 19h01

edit ,
pardon , ce n est pas le jour de la pose , ç est l essayage et la simulation des longueurs . on y voit les coups de fraise .
ceci dit , ce n etait guerre plus joli apres .
vous verrez les photos actuelles des que je la reverrais


6szjws718sv1jksw54v4mpj3a6cu - Eugenol
vulpi

08/06/2020 à 10h21

Pourrais tu nous montrer des empreintes avec les zones de contacts après pose et intégration... d'un cas, peu importe.
J'aimerai voir avant, après.


1...567...