Cookie Consent byPrivacyPolicies.comRejet de greffe... - Eugenol

Rejet de greffe...

guillaume tell

13/03/2005 à 19h26

Désolé , aucune expérience avec l'os iliaque !


alhoun

29/04/2005 à 12h39

Boris a écrit:
-------------------------------------------------------
> Oui mais je ne sais pas si je me hasarderais à
> poser même un Astra dans 1mm de hauteur d'os dans
> la séance du sinus lift.
> Même si la stabilité primaire peut être bonne
> grâce au micro filetage de l'Astra, je ne crois
> pas que tu obtiendras un ISQ élevé à trois
> semaines et il y a quand même des risques que
> l'implant aille se balader en direction du sinus.
>
> 5mm est une épaisseur qui me rassure d'autant que
> je n'enfouis pas le col lisse de mes implants
> rugueux. C'est sûr qu'on peut discuter de ces
> notions de stabilité primaire, d'ISQ ,de type et
> de volume osseux mais globalement avec 5mm d'os
> dans un contexte clinique qui n'est pas trop à
> risque, on doit pouvoir poser un implant conique à
> surface rugueuse dans la séance du sinus lift sans
> être casse-cou.
> En dessous ça doit être nettement plus chaud!



voilà, pour revenir à ce qu'on disait: une petite illustration: 25 et 27 ont été extraites. et voici la suite.

Fenêtre1 f7m7am - Eugenol
Fenêtre 2 qltvye - Eugenol
Pano initiale rhx4jg - Eugenol
Initial rir4cj - Eugenol

alhoun

29/04/2005 à 12h41

et la suite

Décollement membrane ljuoee - Eugenol
Implants iwsvxa - Eugenol

alhoun

29/04/2005 à 12h42

et encore

Comblement aujlvz - Eugenol
Sutures vzgxss - Eugenol
Radio1 nedqqo - Eugenol
Radio2 jxft6m - Eugenol

Squash u44zd8 - Eugenol
steph

29/04/2005 à 22h52

Question de novice : pourquoi garder la 28?
Pas d'antagoniste, lésion carieuse, hauteur coronaire ridicule, soutien paro faible...
Peut-être pour l'axe de tes implants, l'espace dispo, pour le volume osseux conservé jusqu'à cicatrisation complète ?
Je sèche...
Va falloir que je m'y mette aux implants.


alhoun

29/04/2005 à 23h15

le volume osseux conservé jusqu'à cicatrisation complète


Audi tt 2007 jzsdts - Eugenol
sbire

30/04/2005 à 00h43

c'est quoi cette image radio au niveau de 46??


Dscn3400 tjaray - Eugenol
Boris

30/04/2005 à 10h23

Bonjour Alhoun,

C'est propre, impressionant et cela donne à réfléchir sur les indications et les avantages de chaque système...

Aurais-tu, dans le cas que tu montres, implanté dans la séance du sinus lift avec des implants à col lisse et hexagone interne en les enfouissant moins (risque de mobilisation) ou penses-tu que l'on est là dans une indication quasi-exclusive d'implant Astra à cause de la présence du microfiletage (bon ancrage) et de la surface rugueuse au col (moins de perte osseuse dans une hauteur d'os initialement faible)?

Quels sont rapports diamètre/longueur que tu utilises préfèrentiellement si tu as le choix?

En tout cas bravo, c'est clean......



Humator t9r5wy - Eugenol
humator

30/04/2005 à 10h41

très joli.
Alhoun qu'utilise tu comme comblement?


alhoun

30/04/2005 à 11h33

merci les gars. dans ce cas, et presque tous mes sinus, c'est du bio-oss à 100%.
ayant posé des branemark pendant des années, je n'aurai effectivement jamais osé faire ça avec une structure purement cylindrique, le grip du micro-thread conique est vraiment sympa et rassurant. quant au rapport diamètre longueur, généralement c'est entre 13 et 15 dans un sinus. là, le diamètre du col est 4.5, et le diamètre du fût est de 3,5. échaudé par mon expérience et celle de quelques copains avec les implants trop larges, et par intuition, mais il doit y avoir de la litérature, je pense que la micro-circulation se rétablit plus facilement et plus rapidement autour de diamètres moins importants.
@+


Audi tt 2007 jzsdts - Eugenol
sbire

01/05/2005 à 02h07

bon, c'est pas grave...


alhoun

01/05/2005 à 11h07

oh là là , te vexe pas :) je ne sais pas, j'ai pas creusé, on m'a demandé de m'occuper de la gauche, je me suis occupé de la gauche.
@+


Audi tt 2007 jzsdts - Eugenol
sbire

01/05/2005 à 12h40

merci, joli boulot.


Squash u44zd8 - Eugenol
steph

01/05/2005 à 13h46

"on m'a demandé de m'occuper de la gauche"
Tu fonctionnes déjà avec des correspondants, mais j'imagine que tu lui a parlé du côté droit à reconstruire.
Je ne te vois pas simple exécutant.
Au fait tu poses les implants et tu réadresses au praticien pour les couronnes, ou ils te demandent de tout gérer de A à Z?


alhoun

01/05/2005 à 15h24

sur ce cas, je gère tout de A à Z, parce qu'on est sur une dentisterie de frontière, et je veux être le seul responsable. mon confrère a parfaitement cerné la chose. le côté droit ne me pose aucun problème pour l'instant dans la mesure où ce que l'on voit, c'est l'image d'un site d'extraction tout à fait normal. quant à la gestion des phases de traitement, ça dépend de mes interlocuteurs. ceci dit, des correspondants réguliers, j'en ai très peu.


Squash u44zd8 - Eugenol
steph

01/05/2005 à 21h32

Me voilà renseigné, merci!!!
Encore une chose, j'ai cru comprendre que ce sont des suisses qui t'envoient leurs patients, est-ce possible?


Sierra Tango

09/05/2005 à 08h48

Je change un peu de sujet, mais sur la pano ; avez vous remarqué l'image peu banale au niveau de l'ancienne 38 ? On dirait presque un canal dentaire dédoublé.
Quelqu'un a un avis sur cette image ?


Audi tt 2007 jzsdts - Eugenol
sbire

09/05/2005 à 11h53

Quelle 38?


Image19 iebot6 - Eugenol
athos

09/05/2005 à 12h24

tu as la meme image a gauche qu'a droite, il s'agit peut etre simplement d'un manque de contraste radio...le canal dentaire est dessous...


alhoun

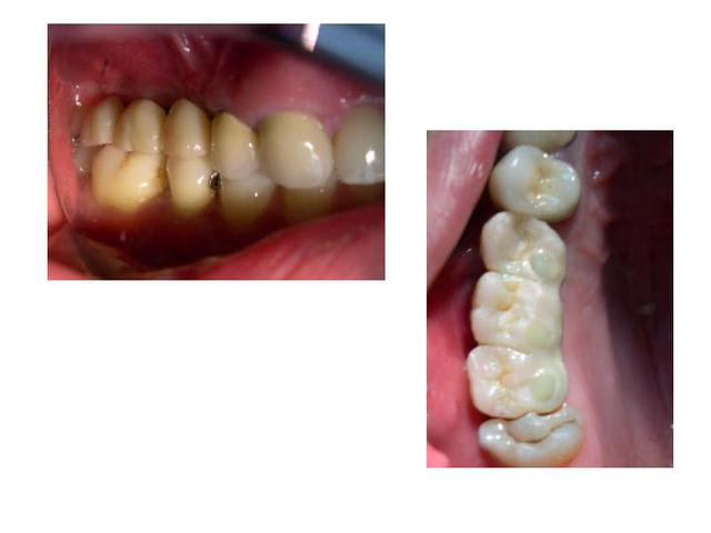
19/10/2005 à 10h35

voilà, dans un droit de suite, la réalisation prothétique provisoire sur le cas présenté.

Diapositive2 kru9ce - Eugenol
Diapositive3 n4f4b7 - Eugenol
Diapositive4 psonwp - Eugenol
Diapositive5 yn7vz8 - Eugenol

alhoun

19/10/2005 à 10h36

et...

Diapositive6 zssenm - Eugenol

Amibien

19/10/2005 à 12h06

C'est super !

As-tu une idée précise sur le degré d'intégration ? Je veux dire par là comment vérifies-tu que l'ostéo-intégration est plus grande entre le premier mois et le moment de la mise en charge ?


abderrahmen

19/10/2005 à 15h45

il faut attendre au moins 3mois et faire des control clinique et radiologique.


Amibien

19/10/2005 à 17h08

abderrahmen Ecrivait:
-------------------------------------------------------
> il faut attendre au moins 3mois et faire des
> control clinique et radiologique.


bin justement le contrôle clinique consiste en quoi ?


Amibien

19/10/2005 à 17h09

abderrahmen Ecrivait:
-------------------------------------------------------
> il faut attendre au moins 3mois et faire des
> control clinique et radiologique.


bin justement le "control" clinique consiste en quoi ? (excuse-moi j'avais compris contrôle pour control, je suis vraiment désolé)