Cookie Consent byPrivacyPolicies.comSéquence endo - Eugenol

Séquence endo

Nouveau image bitmap fz77zh - Eugenol
Sethef

25/06/2020 à 13h51

Un autre sujet me fait réévaluer un problème récurrent:
-pour une endo pluriradiculée de première intention, j'utilise des R25, +- S1 et Sx en fonction des courbures. Usage unique.

Le problème c'est que je ne me suis jamais adapté au gold, c'est trop mou, ça fait l'hélico et sur un mv2 un peu calcifié j'en ai déjà plié 2 avant d'être rentré dedans. Bref je m'en sers principalement quand je n'en ai pas besoin.

Par quoi pourrais-je remplacer les anciens S1? Ca vaut quoi les copies chinoises? Ou alors un autre système?


Nouveau image bitmap fz77zh - Eugenol
Sethef

25/06/2020 à 13h52

(la question se pose parce que je viens de finir mon stock NiTi)


6szjws718sv1jksw54v4mpj3a6cu - Eugenol
vulpi

25/06/2020 à 13h55

Il me semble qu'ils sont toujours en vente.
Tu as quoi comme moteur?
S1 et Sx tu peux utiliser 6 fois.


Capture d  cran 2015 03 12 12.28 - Eugenol
chicot29

25/06/2020 à 14h33

Oui dans les pays du tiers monde de l'endodontie c'est 6 fois. Au fait un instrument endo peut etre baisé dès la première fois. Putain on est en France un pays sensé faire partie des pays développés. -)))



--
En cas d'échec des négociations conventionnelles, seriez-vous prêt à suivre la promotion d'un déconventionnement massif de la profession par les syndicats représentatifs ? OUI - NON
Participez, anonymement, sur https://goo.gl/forms/nAO0htnsVmxotjYm1


dent2669

25/06/2020 à 14h36

Sethef écrivait:
------
> Le problème c'est que je ne me suis jamais adapté au gold, c'est trop mou, ça
> fait l'hélico et sur un mv2 un peu calcifié j'en ai déjà plié 2 avant d'être
> rentré dedans. Bref je m'en sers principalement quand je n'en ai pas besoin.

Pour ça, il suffit de démarrer ton moteur qu'une fois que la pointe de ton instrument est à l'entrée de ton canal !!


Nouveau image bitmap fz77zh - Eugenol
Sethef

25/06/2020 à 15h53

dent2669 écrivait:
--------
> Sethef écrivait:
> ------
> > Le problème c'est que je ne me suis jamais adapté au gold, c'est trop mou, ça
> > fait l'hélico et sur un mv2 un peu calcifié j'en ai déjà plié 2 avant d'être
> > rentré dedans. Bref je m'en sers principalement quand je n'en ai pas besoin.
>
> Pour ça, il suffit de démarrer ton moteur qu'une fois que la pointe de ton
> instrument est à l'entrée de ton canal !!

A condition que le canal soit déjà bien ouvert, pas calcifié, bref le cas où tu prends le r25 direct.

Et pour vulpi, sauf erreur, ils n'ont plus que les golds et les nexts.


Et7jtaj0pdi18gzjlxjiamlx15gs - Eugenol
Prunelles

25/06/2020 à 16h17

Sethef écrivait:
------
> Le problème c'est que (...) c'est trop mou, ça fait l'hélico et (...) j'en ai déjà plié 2 avant d'être rentré dedans.

Viagra ? Cialis ?


dent2669

25/06/2020 à 17h57

Sethef écrivait:
------
> dent2669 écrivait:
> --------
> > Sethef écrivait:
> > ------
> > > Le problème c'est que je ne me suis jamais adapté au gold, c'est trop mou,
> ça
> > > fait l'hélico et sur un mv2 un peu calcifié j'en ai déjà plié 2 avant d'être
> > > rentré dedans. Bref je m'en sers principalement quand je n'en ai pas besoin.
> >
> > Pour ça, il suffit de démarrer ton moteur qu'une fois que la pointe de ton
> > instrument est à l'entrée de ton canal !!
>
> A condition que le canal soit déjà bien ouvert, pas calcifié, bref le cas où tu
> prends le r25 direct.
>
> Et pour vulpi, sauf erreur, ils n'ont plus que les golds et les nexts.

Oui enfin le canal est censé avoir été cathétérisé avec une lime manuelle ou éventuellement un instrument rotatif type pathfile/proglider/scout Race avant de se lancer dedans avec un Sx/S& ou je ne sais quoi d'autre...


Nouveau image bitmap fz77zh - Eugenol
Sethef

25/06/2020 à 20h50

En fait, je pose une question pour remplacer un instrument qui n'est plus disponible, et tu cherches à m'expliquer comment m'en passer.


6szjws718sv1jksw54v4mpj3a6cu - Eugenol
vulpi

25/06/2020 à 21h07

En plus ça marche très bien avec un Sx direct.


6szjws718sv1jksw54v4mpj3a6cu - Eugenol
vulpi

25/06/2020 à 21h24

C'est comme la radio lime en place, ce sont des trucs d'école pour apprendre.
Après franchement dans 99% des cas, ça sert à rien.


6szjws718sv1jksw54v4mpj3a6cu - Eugenol
vulpi

25/06/2020 à 21h37

C'est simple, j'ai pas fait une lime en place depuis que je fais de l'endo mécanisé+localisateur d'apex, ça doit faire 20 ans.


6szjws718sv1jksw54v4mpj3a6cu - Eugenol
vulpi

25/06/2020 à 21h42

Le cathétérisme, rien qu'le nom🤭 mossieur je vais vous cathétériser le MV2... Bon l'exploration canalaire... ça a des indications, en début de séquence parfois, allez une fois par trimestre.
En fin de séquence plus souvent, pour négocier un crochet apical sur une 5 mand, ou un canal bifide pour une incisive mand.
Mais franchement ça ne devrait plus être systématiquement.


6szjws718sv1jksw54v4mpj3a6cu - Eugenol
vulpi

25/06/2020 à 21h49

Sethef, tu prends un Sx gold, tu demares juste à l'entrée et ça va tout seul avec plein de glyde bien sûr !
Tu me donnerais des Sx PTU, que j'en voudrais pas à la place.
Pour m'habituer aux gold, j'avais remonté mon niti sur l'unit et je demarrais progressivement pour bien le sentir travailler. C'était avant hein!! Avant le gold avec le localisateur en continu et la fonction anat.


6szjws718sv1jksw54v4mpj3a6cu - Eugenol
vulpi

25/06/2020 à 21h53

Enfin j'dis ça... Ce que j'aimerais, c'est avoir l'avis de cadors de l'endo, histoire de progresser.


6szjws718sv1jksw54v4mpj3a6cu - Eugenol
vulpi

25/06/2020 à 23h07

Quelqu'un a essayé?
https://fr.aliexpress.com/item/4000160425618.html?spm=a2g0o.detail.1000014.37.1ae672ddCxZkDR&gps-id=pcDetailBottomMoreOtherSeller&scm=1007.13338.176046.0&scm_id=1007.13338.176046.0&scm-url=1007.13338.176046.0&pvid=877e6792-b13d-4104-af7b-928aeb7d01a9&_t=gps-id:pcDetailBottomMoreOtherSeller,scm-url:1007.13338.176046.0,pvid:877e6792-b13d-4104-af7b-928aeb7d01a9,tpp_buckets:668%230%23177981%231_668%23808%235965%23489_668%23888%233325%236_3338%230%23176046%230_3338%233142%239890%234_668%232846%238116%23972_668%232717%237562%23470_668%233164%239976%23929


Bebe 038 nf8eum - Eugenol
danteyeah

26/06/2020 à 06h52

Sethef écrivait:
--
> Par quoi pourrais-je remplacer les anciens S1? Ca vaut quoi les copies
> chinoises? Ou alors un autre système?

J’ai testé la Fanta de retraitement en 20/07%, elle a le profil de ce que tu cherches. Perso je la trouve trop rigide et au final je kiffe bien les Gold. Et puis avec le RAC0 mon opinion et ma « niak faiblissante » me pousse à envoyer les canaux calcifiés, ou adepte du virage en appel/contre-appel chez ceux qui aiment ça et se font honorer en retour.


dent2669

26/06/2020 à 07h56

vulpi écrivait:
-----
> Le cathétérisme, rien qu'le nom🤭 mossieur je vais vous cathétériser le MV2...
> Bon l'exploration canalaire... ça a des indications, en début de séquence
> parfois, allez une fois par trimestre.
> En fin de séquence plus souvent, pour négocier un crochet apical sur une 5 mand,
> ou un canal bifide pour une incisive mand.
> Mais franchement ça ne devrait plus être systématiquement.

Si tu raisonnes comme ça, tu pourras effectivement faire 7 ou 8 endo sur 10 à peu près correctement mais tu vas te casser la figure sur les 2 ou 3 autres ! Tu vas faire une butée, ou casser un instrument et du coup tu vas compliquer la tâche de celui qui va passer après pour tenter de rattraper ta connerie !!
Le plus difficile dans l'endo cest la rigueur car on a toujours l'impression qu'on va pouvoir prendre des raccourcis.
Une butée ne s'est jamais formée naturellement ou encore un instrument ne s'est jamais auto-fracturé, il y a toujours la main d'un dentiste plus malin que les autres derrière ça !


6szjws718sv1jksw54v4mpj3a6cu - Eugenol
vulpi

26/06/2020 à 11h02

Oui, oui, oui... Alors c'est très personnel, chacun fait comme il veut, mais, quand je fais une connerie, une shöne connerie, bah je prends le temps qu'il faut et je répare.
J’adresse une à deux fois à un endo exclusif par an et souvent en première intention. Avec les moyens actuels et nos connaissances de bases nous pouvons réaliser un grand nombre de tt cpx et rte, c'est le rapport temps/honoraires qui rebute.
1) Tu t'y es mis tout seul, tu t'en sors tout seul!
2) si on ne pratique pas, à terme on ne saura plus faire.
3) cela m’encourage à être très prudent pour mes endos.
Mais chacun fait comme il l'entend.


6szjws718sv1jksw54v4mpj3a6cu - Eugenol
vulpi

26/06/2020 à 11h08

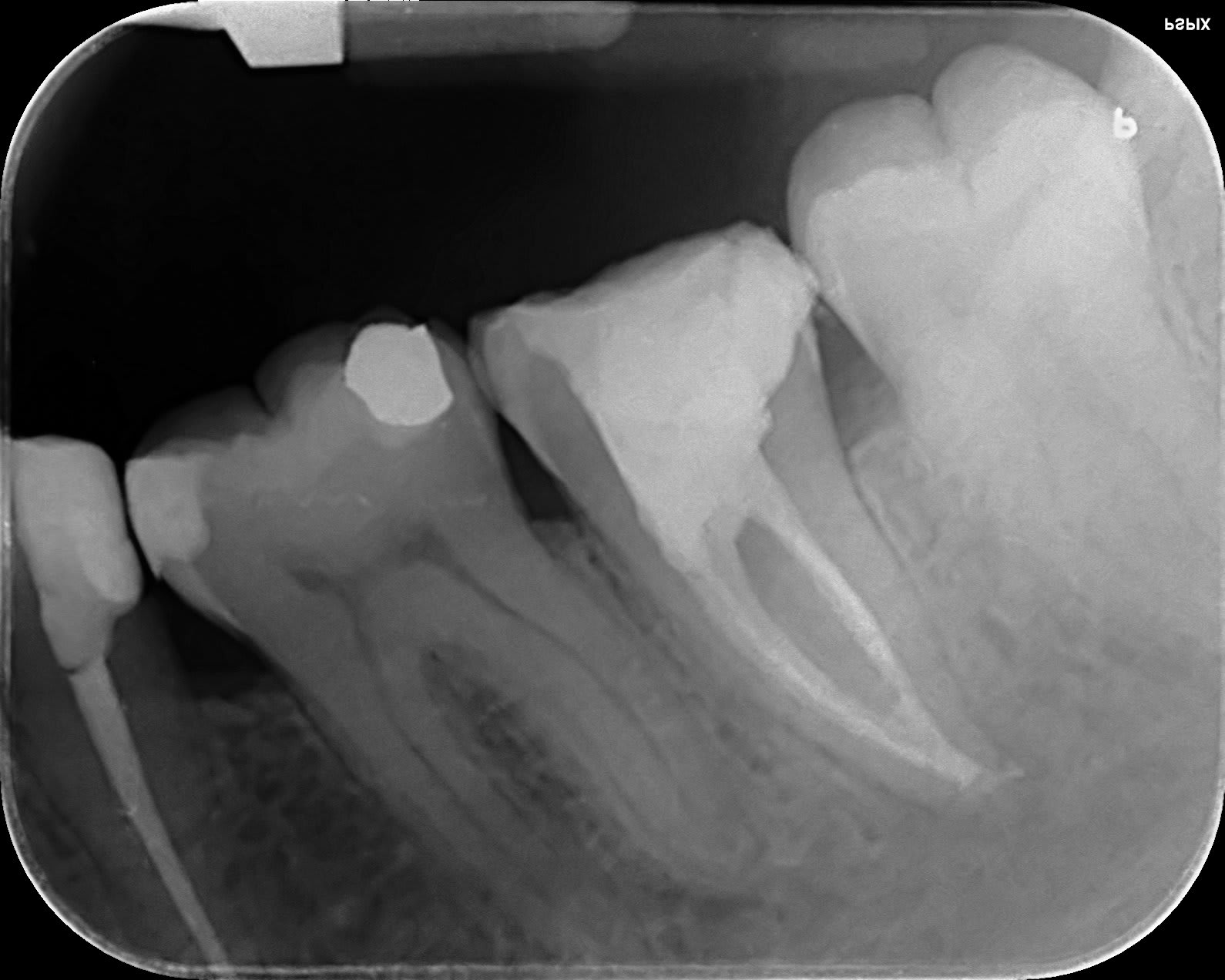
les Rx sont pas top, mais au final mon standard c'est ça.
J'ai repris la 5 ensuite.

Rob 1 ffmwtf - Eugenol
Rob 2 ou8kl6 - Eugenol
Rob 3 fgapwa - Eugenol

6szjws718sv1jksw54v4mpj3a6cu - Eugenol
vulpi

26/06/2020 à 11h13

Celle là, j'aurai peut-être dû adresser, parce qu'à l'apex il y a probablement plus de ciment que de gutta, mais c'est pas si mal, avec du temps...
C'est en radiologie que je devrais me former:-)

Endo pspix rtonyn - Eugenol

6szjws718sv1jksw54v4mpj3a6cu - Eugenol
vulpi

26/06/2020 à 11h25

Faite avec des PTU et du temps (argentique... :-( c'était il y a loin) je ne suis pas certain d'avoir le même résultat avec des r25, je ne m'y risquerai pas.

Dscf2279 li 2 zq1fbe - Eugenol
Dscf2280 cybwak - Eugenol

Bebe 038 nf8eum - Eugenol
danteyeah

26/06/2020 à 13h17

Bah bah bah !!!!!! Comment il envoie mon Vulpi, et tout ça grâce au joli maillot :-)
Bataille tiens prends ça ( du bien réchauffé au propre comme au figuré, du 10 ans d’âge et déjà éculé sur ce même forum)....alors il est à qui le maillot arc-en-ciel? Il est à qui?

5e63103d feb0 43bb 8de0 c612ce867ed2 a593xo - Eugenol

Vw campersurfvan bmnk1q - Eugenol
enlaye

26/06/2020 à 13h21

huuuuu le Vulpi , faut reconnaitre que là , il envoie du lourd le Dant .
ça va être chaud pour le maillot jaune .


6szjws718sv1jksw54v4mpj3a6cu - Eugenol
vulpi

26/06/2020 à 13h47

C'est très bien, on est pas endo et on y arrive!-) chouette son endo, content pour lui:-((
He! Dante!! Tu sais le faire ça? ;-)) le "fragment" fracturé, je l'ai retiré, c'est pas si simple parce que ça visse.

Dscf3278 2 bzscll - Eugenol
Dscf3283 q9wwhg - Eugenol

12...