Cookie Consent byPrivacyPolicies.comSéquence endo - Eugenol

Séquence endo

6szjws718sv1jksw54v4mpj3a6cu - Eugenol
vulpi

26/06/2020 à 13h51

Ah c'est pas dans les bois qu'on voit des trucs comme ça!! Faut tâter de la route!-)

Dscf2566 2 vjubqh - Eugenol

Bebe 038 nf8eum - Eugenol
danteyeah

26/06/2020 à 14h11

vulpi écrivait:
-----
> He! Dante!! Tu sais le faire ça? ;-)) le "fragment" fracturé, je l'ai retiré,
> c'est pas si simple parce que ça visse.
>
J’sais pas, jamais essayé puisque je ne casse jamais rien à moins de 10 mètres d’un arbre :-))))
Toute façon dans la Gutta bien dense on ne les voit plus ;-)
Honnêtement jamais réussi à sortir autre chose que des cônes d’argent, lentulo ou Mc Spadden .
Bon j’te le rends ton maillot ça va faut pas s’énerver :-)

925cf110 c529 472e abe7 079e3508d624 itxz27 - Eugenol

Pubg2 rjl8jc - Eugenol
lemondestvaste

26/06/2020 à 14h35

Pour rebondir sur le sujet : vous obturer comment ? Actuellement ommoi c est cône de gutta calibré et gutta condensor. Un avis sur ce ciment que propose S.Simon ? Certains utilisent ces cônes de gutta réchauffé tout en gutta ? En omni estcm ce que ca a un intérêt de se lancer dans de la condensation verticale à chaud ? Et si oui quel système est le plus efficace ?


Vw campersurfvan bmnk1q - Eugenol
enlaye

26/06/2020 à 15h04

désolé , mais au petit jeu : je te le casse bien profond , j suis le plus fort .:-)
alors , ç est qui le patron ? de la caguade :-)

Trans v5hvqg - Eugenol

6szjws718sv1jksw54v4mpj3a6cu - Eugenol
vulpi

26/06/2020 à 15h12

gutta condesor, sealite ultra.
Enlaye, on avait dit pas d'implanto!!


Vw campersurfvan bmnk1q - Eugenol
enlaye

26/06/2020 à 15h15

Tres bonne question Lemondestvaste .


Blue eye thumb medium dx1i0w - Eugenol
bill

26/06/2020 à 15h40

lemondestvaste écrivait:
--------------
> Pour rebondir sur le sujet : vous obturer comment ?

Thermafill c'est bien.
Rapide, facile, reproductible.
Y a que le tarif mais bon, au point où on en est en endo….


--
https://docudent.fr
Tous les documents du cabinet dentaire
& l'aide à la cotation du Reste à Charge 0
________________________________________


burnax

26/06/2020 à 15h56

Le truc bizarre est l'absence de Chicot29...


burnax

26/06/2020 à 16h01

Ma contribution.

C9 ekgex1 - Eugenol

Utilisateur banni

26/06/2020 à 16h04

Faut jouer leur jeu à fond et aller jusqu’au bout du principe :
- Sous une Couronne RAC0 => ciment le moins cher du marché . Idem pour les cônes .
- Couronne Tarif libre : obturation à chaud


6szjws718sv1jksw54v4mpj3a6cu - Eugenol
vulpi

26/06/2020 à 16h12

poignée de porte écrivait:
----------------
> Faut jouer leurs jeux à fond et aller jusqu’au bout du principe :
> - Sous une Couronne RAC0 => ciment le moins cher du marché . Idem pour les cônes
> .
> - Couronne Tarif libre : obturation à chaud
Et sur quelles études peux tu valider la supériorité d'une méthode sur l'autre?


Utilisateur banni

26/06/2020 à 16h18

Sur mon expérience clinique : je note moins de merdes sous une obturation à chaud. Normal on obture les canaux secondaires .
Autrement dit je note plus de merdes avec de la peinture canalaire + monocône.


6szjws718sv1jksw54v4mpj3a6cu - Eugenol
vulpi

26/06/2020 à 16h22

Mouais... c'est pas recevable scientifiquement. Tu le dis toi même dans un cas tu bâcle et pas dans l'autre, il y a un biais.


6szjws718sv1jksw54v4mpj3a6cu - Eugenol
vulpi

26/06/2020 à 16h24

Cathétérisme manuel, c'est safe.

Dscf3088 jjuoep - Eugenol

Utilisateur banni

26/06/2020 à 16h27

Reconnais que tu obtures plus difficilement les canaux secondaires avec un gros monocône + ciment .


6szjws718sv1jksw54v4mpj3a6cu - Eugenol
vulpi

26/06/2020 à 16h31

J'en fais des choses avec un gros mono-cône...
Il faut un ciment très visqueux pour compenser.


6szjws718sv1jksw54v4mpj3a6cu - Eugenol
vulpi

26/06/2020 à 16h33

C'est mieux au gutt condensor... tiens une résorption interne! Oui ça tu le fais pas au cône + pâte.

Resor2 y3ab4s - Eugenol

6szjws718sv1jksw54v4mpj3a6cu - Eugenol
vulpi

26/06/2020 à 16h36

Quand je dis "ça", c'est la radio, pour que je puisse me palucher joyeusement:-) mais le taux de survie de la dent cône+pate sérieusement fait Vs condensation à chaud, est-ce que cela a fait l'objet d'une étude sérieuse?


6szjws718sv1jksw54v4mpj3a6cu - Eugenol
vulpi

26/06/2020 à 18h08

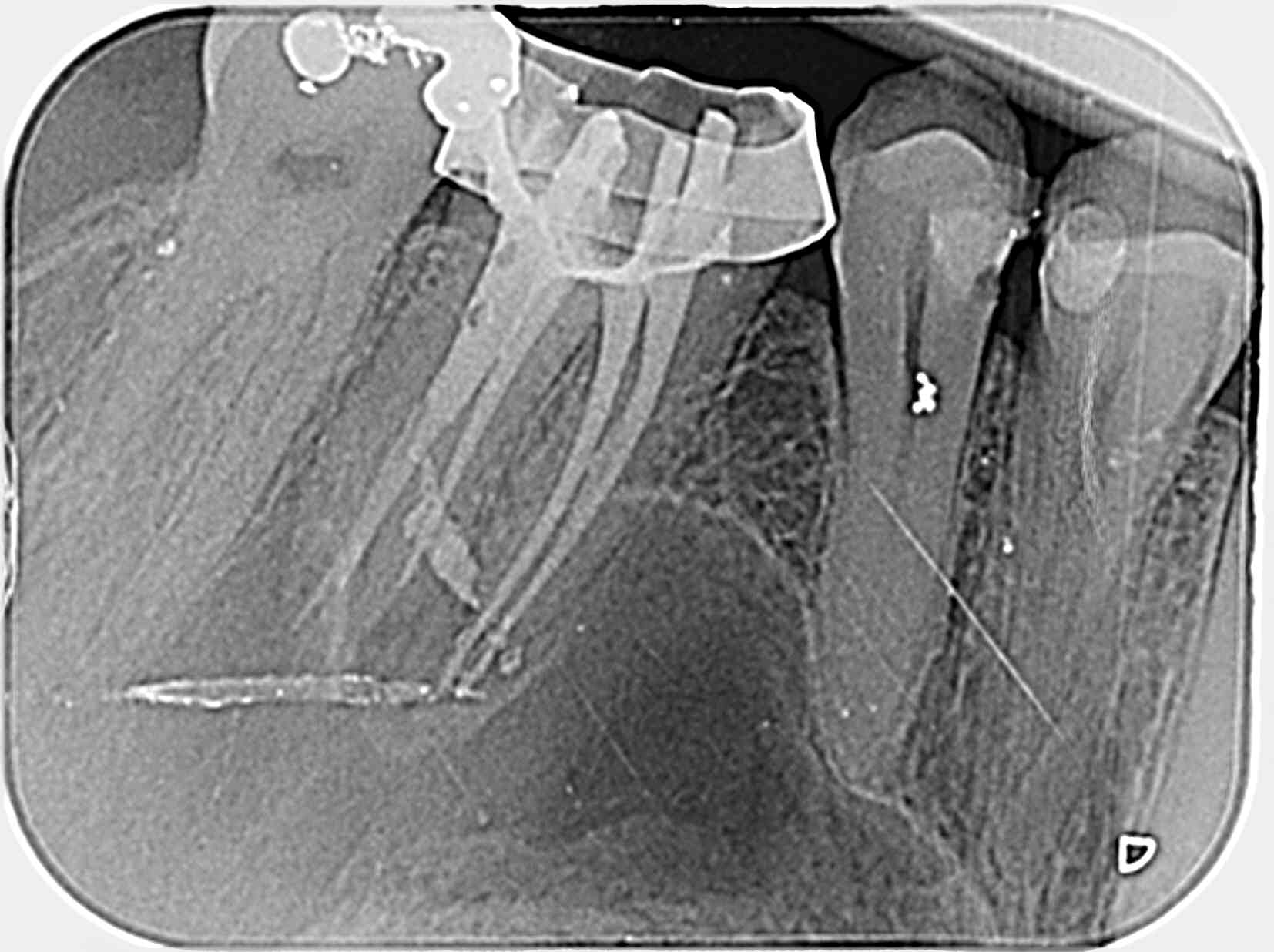
37 carie DV juxta pulpaire, mais pas que... vous feriez quoi?

Roc 26620 37 qahwrz - Eugenol

Nouveau image bitmap fz77zh - Eugenol
Sethef

26/06/2020 à 18h16

L'image radiculaire sur la distale, c'est un souvenir de la 8?

Si on parle de la carie coronaire, sans symptômes, tu peux tout faire, coiffage, onlay, couronne, tant que tu ne crées pas une poche en distal.


PtnbZ

26/06/2020 à 18h17

C’est très simple. Prend les fanta endo 20.07 et essaye. Elles paraissent rigide mais ne le sont pas. Pas fragiles (se despitalisent avant). C’est le bon ratio rigidité/flexibilité
Je n’utilise plus du tout de sx gold


Nouveau image bitmap fz77zh - Eugenol
Sethef

26/06/2020 à 18h21

vulpi écrivait:
-----
> Quand je dis "ça", c'est la radio, pour que je puisse me palucher joyeusement:-)
> mais le taux de survie de la dent cône+pate sérieusement fait Vs condensation à
> chaud, est-ce que cela a fait l'objet d'une étude sérieuse?

Je me suis pas tapé la revue biblio, mais je ne pense pas que ça aie une incidence autre qu'à la marge. Degrange disait que tant que c'était étanche au dessus et au dessous, tu pouvais bien obturer à la crotte de nez, pour ce que ça valait.

Pour moi, c'est condensor pour tt le monde, peut-être un ou deux cas de mono cone sur des apex très ouverts, il y a quelques années.

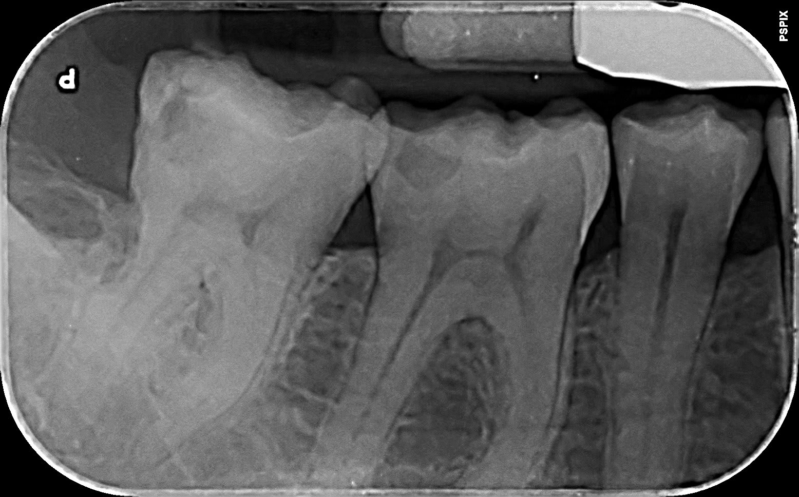
Par curiosité, vous en pensez quoi de la 36? La retro est mal cadrée, mais on voit ce qu'il y a à voir.

36 rpxsaf - Eugenol

Bebe 038 nf8eum - Eugenol
danteyeah

26/06/2020 à 18h29

sur traitement, couronne métal = fissure, si il est dur au mal, peut tenir 10 ans avec fistule ;-)


6szjws718sv1jksw54v4mpj3a6cu - Eugenol
vulpi

26/06/2020 à 18h52

On dirait un reliquat de tenon fibré dans la racine dl.
En mesial, région apicale il y a plein de différences de densités (?)


Nouveau image bitmap fz77zh - Eugenol
Sethef

26/06/2020 à 21h54

Derrière toute image, il y a une histoire.
La pré op, 5 ans plus tôt. Les lésions importantes laissent souvent une cicatrice.


(et pour savoir ce que j'ai laissé dans la mésiale, je ne m'en rappelle absolument pas; je parierai bien sur un mc spadden)

36 qdat1f - Eugenol

123...