Cookie Consent byPrivacyPolicies.comidentification implant 44 - Eugenol

identification implant 44

orlanda

19/08/2020 à 09h37

Hello les confrères,


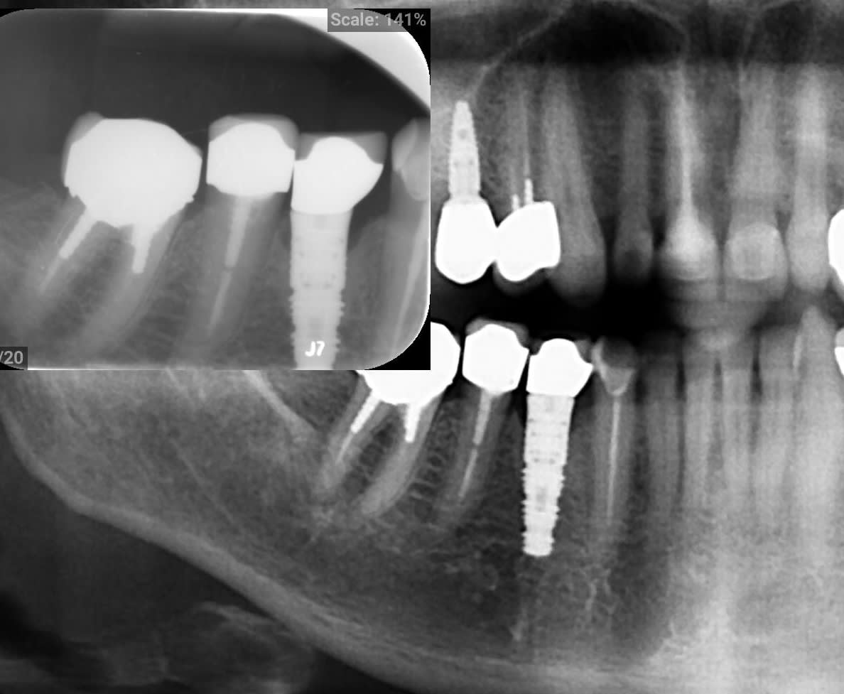
Je cherche une identification implantaire position 44 pour un patiente qui a devissée/descellé la restauration prothtique.
Elle a du mal a recupérer l'info aupres du poseur.
Je m'en remet à vos lumieres!
Quelqu'un a une super idée? Savoir si j'ai ce qu'il faut au cab ou si je dois commander un tournevis

Merci beaucoup de vos lumieres, bonne journée et bonnes vacances à certains :)

Bkpbf2fgiqwxbfgxopz9 - Eugenol

Photo pluton1b h9n4ea - Eugenol
pluton

19/08/2020 à 11h47

très facile...Frialit 2

https://www.spotimplant.com/fr/implants-dentaire/friadent/frialit-2


pluton écrivait:
------
> très facile...

Bouffon !!!

;-)


orlanda

19/08/2020 à 12h21

pluton écrivait:
------
> très facile...Frialit 2
>
> https://www.spotimplant.com/fr/implants-dentaire/friadent/frialit-2


Pluton le KING.
Connais tu les compatibilités tournevis? Empreinte propriétaire de la marque??

Mille mercis


Photo pluton1b h9n4ea - Eugenol
pluton

19/08/2020 à 13h48

tout est là:
https://www.dentalimplant-elearning.com/docs/documents/20120828041630_DENTSPLY_-_FRIALIT.pdf

mais pour résumer il y a 3 types de tournevis utilisés pour ce système, un plat de 2mm, un hexagonal de 1.22mm (un peu plu petit que du zimmer qui fait 1.25mm...donc en fait plus proche de ceux de chez Anthogyr ou ETK ou Glogal D qui sont en 1.2mm) et un hex de 0.9mm