Cookie Consent byPrivacyPolicies.comavec le numérique le plastique ç est fantastique - Eugenol
Vw campersurfvan bmnk1q - Eugenol
enlaye

07/09/2020 à 20h38

bonsoir les ptits gars .
j ai fait la connaissance d ' EXOCAD le logiciel 3D , et associé à la fraiseuse , ç est tres facile de se faire de bons prov . au moins , avec ça , de peu que tu puisses prendre la main , tu es autonome et tu peux te faire pleins de truc pile poil comme tu le décides .
dans mon cas , pour cette première , je me suis bricolé un bridge de contention en composite ( brillant crios de coltene ) .
t 'ain , me suis régalé , ç est trop bon .


Vw campersurfvan bmnk1q - Eugenol
enlaye

07/09/2020 à 20h47

au départ il était prévu , parait il , de tout lui enlever pour implanter le maxillaire .
pour plusieurs raisons , j ai préféré lui faire un bridge de contention devant en attendant la pose des implants post .
donc il a fallu vite fait lui faire vite un peu de propreté : endos ( 22+23 ) , extractions et élongation de 22 donc il a fallu vite fait lui faire vite un peu de propreté : endos ( 22+23 ) , extractions et élongation de 22 , et puis prov 22+23 rapidos

 mg 2065 iizbfi - Eugenol

Vw campersurfvan bmnk1q - Eugenol
enlaye

07/09/2020 à 20h54

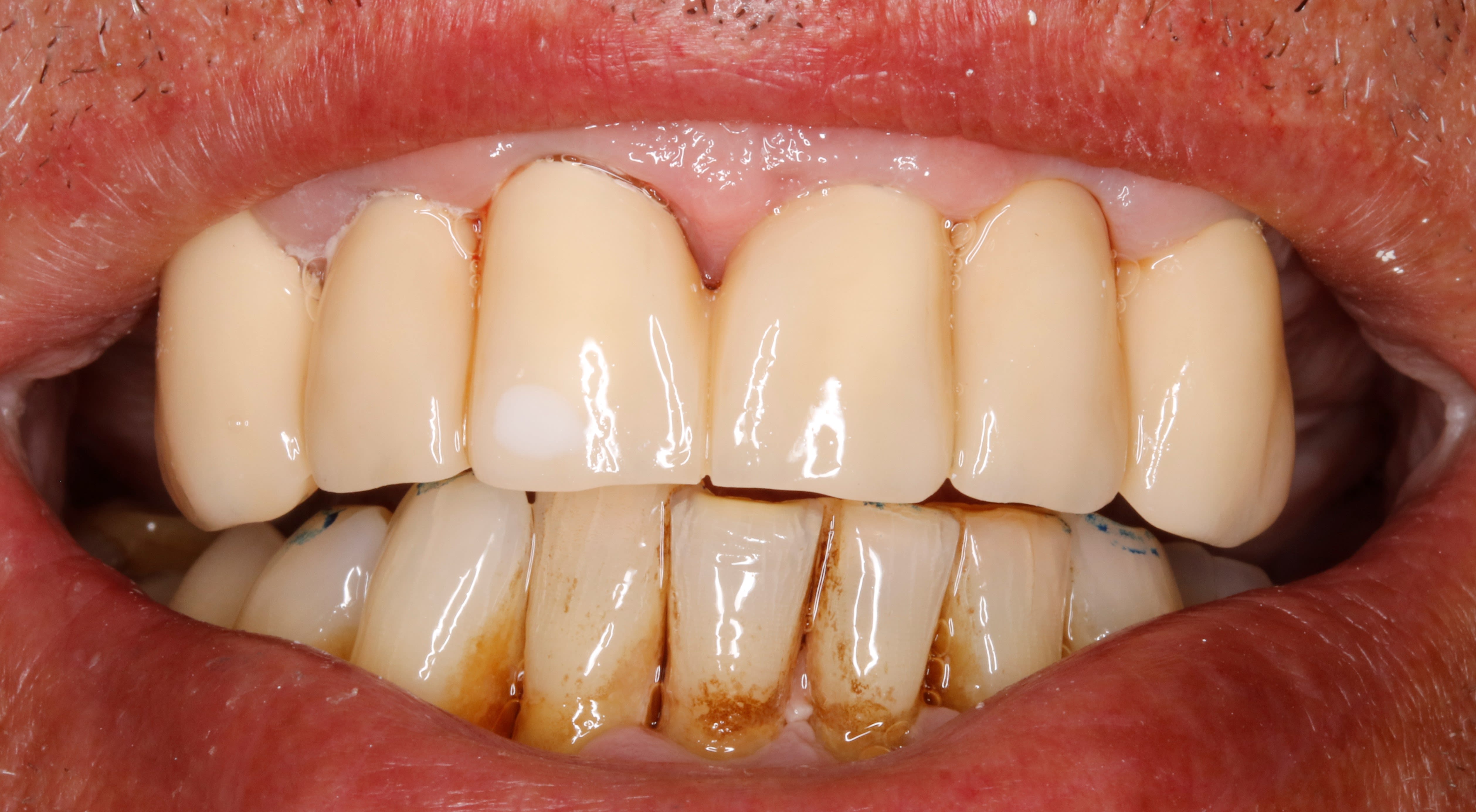
en photo , le cas , après prov instantané de 22+23 ça donne ça

 mg 2056 qq3dsf - Eugenol

Generique fraisage r2rxmm - Eugenol
lardonbis

07/09/2020 à 21h53

sympa ça !
tu fais ça à la maison ou tu fais chier ton prothésiste chez lui ? ;)
par contre je viens de voir le tarif de la galette de 98mm.... ça pique!


6szjws718sv1jksw54v4mpj3a6cu - Eugenol
vulpi

07/09/2020 à 22h04

Lardonbis qui nous revient des limbes 👍😁
Nan mais à 60€ la prov, c'est vite rentabilisé. Merci ki???
La dentisterie française va devenir le phare de l'occident !


Rape p0as4f - Eugenol
rapelapente

07/09/2020 à 22h32

Je n 'aurait peut-être pas gardé la 22...


--
Schooner For Ever


Vw campersurfvan bmnk1q - Eugenol
enlaye

07/09/2020 à 23h51

lardonbis écrivait:
---------
" sympa ça !
tu fais ça à la maison ou tu fais chier ton prothésiste chez lui ? ;) "


suis allé chez lui ,lui casser les couilles , mais au final il était très content pcq je lui ai fait aussi plein de boulots pour d autres dentistes . lui avait la souris , et je lui disais , et là tu peux faire comme ça ? et ça comme ceçi ? augmentes en distal et diminues cette crête etc etc .
enfin , bref tout ce que je vous raconte habituellement , devient réalité en quelques clics avant fraisage . du coup , il m a meme proposé de télécharger un logiciel pour prendre la main dessus de la maison ...ou au moins de visualiser ce qu il fait et de causer en meme temps par téléphone . pratique .

" par contre je viens de voir le tarif de la galette de 98mm.... ça pique! "
oui :-) mais ce qui pique encore plus , ç est le prix des fraises qui fondent à vue d oeil pour user le compo . pour ce petit bridge , le fraisage a duré 5 heures : criiing crooong ,criiing crooong , criiing crooong . beaucoup plus long que pour le zircon à l etat de craie .
ces galettes , y en a plein de sortes , il y a meme des galettes de cire pour faire les IC ou les chapes et les couronnes en cire perdue . pour faire les wax , les prov ( en teinte dégradée ou pas ) ou meme pour faire des gouttières , je crois .
mais le plus cher , c est la galette de zircon orodent : celle là est dégradée en teinte et en dureté , ma préférée .


PtnbZ

07/09/2020 à 23h53

Imagine, t’es pépère à mener ta petite vie de prothésiste et la t’as enlaye qui se ramène et qui te parle d’occlusion et de pastis. Au départ tu te dis encore un qui a trop bu, mais non, en plus il est sérieux !


Vw campersurfvan bmnk1q - Eugenol
enlaye

07/09/2020 à 23h58

rapelapente écrivait:
-----------
" Je n 'aurait peut-être pas gardé la 22..."

je n étais pas parti pour non plus , ça met tjs le ouaille une latérale , mais figures toi qu' elle était encore vivante , incroyable quand meme , non ? alors je lui ai laissé une petite chance :-)


Vw campersurfvan bmnk1q - Eugenol
enlaye

08/09/2020 à 00h15

pour revenir au cas , j avais demandé , après empreinte au silicone , ( pcq je n ai pas de cam ) , 2 IC + un bridge prov canine canine avant taille .
le pb c est que bien sur les ic étaient dans un axe pipé et du coup le bridge aussi .
du coup , j ai vecu l enfer pour placer ce prov :-) .
ç est drôle ça , quand il s agit de faire un ic entre 2 dents ils savent faire ,mais des que c est pour paralléliser un bridge où quoi , ils sont perdus . aller encore des ic à retailler !
pour ça que je suis monté au labo , ç était pour aller lui casser les mains à coups de gourdin , et finalement , comme j y suis allé avec les croissants , on a fait copain :-))

 mg 2062 wobkue - Eugenol

Bastien D

08/09/2020 à 00h39

tu aurais pu palier à ca en splitant ton bridge ! ;-)


Vw campersurfvan bmnk1q - Eugenol
enlaye

08/09/2020 à 00h41

splitant ?


Photo pluton1b h9n4ea - Eugenol
pluton

08/09/2020 à 07h09

splitant= en coupant le bridge
@Bastien D: dis moi l'intérêt d'un bridge qui doit faire office de contention s'il est découpé? hein? bein aucun....


Vw campersurfvan bmnk1q - Eugenol
enlaye

08/09/2020 à 08h25

ah oui , si c etait pour le découper , ça aurait ete plus facile , mais ce n était effectivement pas l intérêt du jeu .
et encore que , plus facile , c est pas sur , pcq je veux bien le découper , mais pour le découper où ??
eh oui pcq , comme le bridge prov a été fait à la machine ,d apres une empreinte les dent non taillées , il n y a pas de plâtre , tu reçois les ic et le bridge dans un petit sac en plastique , comme si t avais acheté un poisson rouge :-))
donc ce n est qu une fois les dents taillées que tu t aperçois de l embrouille !
et pas question d adapter trop les dents en fonction du bridge pcq elles sont vivantes , quand même .


Vw campersurfvan bmnk1q - Eugenol
enlaye

08/09/2020 à 08h29

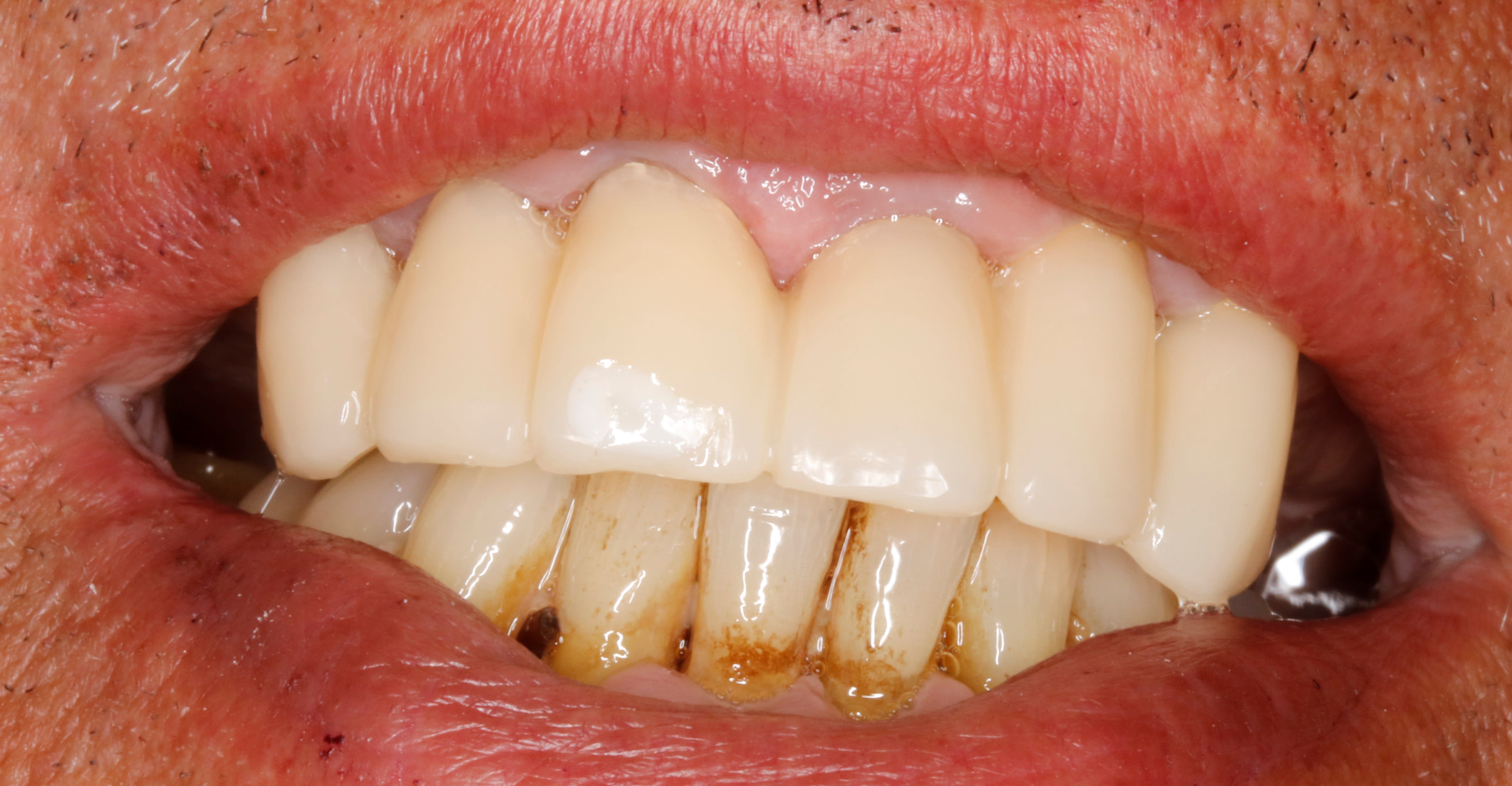
bon au final .... on obtient ça
il a même eu droit à sa tache blanche sur sa 11 , il y tenait :-)

 mg 2059 k9nac0 - Eugenol

Vw campersurfvan bmnk1q - Eugenol
enlaye

08/09/2020 à 08h53

de là j ai repris une empreinte , des moignon taillés , bien sur , l occlusion et tout , et je suis parti au labo avec l empreinte et le gourdin pour lui casser les mains .
on a coulé l empreinte , et ç est là que ça c est compliqué . et oui, pcq il a fallu attendre que le platre durcisse , alors on est allé au restau le temps que ça prenne :
40° sous le parasol , et 51° dans le verre en attendant les petits rougets frits , au final on était frit bouilli bien avant eux .


Vw campersurfvan bmnk1q - Eugenol
enlaye

08/09/2020 à 09h07

ce qui est sur ç est que si j avais eu une cam , on aurait évité cette aventure mais ça aurait eté moins rigolo .
donc de retour , on a scanné les plâtres et ça a donné ça .
le violet que tu vois c est le spacer numérique

2020 08 25 00007 001 dentalcadscreenshot - Eugenol

Vw campersurfvan bmnk1q - Eugenol
enlaye

08/09/2020 à 09h12

et là c est où c est pratique , ç est que tu peux superposer la photo du prov 1ere génération , et ainsi faire les modifs esthétiques et occlusales sur des détails que tu n aurais pas forcement vu en bouche .

Posto 2 a8ljdf - Eugenol

Avatar transparent iqadnc - Eugenol
adhoc

08/09/2020 à 09h17

Pour ton provisoire qui "bloquait", rien que l'image montre un IC 23 a orientation trop distale!!!!quelques coups de transmetal sur la face distale et tu aurais évité le cagna :-)


adhoc écrivait:
-----

> tu aurais évité le cagna :-)

Bah ouais mais l'aurait raté le 51, et ça c'est TERRIBLE !


Vw campersurfvan bmnk1q - Eugenol
enlaye

08/09/2020 à 11h28

il a l œil ce Adhoc ! :-) oui c est surtout là que j ai retouché et en vest de 22 aussi .
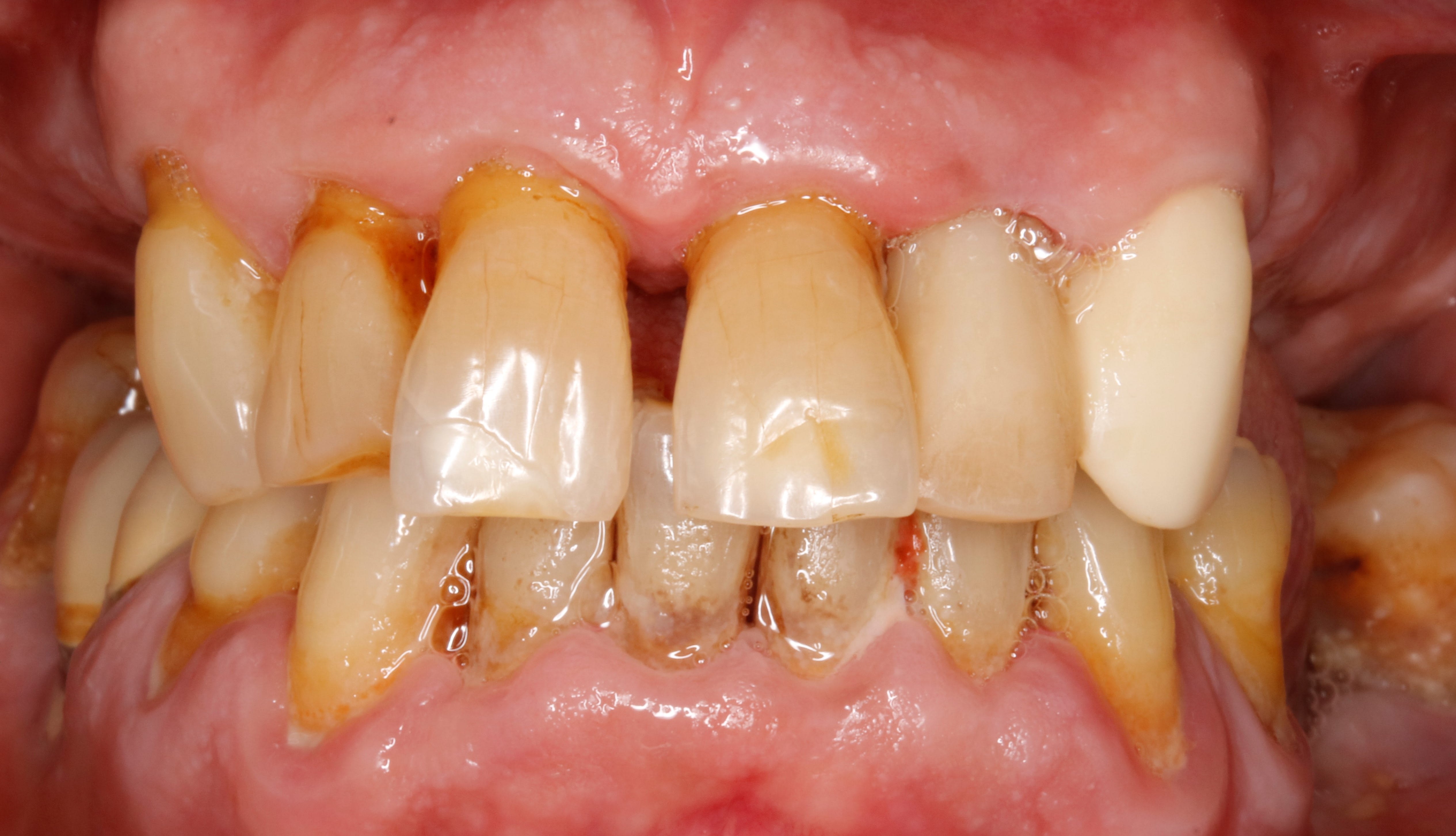
donc pour finir , apres fraisage de la galette composite Coltene , il a fallu juste faire les finitions dans les embrasures ( puisque les fraises ont une certaine épaisseur ) , un petit coup de peinture , et zou .
trop bon le numérique , ç est rentré comme un doigt au cul ,avec une précision redoutable , et je n ai rien retouché . mais rien , hein , même pas en occlusal . ce coup ci , tout c est passé comme prévu .

 mg 2068 qkabt8 - Eugenol

Bebe 038 nf8eum - Eugenol
danteyeah

08/09/2020 à 15h07

enlaye écrivait:
------
> pour revenir au cas , j avais demandé , après empreinte au silicone , ( pcq je
> n ai pas de cam ) , 2 IC + un bridge prov canine canine avant taille .
> le pb c est que bien sur les ic étaient dans un axe pipé et du coup le bridge
> aussi .
> du coup , j ai vecu l enfer pour placer ce prov :-) .

Ton provisoire de 1ère intention était en Coltène, si j’ai bien suivi, comme ce sont des coques réalisées pré-tailles, avec quel matos t’as re basé ?
Une idée du tarif d’un élément?


Vw campersurfvan bmnk1q - Eugenol
enlaye

08/09/2020 à 15h24

Ah , non le premier n etait pas en compo coltene mais en resine .
Genre pmma de dent de mobile , beaucoup plus facile a fraiser , une acrylique , je pense .
J ai tout évidé l intérieur , ca m a fait comme un ion geant tout creux , que j ai rebasé avec le pistolet avec une cartouche de prov Voco .
Cette galette de resine est dégradée en teinte .


Vw campersurfvan bmnk1q - Eugenol
enlaye

08/09/2020 à 15h28

Le prov en resine c est 25 euro la dent
et le prov en compo , qui est le meme que pour les inlay onlay et facettes , c est 80 la dent
Ce qui n est pas cher par rapport a mon labo habituel qui lui , se prend pour un diamantaire .


Vw campersurfvan bmnk1q - Eugenol
enlaye

08/09/2020 à 15h51

Pour ca c est quand meme pratique l ordi .
Par exemple tu prends un cas fracassé , tu l arranges bien joli sur l ordi avec exocad , que tu fais toi , bien sur , et quand ca te plait ,
tu lui dis ,ziva ,fais moi un prov sur ces dents , et il te fait des coquilles genre ion sur mesure . Pratique le truc .