Cookie Consent byPrivacyPolicies.comCouronne transvissée - Eugenol

Couronne transvissée

murderofcrows22

18/09/2020 à 18h53

C'est peut être bête... mais côtez-vous le pilier implantaire quand on fait une couronne transvissée?
C'est à dire si vous faites une couronne scellée = pilier + couronne
Couronne transvissée = couronne
Par l'analogie de la couronne richmond où on ne côtait pas le tenon.
Merci


Photo pluton1b h9n4ea - Eugenol
pluton

18/09/2020 à 19h03

Tu n'utilises pas une tibase???, donc oui, perso je compte pareil...


moritooth

18/09/2020 à 19h22

Tu cotes en fonction du devis qui tu as fait signer au patient. En principe l'option scellée ou transvissée a été étudiée en amont.
La couronne iimplanto-portée répond normalement à la même description que la dento-portée, c'est normalement une pièce creuse, et c'est pour ça qu'il existe un code pour les piliers implantaires. Pour les transvissées, certains CDC zélés estimaient au début de la CCAM qu'il n'y avait pas de code et que c'était HN, et d'autres plus conciliants toléraient qu'on cote une couronne. Mais de là à coder un pilier en plus quand on est en monobloc...

Bon après la couronne sur implant ne fait pas trop parti des choses qui sont controlés, donc chacun doit faire comme il le sent, ou en fonction de la mut si il y a un remboursement pour le pilier...


murderofcrows22

18/09/2020 à 20h42

Je pensais bien qu’il y aurait des avis différents
En fait, en cas de partenariat avec une mutuelle, la mutuelle peut demander la traçabilité et la facture du prothésiste.
Donc pour 2 praticiens : 2 cotations différentes


mla2

19/09/2020 à 06h19

Pas possible de coter un pilier implantaire (prothétique) s'il n'est pas réalisé (le HBLD012 non remboursable). ce serait un acte fictif frauduleux.
Donc dans le cas d'une transvissée c'est couronne implantoportée dans la CCAM(HBLD418)



mla2

19/09/2020 à 06h59

j'ai peut être mal compris la question du départ :
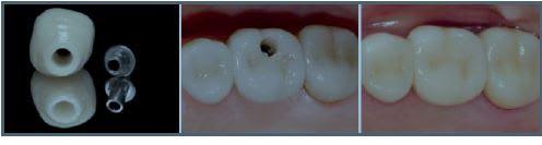
Qd Pluton parle de ti base, c'est un pilier hbld012, la couronne n'a pas de pas de vis.
La couronne transvissée, selon moi, c'est quand la pièce qui imite la morphologie est elle même par sa base au contact direct du col de l'implant et a elle même un pas de vis.


Photo pluton1b h9n4ea - Eugenol
pluton

19/09/2020 à 07h49

Et vu que les prothésistes font quasi toujours les couronnes transvissées sur une tirade pour d’évidentes questions de fiabilité et solidité....cqfd


Photo pluton1b h9n4ea - Eugenol
pluton

19/09/2020 à 07h49

Et vu que les prothésistes font quasi toujours les couronnes transvissées sur une tibase pour d’évidentes questions de fiabilité et solidité....cqfd


Zorba le grec 1373406512 108 lfk5ey - Eugenol
zorbalegrec

19/09/2020 à 08h51

La j'en ai une avec un pilier Atlantis qui m'a été facturé en plus de la CCM donc cotation d'un pilier et d'une CCM sur implant
En cas de contrôle j'ai les deux factures


Fear and loathing in las vegas toax7t - Eugenol
Donchico

19/09/2020 à 09h00

Idem pour moi le labo facture le pilier Atlantis en plus de la couronne céram donc je cote comme sur le devis pilier + couronne.


Avatar transparent iqadnc - Eugenol
adhoc

19/09/2020 à 09h53

Un peu limite quand meme ;-))))


murderofcrows22

19/09/2020 à 09h56

Et si je fais une couronne scellée sur moignon du commerce. Je peux coter mon pilier. Et pourtant il n’y a eu aucune retouche du pilier par qui que ce soit d’autre.
Par contre, dans le cas de la transvissée, je paie aussi mon pilier ( ma ti base), le prothésiste colle dessus et le facture mais je ne peux coter le pilier.
Ce n’est pas très logique cette affaire.


Vw campersurfvan bmnk1q - Eugenol
enlaye

19/09/2020 à 10h13

zorbalegrec écrivait:
-----------
"En cas de contrôle j'ai les deux factures "

Je ne comprends pas le rapport entre ce que l on facture et les factures labos d une façon generale.
S il ne facture pas un truc , ce n est pas forcement gratos pour le patient .et inversement .
Par exemple lorsque le labo te facture la cire d occlusion , toi tu ne la facture pas séparément au patient .


mla2

19/09/2020 à 10h54

dans le cas de la transvissée, je paie aussi mon pilier ( ma ti base), le prothésiste colle dessus ....(.murderofcrown)

C'est la tibase qui est transvissée, la couronne est collée non vissée, agrégée à un pilier qui lui est vissé. (A)
pilier atlantis, pilier procera, pilier surcoulé .... idem ce sont eux les transvissés, la couronne chapeaute le tout(B) peu importe qu'il y ait agrégation en bouche ou agrégation au labo, la couronne proprement dite n'a pas de pas de vis. et il y a bien deux élements .
la couronne transvissée : ni collage ni scellement dans la chaîne de réalisation et un pas de vis.ni A ni B


mla2

19/09/2020 à 11h03

dans les archives Eugenol (pj la ref) cette discussion a déjà eu lieu.... sans consensus.

Ti base nxf0rv - Eugenol

moritooth

19/09/2020 à 11h10

Et la différence entre une Richmond et un ensemble inlay-core + couronne scellée par dessus, vous la voyez ou pas ?
D'accord avec enlaye, la facture de labo c'est une chose, ce qu'on facture nous en est une autre. En extrapolant vous facturez aussi le PEI, les dents résines...etc à part pour un stellite ?
Une couronne c'est une couronne. Un pilier vissé dans l'implant independant de la couronne qui va aller dessus c'est autre chose.

Sinon, j'ai souvent constaté que les mutuelles prennent rarement en charge les piliers, même celles qui ont des bons forfaits pour l'implant (racine). Ou alors le forfait englobe " racine + pilier". Ce qui de fait diminue l'intérêt de tripatouiller les codes.


mla2

19/09/2020 à 11h54

Ni une analogie avec le dento porté, ni tripatouiller , la divergence d'interpretation porte sur le cas réalisation directe sur la ti base.
moi je vois deux élements un pilier (et c'est ainsi qu'il est categorisé dans les catalogues, non?) et une couronne intransvissable puisqu'elle n'a pas de pas de vis.

bon, je retourne à la cuisine (🤣83), 6 post pour exprimer mon point du vue auquel je suis sottement attachée..... concision à revoir (pourvu que pra... ne m'ait pas repérée)

Ti base 2 éléments q2lqby - Eugenol

moritooth

19/09/2020 à 12h30

Mon speach fait évidemment référence aux couronnes transvissées d'une seule pièce (monobloc) traditionnelles.


boxdistal

19/09/2020 à 12h42

pour la mutuelle ça ne change pas beaucoup puisque souvent elle ne rembourse pas le pilier. ça change pour le taux URSSAF puisque le pilier est NR et non télétransmis, le dépassement est plus faible.


--
"araignée du gratin, machin"


Zorba le grec 1373406512 108 lfk5ey - Eugenol
zorbalegrec

19/09/2020 à 13h12

enlaye écrivait:
------
> zorbalegrec écrivait:
> -----------
> "En cas de contrôle j'ai les deux factures "
>
> Je ne comprends pas le rapport entre ce que l on facture et les factures labos d
> une façon generale.
> S il ne facture pas un truc , ce n est pas forcement gratos pour le patient .et
> inversement .
> Par exemple lorsque le labo te facture la cire d occlusion , toi tu ne la
> facture pas séparément au patient .

La cire d’occluSion est comprise dans le tarif final de la prothèse
Je peux intégrer le pilier Atlantis sur le tarif de la couronne et la celle ci passerait de 600 à 950 et ensuite entendre dire par les secrétaires des mutuelles que je suis trop chère pour une couronne.


Zorba le grec 1373406512 108 lfk5ey - Eugenol
zorbalegrec

19/09/2020 à 13h18

Perso je demande toujours un pilier + une couronne sauf si le prothésiste estime qu’il n’a pas assez de place et dans ce cas je lui fait confiance


Morgan ztbb1b - Eugenol
BONNET jc

21/09/2020 à 14h46

Et quand le pilier se dévisse? Tu tapes sur la céramique?


moritooth

21/09/2020 à 19h53

boxdistal écrivait:
---------
> pour la mutuelle ça ne change pas beaucoup puisque souvent elle ne rembourse pas
> le pilier. ça change pour le taux URSSAF puisque le pilier est NR et non
> télétransmis, le dépassement est plus faible.
>
On en est arrive au stade où c'est l'URSSAF qui dicte nos cotations...

Et donc on a maintenant deux catégories d'actes fictifs :
-ceux qu'on cote pour se rattraper sur d'autres actes sinistrées, ou faire baisser un reste à charge au patient
-et ceux qu'on cote pour faire baisser ses charges;

On est pas sorti de l'auberge...