Cookie Consent byPrivacyPolicies.competit quizz occluso - Eugenol

petit quizz occluso

Vw campersurfvan bmnk1q - Eugenol
enlaye

01/10/2020 à 15h57

les coulegues , voilà un petit quizz rapidos pour jouer à 3000 e le point :-)

une belle inconnue arrive en urgence entre 2 pour resceller sa 14 implantaire .
manifestement , il doit certainement y avoir un pb occlusal , et t as juste 2s pour trouver où ca !
si tu trouves et que tu limes où il faut , tu places un devis de 3000 , pour commencer :-) , sur le champ direct . donc faut pas trainer .
chez moi ça se passe comme ça :
" si vous me permettez , je vous lime just'un petit coup , et je vous fais passer instantanément dans une autre dimension , je peux ?? " ( ma phrase type )
zzing zzing
"" j en suis toute retournée , pourtant je n ai rien senti !!! ""
" je vous l avez dit :-)) "
quel dent ai je limé ???
un indice : il en a eu 2 plus exactement , 1 plus une autre après mais faut pas se tromper dans l ordre .

Wn2mrdzcdz3enddvibq0 - Eugenol
Qgeoud6z4ayshtqdkufi - Eugenol
Ui3fa4os4sdxhes6uxq3 - Eugenol

Fourre tout 05 12 08 017 apc4pu - Eugenol
Pier

01/10/2020 à 16h06

34 et 24 en plus apparemment il manquerait des dents en distal de 25 ce qui n'arrange rien


Vw campersurfvan bmnk1q - Eugenol
enlaye

01/10/2020 à 16h09

arfffff , t as perdu 3000 :-))
rejoues


6szjws718sv1jksw54v4mpj3a6cu - Eugenol
vulpi

01/10/2020 à 16h14

14 mésial et après 13


Vw campersurfvan bmnk1q - Eugenol
enlaye

01/10/2020 à 16h16

PS : Pier ,en haut , ç est une photo au miroir donc tu parles de la 15 .
et puis moi je me suis trompé ce n est pas la 15 mais la 14 que j ai recélé , je remonte corriger


Vw campersurfvan bmnk1q - Eugenol
enlaye

01/10/2020 à 16h17

vulpi écrivait:
-----
" 14 mésial et après 13 "
non , mais tu chauffes , mais pas assez de quoi la chauffer pour lui faire avaler le devis


Bebe 038 nf8eum - Eugenol
danteyeah

01/10/2020 à 16h31

43 puis 41, mais t'as pas dit à quel mouvement correspond ton papier bleu, et t'as pas dit si le guidage gauche est enfin libéré depuis qu'elle a éclatée la pointe canine.....et au final ça ne fera pas 3000, car le devis va faire des petits, y'a tout le bas à revoir d'abord


Vw campersurfvan bmnk1q - Eugenol
enlaye

01/10/2020 à 16h46

3000 :-)) rhalalaaa comme c est dommage .
tu sais comme ç est les gonzesses , si tu fais le chaud avant de les limer et qu' il ne se passe pas grand chose tu passes pour un fifre et tu ne la revois plus :-))
mais t es pas loin non plus !


Capture d écran 2018 05 16 à 21.30 - Eugenol
Daryl

01/10/2020 à 17h05

11 et 21 en palatin puis vestibulo distal de la 34


Vw campersurfvan bmnk1q - Eugenol
enlaye

01/10/2020 à 17h07

remarques , à vous 3 ça peut le faire , mais suis pas sur qu elle vous donne 1000 e à chacun , ç est pas une touze , non plus :-))


Vw campersurfvan bmnk1q - Eugenol
enlaye

01/10/2020 à 17h09

Daryl écrivait:
-----
" 11 et 21 en palatin puis vestibulo distal de la 34 "
hummmm c est bon ca , allez re essayes , ça brules aussi .


mla2

01/10/2020 à 17h13

41 puis mesial 44.......il ne faut pas le permis occluso pour jouer, hein?


Fourre tout 05 12 08 017 apc4pu - Eugenol
Pier

01/10/2020 à 17h18

Alors je dirai 14 et 44


Vw campersurfvan bmnk1q - Eugenol
enlaye

01/10/2020 à 17h42

mla2 écrivait:
----
41 puis mesial 44.......il ne faut pas le permis occluso pour jouer, hein?
ahhhh , mince , l ordre n est pas bon , et ça ça ne pardonne pas .
ça pardonne pas pcq si au premier coup , de fraise, il ne se passe rien de probant , elle va croire que tu t amuses . elles n aiment pas non plus .
mais ça ta fait du bien de rester dans ta couisine , tu es la plus proche , tres tres proche


Vw campersurfvan bmnk1q - Eugenol
enlaye

01/10/2020 à 17h51

Pier écrivait:
----
" Alors je dirai 14 et 44 "
non ,


44 puis 34 et en n° complémentaire ...
M'en fous j'ai jamais rien gagné au jeu.


Vw campersurfvan bmnk1q - Eugenol
enlaye

01/10/2020 à 18h17

danteyeah écrivait:
---------
" mais t'as pas dit à quel mouvement correspond ton papier bleu, "
pas de mvt , clac clac en oim .
elle vient pour juste recoller sa dent , tu ne peux pas commencer à la manipuler de droite et de gauche .


Vw campersurfvan bmnk1q - Eugenol
enlaye

01/10/2020 à 18h34

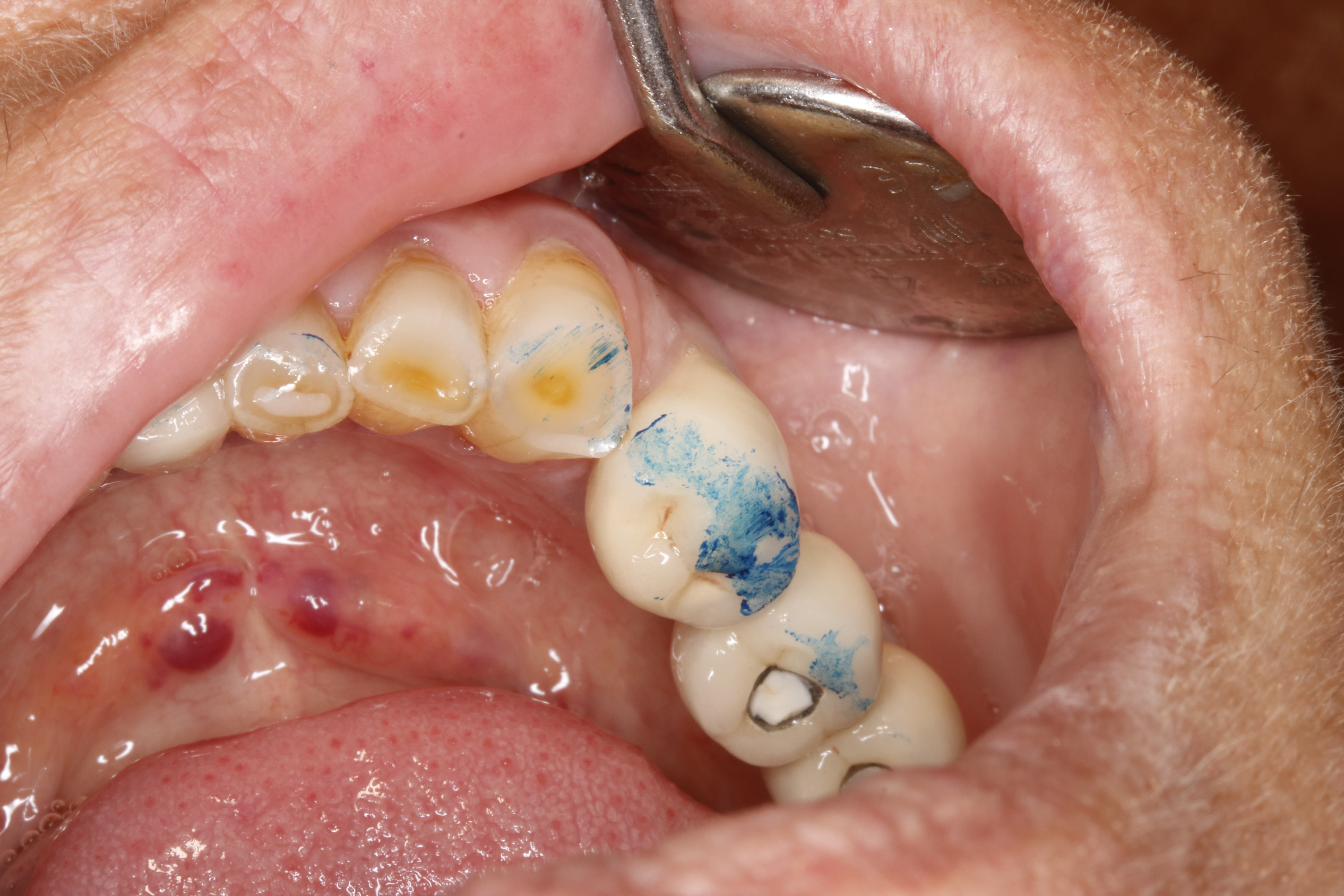
2 eme indice , effectivement sa 14 etait en sur occ ,...., à l arrivée de la patiente , mais .....
bon , ben , ç est 500 euro de moins , eh , oui


Nouveau image bitmap fz77zh - Eugenol
Sethef

01/10/2020 à 18h37

48?


Vw campersurfvan bmnk1q - Eugenol
enlaye

01/10/2020 à 19h28

sais meme pas s il y en a une :-) mais j aime bien ton esprit , et tu le sais .


Vw campersurfvan bmnk1q - Eugenol
enlaye

01/10/2020 à 19h31

aller pour 500 balles de moins .
quand je vois ça ça m interpelle : viens mon petit viens , viens me limer :-)

Inkedqgeoud6z4ayshtqdkufi li slcymy - Eugenol

PtnbZ

01/10/2020 à 19h34

Tu ne nous dis pas tout vieux filou. La patiente quand elle mord elle a un glissement avant d'arriver dans son occlusion habituelle?


Vw campersurfvan bmnk1q - Eugenol
enlaye

01/10/2020 à 19h46

non non , elle y v a franco , pim sur la 14 .
mais , effectivement ç etait une position imposée , qui ne devait pas lui convenir à l epoque , mais elle ne s en rendait plus compte .
pour ça que si lui dit , comme ça direct , là ça va pas , elle te regarde bizarre .
par contre si tu lui montre la différence . après un petit limage , elle ne te regarde plus du tout pareil .
elle te lance un soupir , presqu un râle , que ça faisait longtemps qu elle en rêvait :-)))


Vw campersurfvan bmnk1q - Eugenol
enlaye

01/10/2020 à 19h50

bon , aller , je vais fermer , avant de partir au restau , la solution .
il ne te reste plus que quelques minutes , et je remets l argent dans le nourrain


PtnbZ

01/10/2020 à 20h01

Si elle a cassé sa 23 comme ça, c’est qu’avec la fermeture elle fait une latéralité à gauche ou une propulsion.
D’instinct je dirais que le point mesial sur la 44 n’a pas à être la :))


12...