Tous les forums
La grande énigme internationale du week-end
07/11/2020 à 19h44
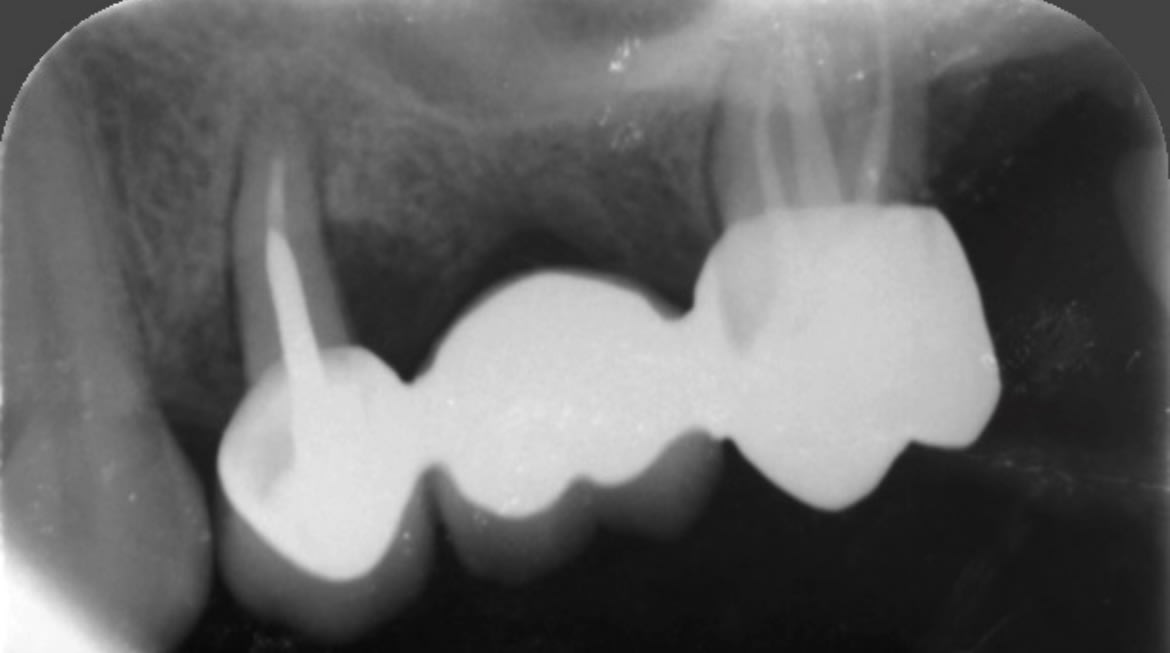
Quelle est la cause principale de l’image sur la prémolaire ?
Et surtout quelle est la cause secondaire qui a engendré cela ?
07/11/2020 à 20h06
Débordement de colle ? Heuu non plutot couronnes en sous occ de l autre côté !
Associé au fait que la crete marginale mesiale palatine est trop saillante et ça lui donne au bridge , une forte composante mesio vestibulaire . Si devant , c 'est une 3 , bien sur .
07/11/2020 à 20h21
Malgré la misérable qualité de l'image on voit le trait de fracture en regard le l'extrémité du tenon.
Ça s'est aggravé d'un coup à l'apèro quand il a mordu sur une olive non dénoyautée...
--
Schooner For Ever
07/11/2020 à 20h33
Ahh en mesial ? Ce qui ne change pas la cause primaire .
Faut attendre pour savoir , comme avec les elections americaines :-)
07/11/2020 à 20h56
Alors pourquoi cette fracture avec ce tenon ? Quelle est la cause occlusale ? Ça n’est pas un problème cité par Enlaye.
À Rapel : tu sais ce qu’elle te dit la misérable qualité de la radio ?:)
Si vous trouvez je veux bien me les couper en fines lamelles :)))
07/11/2020 à 21h16
C’est surtout le capteur qui est de la merde. Normal je les utilise jusqu’à ce qu’ils soient usés jusqu’à la corde. Plus il y a de rayures ou des merdes collées sur le capteur, plus j’aime.
07/11/2020 à 21h26
Bridge avec prémo monobloc à tenon.
Ah mon Juju, est ce que sucer c'est tromper. Et ne va pas nous parler de la Vierge Marie 😤
07/11/2020 à 21h28
enlaye écrivait:
------
> Ca a un rapport avec l antago ou bien un truc plus global ?
C’est en rapport à un truc global
08/11/2020 à 09h24
Dommage que tu ais effacé ton message , Filodent , c etait pas con du tout .
08/11/2020 à 09h45
Alors les mauvais on n’a toujours pas trouvé ? :)) qu’est ce qu’il avait dit filodent ?
08/11/2020 à 09h50
Je dirais un bruxisme sur gouttière molle . Alors tu te les coupes fin fin ?
08/11/2020 à 10h08
Alors les nuls on ne trouve pas, hein ? :) on pédale dans la semoule :)
Alors petit indice : elle ne mâche que d’un côté. Mais vraiment quasi exclusivement que de ce côté. Pourquoi ?
08/11/2020 à 10h14
Bin si t’as pas l’image des antagonistes ç’est de la loterie que de te parler d’occlusion
J’suis peut être bigleux mais je ne l’a voit pas ta fracture. Est-ce que ton image fait suite à un bon gros détartrage, canaillou ???
08/11/2020 à 10h18
enlaye: j'avais écrit que le trait à l'extrémité du tenon sur la racine, se poursuit en mésial et en distal et marque pour moi une différence de densité osseuse.
Par contre en regardant bien la radio, quelque mm au dessus il semble y avoir, un trait de fracture et là uniquement sur la racine.
08/11/2020 à 10h19
Si! Il y a une fêlure . Et elle a mal. Ça c’est certain. La question est pourquoi mange t elle que de ce côté alors qu’elle a des dents de l’autre côté et qu’elle n’a pas de problème majeur niveau occlusion ?
08/11/2020 à 10h29
Donc t’as répondu à la question : cause principale = fêlure (et le trait ne peut pas se voir à la radio, contrairement à fracture). Cause secondaire : sur sollicitation du bridge, donc usure accélérée (en gros la cause c’est la vieillerie)
Maintenant tu veux savoir pourquoi elle bosse plus d’un côté que de l’autre alors que tout semblait équilibré........tu nous as pris pour Freud???
08/11/2020 à 10h45
Heureusement qu’il est là Vulpi. Elle a une hemiagueusie (ça compte triple au scrable) , et une paralysie faciale. En gros elle s’est fait opérer d’un chondrosarcome au niveau du crâne. Et suite à l’opération, elle a eu une perte de goût que d’un côté. Donc logiquement elle balade le bol alimentaire que d’un côté pour avoir le goût . Pareil si elle mange du mauvais côté, elle fait des fausses routes. Du coup elle mange que du côté où on trouve le bridge.
Alors qu’est-ce que vous dites de ça ? Ça vous en bouche un coin, hein ? On fait moins les marioles tout d’un coup !