Cookie Consent byPrivacyPolicies.comusineuse - Eugenol
azerty

10/11/2020 à 22h06

Une selarl doit quand même rester rentable. C est juste un habillage qui te permet de lisser ton ir et payer un poil moins d impôts
Ce qui veut dire que en nom propre tu perdrais de sous aussi.
Il y a un pb de gestion. Trop de charge pas 1ssez de chiffre.
Donc soit tu diminue tes charges soit tu augmentes ton chiffre.


vintagescope

10/11/2020 à 23h17

15 000 euros de frais de laboratoire par mois pour 3 praticiens , cela me semble très faible ...


Hok 1b hgd3rj - Eugenol
Hokusai

11/11/2020 à 07h15

Mvintagescope écrivait:
------------
> 15 000 euros de frais de laboratoire par mois pour 3 praticiens , cela me semble
> très faible ...

Ça dépend... Si c'est 5ke de CCM du Bangladesh a 30e pièce... Ça fait quand même beaucoup d éléments !

Si c est des coiffes a 160e que tu poses en rac0 a 500e... C est pas la même histoire.

J ai déjà pas compris les 100ke de crédit de trésorerie pour le covid qui ont disparu... Malgré les aides, le chômage partiel... Etc...

Moi ça m inquieterait au plus haut point...


Nouveau image bitmap fz77zh - Eugenol
Sethef

11/11/2020 à 09h34

vintagescope écrivait:
------------
> 15 000 euros de frais de laboratoire par mois pour 3 praticiens , cela me semble
> très faible ...

Au début, je pensais comme ça aussi.
Maintenant, à 200 balles la ceram, j'ai 3000 euros de prothèse par mois. Faut vraiment que j'arrête de rien branler.


Vw campersurfvan bmnk1q - Eugenol
enlaye

11/11/2020 à 10h15

5000 de labo en fixe par mois c est pas rien quand meme :-)
C est deja un bon petit client pour le labo :-)


Utilisateur banni

11/11/2020 à 10h50

« Quoi qu’est-ce que j’apprends? Le prothésiste est chez vous? Il va venir prendre tout de suite ma teinte !!! Docteur je n’ai jamais vu ça ! Vous m’impressionnez docteur ! Je suis toute émoustillée ! Oh docteur ! Docteur! Docteur ! Vous me faites beaucoup de bien ! Un prothésiste chez vous ! Oh oui docteur j’aime ça ! Vous êtes formidable ! Vous me faites vibrer! Que c’est bon ! J’ai la culotte toute humide ! Vous êtes extraordinaire  ! Ohhhhhh ouiii ! »


Les poupées du Junior sont confinées ?


6szjws718sv1jksw54v4mpj3a6cu - Eugenol
vulpi

11/11/2020 à 11h45

enlaye écrivait:
------
> 5000 de labo en fixe par mois c est pas rien quand meme :-)
> C est deja un bon petit client pour le labo :-)
C'est ce que mon labo a compris quand j'ai été voir chez Chang.


rice and carie

12/11/2020 à 11h00

Pangolin écrivait:
--------

> Et puis faudrait trouver un prothésiste trié sur le volet. Si c’est pour te
> retrouver avec un mec qui fait moins bien que les chinois (ce qui est hautement
> probable en France), t’as pas l’air bête. :)
-----------------------
et que la qualité sois constante, qu'il ne prenne pas de vacances,.......


Vw campersurfvan bmnk1q - Eugenol
enlaye

12/11/2020 à 11h22

et il n y a pas que ça .
sur tes 5000 il faut que tu y enlèves tes IC , tes ccm , tout ce qui est en metal , en fait , mais il faut que tu enlèves aussi tout ce qui est bridge , que ta petite usineuse ne fera pas .
et puis de toute façon meme ave une grosse , les bridges full , ça ne marche pas , mais ça c est une autre histoire , on pourra en reparler .


Bebe 038 nf8eum - Eugenol
danteyeah

12/11/2020 à 12h05

On est bien d'accord, le proto au cab reste l’apanage de cabinet à la demande et aux capacités exceptionnelles, par contre pour des cas unitaires, des Inlays/Onlays sans temps provisoire pour un cabinet de 3 prats (pourquoi pas 3 collab en plus) et en formant un membre de l'équipe au maquillage/finition, Une usineuse chairside c'est pas con et surement moins coûteux que chang. Cela ne réglera peut être pas le couac comptable de Cell, mais ça pourrait augmenter la proportion de patient non RAC0 et donc le rendement.


Hok 1b hgd3rj - Eugenol
Hokusai

12/11/2020 à 12h09

danteyeah écrivait:
---------
> Une
> usineuse chairside c'est pas con et surement moins coûteux que chang.

mais c'est sur qu'a 3 la question ne se pose même pas, fallait pas acheter la medit mais le cerec... et former un assistante a la finition... comme je l'ai dit au tout début de ce fil au passage...
tu fais coiffe de la 1 a la 5 en emax, et les inlay vita enamic...


Bebe 038 nf8eum - Eugenol
danteyeah

12/11/2020 à 12h11

Pangolin écrivait:
--------
> « Quoi qu’est-ce que j’apprends? Le prothésiste est chez vous? Il va venir
> prendre tout de suite ma teinte !!! Docteur je n’ai jamais vu ça ! Vous
> m’impressionnez docteur ! Je suis toute émoustillée ! Oh docteur ! Docteur!
> Docteur ! Vous me faites beaucoup de bien ! Un prothésiste chez vous ! Oh oui
> docteur j’aime ça ! Vous êtes formidable ! Vous me faites vibrer! Que c’est bon
> ! J’ai la culotte toute humide ! Vous êtes extraordinaire  ! Ohhhhhh ouiii ! »

Merde dans l'ancien cab, le prothésiste était dans les murs (à son compte par contre), et j'ai jamais fait vibrer personne :-(((( J'dois être trop vilain finalement...la dure réalité :-))


Bebe 038 nf8eum - Eugenol
danteyeah

12/11/2020 à 12h13

Hokusai écrivait:
-------
> danteyeah écrivait:
> ---------
> > Une
> > usineuse chairside c'est pas con et surement moins coûteux que chang.
>
> alors ca je suis pas sur...

A 3 prats ??? voir 3 collab....SI !
Lingotin à 15 boules, machine à 100 000 divisée par 3 (ou plus), doit y'avoir moyen.


Hok 1b hgd3rj - Eugenol
Hokusai

12/11/2020 à 12h14

danteyeah écrivait:
---------
> Hokusai écrivait:
> -------
> > danteyeah écrivait:
> > ---------
> > > Une
> > > usineuse chairside c'est pas con et surement moins coûteux que chang.
> >
> > alors ca je suis pas sur...
>
> A 3 prats ??? voir 3 collab....SI !
> Lingotin à 15 boules, machine à 100 000 divisée par 3 (ou plus), doit y'avoir
> moyen.

non j'ai edité... j'avais mal lu ton post.
Tu as raison et la question ne se pose meme pas.
revends la medit et achete le cerec.


Bebe 038 nf8eum - Eugenol
danteyeah

12/11/2020 à 12h17

enlaye écrivait:
------
> et il n y a pas que ça .
> sur tes 5000 il faut que tu y enlèves tes IC , tes ccm , tout ce qui est en
> metal , en fait , mais il faut que tu enlèves aussi tout ce qui est bridge ,
> que ta petite usineuse ne fera pas .
> et puis de toute façon meme ave une grosse , les bridges full , ça ne marche pas
> , mais ça c est une autre histoire , on pourra en reparler .

Y'a une autre option: Tu envoyes tes fichiers cam en centre d'usinage pour faire chappes/ IC/ armayure bridge etc... dans le matériau de ton choix. Puis ça revient au cab et ton proto monte la céram/ ajuste/fini et fait mouiller Junior!!!!


Hok 1b hgd3rj - Eugenol
Hokusai

12/11/2020 à 12h20

danteyeah écrivait:
---------
> enlaye écrivait:
> ------
> > et il n y a pas que ça .
> > sur tes 5000 il faut que tu y enlèves tes IC , tes ccm , tout ce qui est en
> > metal , en fait , mais il faut que tu enlèves aussi tout ce qui est bridge ,
> > que ta petite usineuse ne fera pas .
> > et puis de toute façon meme ave une grosse , les bridges full , ça ne marche
> pas
> > , mais ça c est une autre histoire , on pourra en reparler .
>
> Y'a une autre option: Tu envoyes tes fichiers cam en centre d'usinage pour faire
> chappes/ IC/ armayure bridge etc... dans le matériau de ton choix. Puis ça
> revient au cab et ton proto monte la céram/ ajuste/fini et fait mouiller
> Junior!!!!

et qui fait le modele résine ? non c'est l 'usine a gaz ca.
si l'objectif c'est de gagner du temps/ rac0 de toutes facons, faut arrêter de monter de la céramique feldspathique. Meme en cutback.
Full full !!


Bebe 038 nf8eum - Eugenol
danteyeah

12/11/2020 à 12h38

Hokusai écrivait:
-------

> et qui fait le modele résine ? non c'est l 'usine a gaz ca.

Je me suis rapproché de mon ancien proto et pote alsaco et comme il ne peut pas investir dans du matos hi-tech, il fait intervenir un centre d'usinage et d'impression local, et il arrive à me sortir de la strat franchement chiadée sur NP pour 10 à 15% max plus cher que la full Emax de chang. Donc soit c'est jouable, soit c'est son dernier baroude d'honneur.

> si l'objectif c'est de gagner du temps/ rac0 de toutes facons, faut arrêter de
> monter de la céramique feldspathique. Meme en cutback.
> Full full !!


Vw campersurfvan bmnk1q - Eugenol
enlaye

12/11/2020 à 12h50

Danteyeah , ç est bien beau la ccc , mais ce n est plus d actualité avec le raco , surtout quand tu coures derrière le pognon , comme c est le cas ici .
l avenir , malheureusement , c est le full , et même le fer !
moi j'suis calmé, hein :-))
le ferrailleur .


Bebe 038 nf8eum - Eugenol
danteyeah

12/11/2020 à 15h00

Non Enlaye, je parle de CCM (même si CCC y sait faire mon alsaco) à l'ancienne mais en NP bien chiadée RAC0 compatible. Les armature/chape/IC métal sont imprimées et non usinées d'après lui ça réduit le coût.

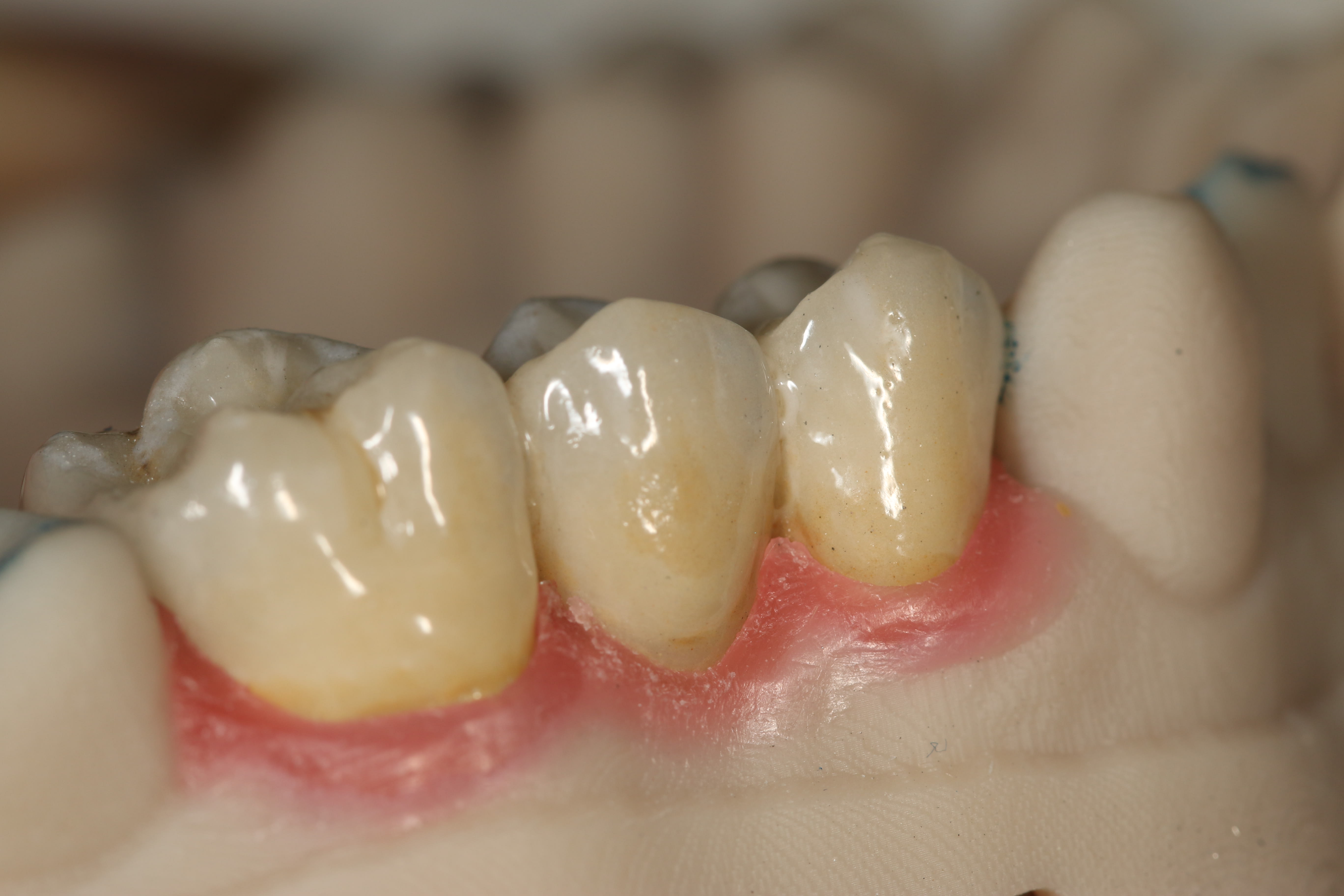
Img 4696 1 i4o5ys - Eugenol
Img 4697 1 grfaek - Eugenol

Photo pluton1b h9n4ea - Eugenol
pluton

12/11/2020 à 16h02

c'est dommage les ptites inclusions dans les ceram des 4 et 5....


Bebe 038 nf8eum - Eugenol
danteyeah

12/11/2020 à 17h52

t'as pas tort, c'est déjà mieux après un passage d'alcool, mais il en reste en inclusion un chouille......doit avoir un filtre aspirant à changer le proto.

Img 4699 1 bolwft - Eugenol

Vw campersurfvan bmnk1q - Eugenol
enlaye

12/11/2020 à 18h23

je ne pense pas que ce soit une histoire de filtre .
a mon avis , la Céram était tranquille sur l établi , pas forcement finie et lui même à plusieurs mètres a fraisé ou coupé du métal , et des particules chaudes se sont incrustées dans la Céram .


12