Cookie Consent byPrivacyPolicies.comun prov ça tient 13 ans pas plus :-) - Eugenol

un prov ça tient 13 ans pas plus :-)

Vw campersurfvan bmnk1q - Eugenol
enlaye

04/12/2020 à 12h35

" je viens pour recoller ma dent "
"" mais bien suuurrr :-)) , aller hop un chéco de 440 et je vous transforme en bombasse à plus provisoire , fini depuis longtemps les provisoires ""
donc je sais maintenant qu un prov tient 13 ans , pas plus :-))
et qu à 110 le prov ça revient donc à 8,46 euro par an , ç est pas cher :-)
tu comprends pourquoi je n en fais plus ???

13 ans z4iq7p - Eugenol

Vw campersurfvan bmnk1q - Eugenol
enlaye

04/12/2020 à 12h54

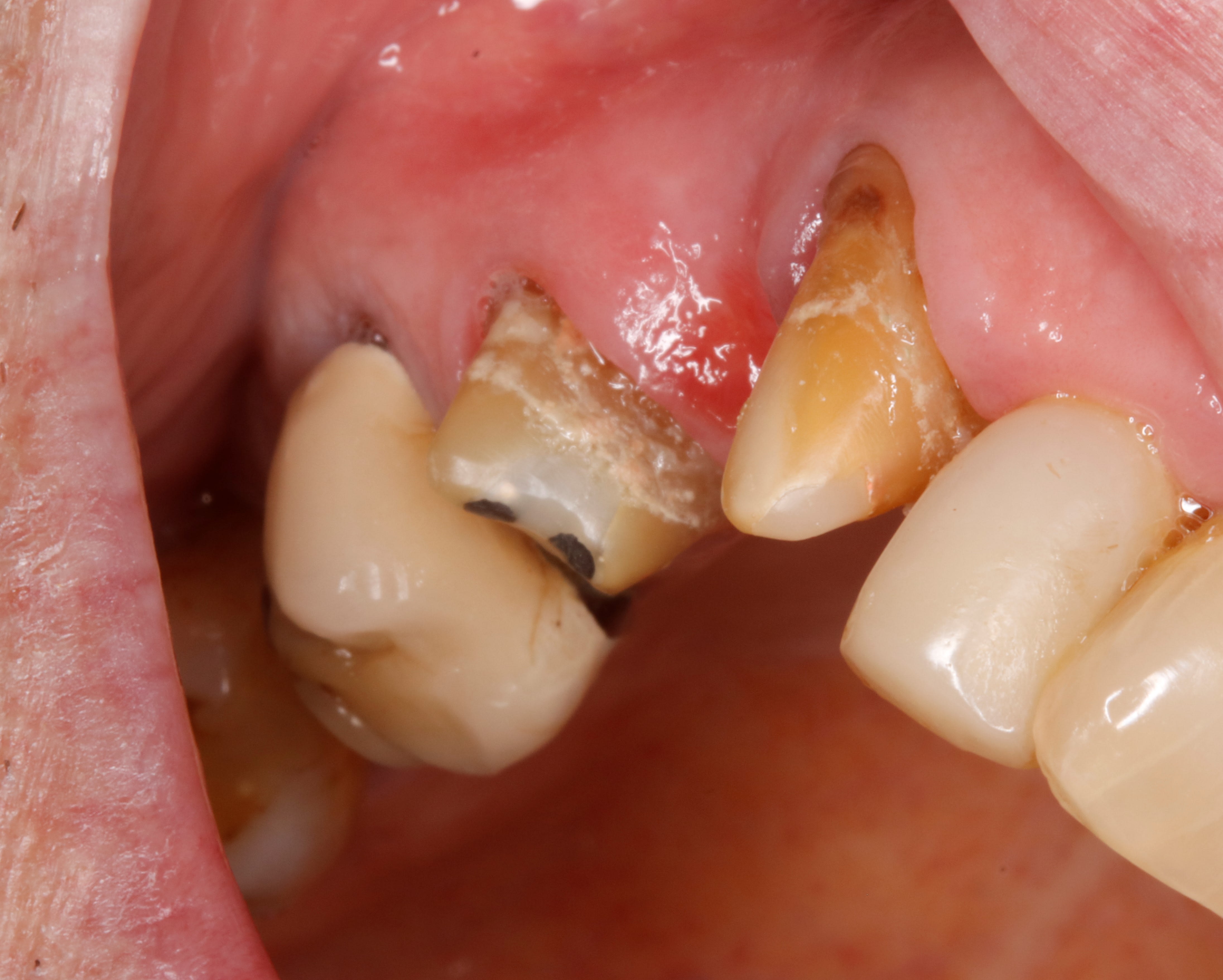
il était bleu vert canard , la face linguale rognée , alors on en profite pour faire le ménage , et la laisser sans prov pour assainir .
voilà la photo la semaine d apres , le jour de l empreinte . ç est relativement propre /avant .

 mg 2156 v3lhe7 - Eugenol

Vw campersurfvan bmnk1q - Eugenol
enlaye

04/12/2020 à 12h56

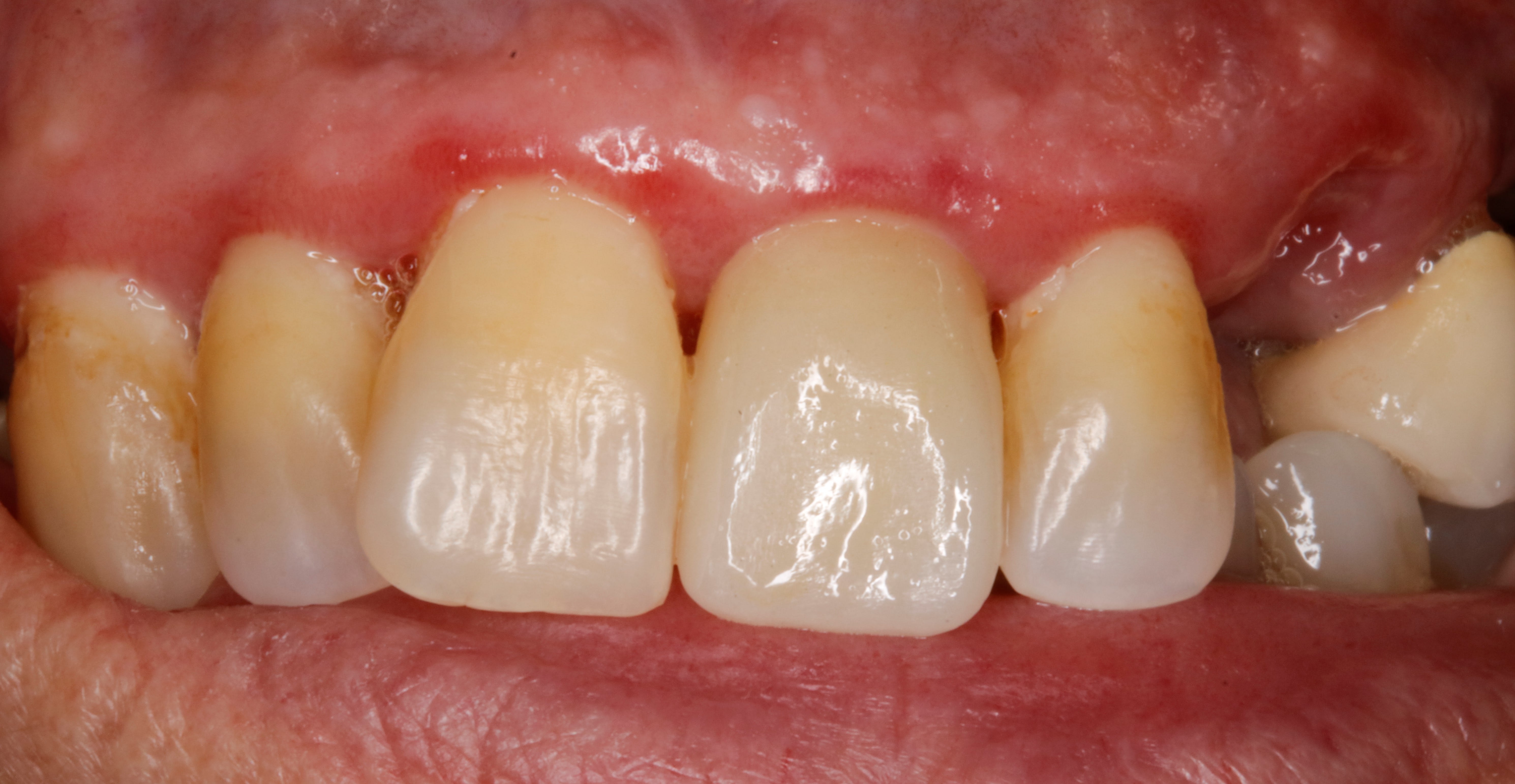
et là c est une semaine après la pose de la zircon full

 mg 2162 h3gix9 - Eugenol
 mg 2163 y3ynum - Eugenol

Et la 21 de traviole c'est la punition pour les 13 ans de retard ?

;-)

 mg 2162 h3gix9 wkvfvc - Eugenol

Vw campersurfvan bmnk1q - Eugenol
enlaye

04/12/2020 à 13h22

la 12 plutôt non ? faut qu elle soit tordue un peu sinon c est louche .
d ailleurs je vais te l envoyer apres avoir enlevé la 24, pour sa ppa ( pap comme ils disent ici ? ) raco .
comme ça tu pourras lui faire un prov amovible définitif édition 2021.


Capture d écran 2018 05 16 à 21.30 - Eugenol
Daryl

04/12/2020 à 13h36

J'adore le réglage d'occlusion à 77 ... mais tu pourrais le faire à 83, lieu de ton département ;-)
je le fais à 269 et pourquoi me diras tu ??
Passequ'il vaut être 2 pour faire un 69 ;-))


Nouveau image bitmap fz77zh - Eugenol
Sethef

04/12/2020 à 14h43

C'est beau maintenant les full.


Vw campersurfvan bmnk1q - Eugenol
enlaye

04/12/2020 à 14h56

dégradé dans la couleur et dans la dureté . galette Orodent .


Bebe 038 nf8eum - Eugenol
danteyeah

05/12/2020 à 06h58

T’es qu’un voleur. Fallait refaire une provisoire à 60€ pour 13 ans supplémentaires......tu vides impunément les bourses de sa moutouelle...c’est vilain 🤑


Vw campersurfvan bmnk1q - Eugenol
enlaye

05/12/2020 à 08h23

ouaip , suis meme un p'titenc... pcq je sais pertinemment qu avec la zircon , je lui donne 4 ans max à cette dent , alors qu avec une Richmond je lui donne 10 ans , et un prov encore 13 ans !! :-)) .

meme si cette zircon a une dureté dégradée , comme c est une centrale , la partie plus molle se trouve au niveau du bord libre , ce qui n est pas assez bas pour une centrale . pour bien faire il faudrait une usure possible juste au dessus du niveau du cingulum .
mais ça , on le sait tous les 2 ( et d autres aussi ) ç est ce qui nous rend fou :-(


Édouard62

05/12/2020 à 09h46

Hello, c'est quoi réglage occlusal 77euros???


TA2

05/12/2020 à 11h42

Édouard62 écrivait:
---------
> Hello, c'est quoi réglage occlusal 77euros???

C'est pour boire ;o))


Vw campersurfvan bmnk1q - Eugenol
enlaye

05/12/2020 à 12h51

Oui c est un peu ça :-))
Pourquoi 77 ? Pcq c est un nombre qui me va bien . Quand je dis 77 j'me sens bien , ça sort facile . Tout est à 77 :-) y a 12 aussi que j aime bien , mais 12 c est pas assez :-)))


Vw campersurfvan bmnk1q - Eugenol
enlaye

05/12/2020 à 12h59

Édouard62 écrivait:
---------
" Hello, c'est quoi réglage occlusal 77euros??? "

Haaa enfin ! Je l attendais cette question .
C en etait meme le but de ce post :-)
Et je remercie Daryl de l avoir sentit avec son 69 :-)


Nouveau image bitmap fz77zh - Eugenol
Sethef

05/12/2020 à 13h21

enlaye écrivait:
------

>
> meme si cette zircon a une dureté dégradée , comme c est une centrale , la
> partie plus molle se trouve au niveau du bord libre , ce qui n est pas assez bas
> pour une centrale . pour bien faire il faudrait une usure possible juste au
> dessus du niveau du cingulum .

Je m'étais bien dit ça. Mais vu le recouvrement, elle va plutôt virer vers l'avant que péter à mon humble avis.
N'empêche.. Le problème, c'est que si je propose ça pour remplacer les ferrailles en postérieur, ils vont tous vouloir remplacer les ceram aussi, et je vais devoir doubler le prix de l'endo. On s'en sort pas...


Vw campersurfvan bmnk1q - Eugenol
enlaye

05/12/2020 à 18h07

Édouard62 écrivait:
---------
" Hello, c'est quoi réglage occlusal 77euros??? "

c a dire que lorsque j ai scellé la couronne , eh bien , elle ne pouvait plus fermer la bouche , la bonne femme .
alors son mari n etait pas content , il m a dit " deja qu elle parle trop , là si elle ne peut plus la fermer on s en sort plus "
et ça c est con , tu me l accorderas , alors j ai eu une idée , et si je lui coupais un peu la dent d en face ?. enfin un peu , bien 3mm quand même , hein .
donc les 77 euros ce n est pour le temps que ça m a pris , hein , ç est pour l idée ! :-)))
c 'qu il y a c est que je suis plein d idées comme ça , alors le 77 ç est à tout le monde .
et même que parfois c est 10 fois plus :-)))


mla2

05/12/2020 à 18h18

enlaye le sarcastique.. ça pique(à raison )


vintagescope

05/12/2020 à 18h30

L'inlay core est vraiment pas cher !


Vw campersurfvan bmnk1q - Eugenol
enlaye

05/12/2020 à 18h45

.oui mais ce n est pas le propos .
ce qui est important ç est que le fait de faire une full zircon ou full@max sur une centrale sans céramique sur sa face palatine est très dommageable .
de la même façon que lorsqu on met une full ou une métal sur une dent terminale .


Bebe 038 nf8eum - Eugenol
danteyeah

05/12/2020 à 23h12

Bah tout le monde s’en fout maintenant , au final ce qui est chiant c’est de savoir....encore quelques années et on fera de bon politiciens ;-)


Vw campersurfvan bmnk1q - Eugenol
enlaye

15/01/2021 à 16h53

dans le même style des trucs temporaires que tu fais et que t' oublies il y a le temp bond .
un bridge canine - prémo sellé au temp bond , ça tient 7 ans pas plus :-)

 mg 2227 za9h4c - Eugenol
 mg 2228 ydqsxq - Eugenol

Vw campersurfvan bmnk1q - Eugenol
enlaye

15/01/2021 à 16h55

un petit coup de brossette et c est reparti

 mg 2230 elmr46 - Eugenol

Capture d écran 2018 05 16 à 21.30 - Eugenol
Daryl

15/01/2021 à 17h03

enlaye écrivait:
------
> un petit coup de brossette et c est reparti

C'est pas passe que c'est Vendredi , qu'il faut débandeur le Ferrailleur !!
Tu recolles rien... tu proposes du neuf, de l'éclatant, du magique, du gratuit ;-)


Capture d écran 2018 05 16 à 21.30 - Eugenol
Daryl

15/01/2021 à 17h04

Sans contrainte occlusale, ça dure longtempsssssssssss le Temp Bond... Bravo pour tes belles années !!