Cookie Consent byPrivacyPolicies.comImage - Eugenol

Image

Jack 2 wm3tqs - Eugenol
Treponem

10/12/2020 à 15h53

Salut,
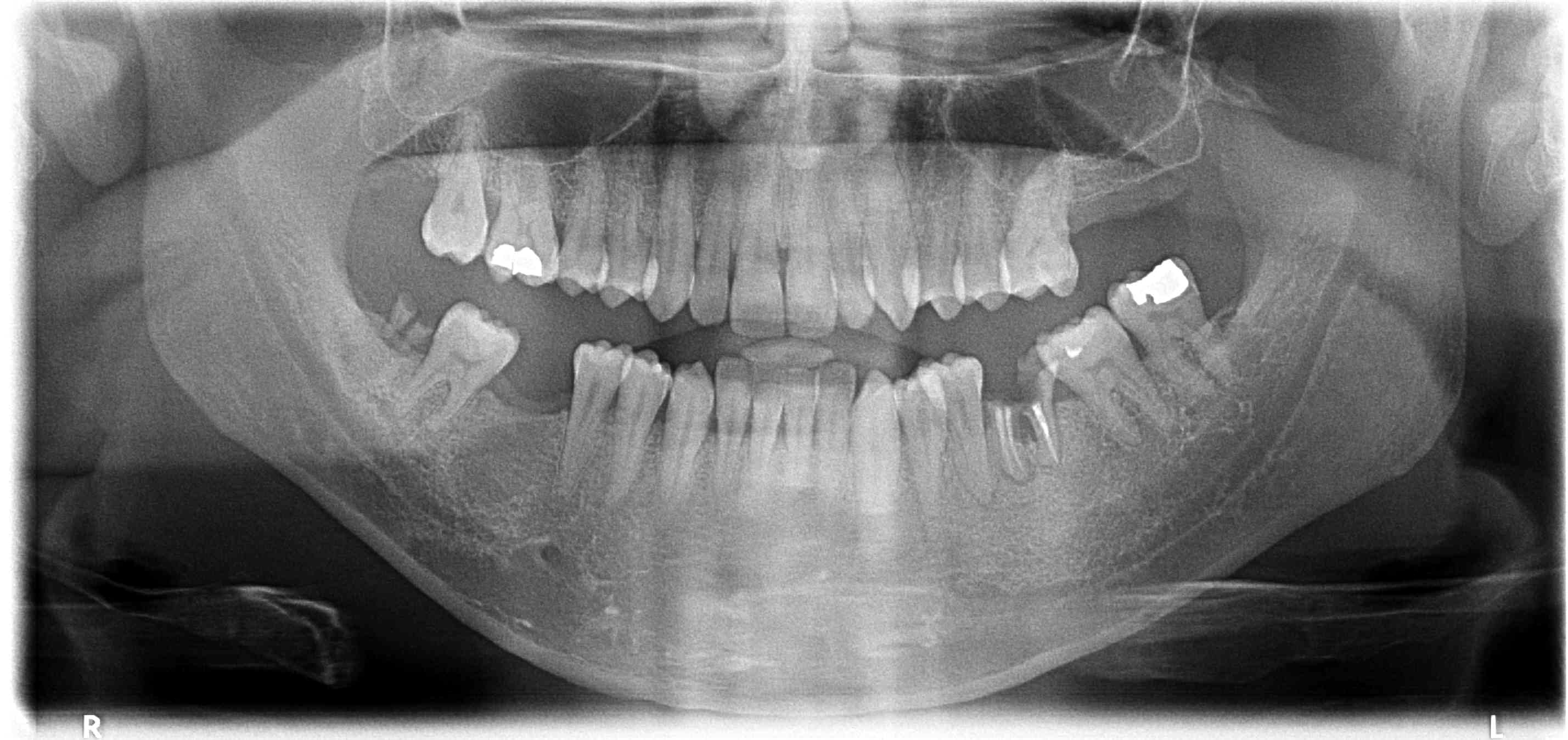
Patient 40, revu aujourd'hui après disparition dans la nature, en urgence pour douleurs sur 38.
Dent mobile douloureuse à la percu, sans antagoniste, je dirais nécrosée, décision est prise d'extraire.
Anesthésie, pas de contact osseux mais vraiment pas ... je me dis grosse infection, on continue ..., extraction sans gros problème. Mais je me dis que c'est quand même louche, je refais une retro un peu plus distale, j'y vois pas grand chose de plus, alors je fais une pano (moisie, je sais pas top le matos) et là, l'image n'est quand même pas nette, nette ... (j'aime pas les lobules).
J'ai envoyé à l'hosto. Vos avis ? Evolution rapide si c'est un truc qui sent pas bon, non ?
La première pano est celle d'il y a un an, la deuxième, celle du jour après exo de 38.

Xirmqnxibxoprguitgca - Eugenol
Ijj1paax2shvcmtwky6e - Eugenol
K3wlfrhfffozepngwmby - Eugenol

Nouveau image bitmap fz77zh - Eugenol
Sethef

10/12/2020 à 20h36

Quand on a le nez dessus, on voit un truc en distal, l'année dernière. C'est pas bien joli effectivement.
Etat de santé général du patient? Fumeur buveur? Traitements en cours?


Jack 2 wm3tqs - Eugenol
Treponem

10/12/2020 à 22h38

40 ans, tabac ++, Pas de traitement, Pas d'intox alcoolique.
Oui, j'ai eu la même réaction quand je suis revenu sur la pano d'il y a un an, en me disant merde, je suis passé à côté de quelque chose. Mais pas flagrant.


Nouveau image bitmap fz77zh - Eugenol
Sethef

10/12/2020 à 23h16

Grosse perte osseuse, sur un contexte tabac, 8 nécrosée+poche distale, hygiène pas dingue... ça peut.
40 ans, c'est quand même bien jeune pour un cancer orl.
J'aurais probablement adressé également, mais sans trop savoir à quoi m'attendre.
J'ai eu une fois des images un peu similaires, plus volumineuses; un diag de dysplasie fibreuse avait été posé, pas de conséquence hors surveillance pour la patiente;
Je reverrais quand même à 2 semaines après ex, pour vérifier la fermeture du site.


Photo pluton1b h9n4ea - Eugenol
pluton

11/12/2020 à 07h07

Sethef écrivait:
------

> 40 ans, c'est quand même bien jeune pour un cancer orl.

tu devrais en parler avec la "gamine" de 24 ans sans facteurs de risques que j'ai envoyé aux urgences orl il y a 3 ans (kc de la langue....)


Nouveau image bitmap fz77zh - Eugenol
Sethef

11/12/2020 à 10h47

Bien sûr, tout est possible. Néanmoins, 90% des cancers orl, c'est alcoolo tabagique entre 50 et 70. Heureusement d'une certaine manière.

Je le répète, même si en me relisant ce n'est pas si clair, on ne peut à mon sens pas exclure qu'il s'agisse (juste) d'une belle lésion endo paro; l'aspect n'est pas beau, mais j'en ai déjà vu un paquet de cette taille là.

En vrai, si je n'avais aucune notion de contexte, l'image m'aurait évoqué en premier lieu une ostéo nécrose. Mais là, rien ne colle.


Nouveau image bitmap fz77zh - Eugenol
Sethef

11/12/2020 à 10h47

pluton écrivait:
------
> Sethef écrivait:
> ------
>
> > 40 ans, c'est quand même bien jeune pour un cancer orl.
>
> tu devrais en parler avec la "gamine" de 24 ans sans facteurs de risques que
> j'ai envoyé aux urgences orl il y a 3 ans (kc de la langue....)

Ca s'est fini comment?


Photo pluton1b h9n4ea - Eugenol
pluton

11/12/2020 à 14h12

c'est pas encore fini....mais çà va finir mal....
il lui reste une demi langue
je l'ai envoyé vraiment au tout début à peine stade 1....elle est maintenant en T3....


Nouveau image bitmap fz77zh - Eugenol
Sethef

11/12/2020 à 14h33

Quand je lis ça, je suis content de gratter du chicot.


Photo pluton1b h9n4ea - Eugenol
pluton

11/12/2020 à 16h49

Elle était venue en urgence pour un "aphte" sur la langue qui guérissait pas....
t'ain çà fout les boules, je l'ai suivi depuis gamine en ODF et là elle vient pas pendant 3/4 ans et bim....
j'ai même eu le chir maxillo au tel qui m'a félicité de ma réactivité....m'a dit que je lui aurait "sauvé la vie"....aux vues de la tournure des évènements, j'en suis pas certain.....


Nouveau image bitmap fz77zh - Eugenol
Sethef

11/12/2020 à 17h35

J'ai un cousin pédiatre, à l'époque de son internat, il se dirigeait vers une spé en onco pédiatrique; tout le monde lui demandait pourquoi, il répondait qu'il fallait bien que quelqu'un le fasse.

En bout de course, il est revenu à de la pédiatrie libérale; je ne lui ai pas demandé la raison, mais je sais que j'aurais fait le même choix.


Jack 2 wm3tqs - Eugenol
Treponem

28/04/2021 à 16h31

Après avoir essayé en vain de joindre le patient pour avoir des nouvelles, n'ayant aucun compte rendu de l'hôpital, celui ci appelle pour reprendre RDV. Je prends le téléphone afin d'avoir des nouvelles et il m'annonce tout content que ce n'est pas un cancer, mais que c'est un truc en ... blome d'après les analyses. Je lui dis "améloblastome" (ma grosse inquiétude au départ, image lobulée, situation ... ), il me dit "oui, je suis rassuré", et bien pas moi, mais je n 'ai pas voulu le plomber. J'attends toujours le compte rendu officiel. Apparemment, curetage a été réalisé, et contrôles réguliers ... Je ne sais plus quoi penser.


Jack 2 wm3tqs - Eugenol
Treponem

24/02/2023 à 08h55

Revu le patient aujourd'hui, ça semble pas vilain, je pensais le pronostic de l'ameloblastome plus méchant que ça.


Jack 2 wm3tqs - Eugenol
Treponem

24/02/2023 à 08h58

photo

Jhrzyui9cre7ox5i073kb2c7zmwf - Eugenol