Cookie Consent byPrivacyPolicies.comarchéologie implantaire - Eugenol

archéologie implantaire

Photo pluton1b h9n4ea - Eugenol
pluton

16/12/2020 à 17h01

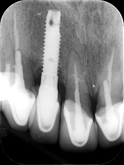
pour une fois, j'ai besoin de vous....enfin des plus anciens nonoliens poseurs de clous....
cet implant à été posé il y a plus de 20 ans (voir 30....) ainsi que ces petits copains mandibulaires....et justement le bas est à refaire, mais ce cliché est le plus mieux bien pour une identification....
si vous avez croisés ce type d'implant et que vous vous souvenez de ce que c'est, çà m'aiderais.....car pour l'instant, je n'ai rien trouvé dans tous les moteurs de recherche implantaire que je connais....
dans les caractéristiques, il y a ces trous apicaux....

Qw9wf54j4oxvlagp861w - Eugenol

Et7jtaj0pdi18gzjlxjiamlx15gs - Eugenol
Prunelles

16/12/2020 à 17h17

pluton écrivait:
------
> pour une fois, j'ai besoin de vous....

Une phrase qui restera dans les annales.


Tant que c'est la phrase ...


vernal

16/12/2020 à 17h23

Il me restait une seule certitude dans ce monde ici bas ! Elle vient de disparaître !!


Trop bidon ce Pluton, même pas cap' de reconnaitre un implant à partir d'une radio, en plus c'est même pas une pano ou une photo pourrave d'écran, pfff trop nul !


MF12

16/12/2020 à 19h06

pluton écrivait:
------
> cet implant à été posé il y a plus de 20 ans (voir 30....)

Branemark ?


Photo pluton1b h9n4ea - Eugenol
pluton

16/12/2020 à 19h14

MF12 écrivait:
----
> pluton écrivait:
> ------
> > cet implant à été posé il y a plus de 20 ans (voir 30....)
>
> Branemark ?

Avec cette connexion interne???? je n'y crois pas...on dirait plus une connexion type 3i....mais jamais vu avec une zone apicale comme çà


Vw campersurfvan bmnk1q - Eugenol
enlaye

16/12/2020 à 22h42

avec des trous ça finissait tj par vent , comme scew vent , core vent , dissolvent et vent d' ouest ... :-)


Olieve

16/12/2020 à 23h14

Le branemark MKI avait un apex très ressemblant tout de même.
https://www.spotimplant.com/fr/implants-dentaire/branemark/branemark-mk-i
Pour la connection, pas évident de dire si c’est interne ou externe. C’est une latérale, donc probablement un implant narrow . Ça complique l’identification de la connection.

5e9f1cd8 8297 413e b166 7de9da2c150b xtuo9m - Eugenol

Photo pluton1b h9n4ea - Eugenol
pluton

17/12/2020 à 11h22

Non Olieve, c’est pas ça....impossible

Mais bon, comme il faut toujours compter que sur soit même...je l’ai finalement trouvé cet implant préhistorique 😂

C’est un vieux Serf EVL qui n’avait pas encore les microspires au col....comme sur l’EVL N que je connais

https://www.spotimplant.com/fr/implants-dentaire/serf-implanter-innovation/serf-implant-evl


Trop fort ce Pluton, jamais douté :-)))


Photo pluton1b h9n4ea - Eugenol
pluton

17/12/2020 à 12h15

ℙ𝕖𝕣𝕧𝕖𝕣𝕤 ℙé𝕡è𝕣𝕖 écrivait:
--------------
> Trop fort ce Pluton, jamais douté :-)))

Tu vois....pas besoin d annales, même avec un seul n .... 😂



> Tu vois....pas besoin d annales, même avec un seul n .... 😂


Non mais l'anal a ses besoins. 💩

Oulaaaah, je sors, enfin ... je m'en vais.


MF12

17/12/2020 à 15h59

Pluton... c'est pô le copain à Mickeyn et à Daisyn ?


vernal

18/12/2020 à 11h37

Ma certitude est revenue ! Peut-être que Dieu existe, après tout.