Cookie Consent byPrivacyPolicies.combridge de longue portée - Eugenol

bridge de longue portée

Img 0812 mvp6i0 - Eugenol
jeamba

28/12/2020 à 16h23

Bonjour.
Quelqu'un peut trouver dans ses archives radio ( rétro ou pano) des bridges de longue portée, avec deux ou trois inter qui sont toujours là depuis une dizaine d'année ou plus? Par exemple un bridge de 3 à 6 ou de 3 à 7 avec deux ou trois dents piliers. C'est important. Merci de votre aide.


humator2

29/12/2020 à 07h34

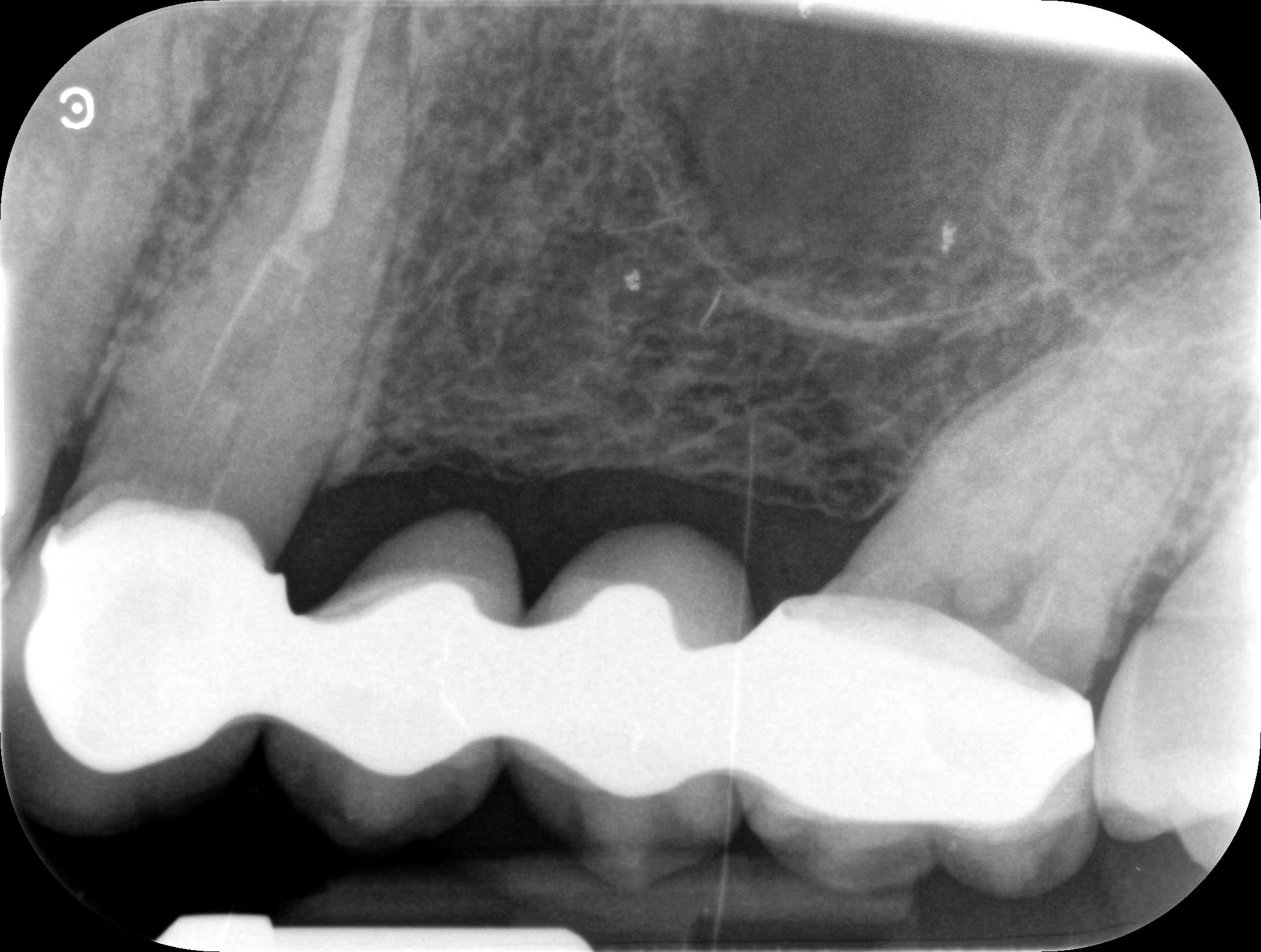
Ce viaduc, j'ai du le faire en 2008. depuis j'ai implanté secteur 4 et anterieur sup, mais il était toujours là en 2019...
Si ça peut te servir...

Pano ftelhg - Eugenol

Img 0812 mvp6i0 - Eugenol
jeamba

29/12/2020 à 07h46

Merci humator pour ta réponse et joyeuses fêtes.


Morgan ztbb1b - Eugenol
BONNET jc

29/12/2020 à 17h39

Il y a quand même beaucoup de données que l'on n'a pas : absence de radio, dents piliers solides ou non, pb paro, bruxisme, tabac ,âge du patient, hygiène... C'est quand même un cas difficile, ouvre le parapluie. Tu as proposé des implants? Dans le cas de Humator2, tu as 4 piliers pour 3 inters.


Img 0812 mvp6i0 - Eugenol
jeamba

29/12/2020 à 17h46

Non, ça n'a aucun rapport. Il s'agit d'une expertise sur un patient. J'ai proposé un bridge de 13 à 27, avec 14 et 16 comme inter. 13, 15 et 17 sont en bon état. L'expert qui est stomato et spécialisé en orthodontie me confirme que ce bridge n'est pas pérenne. Alors ayant croisé beaucoup de bridges de longue portée dans ma carrière je voulais lui montrer que son affirmation est fausse. Je voudrais étayer mon raisonnement par des radios. Je n'en trouve pas dans mes fiches patients récents. Je sais que j'en ai mais mes recherches sont difficiles. D'où ma demande de ces cas qu'on a tous et qui tiennent des années.


Morgan ztbb1b - Eugenol
BONNET jc

29/12/2020 à 17h52

13 à 17 j'imagine. Avec 13, 15 et 17 en piliers, si les dents sont en bon état, ce n'est pas un bridge de grande étendue. Le stomato, il a déjà fait des bridges?


TA2

29/12/2020 à 17h54

jeamba écrivait:
------
. J'ai
> proposé un bridge de 13 à 27, avec 14 et 16 comme inter. 13, 15 et 17 sont en
> bon état.


Bon ben là tu devrais te faire aidé ! ;o))


Img 0812 mvp6i0 - Eugenol
jeamba

29/12/2020 à 17h58

C'est la question que je lui poserai. Et ce Brest pas tout. J'ai ka 13 qui a un puff, sans signes cliniques, il me reproche e ne pas avoir réalisé une résection apicale qu'il a demandé et que j'ai refusé de faire. Je vais aussi lui demander s'il en a fait beaucoup de traitements canalaires. Maus ne connaissant pas les risques de ces expertises, je ne sais pas si je lui rentre dedans ou je garde mes réflexions. Car au final il a le rapport décisif de l'expertise.


Img 0812 mvp6i0 - Eugenol
jeamba

29/12/2020 à 18h00

Oui je sais. J'ai l'avocat de mon assurance et je sais que je ne risque rien. Je peux même me faire représenter. Mais l'avocat n'y connaît rien et je ne souhaite pas laisser un stomato le dicter mes plans de traitement.


TA2

29/12/2020 à 18h09

S'il te plais relis juste déjà ta proposition ;o)))

C'est juste pour ta crédibilité ou pas , avocat ou pas , résection ou pas etc ....


Img 0812 mvp6i0 - Eugenol
jeamba

29/12/2020 à 18h28

Je ne comprends pas ce que tu veux dire TA2


TA2

29/12/2020 à 18h31

jeamba écrivait:
------
. J'ai proposé un bridge de 13 à 27, avec 14 et 16 comme inter. 13, 15 et 17 sont en
> bon état.

Peut etre que c'est moi ! l'age , l'alcool et le reste . Mais j'ai comme un doute .... ;o)


Morgan ztbb1b - Eugenol
BONNET jc

29/12/2020 à 18h40

jeamba écrivait:
------
> Je ne comprends pas ce que tu veux dire TA2
13 à 27 pour un bridge, c'est un bridge de grande étendue!


Gabzou

29/12/2020 à 18h53

T'as mélangé 17 et 27, c'est çà la remarque de TA2.

On te reproche quoi et on te réclame quoi exactement?
Il doit y avoir une doléance précise du patient pour qu'il y ait expertise.
Expertise juridique ou assurantielle?
Parce qu'un patient asymptomatique qui voulait une résection et qui ne l'a pas eu, çà ne devrait pas mener à une expertise. Et l'expert ne doit se prononcer que sur les éléments concernés par la demande. Si on lui pose la question de la nécessité de résection, il n'a pas à se prononcer sur le bridge au dessus si çà n'a pas de lien ou d'impact.


Img 0812 mvp6i0 - Eugenol
jeamba

29/12/2020 à 19h06

C'est trop long et trop compliqué. Le patient est en procès contre son ancien praticien et moi j'ai repris les travaux demandés par l'expert de mon patient qui en fin de travaux a redemander a l'assurance adverse des dommages et intérêts pour préjudices. Et c'est l'assurance adverse qui a redemandé à l'expert le compte rendu de mes travaux. Mon plan de traitement du départ je l'ai modifié car je ne voulais pas sacrifier des dents pour poser des implants. Et c'est donc la partie adverse à travers de l'expert qui reattaque pour ne pas payer. Je ne veux pas m'etetniser, ce n'est pas le sujet. Je demande uniquement des radios pour étayer ma décision devant un expert qui est stomato et qui n'y connaît rien mais se permet de critiquer beaucoup de points.


Gabzou

29/12/2020 à 20h26

Ok, merci pour les infos. C'est instructif.
Moche de constater que même en faisant un travail correct après feu vert d'un expert on peut quand même se retrouver embarqué dans ce genre de choses.

Si tu n'es pas trop pressé, il y a de bonnes chances que je trouve des radios pour toi lundi ou mardi.


Img 0812 mvp6i0 - Eugenol
jeamba

29/12/2020 à 20h41

Merci Gabzou. En fait je n'avaus aucune connaissance de ce genre de procédures et si je savais quel genre de tracas ça apporte, jamais j'aurais accepté de soigner ce patient avec qui j'ai beaucoup sympathisé. Je précise que je peux tout à fait ne pas aller au tribunal et mon assurances paye, mais je refuse de laisser des abrutis décider des choses qu'ils ignorent et charger injustement mon assurance qui ne sait pas se défendre.


120 81 mdkvjo - Eugenol
Monaco

30/12/2020 à 04h32

Pays de dingues ....


burnax

30/12/2020 à 08h36

secteur 4, en 2005
secteur 3, en 2012

Pas de grande portée, mais ça tient, même si ça sent le sapin à droite

P1 e6nmri - Eugenol
P10 sgyxbt - Eugenol

Img 0812 mvp6i0 - Eugenol
jeamba

30/12/2020 à 08h41

Merci burnax. Nous ne sommes pas des équilibristes, mais semer le tirage dans la bouche des patients est devenu une monnaie courante aujourd'hui. Ce dont on doit se rappeler c'est qu'une dent effectivement condamnée est remplacée par un implant, mais un implant perdu est très souvent remplacé par une prothèse mobile. D'où nos choix raisonnés de sauvegarder les dents de nos patients, même parfois les dents douteuses. C'est ma philosophie aujourd'hui.


jeamba écrivait:
------
>Et ce Brest pas tout...

> mais semer le tirage dans la bouche des patients est devenu une monnaie courante aujourd'hui.

?????

P'tits problèmes de relecture après la correction auto ?


Img 0812 mvp6i0 - Eugenol
jeamba

30/12/2020 à 09h21

Désolé. Je voulais écrire le titane


fgui

30/12/2020 à 12h30

Cela a été posé il y a 26 ans, j'ai tout l'historique si tu as besoin avec les radios à l'origine.
je dois avoir beaucoup de cas comme cela au moins pour ceux qui ne sont pas morts, je peux chercher si cela n'est pas trop urgent.

Ci3 lfhk1c - Eugenol

Img 0812 mvp6i0 - Eugenol
jeamba

30/12/2020 à 12h34

Merci fgui pour ton aide. Joyeuses fêtes.


fgui

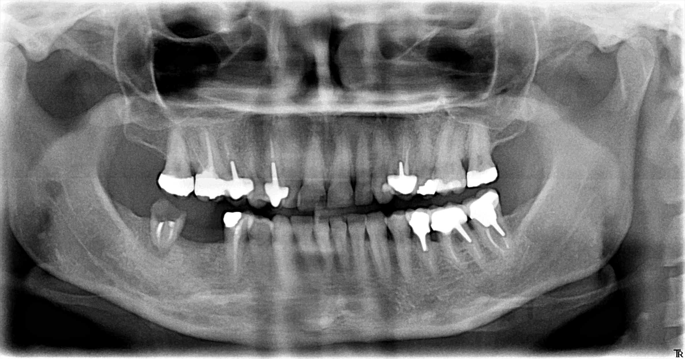
30/12/2020 à 12h54

Un bridge complet qui a plus de 30 ans 4 inters 12 22 et une petite reprise chirurgicale il y a deux ans je peux te faire un pano si tu veux après les fêtes.

R3 ekemiy - Eugenol
R4 mup9ae - Eugenol
Ci7 y8lye6 - Eugenol

12