Cookie Consent byPrivacyPolicies.comHiroshima!!! Aide pour plan de traitement prothetique - Eugenol

Hiroshima!!! Aide pour plan de traitement prothetique anterieur

Gonzo k0qhwz - Eugenol
matten

26/01/2021 à 13h08

Hello!
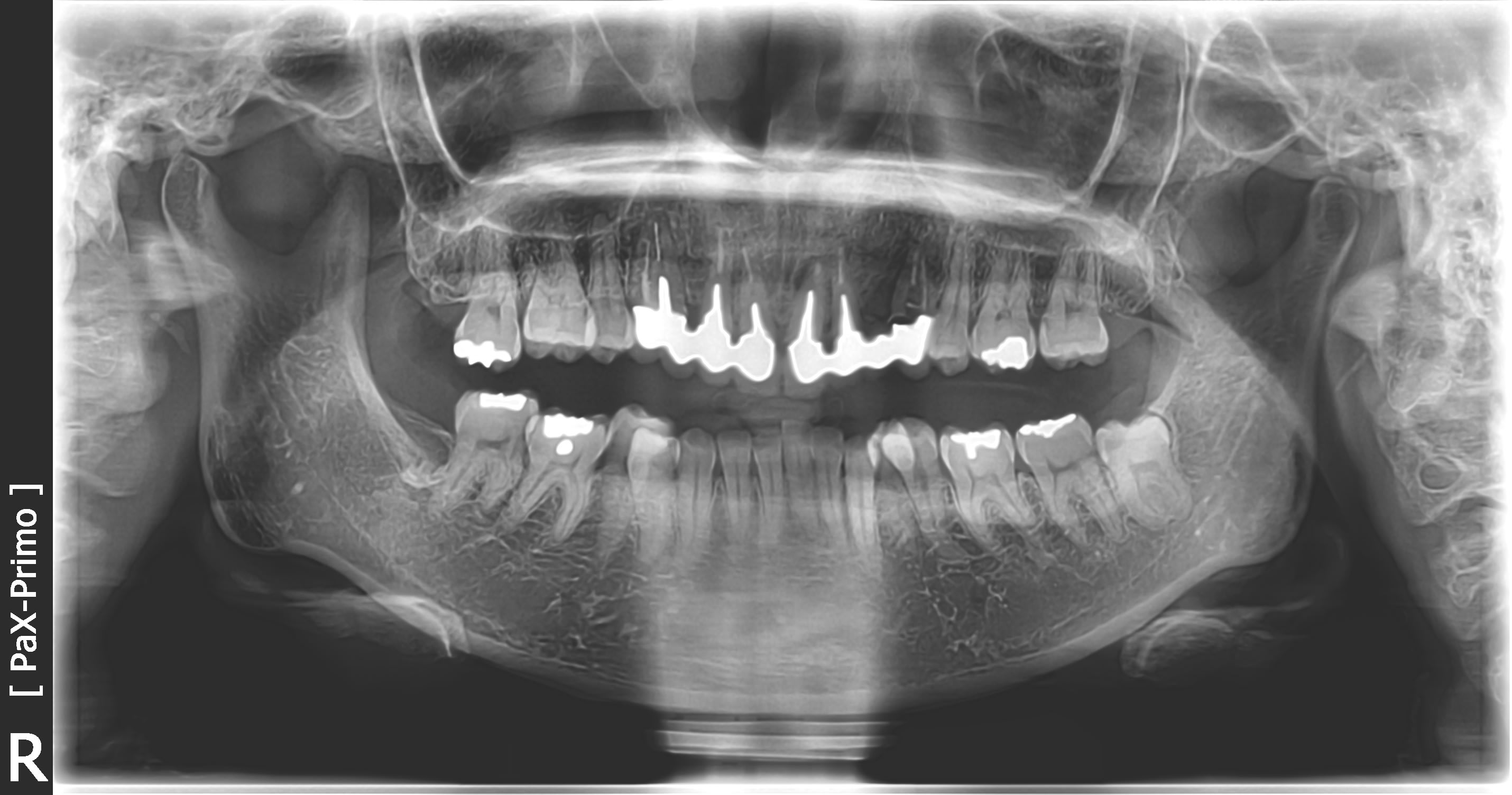
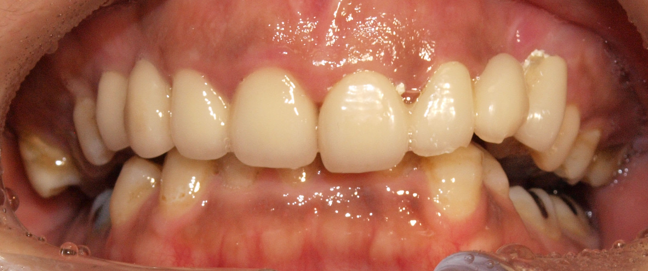
Patiente Japonaise avec bridge 21-24 qui se balade comme ca depuis 3-4 ans.
J'ai juste temporise en recollant aux carboxylates.
La patiente est en overbite severe.
Vous proposeriez quoi pour avoir qq chose de fiable dans le temps (au moins 10 ans...)?

Je pense a lever l'overbite deja, au moins avec des cales composites en posterieur.
Ensuite vue la perte osseuse sur 24 en mesial c'est pas evident...
J'imagine que l'ideal c'est 3 implants et bridge dessus non? avec le risque esthetique niveau ligne des collets entre 11-21 qui s'en suivra.

Merci pour votre experience!

Ylebimo1i9zprjj8sldp - Eugenol

TA2

26/01/2021 à 13h17

Une photo ? Parce a priori des canines prothétiques grains de riz ( sans doute son origine ;o)) ou bien des extractions d'incluses non compensées ) . En fait si le coté droit est moche c'est dommage de le reproduire à gauche .

Désolé c'est juste en premier ce qui me vient à l'esprit pour l'instant .


Gonzo k0qhwz - Eugenol
matten

27/01/2021 à 14h39

Occlusion masquant totalement les incisives mandibulaires

P1273386 nic6im - Eugenol

Gonzo k0qhwz - Eugenol
matten

27/01/2021 à 14h40

gauche

P1273390 o01gyf - Eugenol

Gonzo k0qhwz - Eugenol
matten

27/01/2021 à 14h40

droite

P1273389 cnwlna - Eugenol

Gonzo k0qhwz - Eugenol
matten

27/01/2021 à 14h42

Je pensais faire au moins des cales compo en posterieur pour liberer le secteur incisivo canin.
J'ai revu la patiente ce matin et en tous les cas la racine de 24 n'est pas du tout mobile. 21 et 22 non plus.


Vw campersurfvan bmnk1q - Eugenol
enlaye

27/01/2021 à 18h18

c est la 45 qui a causé des sushis , dans un premier temps je la mettrais en grave sous occ et après ( au moins 1 semaine ) enregistrement de la centrée pour montage sur articulateur afin de déterminer ta hauteur prothétique nécessaire


mla2

27/01/2021 à 19h30

je ne suis pas du tout d'accord avec cette approche prothètique only, je voudrais bien que mattenn donne des élements de contexte complémentaires à la reflexion initiale, je lui ai envoyé un mp en ce sens (pavé comme dit sethef😄) on verra si une discussion est possible avec des philosophies differentes.


TA2

27/01/2021 à 19h37

enlaye écrivait:
------
> c est la 45 qui a causé des sushis , dans un premier temps je la mettrais en
> grave sous occ et après ( au moins 1 semaine ) enregistrement de la centrée
> pour montage sur articulateur afin de déterminer ta hauteur prothétique
> nécessaire

C' est pour cela que tu justifierais les fractures de ceram sur 22/23 ?


Vw campersurfvan bmnk1q - Eugenol
enlaye

27/01/2021 à 19h40

A mon avis sa dvo est bonne comme chaque fois , c est le plan d occlusion qui ne va pas .
On ne voit pas le bord libre des incisives du bas , c est dommage pcq c est le bord libre des incisives du bas qui sont le depart de toute reflexion avant grande reconstruction .


Vw campersurfvan bmnk1q - Eugenol
enlaye

27/01/2021 à 21h57

enlaye écrivait:------
" c est la 45 qui a causé des sushis "
TA2 écrivait:---
"" C' est pour cela que tu justifierais les fractures de ceram sur 22/23 ? ""

ouiii , tu vois quand tu veux :-)))


Vw campersurfvan bmnk1q - Eugenol
enlaye

27/01/2021 à 23h33

au depart la 23 devait etre tres vestibulée ( si elle etait sur l arcade ) et les centrales en papillon avec chevauchement .
tout le secteur ant 20 a été rentré de meme que la courbure générale .
à tout les coups elle ferme avec un préférence par le coté droit avec un sur guidage en verrouillage ( en fin de mouvement ) sur le secteur 20 . il est donc interférant .
à cela tu rajoutes un sur contact cingulaire prothetique sur les centrales + sur 22et 23 .
je dis ça pcqu il y a des ic et que dans les cas de recouvrement , ç est tres tres rare qu il y ait la place de passer des ic + armature de bridge .
ce bridge a été fait pour des raisons esthétiques et ne doit pas être vieux .
encore une fois ce sont les incisives du bas , reliques du passé qui doivent déterminer l angulation des incisives du haut .
et c est là que tu détermines si tu vas ou pas relever derrière pour proteger tes incisives du bas :
soit tu peux faire un montage du haut plus ant , plus redressé tout en laissant de la place aux dents du bas et ç est bon
soit meme en avançant le haut , tu ne pourras pas reconstruire le bas d une façon fonctionnelle ou pcq le haut serait tres moche , alors tu décideras d augmenter la dvo .
mais , TU NE PEUX PAS augmenter la dvo si tu ne couronnes pas TOUTES les dents .
et il faut bien comprendre qu avant elle etait moche , qu elle l est tjs ( lorsqu elle perds son bridge au restau ), que tu es le 2 eme à passer dessus et qu au mieux , en lui rendant ses fonctions , elle redeviendra moche .
voilà comme je la sens ton affaire :-))


Gonzo k0qhwz - Eugenol
matten

27/01/2021 à 23h37

Bon en gros je vais lui recoller son bridge tous les 3 mois et puis basta.


Vw campersurfvan bmnk1q - Eugenol
enlaye

27/01/2021 à 23h46

oui ,
niques lui sa 45 bzim bzim , tu vérifies s il n y a pas une crete proximale par ci pas là qui deborde , et dans ce cas bzim bzim et aussi bzim bzim sur les cingulum en sur contacts du bridge .
d abord elle te sera reconnaissante et le bridge tiendra beaucoup plus longtemps . profites d un cas comme ça pour essayer , tu verras tu seras surpris .


Gonzo k0qhwz - Eugenol
matten

28/01/2021 à 00h02

45 en linguo position totale tu veux que je la diminue a pour qu'elle n'ait plus de contacts occlusaux?
Et qu'est ce qui empechera qu'un mois apres elle reegresse et qu'on se retrouve avec la meme situation et une dent taillee en plus?
Et si je taille les cingulums c'est idem les incisives mandibulaires vont encore plus egresser non?


Vw campersurfvan bmnk1q - Eugenol
enlaye

28/01/2021 à 00h09

quand tu vois une premo comme ça en occlusion inverse , et surtout si elle est toute seule en occlusion inverse , eh bien elle joue le rôle de la canine sup du coté opposé :
elle guide la fermeture de la mand qui vient de l autre coté .
or la canine qui sort apres la pm sur l arcade , ( la 23) se place en fonction ( ou ne se place pas du tout d ailleurs elle reste dedans ).
donc si tu crées une 23 " normale " , sans corriger la 45 , elle ne sera pas en accord avec la 45 , et elle sera en opposition .
comme te l as dit TA2 la gauche protège la droite et vice versa .


Gonzo k0qhwz - Eugenol
matten

28/01/2021 à 00h13

Ca je veux bien mais qu'est ce qui fait que si je taille la dent ne va pas reegresser et me retrouver dans la situation de depart


Vw campersurfvan bmnk1q - Eugenol
enlaye

28/01/2021 à 00h20

matten écrivait:
------
" 45 en linguo position totale tu veux que je la diminue a pour qu'elle n'ait plus de contacts occlusaux? "
non , tu supprimes sa fonction de guidage et tu laisses les points d occlusion de fin de mouvements

"Et qu'est ce qui empechera qu'un mois apres elle reegresse et qu'on se retrouve avec la meme situation et une dent taillee en plus?"
non , elle va rester tranquille si tu lui laisses les points d occlusions de fin de fermeture .
et puis attends , un dent estanquée de traviol dans la mand ça bouge pas comme ça . rien que pour l enlever tu as du mal :-)

" Et si je taille les cingulums c'est idem les incisives mandibulaires vont encore plus egresser non? "
du tout , surtout qu elles n ont JAMAIS egressées comme tu le penses :-)
c est le recouvrement cuspidient de toutes les dents du haut ( donc pas que les incisives , hein ) + le serrement qui a crée un resserrement de l arc et donc l encombrement ant , et c est tout le bloc ant avec l os qui a basculé en arriere .
d ailleurs regardes un peu les torus osseux sous le bloc ant .
bon quand ça bascules en arriere ça monte aussi un peu , mais en bloc , ce n est pas comme des dents qui egressent , ç est ce que je voulais dire .


mla2

28/01/2021 à 10h06

-les fractures ceram peuvent aussi resulter de la mobilité du bridge, du fait de l'explosion radiculaire sous jacente, l'axe erroné sur 21 peut aussi participer à une instabilité de la construction.

- si la DVO est bonne (Enlaye plus haut) l'augmenter pour avoir un espace utile à la prothèse ne peut se faire qu'à la marge pour rester pfysiologiquement et esthetiquement acceptable.... ce n'est pas resolutif.

- les courbes occlusales favorisent la plongée pre maxillaire, oui , la solution remonte à la source : comment contrer ce paramètre ? et un alignement des collets alors qu'ilfaut s'attendre à une perte tissulaire post extractionnelle importante.... On ne sait ni si elle decouvre dans le sourire, ni le tonus labial (levres minces non adaptables à une nouvelle ligne de sourire), ni sa phonétique.
D'ou je maintiens qu'il faut plus de paramètres que l'occlusion pour appréhender le cas et ébaucher une ou des pistes de traitement
un cas clinique complet c'est ce qu'il y a de plus interessant sur le Forum, j'espère que Matten ira au bout d'une démarche, d'abord un plan , puis les étapes au fil des mois.....


TA2

28/01/2021 à 10h13

enlaye écrivait:
------
> enlaye écrivait:------
> " c est la 45 qui a causé des sushis "
> TA2 écrivait:---
> "" C' est pour cela que tu justifierais les fractures de ceram sur 22/23 ? ""
>
> ouiii , tu vois quand tu veux :-)))

L'anamnèse , rien que l'anamnèse :" la pipe vous la portez bien a gauche ?" ;o))


Gonzo k0qhwz - Eugenol
matten

28/01/2021 à 10h23

Elle a evidemment un sourire tres gingival ...
Je vais lui faire un ancrage radiculaire sur 24 et recoller le bridge et puis c'est tout.
C'est trop casse gueule pour moi sans orthodontie/maxillo faciale
En plus elle a pas un rond et mutuelle qui rembourse des clopinettes mm sur le 100% sante


Ylfwcw979cz1jnx9gfqeaxndiuzk - Eugenol
Algi

28/01/2021 à 10h26


Enlaye..... tss tsss tsssss laisse les orthos tranquilles, tu vas avoir des ennuis.

Me semble bien que maintenant un traitement foireux nécessitant une contention a vie est considéré comme réussi....

--

https://open.spotify.com/user/8iz7teu84dfphmgspeh2979o8/playlist/59Tfpt7zoHfkI27430lfNg?si=MAiYEkb2S6mMV6qNX2aFwg


On a toujours le choix mais entre quoi et quoi?
Vas-y boulégue et l'avenir te le dira!


mla2

28/01/2021 à 11h55

dommage de ne pas profiter d'un exposé confrontant les divergences ou convergences, peut être une démobilisation de la profession face aux contraintes d'exercice ?
dans les archives Eugenol,"cas cliniques"les echanges étaient argumentes plus que peremptoires et Algi plus actif.... pour s ouvrir l'esprit, rien à perdre à y rechercher des situations ressemblantes quand on se sent perdu comme Matten.


Vw campersurfvan bmnk1q - Eugenol
enlaye

28/01/2021 à 12h46

mla2 écrivait:
----
" D'ou je maintiens qu'il faut plus de paramètres que l'occlusion pour appréhender le cas et ébaucher une ou des pistes de traitement "
oui , bien c est pas grave c est le jeu d eugenol , ça .
on a 3 photos , tres peu d éléments , alors on imagine le reste . et on propose une solution à un pb qui n existe peut etre pas :-)
apres chacun peu rajouter quelque chose en fonction d un vecu , d une experience d un cas ressemblant . par exemple ici , un implanto aurait pu se mêler en parlant d une greffe ou de je ne sais quoi ...
ç est ça qu est bonnard ici , sur un cas tu peux lire plusieurs philosophies
ceci dit tu as vu ? la conclusion est tjs la même : 100% santé donc basta :-)))


Bebe 038 nf8eum - Eugenol
danteyeah

28/01/2021 à 13h25

enlaye écrivait:
------

> ceci dit tu as vu ? la conclusion est tjs la même : 100% santé donc basta :-)))

Voilà !!!!!
Solution: aller s'amuser ailleurs

Au moins Enlaye a encore la force de répondre, et c'est pour ça qu'on l'aime ;-)