Cookie Consent byPrivacyPolicies.comHiroshima!!! Aide pour plan de traitement prothetique - Eugenol

Hiroshima!!! Aide pour plan de traitement prothetique anterieur

Ylfwcw979cz1jnx9gfqeaxndiuzk - Eugenol
Algi

28/01/2021 à 16h12

Algi est un peu beaucoup charette ces temps ci et du coup pas le temps de partager avec les nonoliens


--

https://open.spotify.com/user/8iz7teu84dfphmgspeh2979o8/playlist/59Tfpt7zoHfkI27430lfNg?si=MAiYEkb2S6mMV6qNX2aFwg


On a toujours le choix mais entre quoi et quoi?
Vas-y boulégue et l'avenir te le dira!


danteyeah écrivait:
---------

> Au moins Enlaye a encore la force de répondre, et c'est pour ça qu'on l'aime ;-)

Zont pas fini de se tripoter les 2 varoises ?


120 81 mdkvjo - Eugenol
Monaco

29/01/2021 à 07h48

J'ai pas tout lu, mais mettre des cales postérieures dans un cas d'overbite comme ça .. Tu risques d'ingresser au contraire les molaires et aggraver la supraclusion.
Il vaut mieux poser des cales rétroincisives .


Vw campersurfvan bmnk1q - Eugenol
enlaye

29/01/2021 à 07h56

Monaco écrivait:
------
" Il vaut mieux poser des cales rétroincisives . "
???? ho putainnnnnnnn , tu me fends le coeur de bon matin , sans deconner tu dis ça pour me chercher ou quoi ? tu n y penses pas , avoues ! tu sais que je ne peux pas te repondre , j ai promis :-)))


TA2

29/01/2021 à 08h36

L'overbite !!!! Bien sur il existe mais le protho a quand meme vidé son pot de céram sur les 2 centrales .


Bebert.

29/01/2021 à 10h55

matten écrivait:
------
> En plus elle a pas un rond et mutuelle qui rembourse des clopinettes mm sur le
> 100% sante

Je crois que tout est dit ...
Reste la volonté de la patiente, mais si elle est accrochée au " tout remboursé", c'est mal barré.
Bon courage ;)


Gonzo k0qhwz - Eugenol
matten

21/09/2021 à 10h34

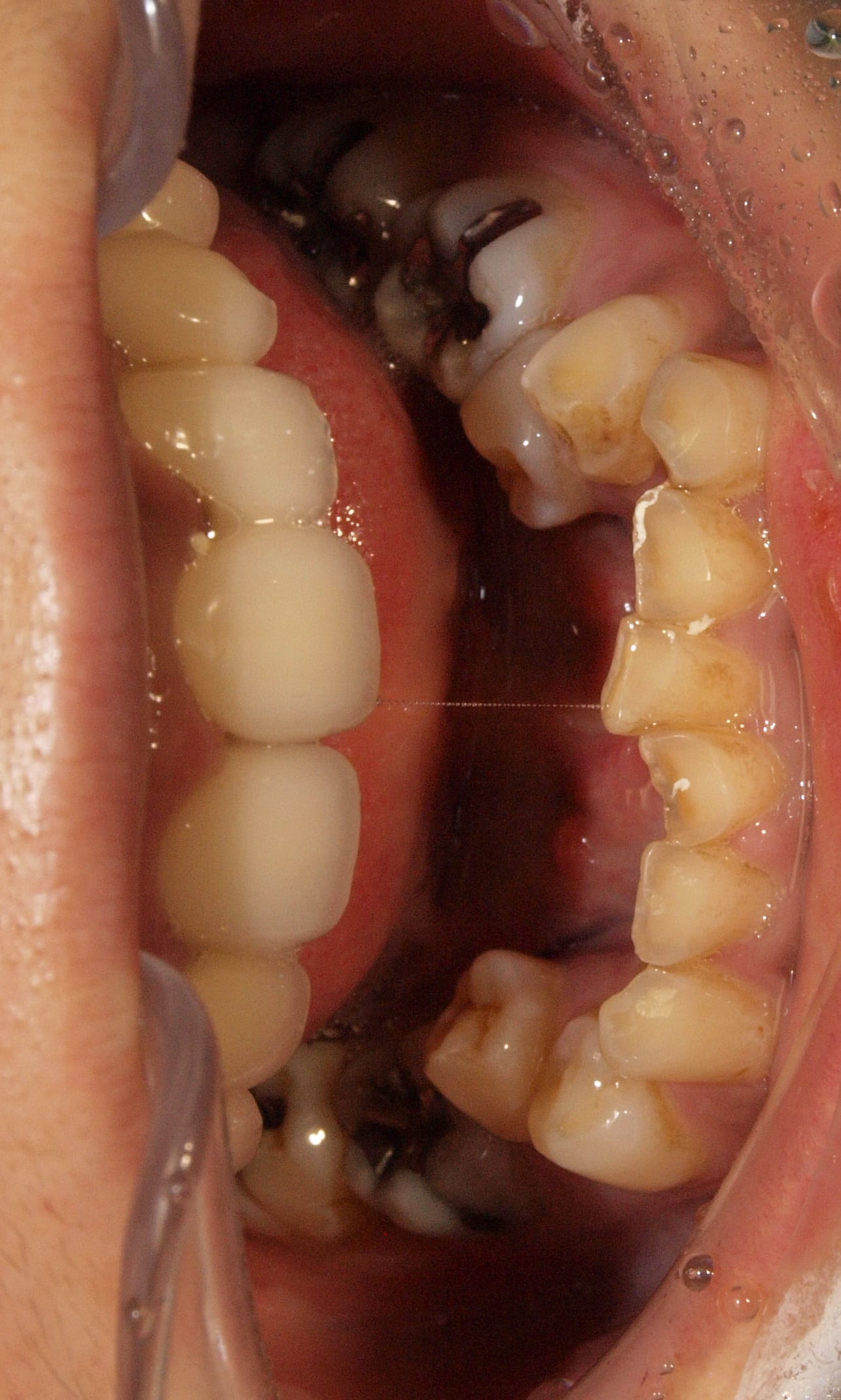
Coucou,
Voici une photo des incisives mandibulaires.
Assez abrasees en effet.
La patiente va avoir besoin qu'on lui retire rapidement 24 qui a sa racine perforee en deux endroits.
Ensuite je pense peut etre faire une pap resine pour lui remplacer 23-24 avec cale retro incisive vu que je ne peux pas coller de composite sur des ccm...
Et apres?
Je suis paumé lol

P1273384 dx9i8j - Eugenol

mla3

21/09/2021 à 11h17

merci matten de réactiver la discussion....
En resurvolant le cas, j'ai bien peur qu'il y ait une fissure radiculaire sur 21,( lésion très latérale tenon long e, descellement multiples, bras de levier à partir de 24 pilier destabilisé et déstabilisant du fait de la fracture radiculaire)
Integrer cette hypothèse dans un plan tt.(une retro de 21 svp)
Des photos moulages sont nécessaires (occlusion, vue profils, vue aérienne) pour que les "stars" puissent cogiter et t'aider .

Matten patd7d - Eugenol

Gonzo k0qhwz - Eugenol
matten

21/09/2021 à 11h25

Coucou merci pour ta reponse!
C'est une eventualité mais je ne pense pas car il n'y a jamais eu d'abces a cet endroit ou de douleur en 5 ans. La patiente etait tellement deprimée par ce bridge qu'elle le portait en le maintenant avec la langue en permanence, totalement décollé.
Dans le cas ou deux implants 23-24 seraient posés, vous y croyez vous que 21/22 tiendraient sans se decoller avec un tel over bite?
C'est chaud.


mla3

21/09/2021 à 11h52

pour 21 qui n'a pas de cerclage (le fameux effet férule) .... gros doute quant à moi.
Ensuite même si tu envisages la conservation , tu dois gerer la lésion : dépose à risque du tenon (en dehors des descellements répétés), état du plateau coronaire sous une coiffe non étanche car mal ajustée...
Donc avant la phase "construction" , un bilan approfondi et élargi à toute la bouche de ce qui est fichu.
Ensuite avec un tel surplomb, même ta pap transitoire sera tellement échancrée en retro incisif (à cette DVO)qu'elle aura un sur -tassement palatin .
les confrères habitués aux cas complexes( si tu fournis plus d'infos, dont des photos de modèles d'étude), te donneront volontiers des avis qui t'aideront.


l


Gonzo k0qhwz - Eugenol
matten

21/09/2021 à 12h01

je vais prendre des empreintes ce jeudi


Vw campersurfvan bmnk1q - Eugenol
enlaye

21/09/2021 à 12h42

matten écrivait:
------
" Et apres?
Je suis paumé lol "

non , pas encore , tu n as rien commencé , c est après que tu seras paumé :-)
je vais te dire la verité , en 2021 , ce genre de cas c est ingérable .
à tel point que je dis le 1er jour que je ne suis pas l homme de la situation , et hop je l adresse à mon concurrent voisin de son choix .
et ça tombe bien , pcq comme ils posent des implants , donc ils sont forts :-)) .
eh oui pcq depuis la prothese informatique , meme si toi tu sais ce qu il faut faire et que tu le demandes eh ben tu ne l auras pas , jamais , tu vas devenir fou .
il avait raison , Chicot , la prothèse , de nos jours , c est de l unitaire et basta .
suis je clair ? :-)))


Bebe 038 nf8eum - Eugenol
danteyeah

21/09/2021 à 13h39

matten écrivait:
------
> Coucou,
> Voici une photo des incisives mandibulaires.
> Assez abrasees en effet.
> La patiente va avoir besoin qu'on lui retire rapidement 24 qui a sa racine
> perforee en deux endroits.
> Ensuite je pense peut etre faire une pap resine pour lui remplacer 23-24 avec
> cale retro incisive vu que je ne peux pas coller de composite sur des ccm...
> Et apres?
> Je suis paumé lol

elle a fait des économies ta patiente en 9 mois ?

- Oui ? alors va falloir réfléchir à reprendre sérieusement le bas ça freine grave de l'avant qu'elle va finir en OTB (déformation passionnelle).
- Non ? alors le 1er janvier prochain les stelittes seront bradés....quelle aubaine ;-)))


Gonzo k0qhwz - Eugenol
matten

21/09/2021 à 14h44

Pour moi c'est un cas orthodontique avec +/- chir ortho...
Et si elle ne peut/veut pas, ben comme tu dis c'est pap ...


Vw campersurfvan bmnk1q - Eugenol
enlaye

21/09/2021 à 14h50

Ah oui encore mieux , l ortho , sont encore plus forts que les implantos , très bon :-)))


Gonzo k0qhwz - Eugenol
matten

21/09/2021 à 15h25

loool. pauvres patients... Elle va se faire harakiri


Gonzo k0qhwz - Eugenol
matten

04/10/2021 à 15h13

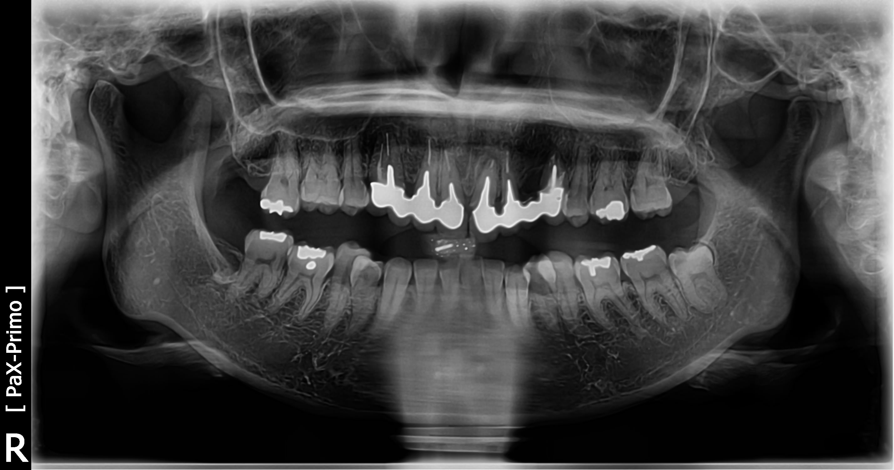
Coucou tout le monde, j'ai recu les modeles de la patiente.
A savoir qu'en lateralite la fonction canine est a 100% et il n'y a aucun contact en lateralités sur les premolaires 35-45.

Si vous avez une idee du plan de traitement pour resoudre le probleme du bridge 21-22-24 qui est mort. (racine 24 a extraire). Implants 23-24 seront necessaires.
Merci de votre aide

243890257 393747288873421 7504906601172139914 n ajbtn9 - Eugenol
243898432 3042730375967915 7767161098235985396 n go1m3v - Eugenol
243901567 136605858639753 3849846797084279932 n nvc9qk - Eugenol
243921772 881636615891267 4040849617900582215 n syaiwz - Eugenol
243969277 153260847004519 6285852835866628806 n rz6bl0 - Eugenol
243989840 187021556906785 1702758018906111811 n zyawt9 - Eugenol
243994327 554007169196921 6557394106701792641 n i99ap4 - Eugenol
244016686 1379246242470750 8279766570325183918 n old67z - Eugenol
244020551 153632416969573 5453984650404923074 n hzs4mf - Eugenol
244129912 1529540870739848 3728350680498411247 n jf4tfr - Eugenol
244182195 1690935564449809 7889780521202434643 n nkqpmu - Eugenol
244253417 170168265292457 4705409060395761946 n bue6kq - Eugenol
244282627 227901312728787 5589935710126827577 n dqe2lf - Eugenol
244376300 397276488438502 5333560756490749100 n inwkgc - Eugenol

Gonzo k0qhwz - Eugenol
matten

12/10/2021 à 09h56

Un ptit Up pour savoir si quelqu'un a une idee de plan de traitement?

1 t7g9pe - Eugenol

Bebe 038 nf8eum - Eugenol
danteyeah

12/10/2021 à 13h46

1) Vire 17/47 et 24
2) vois si tu peux reprendre 21
3) Plantes 13 23 24
4) Ortho
5) Réhabilitation prothétique et occlusale finale.
6) Récupère avec une semaine au Club Med, parce qu’on le vaut bien ;-))


Gonzo k0qhwz - Eugenol
matten

12/10/2021 à 13h50

Merci!


Vw campersurfvan bmnk1q - Eugenol
enlaye

12/10/2021 à 19h54

Danteyeah , a mon avis le pb de Matten va être de gérer le prov esthétique entre l implantation et l ortho.
Ce serait même le mien aussi :-)


mla3

12/10/2021 à 21h03

danteyeah :21/09 post, mon avis sur 21 n'a pas changé... alors un plan B ?


Bebe 038 nf8eum - Eugenol
danteyeah

12/10/2021 à 21h48

enlaye écrivait:
------
> Danteyeah , a mon avis le pb de Matten va être de gérer le prov esthétique
> entre l implantation et l ortho.
> Ce serait même le mien aussi :-)

Gouttières type invisalign avec remplissage composite dans les sites édentés, et elle se cache pour manger, ou TOBI pour les plus motivés.


Bebe 038 nf8eum - Eugenol
danteyeah

12/10/2021 à 21h50

mla3 écrivait:
----
> danteyeah :21/09 post, mon avis sur 21 n'a pas changé... alors un plan B ?
La 21 je la refile à Enlaye: extraction ré implantation immédiate. Et comme ça on sera fixé sur c’te dent.


Gonzo k0qhwz - Eugenol
matten

12/10/2021 à 23h20

TOBI Rappelle nous ce que c'est?