Cookie Consent byPrivacyPolicies.comRACO - Eugenol
doc.yoyo

04/02/2021 à 08h46

Qu'est-ce qui poussent comme des champignons dans les centres villes ?
banques et agences immobilières


4a338550 6a5b 47ea b2a7 d3cb675c5076 oni5gh - Eugenol
𝕱𝖎𝖘𝖙𝖚𝖑𝖊

04/02/2021 à 10h27

Oui, c’est l’agent immobilier!
Bourses pleines est un peu énervé actuellement...
😷😜


4a338550 6a5b 47ea b2a7 d3cb675c5076 oni5gh - Eugenol
𝕱𝖎𝖘𝖙𝖚𝖑𝖊

04/02/2021 à 10h29

@casa...
Pour les raccourcis, tu es mal placé...
Les pauvres, les pauvres...
😷😬


Orezza gazeuse verre litre ocoxey - Eugenol
casa

04/02/2021 à 13h32

c'est quoi qui te choque , le mot ?
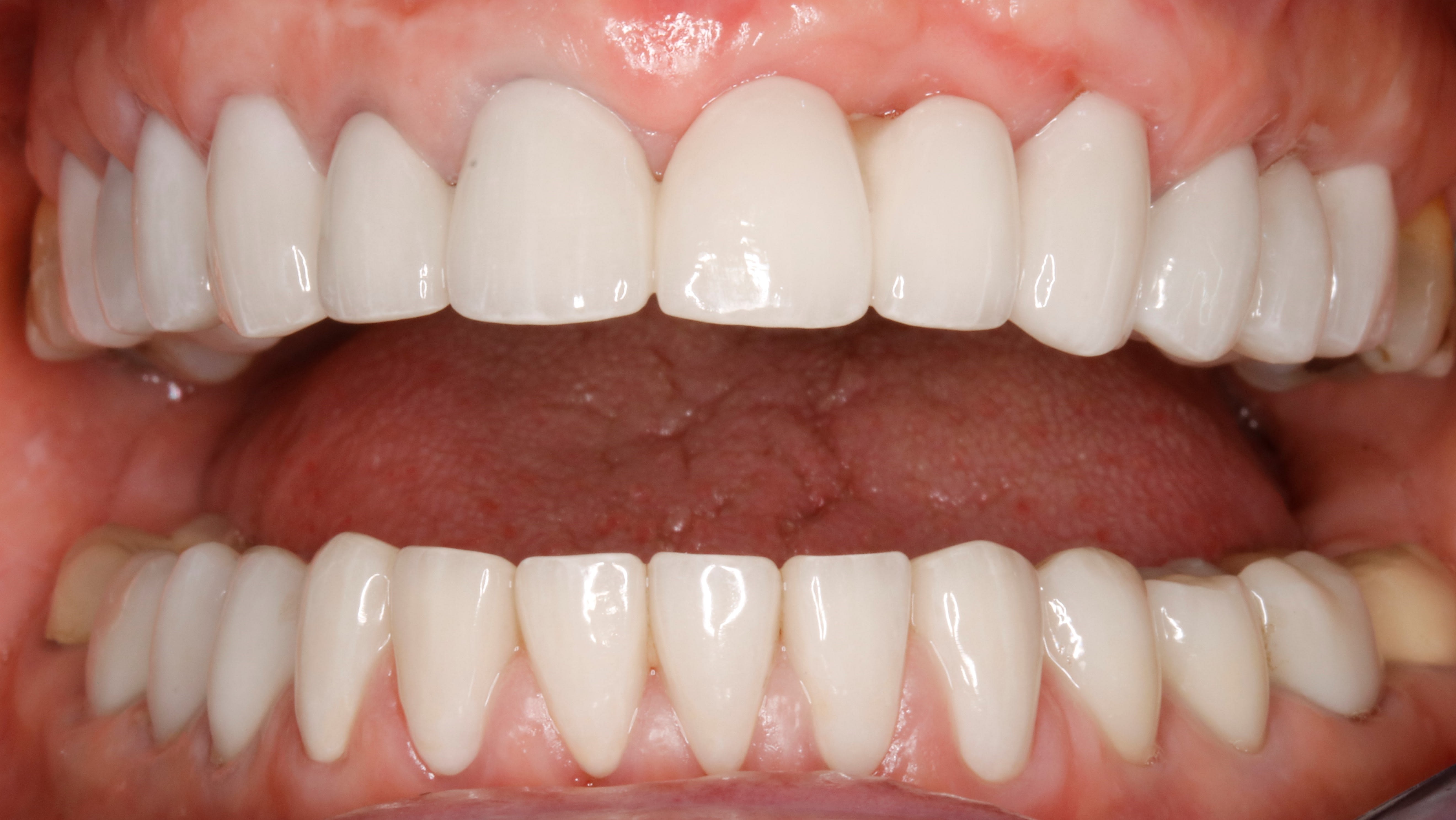
Juste pour remettre les idées en place, un petit schémas vaut mieux qu'un long discours . Si vous pensez que ceux qui sont dans le rouge et le orange ont les moyens de mettre 200 € dans une dent , ben effectivement , on ne peut pas se comprendre .

Median yrkqqq - Eugenol

Hok 1b hgd3rj - Eugenol
Hokusai

04/02/2021 à 13h34

Mais 200e dans l iPhone ça va...


Bah ouais mais l'aillephone ça se voit alors que la dent du fond, a s'voit pas.

C'est comme les maillots de foot à 100 balles ou les pompes où t'as la virgule dessus à 150, y a des priorités dans la vie.


Vw campersurfvan bmnk1q - Eugenol
enlaye

04/02/2021 à 14h01

lachmar écrivait:
"ca c'est la meilleure de l'année : l'acier est moins dur que la céramique et moins dur que l'émail
on voit souvent des facettes d'usure (naturelle.... comme tu dis ; comme si ca existait ...) sur de vieilles couronnes en acier ; jamais sur des ceram

bon effectivement , là il faut repartir du début pcq tu mélanges tout : dureté , usure , et facettes d usure sur du metal .
meme si c est un peu lié ce sont 3 choses différentes presque indépendantes . et surtout pour le métal .


lachmar

04/02/2021 à 14h03

je suis né dans une famille bourgeoise catho tendance réac
tout m'appelait à exercer à la suite de ma mère en region parisienne (coté rupin) en continuant à jouer au golf à la boulie et au sqash à l'interallié ou m'associer dans un cabinet non conventionné avenue bugeaud (avec labo sur place)
plus facho que moi tu mourrais ; plus petit con prétentieux y avait pas
le hasard m'a amené, tout juste diplomé à faire un remplacement dans une région défavorisée economiquement et c'est affreux à dire, mais c'est la que j'ai pris conscience qu'un autre monde existait et que ce monde était la vraie vie ; et ca m'a paru moins superficiel que Paris et permettant des contacts humains plus sincères , et je suis resté chez les ploucs à soigner tout le monde
c'est là la clé : on doit essayer de soigner tout le monde et non pas se contenter d'essayer de faire de la thune sur ceux qui peuvent
mais ca ca passe au dessus de la tête d'un certain nombre
et je l'ai deja dit : ceux la ne sont pas des soignants mais des marchands
ils manquent quelque chose : le bonheur de redonner le sourire à quelqu'un qui ne l'avait plus depuis longtemps par exemple
et ce n'est pas de l'angélisme : c'est de la cohérence avec ce que nous devrions être


Vw campersurfvan bmnk1q - Eugenol
enlaye

04/02/2021 à 14h15

certes , mais c est n est pas une raison pour dire des conneries quant au metal :-) j ai pas fini , minot .


Vw campersurfvan bmnk1q - Eugenol
enlaye

04/02/2021 à 14h20

ça , c est de l usure

Inked mg 1643   copie li fjlndi - Eugenol

Vw campersurfvan bmnk1q - Eugenol
enlaye

04/02/2021 à 14h22

ça ce n en est pas forcement

Inked mg 1644   copie li mppray - Eugenol

Vw campersurfvan bmnk1q - Eugenol
enlaye

04/02/2021 à 14h31

entre les 2 il y a autre chose qui est l écrouissage . mais il peu tres bien avoir sur un meme endroit de l ecrouissage + de l usure .
sachant que l ecrouissage , visuellement , deforme le metal , comme l usure , mais le renforce aussi et surtout le rend plus lisse et donc ralenti l usure .
ce qui veut dire que dire que la cc est plus molle que la ceram pcq on y voit des marques , ce n est pas valable . ,pcq par l ecrouissage , la vitesse d usure du metal va s en trouver modifiée .la couronne metal est plus molle , mais quand ? avant de la poser .
donc pour repondre à ta question : pourquoi tu parles d usure naturelle ?
je sais pas pourquoi j ai dit ça , le mot naturel , mais c est excellent :-)) je voulais dire une usure adaptée à la vitesse d usure d une dent naturelle ou tout au moins de ses voisines .


Et7jtaj0pdi18gzjlxjiamlx15gs - Eugenol
Prunelles

04/02/2021 à 14h39

enlaye écrivait:
------
> entre les 2 il y a autre chose qui est l écrouissage

Comme un martelage à froid ? En bouche ??


Vw campersurfvan bmnk1q - Eugenol
enlaye

04/02/2021 à 14h40

bien sur


Vw campersurfvan bmnk1q - Eugenol
enlaye

04/02/2021 à 14h42

cette couronne a + de 20 ans , on dirait qu elle est neuve , tu crois que les autres , naturelles ou ceram on l air tout aussi neuves ?


Vw campersurfvan bmnk1q - Eugenol
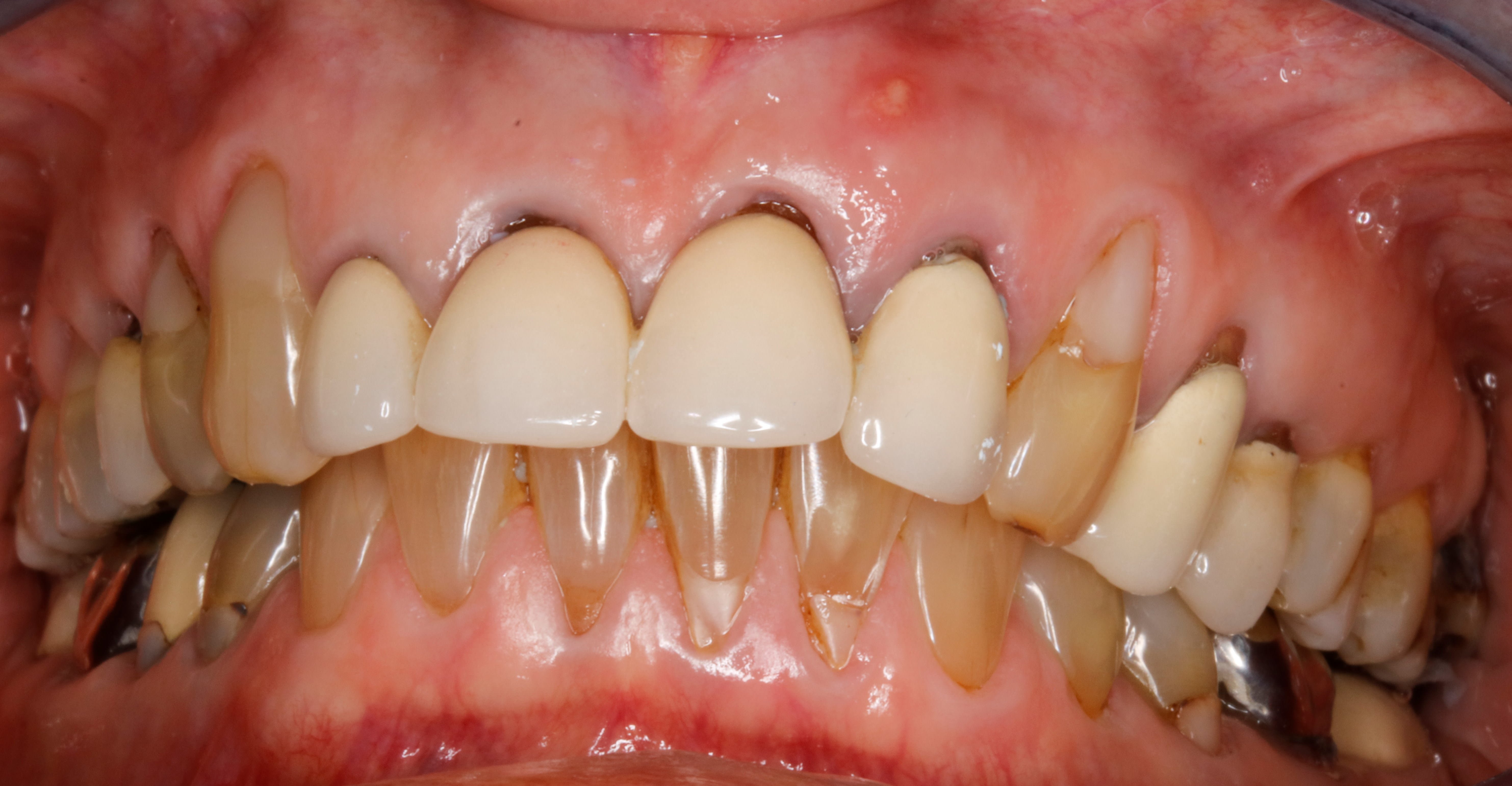
enlaye

04/02/2021 à 14h50

la chance que l on a , c est qu il y a des marque facilement visibles que l on peu meuler . sur le zircon ç est moins sur . du coup avant de refaire celle du haut il m a fallu faire ceci ( en attendant de la refaire ) .
tu crois que je vais passer mon temps a meuler les couronnes antago en zircon pour flinguer des fraises et des contre angles ? je ne pense pas . enfin plus , marre .

Inked mg 1645 li hrmnpd - Eugenol

Et7jtaj0pdi18gzjlxjiamlx15gs - Eugenol
Prunelles

04/02/2021 à 16h01

J'ai franchement du mal à croire à ton histoire d'écrouissage.
C'est de la pure rhétorique mais pour moi les forces développées en bouche sont trop faible pour écrouir une CrCo. Si encore en parlait d'Or...
Et si c'est le cas, pourquoi on observe pas de lésion paro liée à la contrainte occlusale exercée ?


lachmar

04/02/2021 à 17h15

aucune usure quelle qu'elle soit n'est pas d'origine pathologique
l'usure "normale" n'existe pas


sloop

04/02/2021 à 17h19

et si, cela s'appelle l'usure du temps...


Bebe 038 nf8eum - Eugenol
danteyeah

04/02/2021 à 17h54

enlaye écrivait:
------
> la chance que l on a , c est qu il y a des marque facilement visibles que l on
> peu meuler . sur le zircon ç est moins sur . du coup avant de refaire celle du
> haut il m a fallu faire ceci ( en attendant de la refaire ) .
> tu crois que je vais passer mon temps a meuler les couronnes antago en zircon
> pour flinguer des fraises et des contre angles ? je ne pense pas . enfin plus ,
> marre .

Parie 100 balles que la 7 sup a égressé et qu'elle tape maintenant sur la crête marginale distale de la 6 inf....et ça en céramique ça ne serait pas arrivé car l'usure aurait été plus harmonieuse. Coup de bol l'ATM et la musculature de Madame MICHU est conciliante, sinon elle passerait nous casser les couilles 3 fois par mois pour des douleurs à la con "inexplicable"


6szjws718sv1jksw54v4mpj3a6cu - Eugenol
vulpi

04/02/2021 à 18h00

Faudrait regarder les 22 et 23 en palatin.


TA2

04/02/2021 à 18h28

lachmar écrivait:
-------
> je suis né dans une famille bourgeoise catho tendance réac
> tout m'appelait à exercer à la suite de ma mère en region parisienne (coté
> rupin) en continuant à jouer au golf à la boulie et au sqash à l'interallié ou
> m'associer dans un cabinet non conventionné avenue bugeaud (avec labo sur place)
> plus facho que moi tu mourrais ; plus petit con prétentieux y avait pas


Au p'tain , cela sent fort 4 années à Garanciere ton histoire ;o))


Bebe 038 nf8eum - Eugenol
danteyeah

04/02/2021 à 18h30

lachmar écrivait:
-------
> je suis né dans une famille bourgeoise catho tendance réac
> tout m'appelait à exercer à la suite de ma mère en region parisienne (coté
> rupin) en continuant à jouer au golf à la boulie et au sqash à l'interallié ou
> m'associer dans un cabinet non conventionné avenue bugeaud (avec labo sur place)
> plus facho que moi tu mourrais ; plus petit con prétentieux y avait pas
> le hasard m'a amené, tout juste diplomé à faire un remplacement dans une région
> défavorisée economiquement et c'est affreux à dire, mais c'est la que j'ai pris
> conscience qu'un autre monde existait et que ce monde était la vraie vie ; et ca
> m'a paru moins superficiel que Paris et permettant des contacts humains plus
> sincères , et je suis resté chez les ploucs à soigner tout le monde
> c'est là la clé : on doit essayer de soigner tout le monde et non pas se
> contenter d'essayer de faire de la thune sur ceux qui peuvent
> mais ca ca passe au dessus de la tête d'un certain nombre
> et je l'ai deja dit : ceux la ne sont pas des soignants mais des marchands
> ils manquent quelque chose : le bonheur de redonner le sourire à quelqu'un qui
> ne l'avait plus depuis longtemps par exemple
> et ce n'est pas de l'angélisme : c'est de la cohérence avec ce que nous devrions
> être

Ah non pas d'angélisme la dedans, j'y vois plus du dédain et du mépris et un énorme délire qui aimerait à faire croire qu'un traitement suivant une technique conforme aux données acquise par la science serait une source de profit.


Vw campersurfvan bmnk1q - Eugenol
enlaye

04/02/2021 à 19h21

danteyeah écrivait:
" Parie 100 balles que la 7 sup a égressé et qu'elle tape maintenant sur la crête marginale distale de la 6 inf.... nous casser les couilles 3 fois par mois pour des douleurs à la con "inexplicable""

trop fort , c est exactement ce qu il s est passé
et Vulpi de rajouter:
"Faudrait regarder les 22 et 23 en palatin "
bin tiens , on va se gener , trop fort aussi, mate la boulasse

elle est arrivée comme vous avez dit pile poil

 mg 1731 mkzmk7 - Eugenol

Vw campersurfvan bmnk1q - Eugenol
enlaye

04/02/2021 à 19h23

et elle est repartie comme ça :-)

 mg 2041 vtehtl - Eugenol

1...5678