Cookie Consent byPrivacyPolicies.comAchat caméra endo-buccale - Eugenol

Achat caméra endo-buccale

Divers 30 vakafn - Eugenol
Ch'Bill

25/03/2021 à 15h32

Bonjour,

J'ai l'intention d'acheter une caméra endo-buccale, mais sans me faire plumer...
Je n'ai pas besoin du top du top, mais simplement d'un matériel simple, fiable, et qui sorte une qualité d'image acceptable.
Quelqu'un peut -il me faire part de son retour d'expérience avec un achat sur Ebay, ou Ali express?


Images oecc9d ijdijh - Eugenol
Akrobat

25/03/2021 à 15h46

j'avais acheté une owandy de mémoire 800€ prix adf au lieu de 1500.
Une vraie merde, image toute pixélisée, inutilisable. testée 10x avant abandon.


Squirell g6yuwa - Eugenol
La_noisette

25/03/2021 à 16h32

J'ai essayé pas mal de camera endo buccales dont la MD740 je crois dont on parle souvent sur ce forum.
J'en acheté 4, aucune de compatibles, ou quand ça fonctionnait il fallait appuyer sur un touche du clavier pour prendre la photo car julie / Sopro imaging n'ont pas de drivers faisant fonctionner le bouton de déclanchement.

J'ai fini par acheter la Sopro 717, une blinde, qualité pas extra ordinaire mais ça a le mérite de fonctionner et de faire ce qu'on demande. C'est cher pour du plastoc, et une camera 700 pixel par 500... ce n'est pas de la "haute technologie" contrairement à ce que laissent penser les revendeurs.

Mais le patient comprend et adhère à la prothèse qui s'en suit.


Squirell g6yuwa - Eugenol
La_noisette

25/03/2021 à 16h34

Alternatives plus intelligentes amha : appareil photo reflex, caméra d'empreinte optique (qui ont un système photo intégré, je pense à la médit), ou le microscope avec appareil photo.


La_noisette écrivait:
-----------
> J'ai essayé pas mal de camera endo buccales dont la MD740 je crois dont on parle souvent sur ce forum.
> J'en acheté 4, aucune de compatibles, ou quand ça fonctionnait il fallait
> appuyer sur un touche du clavier pour prendre la photo car julie / Sopro imaging
> n'ont pas de drivers faisant fonctionner le bouton de déclanchement.


Ben moi sur Julie ça fonctionne sans problème.

https://www.ebay.fr/sch/i.html?_from=R40&_trksid=p2047675.m570.l1313&_nkw=Dental+Camera+&_sacat=0

En plus à ce prix là tu risques pas grand chose,
on est des cochons ou bien ?


carrototo

25/03/2021 à 17h29

Par contre sous logos ça ne fonctionne pas, il faut cliquer avec la souris pour prendre la photo.
Un peu casse pied, mais pour moi, je fais venir l'assistante, et on prend les clichés rapido.
Le faire avec la medit , même si c'est possible, ça me semble lourd à gérer.


Squirell g6yuwa - Eugenol
La_noisette

25/03/2021 à 17h43

pas chez moi bizarrement. J'en ai passé des heures à essayer de comprendre ce qui n'allait pas


Divers 30 vakafn - Eugenol
Ch'Bill

26/03/2021 à 10h25

ℙ핖핣핧핖핣핤 ℙé핡è핣핖 écrivait:
--------------
> Ben moi sur Julie ça fonctionne sans problème.
>
> https://www.ebay.fr/sch/i.html?_from=R40&_trksid=p2047675.m570.l1313&_nkw=Dental+Camera+&_sacat=0

C'est ce modèle là que tu as acheté?


yobi

26/03/2021 à 10h39

J'utilise la DARYOU DY50 trouvée sur Amazon
Elle s'intègre via un petit programme sur tout les logiciels existant . Il faut juste leur envoyer la facture Amazon + le nom du logiciel utilisé par mail et l'on reçoit un code qui intègre la caméra à son logiciel métier
ps je suis sous trophy et mon associé sous logos


--
YOBI


Ch'Bill écrivait:
-------
>ℙ𝕖𝕣𝕧𝕖𝕣𝕤 ℙé𝕡è𝕣𝕖 écrivait:
> --------------
> > Ben moi sur Julie ça fonctionne sans problème.
> >
> >
> https://www.ebay.fr/sch/i.html?_from=R40&_trksid=p2047675.m570.l1313&_nkw=Dental+Camera+&_sacat=0
>
> C'est ce modèle là que tu as acheté?


Oui, avant j'avais la MD740 et maintenant j'ai la DARYOU DY50 comme Yobi, pas vraiment vu de différence à part le prix mais la plus chère est bleue, plus festif, sinon c'est kif kif la bourrique.
Par contre j'ai rien envoyé, j'ai branché et ça marche.

20210326 134010 wbcacn - Eugenol
20210326 133944 h8tdh0 - Eugenol

burnax

26/03/2021 à 15h02

Fil ou sans fil ?


Divers 30 vakafn - Eugenol
Ch'Bill

26/03/2021 à 15h28


> Oui, avant j'avais la MD740 et maintenant j'ai la DARYOU DY50 comme Yobi, pas vraiment vu de différence à part le prix mais la plus chère est bleue, plus festif, sinon c'est kif kif la bourrique.
> Par contre j'ai rien envoyé, j'ai branché et ça marche.

Au vu des avis sur Amazon, je vais tenter le coup.
Merci pour vos conseils.


@burnax

Fil

@Ch'Bill

Plus chère sur Amazon mais si ça ne marche pas tu peux la renvoyer.


Capture d écran 2018 05 16 à 21.30 - Eugenol
Daryl

26/03/2021 à 16h26

ca sert à quoi dans la vraie vie , une cam endo buccale ??


Daryl écrivait:
-----
> ca sert à quoi dans la vraie vie , une cam endo buccale ??

Pour faire des tofs, banane !

Viens chez moi, m'en va t'expliquer, on va en faire des shootings.


Divers 30 vakafn - Eugenol
Ch'Bill

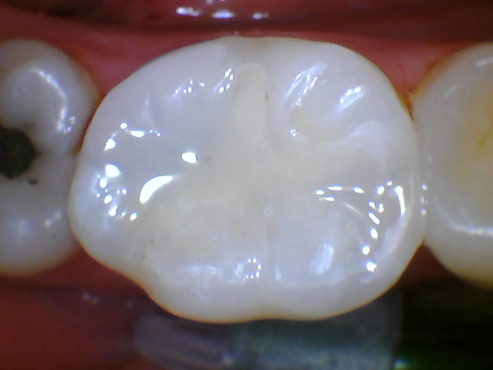
12/04/2021 à 18h05

Petit retour d'expérience donc, suite à mon achat du modèle Daryou, à 175,00€ sur Amazon.
Je voulais en fait une caméra dans un but essentiellement pédagogique, et nullement pour faire des clichés de la mort qui tuent amenés à être publiés.
Et bien, dans cette otique, elle fait clairement le job!
Quelques reproches quand même : une profondeur de champ très très faible, qui oblige à ne prendre qu'une seule dent, et pas un secteur.
Par ailleurs, la qualité, même à la plus haute définition permise, reste assez faible.
Mais bon, à ce prix là, on ne doit pas s'attendre à une lentille Zeiss, bien entendu...
En conclusion, merci pour vos conseils : je ne regrette nullement mon achat, car je sens que je vais bien m'amuser avec.

Coralie 2021 04 12 095548 qmsg76 - Eugenol
Coralie 2021 04 12 100256 mjdffy - Eugenol
Coralie 2021 04 12 101651 zxyjn4 - Eugenol
Coralie 2021 04 12 103753 gcctzb - Eugenol

carrototo

13/04/2021 à 10h05

Daryl écrivait:
-----
> ca sert à quoi dans la vraie vie , une cam endo buccale ??

Pour moi c'est incroyablement pratique, très peu chronophage, et d'une efficacité pédagogique inégalable, alors pourquoi s'en priver?
J'utilise une MD 740 à vil prix, n remplacement de ma kodak à 3000 balles.

La kodak était bien meilleure, elle fonctionne encore après 12 ans, mais , obsolescence programmée oblige ,il n'est pas prévu de driver pour la faire tourner sur mes nouveaux ordis, c'est pas beau ca??

donc MD 740 à 50 balles.


BiteDown49

05/10/2024 à 16h17

Votre caméro Daryou marche t-elle avec windows 11?


Capture d  cran 2015 03 12 12.28 - Eugenol
chicot29

05/10/2024 à 20h22

MD 960 sur imagerie CS. Commande à la camera. tu npeux prendre une arcade si tu veux.


--
Dentiste qui en a plein le cul.

68c53gixfzi2fvsevvbw7mm7wwfe - Eugenol

Capture d  cran 2015 03 12 12.28 - Eugenol
chicot29

05/10/2024 à 20h27

Daryl écrivait:
-----
> ca sert à quoi dans la vraie vie , une cam endo buccale ??
A montrer que tu fais pas de la merde. Et te dire une fois que fini d'exercer j'ai pas trop fait de merde la preuve. Mais en fait dans un système communiste t'en as rien à foutre. L'important c'est la prise en charge. Tu fais une endo de merde sur pulpite le patient a plus mal ca a été rapide t'es un bon dentiste et tu peux en faire profiter le plus grand nombre. Merci Dr.