Cookie Consent byPrivacyPolicies.comZIRCMOND - Eugenol

ZIRCMOND

Vw campersurfvan bmnk1q - Eugenol
enlaye

29/03/2021 à 12h50

comment vont les coullègues ?
pcq moi , ça y est suis devenu complètement fou :-)
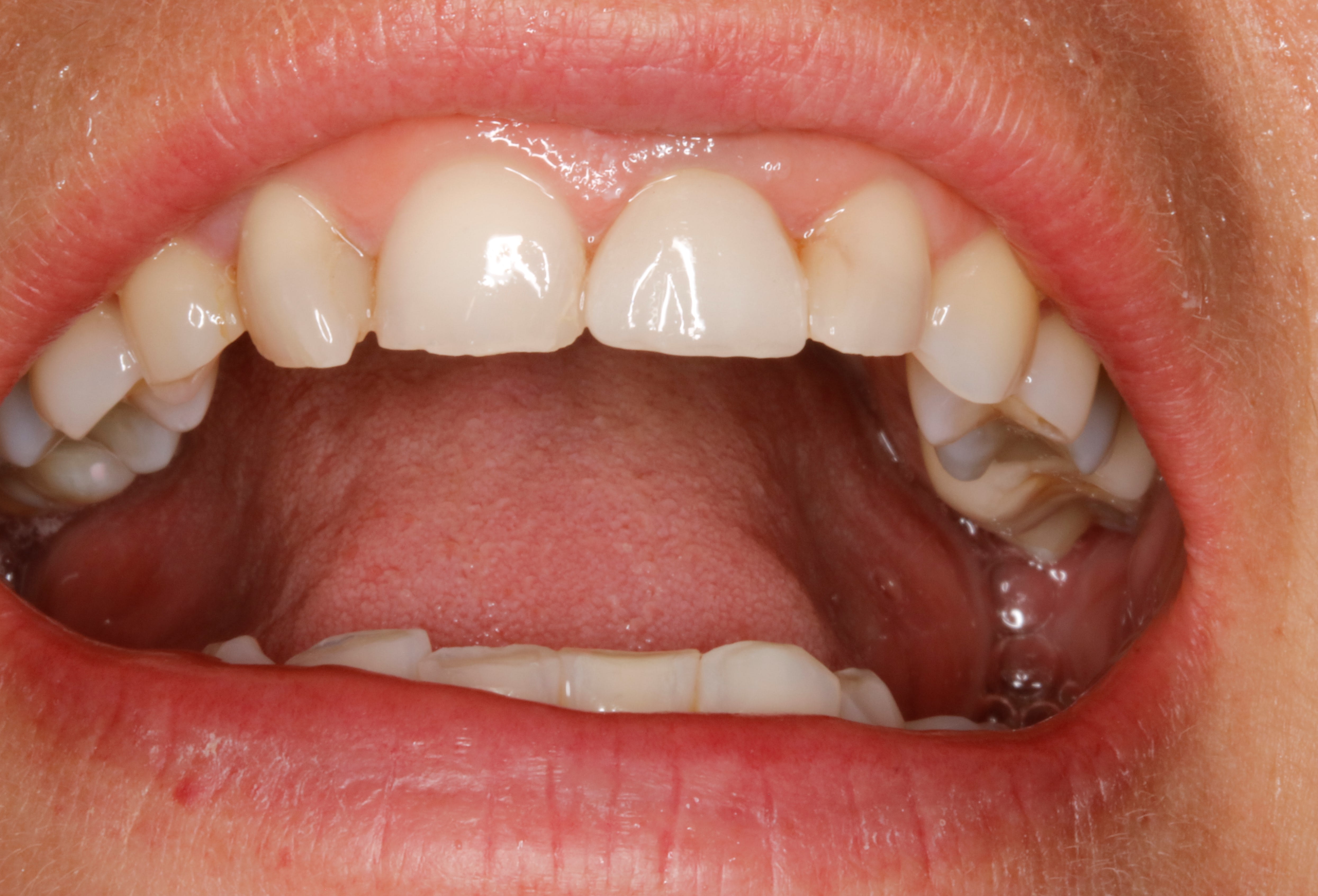
j ai hésité un moment avant de la sceller celle là , j y mets , j y mets pas et puis coup de folie , on est des craint degun , on y va on scelle .
hop là une full de plus .

Iflghdh2hbbuysq9ojht - Eugenol

Vw campersurfvan bmnk1q - Eugenol
enlaye

29/03/2021 à 15h10

ah j ai oublié le principal .
non , pas que l esthétique pourrait être discutable quand à la largeur , le compo de 22 toussa , ....
naann j avais juste oublié ceci !
:-)))))

 mg 2352 nzgz9b - Eugenol

5 aspsnj - Eugenol
2+2©

29/03/2021 à 15h20

Jolie, t'as pas peur du claquage de tenon?


Vw campersurfvan bmnk1q - Eugenol
enlaye

29/03/2021 à 15h21

Craint degun :-)))


Vous avez aimé Enlaye le Téflonneur, apprécié Enlaye le Ferrailleur, vous allez adoré Enlaye le Zirconneur.

Enlaye, recommandé par Netflix.

;-))


Vw campersurfvan bmnk1q - Eugenol
enlaye

29/03/2021 à 15h28

le cas initial était comme ça .
pas de place pour faire 1 ic + couronne .
cette couronne etait sur un moignon , et l autre jour CRAC a plus moignon . dent cassée .
le dentiste c était bien battu , il avait mis des minis vis dentinaires auto cassantes .. mais tu vois le petit trou ?
bref il ne restait que la Richmond possible .

Cala 1 bgwjsk - Eugenol

Vw campersurfvan bmnk1q - Eugenol
enlaye

29/03/2021 à 15h35

bien sur j ai d abord couronné 46 et 47 d ou venait le pb , à mon avis , hein , et puis elle pense comme moi , elle me dit se sentir beaucoup plus légère . et ç est pas plus mal pour elle pcq à par ça elle est mignonette


Hok 1b hgd3rj - Eugenol
Hokusai

29/03/2021 à 15h37

... et c'est quel code CCAM Rac0 ??


Vw campersurfvan bmnk1q - Eugenol
enlaye

29/03/2021 à 15h42

full zircon + ic ? j ai bon ?


Hok 1b hgd3rj - Eugenol
Hokusai

29/03/2021 à 15h48

enlaye écrivait:
------
> full zircon + ic ? j ai bon ?

full HN hors recommandation HAS -> PRISON.


Vw campersurfvan bmnk1q - Eugenol
enlaye

29/03/2021 à 15h53

craint dégun , j'te dis :-))


vernal

29/03/2021 à 16h10

Dans le sud, il y a pas de prison pour les dentistes. C'est pour ça qu'il ne viennent pas dans le nord. Trop peur !!


Vw campersurfvan bmnk1q - Eugenol
enlaye

29/03/2021 à 16h28

bien , qu elle vienne m expliquer , la HAS , comment faire pour placer un ic ou une reconstitution pour un cas comme ça .

 mg 2351 ohynpo - Eugenol

vernal

29/03/2021 à 16h34

Attention ! Cela va inspirer PPP !!!


Vw campersurfvan bmnk1q - Eugenol
enlaye

29/03/2021 à 17h20

2+2© écrivait:
----
" Jolie, t'as pas peur du claquage de tenon? "

si bien sur , pour ça que j ai hésité , le lentulo farci de fuji1 .
mais j avais d une part quand même essayé de favoriser la rétention , non pas par le tenon , mais par la box naturelle exploitée à l entrée du canal .

 mg 2348 pem2va - Eugenol

Hok 1b hgd3rj - Eugenol
Hokusai

29/03/2021 à 17h28

mais du coup pourquoi pas une richmond "classique" ?


Photo pluton1b h9n4ea - Eugenol
pluton

29/03/2021 à 17h31

enlaye, ne me dis pas que t'as pas vu les facettes d'usure des faces palatines des dents antérieures.....
çà a beau être une nana, elle doit ruminer toute la journée comme la Marguerite de Fernandel....;-)

Elle va te l'exploser, ta richemond zircone.....


6szjws718sv1jksw54v4mpj3a6cu - Eugenol
vulpi

29/03/2021 à 17h36

pluton écrivait:
------
> enlaye, ne me dis pas que t'as pas vu les facettes d'usure des faces palatines
> des dents antérieures.....
> çà a beau être une nana, elle doit ruminer toute la journée comme la Marguerite
> de Fernandel....;-)
>
> Elle va te l'exploser, ta richemond zircone.....
Toi, tu n'as pas suivi;-))


Avatar transparent iqadnc - Eugenol
adhoc

29/03/2021 à 18h10

Hokusai écrivait:
-------
> enlaye écrivait:
> ------
> > full zircon + ic ? j ai bon ?
>
> full HN hors recommandation HAS -> PRISON.


Ou as tu vu ca? : aucune restriction dans la nomenclature. Has , j'ai tapé en recherche : "zircone has" , rien vu non plus.
Et on peut faire confiance a enlaye pour l'equilibration occlusale (par exemple a refait 36 et 37). Il est est vrai que ces articulés tres serrés, ce n'est vraiment pas facile.


Hok 1b hgd3rj - Eugenol
Hokusai

29/03/2021 à 18h12

adhoc écrivait:
-----
> Hokusai écrivait:
> -------
> > enlaye écrivait:
> > ------
> > > full zircon + ic ? j ai bon ?
> >
> > full HN hors recommandation HAS -> PRISON.
>
>
> Ou as tu vu ca? : aucune restriction dans la nomenclature.

y'a des richmond dans la CCAM exhaustive ?
tu peux aussi chercher "couronne en bambou du perou" sur le site de la HAS tu trouveras rien non plus...


Avatar transparent iqadnc - Eugenol
adhoc

29/03/2021 à 18h19

C'est un oubli, la ccam n'est pas retrograde. Avant la saleté de cnsd- ccam, la nomenclature prenait les richmonds, pourquoi ne les prendrait elle pas maintenant? U
La nomclature ecrit ca " Pose d'une couronne dentaire dentoportée céramique monolithique (zircone) sur une dent autre qu'une molaire" hbld350
En quoi une richmond n'est pas une couronne?


Vw campersurfvan bmnk1q - Eugenol
enlaye

29/03/2021 à 18h25

:-)) ah mais j avais prévenu , suis devenu complètement fou avec ce raco :-)
apres on cause usure :-) je fini avec la réponse pour 2+2 .

et si tu regardes bien , le tenon d empreinte est un pivomatic , or le canal est très ovalaire .
ce qui fait que lorsque j ai alésé le canal , j ai laissé de la gutta sur les cotés ,
et de plus j ai le téton zircon qui est à été alésé à la cote en dessous , on le voit à l œil nu .
donc on va considérer que c est plutôt une sorte d endo couronne option téton .
en espérant que si un jour le téton se casse , je pourrais tjs passer par le coté entre la racine et le téton dans le canal pour machiner

 mg 2349 hgiy7q - Eugenol

adhoc écrivait:
-----
> C'est un oubli, la ccam n'est pas retrograde. Avant la saleté de cnsd- ccam, la
> nomenclature prenait les richmonds, pourquoi ne les prendrait elle maintenant? U
> La nomclature ecrit ca " Pose d'une couronne dentaire dentoportée céramique
> monolithique (zircone) sur une dent autre qu'une molaire" hbld350
> En quoi une richmond n'est pas une couronne?

Non mais là Enlaye a coté full zircon + ic pour un richmond et là c'est bûcher direct, surtout si je le dénonce.


Vw campersurfvan bmnk1q - Eugenol
enlaye

29/03/2021 à 18h30

adhoc écrivait:
-----
" En quoi une richmond n'est pas une couronne? "
voilà je t aime quand tu parles comme ça :-)
ne les écoutes pas les autres c est rien que des faux frères , à commencer par PP la balance :-)


Orezza gazeuse verre litre ocoxey - Eugenol
casa

29/03/2021 à 18h35

Quel zir.. con qd même ce Enlaye !


12...