Cookie Consent byPrivacyPolicies.comZIRCMOND - Eugenol

ZIRCMOND

Utilisateur banni

30/03/2021 à 08h37

pourquoi on parle de fibre de carbone dans ce cas ? c'est une fibre de verre particulière? On devrait appeler ça fibre de verre noire plutôt que fibre de carbone?


Vw campersurfvan bmnk1q - Eugenol
enlaye

30/03/2021 à 08h37

Francis Lalanne écrivait:
---------------
" Bah disons que la ferraille ça se tord un peu avant de rompre, là non. "
je l ai tordu avec l ongle , pour voir , ça fait chtoing chtoing . ç est quand meme un peu élastique .
ça lui fera une guimbarde :-))


Vw campersurfvan bmnk1q - Eugenol
enlaye

30/03/2021 à 08h40

Francis Lalanne écrivait:
---------------
" pourquoi on parle de fibre de carbone dans ce cas ? c'est une fibre de verre particulière? On devrait appeler ça fibre de verre noire plutôt que fibre de carbone? "


sais pas . le tenon carbone , ç est moi qui l ai inventé , donc je connais :-)) et le carbone ç est noir , tu montes et tu descends ce sera tjs noir . si ce n est pas noir , ce n est pas du carbone .
de meme que la fibre de verre est tjs la meme , c est du verre .
lorsqu ils te disent par exemple du "carbone de haut module" , pareil , c est tjs le meme . la seule difference se situe dans le diamètre du fil , donc du nombre de brins par m2 et le tissage , ç est tout


Vw campersurfvan bmnk1q - Eugenol
enlaye

30/03/2021 à 09h22

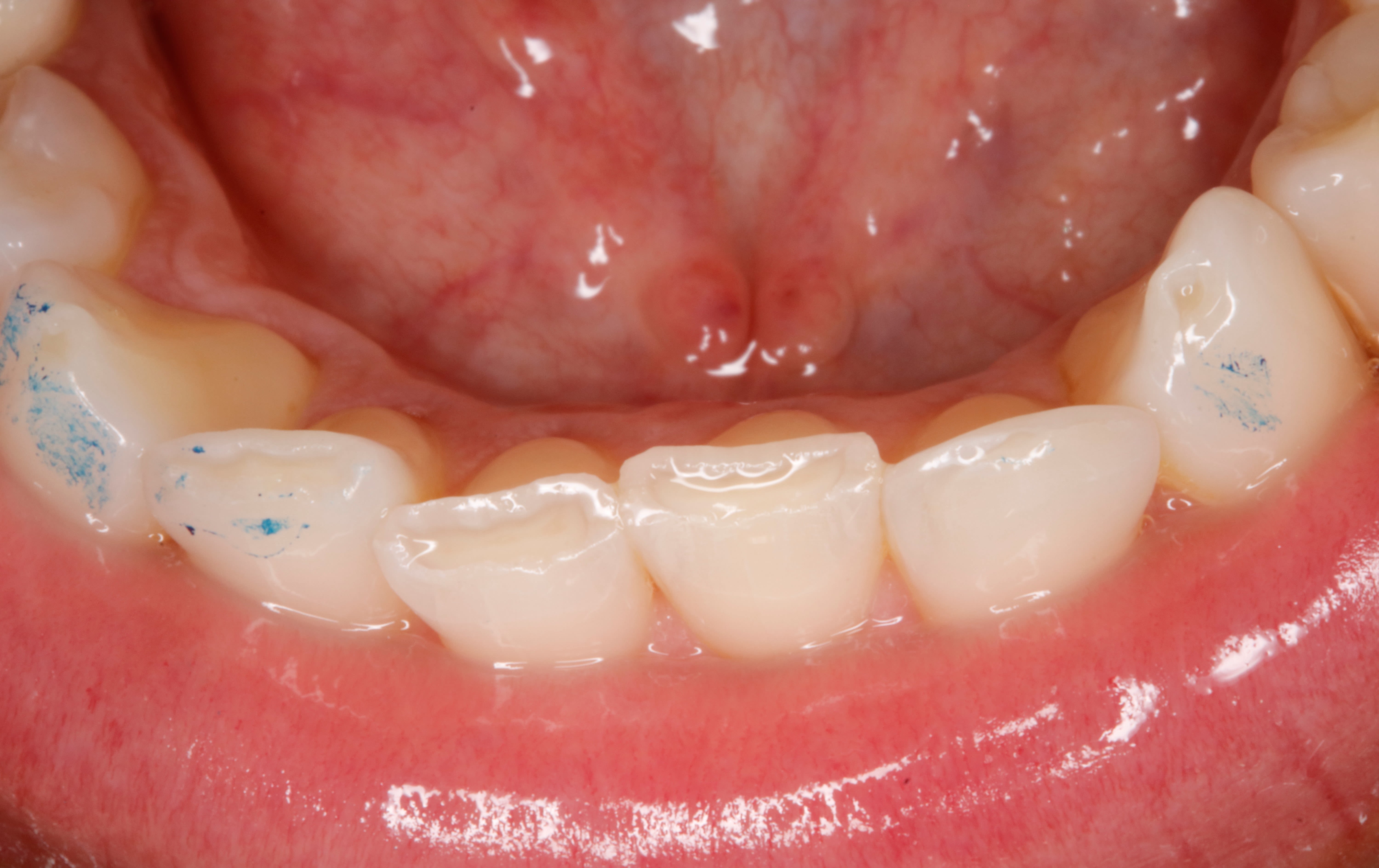
voilà la photo des points de contacts ( d occlusion ) juste apres la pose . tu penses bien que l on ne va pas s arrêter là :-))

Inked mg 2354 li l044dn - Eugenol

Ylfwcw979cz1jnx9gfqeaxndiuzk - Eugenol
Algi

30/03/2021 à 10h44

Juste un truc....

Zircon je pratique depuis un bon moment et ça se colle pas.

Si ton tenon est pas rigide tu as un gros risque de descellement.


--

On a toujours le choix mais entre quoi et quoi?
Vas-y boulégue et l'avenir te le dira!


Vw campersurfvan bmnk1q - Eugenol
enlaye

30/03/2021 à 16h50

c est vrai que rien ne tient dessus .
a la limite si ça se descelle ce n est pas trop grave .
mais effectivement si le ciment lâche en cervical et pas en bas le tenon peut se casser c est fort possible .
par contre que le tenon soit rigide ou pas je ne vois pas ce que cela change quand au risque de descellement .
une centrale se décolle le plus souvent lorsqu il y a une force de traviol qui le tourne comme un tire bouchon alors j espère que la box fasse anti rotationnel s y oppose .


Vw campersurfvan bmnk1q - Eugenol
enlaye

30/03/2021 à 17h07

- on voit bien que la 31 , sous la pression de l ancienne ccm en surocc de 21 , est partie en arr .
partie en arr mais aussi rabotée , donc plus courte . on ne le voit pas tres bien sur cette photo mais c est le cas .
- ce recul a favorisé un petit torque de rotation sur 41 et 32 : les angles distaux sont sortis


le fait d avoir fait d avoir fait la 22 en grosse sous occ , pourrait dans un premier temps me rassurer ,
mais ça ne suffit pas pour être tranquille .
le fait qu elle sente ses 2 dents du bas ( 32 et 41 ) ç est pas terrible .
alors c est le moment d en profiter pour lui donner un peu d aisance devant en limant un poil ces angles qui dépassent .
apres il ne restera plus qu a faire la 34 .


Capture d écran 2018 05 16 à 21.30 - Eugenol
Daryl

30/03/2021 à 19h24

" Faire la 34 " , tu veux dire raboter l'angle vestibulo distal qui déborde ou carrément la recouvrir ??

Quand tu vas limer 32 et 41, qu'est ce qui fait que ces surcontacts antérieurs ne vont pas revenir??
Le seul fait de rééquilibrer en postérieur avec de nouvelles prothèses, est suffisant pour que plus rien ne bouge devant ??
Je demande car des fois, je fais ça aussi et pis 1 ou 2 an plus tard, me voilà avec de nouveaux des contacts trop marqués en antérieur et donc trop de compression.. Et je cherche pourquoi et...

Et sinon, très sympa tes cas, très instructifs, merci le Varois ;-))


Bing surfboards tm mark pcsd1h - Eugenol
jayetche

30/03/2021 à 22h03

Salut Enlaye, merci encore pour ce nouveau cas, cependant il est plus complexe a apprehender me concernant. tu as dit qu'on pouvait dire des conneries...tu ne vas pas etre deçu...

J’ai bloqué sur le fait d'avoir refait 4647. je n'ai pas compris le principe de ce point sur la cuspide Disto palatine de 27, la concavité est d'ailleurs très marquée sur 37 , tu as réduit cette cuspide sur 27 pour recréer un relief en 37? mais là ou je ne te suis pas c'est pourquoi cette modification impacte et securise tes contacts antérieurs?, Dans l'idéal ne serait il pas intéressant de faire des overlays type "table top" pour augmenter légèrement la DV et se mettre à l’abri quitte à passer en mock up sur 1 ou 2 mois et tester ce projet occlusal en conditions reelles ?


Vw campersurfvan bmnk1q - Eugenol
enlaye

30/03/2021 à 22h24

Daryl écrivait:
-----
" Quand tu vas limer 32 et 41, qu'est ce qui fait que ces surcontacts antérieurs ne vont pas revenir?? "

dans la mesure où la 21 ne pousse plus la 31 , 32&41 auront moins tendance à bouger .
le fait de limer ces angles , c est pour donner du confort , et harmoniser les glissements .
j espère qu elle ne vas plus partir dans des mvts décalés énormes maintenant que je pense en avoir supprimer la cause , donc celà devient un juste un réglage classique conventionnel .
et ce n est pas énorme comme grattage , tu t arrêtes lorsque elle te dit qu' elle est bien .
et ils le savent bien te le dire . contrairement à avant , lorsqu' il y avait la mega sur occ sur la couronne qu elle ne sentait pas . pcq la forte surcharge avait augmenté le seuil de proprioception desmodontal .
voilà une fois la photo une fois gratté , regardes , ç est vraiment léger , mais ça change tout .


 mg 2355 n4jbku - Eugenol

Vw campersurfvan bmnk1q - Eugenol
enlaye

30/03/2021 à 22h42

jayetche écrivait:
--------
" J’ai bloqué sur le fait d'avoir refait 4647 "
pcqu il le fallait pour des raisons de restaurations , je l ai dit plus haut , il se trouve que pour pouvoir avoir la place de placer des couronnes correctes et les mettre dans le plan d occlusion , oui j ai fait une coronoplastie des antagonistes à savoir 16 & 17 . c est tout . de la fixée de base .
faut pas se focaliser là dessus , pcq si j avais su que ça vous plairait tant , j' aurais pris des photos de 46 et 47 avant :-))) tu aurais trouvé ça evident . 46 et 47 c est 1 an facile avant de refaire la 21 qui vient de se casser .
mais dejà elle avait eu un gain de confort énorme . ç est comme ça que j ai pu dire que c etait une cause primaire : pcq ce pb etait plus ancien que la couronne , et que de l avoir machinée ça a changé les choses .




Vw campersurfvan bmnk1q - Eugenol
enlaye

30/03/2021 à 22h58

jayetche écrivait:
--------
" je n'ai pas compris le principe de ce point sur la cuspide Disto palatine de 27, .........."
tu parles du batard ? :-))
je n ai rien touché secteur 20 et 30 , rien .
ce point noir que tu vois est une usure naturelle , je l ai juste colorié :-)
il se trouve que lorsque tu poses les platres sur la table , en faisant coïncider les facettes de para fonction , que ce soit à gauche ou a droite , il est tjs là en appui . alors que bien d autres dents se desengrenent , lui , le batard , non . :-)
moi , je vous montre ce que je vois , ç est tout .
bon , il s avère que ça fait 30 ans que je joue avec les plâtres , et je remarque que certaines similitudes reviennent , et je vous en fait part . donc mes conclusions ne sont que le resultat de constatations récurrentes .
avec des relations de cause à effet en clinique , bien sur , à force .


Vw campersurfvan bmnk1q - Eugenol
enlaye

30/03/2021 à 23h10

jayetche écrivait:
--------
" Dans l'idéal ne serait il pas intéressant de faire des mock up type "table top" pour augmenter légèrement la DV et se mettre à l’abri quitte à passer en mock up sur 1 ou 2 mois et tester ce projet occlusal en conditions reelles ? "

tu veux vraiment mon avis ?? :-))
des que tu entends le mot , " mock up ", "table top" , tu t en vas , tu peux aller au bar ou à la plage , tu vas ou tu veux mais tu t en vas :-)))


6szjws718sv1jksw54v4mpj3a6cu - Eugenol
vulpi

30/03/2021 à 23h12

enlaye écrivait:
------
> jayetche écrivait:
> --------
> " Dans l'idéal ne serait il pas intéressant de faire des mock up type "table
> top" pour augmenter légèrement la DV et se mettre à l’abri quitte à passer en
> mock up sur 1 ou 2 mois et tester ce projet occlusal en conditions reelles ? "
>
> tu veux vraiment mon avis ?? :-))
> des que tu entends le mot , " mock up ", "table top" , tu t en vas , tu peux
> aller au bar ou à la plage , tu vas ou tu veux mais tu t en vas :-)))
Ça dépend, à six mois de la retraite, c'est jouable 😁


Vw campersurfvan bmnk1q - Eugenol
enlaye

31/03/2021 à 00h18

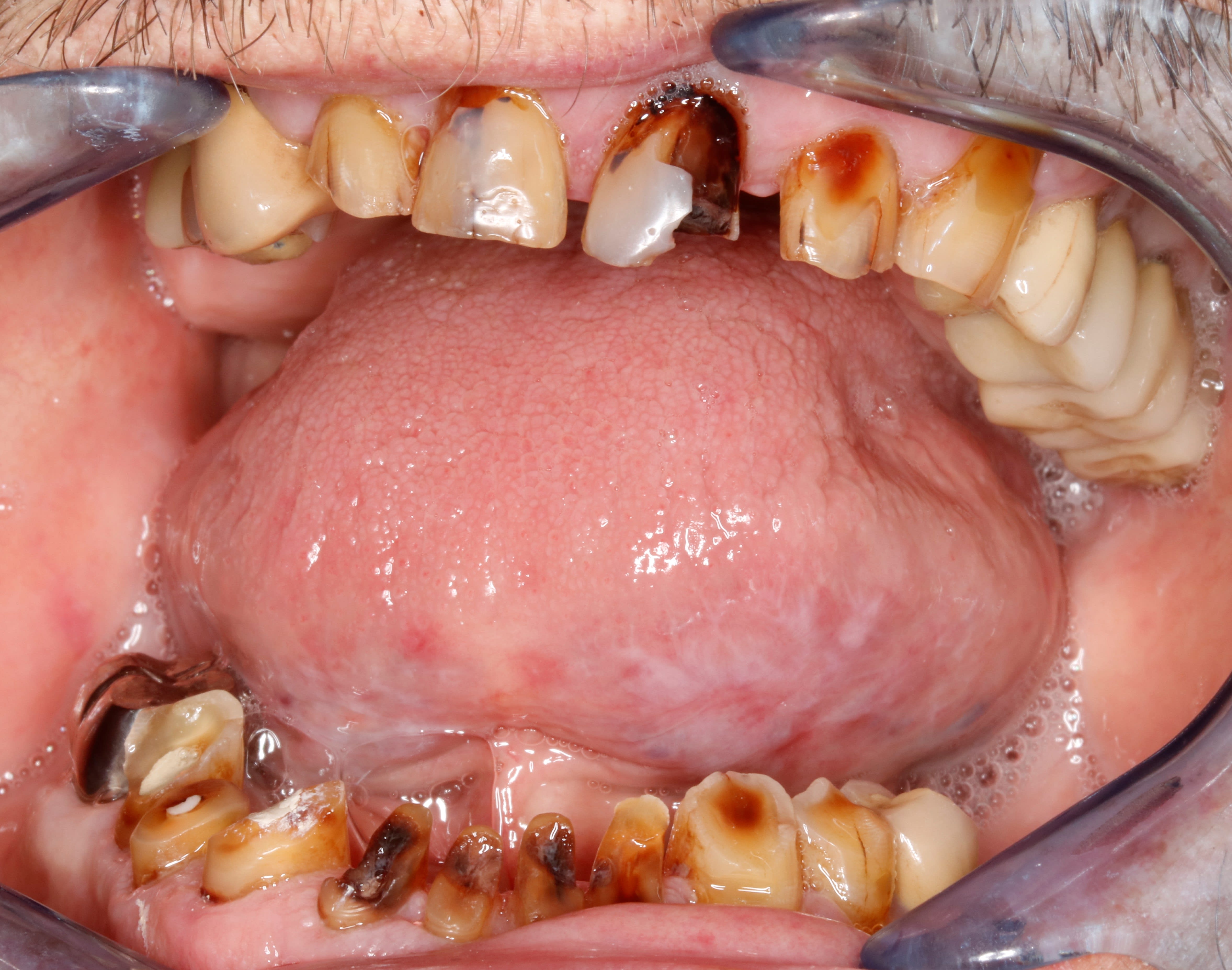
mais ce n est pas ma première de zircmond :-)

tout a commencé par une matinée brumeuse apres un reveil difficile , où lorsque tu ouvres la porte du cab et que tu tombes sur celui de 9h alors qu il est 9.30 que tu te dis oh putainnng pas lui .
celui là même que chaque fois qu il te voit , il te prend pour le dr Danette , et se leve pour te dire :
vous avez mes dents ?
,vous avez mes dents ?
,vous avez mes dents ,?..
.à l infini .sait dire que ça lui .
seulement , il n etait pas pres de les avoir ses dents , pcq je ne le trouvais pas son putain de canal , et gratte , et gratte et rien malgré déjà 2 séances , alors qu elle n avait rien au départ cette dent question pulpite ou nécrose , il me fallait seulement trouver un peu de rétention , et surtout un bon triple café avant de commencer . ç est surtout ça .
et la question qui revient qui te rend fou : vous avez mes dents ?
y se rendent pas compte qu il y a pour eux le destin qui rentre en jeux , l imprévu , la galoute , la misere , qui peut se mêler , en un mot y ne faut pas me casser les bombons , son horoscope de var matin pouvant se modifier tres rapidement .
les dents tu veux ??? ok , ok , aller marre on prends l empreinte dans l etat .
et voilà ma 1ere zircmond :-)))

Radio cia34m - Eugenol

Vw campersurfvan bmnk1q - Eugenol
enlaye

01/04/2021 à 13h24

et ça fait un moment qu il est comme ça avec sa 21 en zircmond .

 mg 2388 yiabfu - Eugenol

J'ai exactement eu le même cas, voire 2 ou 3 ou ce put .. de sa race de sa mémé cowboy de canal calcifié de m... que tu vois à la radio mais que tu peux pas rentrer dedans comme avec les bombasses dans les magazines ou dans les pub et sur lesquels (les cas pas les bombasses) j'ai collé des endocouronnes Emax.
Donc une question me turlupaf, pourquoi que tu fais t'il pas des zimax qui se collent plutot que des zircones qui se collent moins bien,
hein dis ?


Vw campersurfvan bmnk1q - Eugenol
enlaye

01/04/2021 à 13h39

le raco mon ami le raco :-))

pourtant le cas de départ , n etait pas , comment dire ? heuuu très favorable .
mais comme on est des craint degun , le full raco aidant , ils sont tous là à vouloir leurs dents de suite .
mouhahaha y m a rendu dingue full cuilà :-)

 mg 2095 na0fou - Eugenol
 mg 2096 imslzb - Eugenol

Vw campersurfvan bmnk1q - Eugenol
enlaye

01/04/2021 à 14h45

Bon j avais oublié de vous dire , chez moi y a pas de prov :-)
comment tu disais deja ? Moque eupe ? Table taupe ? :-))))))
Tu m etonnes qu il voulait ses dents :-))


Orezza gazeuse verre litre ocoxey - Eugenol
casa

01/04/2021 à 16h23

Ha ha ha , je vois qu'on a un peu les mêmes , ils boivent pas que de l'eau ceux là .... et d'un seul coup ils veulent des dents .... mais sans dec , le rac 0 leur sauve la face quand même ! au sens propre bien sur .


Ylfwcw979cz1jnx9gfqeaxndiuzk - Eugenol
Algi

01/04/2021 à 16h48

enlaye écrivait:
------
> Bon j avais oublié de vous dire , chez moi y a pas de prov :-)
> comment tu disais deja ? Moque eupe ? Table taupe ? :-))))))
> Tu m etonnes qu il voulait ses dents :-))


Mdr !


--

On a toujours le choix mais entre quoi et quoi?
Vas-y boulégue et l'avenir te le dira!


6szjws718sv1jksw54v4mpj3a6cu - Eugenol
vulpi

01/04/2021 à 16h57

casa écrivait:
----
> Ha ha ha , je vois qu'on a un peu les mêmes , ils boivent pas que de l'eau ceux
> là .... et d'un seul coup ils veulent des dents .... mais sans dec , le rac 0
> leur sauve la face quand même ! au sens propre bien sur .
Oui, mais pour combien temps (sur le mode désabusé... rac0, one shot, Chang à la prothèse...)?


Hok 1b hgd3rj - Eugenol
Hokusai

01/04/2021 à 17h32

casa écrivait:
----
> Ha ha ha , je vois qu'on a un peu les mêmes , ils boivent pas que de l'eau ceux
> là .... et d'un seul coup ils veulent des dents .... mais sans dec , le rac 0
> leur sauve la face quand même ! au sens propre bien sur .

Oui... Dans 5 ans la belle prothèse solvabilisee se cassera la figure par absence d hygiène. On balance littéralement le pognon par la fenêtre...


Orezza gazeuse verre litre ocoxey - Eugenol
casa

01/04/2021 à 18h21

par manque d'hygiène ? ben hoku , le manque d'hygiène..; c'est un pb récurent , le cas d'Enalye , l'hygiène de vie déjà c'est pas terrible et quelles que soient les techniques ,ça ne va changer bcp les choses ; C'est pas : je choisis telle ou telle prothèse : c'est rien ou une prothèse , donc là y'a prothèse ! et on ne sait jamais , il aura peut-être envie de s'y mettre ... faut pas désespérer . J'ai depuis le RAC 0 fait quelques cas comme ça ... Avant c'était même pas la peine ... donc oui , ça leur change la vie , combien de temps ça durera , j'en sais rien mais on leur donne une chance de s'en sortir , après on ne va pas non plus changer le monde . Combien de temps ? ben le temps d'une couronne dans des cas comme ça , ni plus , ni moins . Prothèse ne veut pas dire miracle non plus .


Hok 1b hgd3rj - Eugenol
Hokusai

01/04/2021 à 18h29

casa écrivait:
----
> on leur donne une chance de s'en sortir ,

???... On est en France pas au fin fond de l Ethiopie.
C est pas "une" chance qu on donne... C est de l assistanat de la naissance a la mort... Non stop...

Je fais de la proth CSS chez des jeunes qui sortent leur iphone sur le fauteuil... Ed nat gratos... Formation gratos... Permis de conduire gratos... Pôle emploi gratos... Et dent gratos... C est pas "une" chance. C est un patacaisse de chance... Ultra coûteuse et sans aucune coercition.

"J ai bien fait de rien branler... Mêmes les dents c est gratis".

Ou comment infantiliser une population déjà bien abîmée par 40 ans de socialisme clientéliste.