Cookie Consent byPrivacyPolicies.comCollage/scellemnt zircone et e.max - Eugenol

Collage/scellemnt zircone et e.max

6szjws718sv1jksw54v4mpj3a6cu - Eugenol
vulpi

02/05/2021 à 16h28

Gourmand!


Vw campersurfvan bmnk1q - Eugenol
enlaye

02/05/2021 à 18h20

Pepito de Las Vegas écrivait:
-------------------
" Deuxième remarque : imaginons une limite légèrement infra , la limite de la bague dépassait les limites de la préparation, pour peu qu’on appuie trop , ça devait niquer le sillon gingival et entraîner de magnifiques récessions. "

non non ,
j ai oublié un truc , c est que la bague un fois que tu l avais ramollie en la recuisant , tu la decoupais avec des petits ciseaux à bague :
- tu la positionnais puis tu prenais une sorte de mine criterium montée sur un manche coudé et tu traçais la gencive sur la bague
- tu coupais la bague , et tu recommençais et ainsi de suite un peu comme lorsque tu adaptes un ion ...


Vw campersurfvan bmnk1q - Eugenol
enlaye

02/05/2021 à 18h22

Pepito de Las Vegas écrivait:
-------------------
" Pour moi un inlay core doit être sablé et rugueux "

et ton tenon implantaire , il est sablé et rugueux ??? :-))
rholala le cqfd que tu t es pris :-))


Vw campersurfvan bmnk1q - Eugenol
enlaye

02/05/2021 à 18h25

la coiffe ne tient que par la limite , c est comme un chapeau , il ne tient que par le sertissage .
que tu ais une casquette ou un haut de forme .
tout ce qu il y a au dessus des 2mm de la limite ne sert que pour la stabilisation .


Vw campersurfvan bmnk1q - Eugenol
enlaye

02/05/2021 à 18h36

mla3 écrivait:
----
"" "provisoire = risque de tirage sur l empreinte ." tu peux developper stp? " ""

pcq le sulcus ne peut pas etre sec , tout simplement .
le prov mal ajusté + le monomère qui en sort + le ciment prov , etc , crée un etat inflammatoire chronique et .du coup tu as tjs un exsuda gluant qui sort du sulcus . sans parler du tissus prolifératif qui s est crée en proximal . t as beau souffler , mettre tes produits , hop ça remonte .
alors tu crois que c est sec , mais lorsque tu mets ton light , d abord il ne descendra pas mais il te fera remonter cet exsudat gluant contre le moignon ce qui vas te faire fuser le light


Vw campersurfvan bmnk1q - Eugenol
enlaye

02/05/2021 à 18h39

mla3 écrivait:
----
" j'aimerais bien avoir aussi une image de l'intrados d'une de tes coiffes (du type posté plus haut) merci. "
ah j ai pas , je ne suis pas photographe à var matin , non plus :-)
pourquoi ? tu veux y voir quoi ?


Vw campersurfvan bmnk1q - Eugenol
enlaye

02/05/2021 à 18h47

Jeunedentiste91 écrivait:
---------------
" elles sont très jolies tes zircones ! "

"" la mienne est plus belle que la votre "" ,
pourquoi je peux dire mes ( ou celles de Blaise ) zircon sont forcement ,( enfin il y a plus de chance ) , plus belles que les vôtres ??? :-)))
je parle bien des couronnes fraisées pour les ccc ou ccm ç est different .
indice : bien sur ça a un rapport avec cette technique que partage Blaise .


TA2

02/05/2021 à 18h47



"Réponse du comité éditorial de la SOP

La bague de cuivre est obsolète pour prendre des empreintes de prothèse conjointe.
Il y a d'abord le trauma gingival qu'elle entraine malgré toutes les précautions, et le meilleur ajustage possible.
Ensuite la technique oblige à passer par des étapes de laboratoire supplémentaires, comme la galvanisation, le repositionnement des dies etc.. Chaque étape étant potentiellement une source d'erreur, moins il y a d'étapes dans le traitement d'une empreinte, mieux c'est.
Les nouvelles techniques d'ouverture du sulcus sans traumatisme, permettent aujourd'hui de prendre une empreinte extrêmement précise des zones sous-gingivales en un seul temps sans se compliquer la vie."



Ceci dit technique apprise effectivement , avec le bonheur de la galvanisation . Non mais serieux on va se remettre a faire des couronnes tubes avec une face occlusale surcoulée ;o)))

Mais la bague de cuivre c'est quand meme pas mal pour des reconstitutions avec des matériaux foulés . Qui déja parlait de bulles déja dans ses moignons ? ;o))


Vw campersurfvan bmnk1q - Eugenol
enlaye

02/05/2021 à 18h51

sur , TA2 , je sais pas ce qu il a le Pepito , ptetre , qu il veux ecrire un livre d histoire sur la dentisterie de l epoque Ming à nos jours , vas savoir :-)


Vw campersurfvan bmnk1q - Eugenol
enlaye

02/05/2021 à 19h29

.


Utilisateur banni

02/05/2021 à 19h51

enlaye écrivait:
------
> Pepito de Las Vegas écrivait:
> -------------------
> " Pour moi un inlay core doit être sablé et rugueux "
>
> et ton tenon implantaire , il est sablé et rugueux ??? :-))
> rholala le cqfd que tu t es pris :-))

Cqfd que dalle :)
Je fais du transvissée généralement. La partie sous gingivale est lisse pour une autre raison : pour que les saloperies se collent moins facilement. Ceci étant quand on regarde nos piliers de cicatrisation lisses et usinées , faut avouer que la plaque se fixe dessus bien comme il faut .

Et pour un moignon sur dent naturelle, je polis que dalle, . Je ne les suce pas mes moignons moi Monsieur :))


Nouveau image bitmap fz77zh - Eugenol
Sethef

02/05/2021 à 19h56

Ca, je l'ai beaucoup entendu, pour poser la digue aussi.
J'en pense que ceux qui racontent ça, ne doivent pas la poser bien souvent la digue en question.

TA2 écrivait:
---
>
> Mais la bague de cuivre c'est quand meme pas mal pour des reconstitutions avec
> des matériaux foulés . Qui déja parlait de bulles déja dans ses moignons ?
> ;o))


Vw campersurfvan bmnk1q - Eugenol
enlaye

02/05/2021 à 20h43

Pepito de Las Vegas écrivait:
-------------------
" Et pour un moignon sur dent naturelle, je polis que dalle, . Je ne les suce pas mes moignons moi Monsieur :)) "
Ceci dit ils ne sont pas polis mes moignons , pour ça qu ils brillent , s ils etaient polis ils ne brilleraient pas :-)) il sont justes taillés au grain fin , et comme ils ne sont pas polis , ca baisse la tension superficielle et la salive s etale bien dessus .
Pour ca que ca brille sur les photos :-))
Et pourquoi le grain fin ? Pour ne pas gnaquer la gencive et faire pisser le sang .


Vw campersurfvan bmnk1q - Eugenol
enlaye

02/05/2021 à 20h45

Alors Pepito , pourquoi mes couronnes fraisées sont jolies question morpho ?


PtnbZ

03/05/2021 à 07h51

La dernière fois, taille d'une 6 du haut. Hop, je m'y attelle, je suis plutot satisfait de moi, je fais ma préparation périphérique, je réduis en occlusal, je casse les angles. Hyper fier !
Puis empreinte à la caméra optique : la fierté se transforme en dégout. Pas de congé en mésial ! Où est il passé mon congé? En vacances comme Junior ???

Conclusion, pour bien bosser, ne faites pas du numérique.


Vw campersurfvan bmnk1q - Eugenol
enlaye

03/05/2021 à 08h02

Comment ça ? Tu n as pas pu prendre tes congés ? Pas compris .
Racontes à papy , tu peux tout dire à papy .


Vw campersurfvan bmnk1q - Eugenol
enlaye

03/05/2021 à 10h23

alors , ? tout le monde s en tape de ma devinette ? tant pis pour vous je vous donne quand meme la reponse :-))

donc comme l a dit Blaise , une dent parait jolie lorsque sa forme est belle . mais en fait il faut remplacer jolie ou belle par naturelle . et ce qui fait naturel , à l œil , comme pour une 5 ce n est pas tellement la face occlusale que l on ne voit pas mais c est surtout son rapport à la gencive , autrement dit de son émergence . c est ce que l oeil voit tout de suite par comparaison .

bon mais alors quelle rapport avec ma technique ?
pour en comprendre l intérêt , il faut d abord savoir comment ça se passe avec le logiciel de fraisage .
il faut savoir que le programme , pour choisir la forme de la dent , il tient compte de la forme de la gencive contre la limite et du point de contact . le reste il s en fout à part l antago pour la face occlusale . et apres il te relie la face occlusale et la forme de l émergence . et il faut savoir qu il horreur du vide :-)

ce qui veut dire que :
- si tu tailles comme un sauvage avec une fraise comme celle de Jeunedentiste , forcement tu tailles la gencive ,
- ou que si tu as besoin de faire une eviction de la mort tu tailles aussi la gencive pour une empreinte à la cam ..
- ou que si tu prends une empreinte silicone où l on ne voit pas bien le profil d emergence , et bien le labo vas te la détourer avant le scan pour mettre en evidence la limite , et cela revient a encore tailler la gencive .
bref dans tous ces cas , tu perds la gencive , surtout en proximal .
du coup le logiciel , va te faire par defaut une emmergence epaisse .
alors tu peux apres trafiquer avec la souris , mais ce qui se passe c est que si avec la souris tu déformes un endroit , ca déforme par ailleurs comme un carambar .
des lors que tu touches ca devient presqu une histoire sans fin chargée de compromis .
tu crois que le proto va passer 3 heures pour ta zircon à 3 sous ? même pas en rêve .

alors qu avec mon système de taille et donc d empreinte sans éviction nécessaire , tu obtiens une empreinte de la dent + de la gencive intacte telle qu elle est et surtout telle qu elle restera .
un peu comme une empreinte implantaire avec la fausse gencive .
du coup , le logiciel trouve tout de suite la forme de dent qui va bien , qui s encastre naturellement dans la gencive avec une belle émergence en direction de point de contact .

alors Pepito , qui c est le patron? :-))


Vw campersurfvan bmnk1q - Eugenol
enlaye

03/05/2021 à 14h04

bon , je vous ai dit que le programme se callait par rapport à la gencive et au point de contact , ok ?
mais quand tu en fais 2 ou 3 a la suite , il n y a plus de point de contacts réfèrent :-) , t imagines le bordel ? ç est ingérable !
alors si en plus tu n as pas contour gingival directeur , c est le pompon .
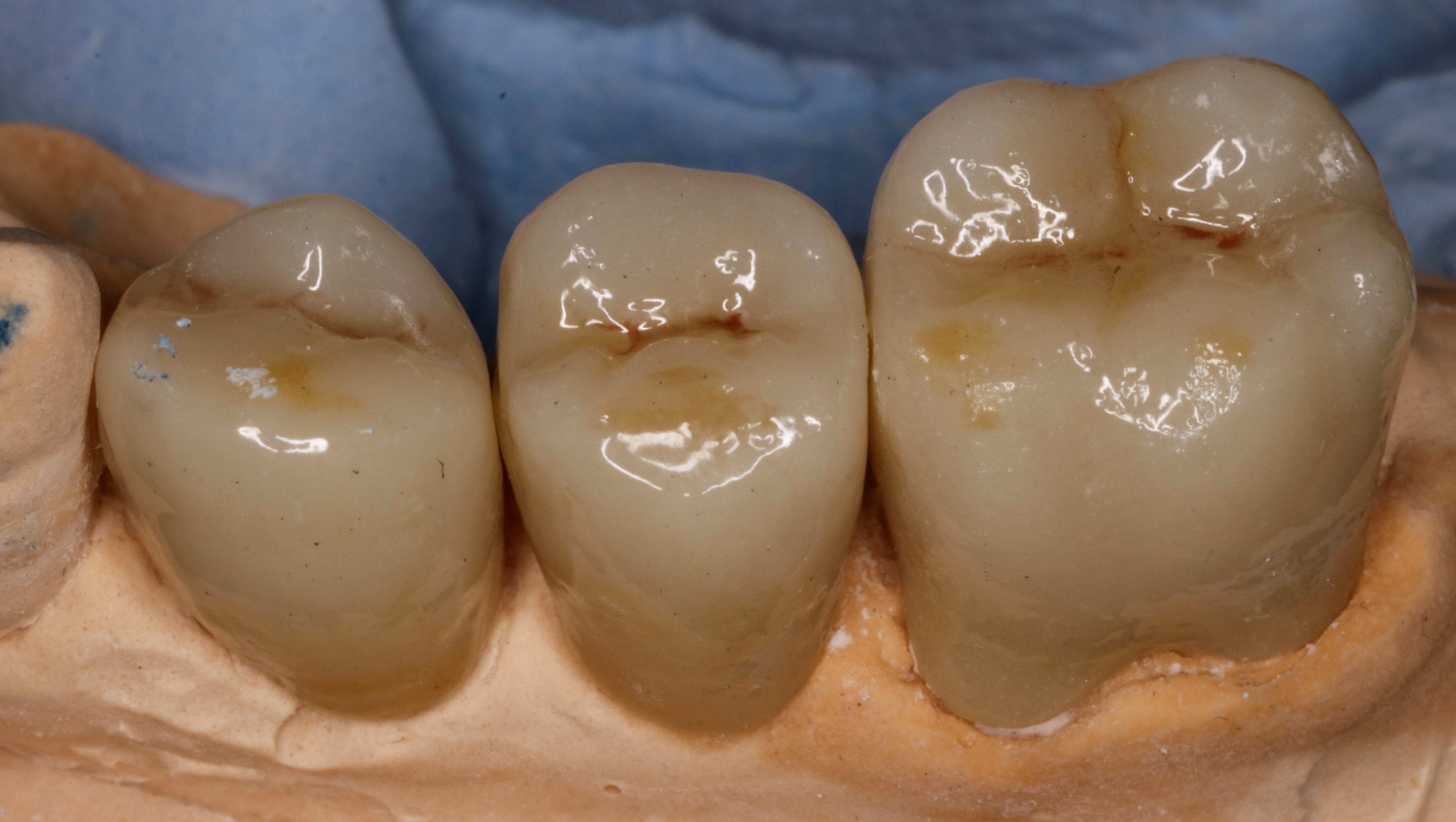
ç est ce qu il m est arrivé ici : la gencive n était pas trop mal , mais comme la 4 etait en rotation , ben c est comme si il n y avait plus de gencive , ç est parti en sucette .
pourquoi ? pcq le proto en fait une ( sur l ecran ) , ( l'a valide ? ) , puis en fait une 2 eme en fonction de la 1ere pipé et etc .
ahhh y peut en mettre du marron le cochon , c est une grosse merde , aller hop retour labo
crêtes marginales non alignées , points de contacts pipés , émergence à la con y a tout a reprendre ..

 mg 2465 hyd0vz - Eugenol

Hok 1b hgd3rj - Eugenol
Hokusai

03/05/2021 à 17h40

Enlaye, quand tu dis que tu finis les tailles aux grains fins, c est quelle granulométrie ? Et a la turbine ?


Utilisateur banni

03/05/2021 à 17h54

enlaye écrivait:
------
> Alors Pepito , pourquoi mes couronnes fraisées sont jolies question morpho ?

Premièrement parce que ton proto n’est pas totalement une brêle :)

Moi je prends n’importe quelle fraise . Je prends celle qui me tombe sous la main. De la fraise cylindrique , à la fraise ogivale , 1/4 de rond , et je m’en tape.
Je fais juste attention à ce que les fraises usées soient exclusivement utilisées pour les couronnes métalliques. Car qui dit fraises usées dit préparation irrégulières , et dit préparations moins belles. Et ça me paraît logique que ça soit plus moche avec les couronnes métalliques qui sont moins onéreuses.

6571c5c7 971a 4d15 8d5a 4167ead377ff xelb1g - Eugenol

Vw campersurfvan bmnk1q - Eugenol
enlaye

03/05/2021 à 18h39

sont jolies des tailles Pepito


Utilisateur banni

03/05/2021 à 19h17

C’est de la finition bague noire gros grains :)))


Vw campersurfvan bmnk1q - Eugenol
enlaye

03/05/2021 à 19h22

Hokusai écrivait:
-------
" Enlaye, quand tu dis que tu finis les tailles aux grains fins, c est quelle granulométrie ? Et a la turbine ? "
bague rouge et peu importe turbine ou pas suivant ce que j ai sous la main .

 mg 2472 kne72b - Eugenol

Vw campersurfvan bmnk1q - Eugenol
enlaye

03/05/2021 à 19h32

Pepito de Las Vegas écrivait:
-------------------
" C’est de la finition bague noire gros grains :))) "

tu en as encore plus de mérite , pcq la noire mange beaucoup or tes limites sont régulières dans tous les axes .


TA2

03/05/2021 à 19h33

un bonne fraise sent l'ail .

bon j'suis fatigue là ;o)