Cookie Consent byPrivacyPolicies.comExtraire ou ne pas extraire 4 prémolaires - Eugenol

Extraire ou ne pas extraire 4 prémolaires

Avatar transparent iqadnc - Eugenol
adhoc

07/06/2021 à 17h36

>On t’aurait appris qu’il fallait et non pas qu’il « faut »
Tu n’y connais rien en concordance des dents<
LOL pour le calembour!
Sinon, pas d'accord, furwas, quand on est en presence d'un fait ETABLI, pérenne.

On dira par exemple: on m'avait appris que le violet EST la couleur du spectre visible pour l'humain à la plus haure fréquence.
Ou alors
On m'aurait appris que que le violet EST la couleur.... blablabla, ca m'aurait aidé aujourdhui.

Un présent est mis ici, pour moi, à raison, pour la notion de continuité du concept; maman-junior, est un des intervenants d'eugenol à la meilleure syntaxe, c'est tres tres difficile de trouver une faute dans ses écrits! (ce qui le trahit :-)))


Vw campersurfvan bmnk1q - Eugenol
enlaye

07/06/2021 à 18h26

maman. écrivait:
------
" D’ailleurs si Enlaye est honnête :)) il me disait enregistrement RC pointe de la langue vers l’arrière "

à vie tu vas me faire passer pour le grand léchant mou , avec cette histoire de langue ? :-))


Utilisateur banni

07/06/2021 à 20h39

Doagui n'a toujours pas répondu au message du 05/06/2021 à 20:55. (par rapport à son affirmation : le traitement ortho n'a aucune conséquence sur les ATM , et n'engendre jamais de problème à ce niveau)

Sinon il semblerait que maman voit très peu de pistes de Planas , de Bielles , d'orthèses progressives, de Lip bumper , d'enveloppes nocturnes linguales..... on se demande bien pourquoi on voit autant de classes 2 ou 3 dans la nature. Est-ce que le travail est véritablement fait en amont par les personnes concernées ? :))


TA2

07/06/2021 à 20h51

adhoc écrivait:
-----
; maman-junior, est un des intervenants d'eugenol à la meilleure
> syntaxe, c'est tres tres difficile de trouver une faute dans ses écrits! (ce qui
> le trahit :-)))

CI il ni avait queue ca sainte taxe ! ten paçe et dé mailleurs ;o)


furwas

07/06/2021 à 21h06

Une technique pour mettre vulgaire maman en centrée:l'uppercut !


Vw campersurfvan bmnk1q - Eugenol
enlaye

08/06/2021 à 06h59

furwas écrivait:
------
" Une technique pour mettre vulgaire maman en centrée:l'uppercut ! "

donc en lui mettant un taquet dans la machoire , , tu as bien l intention de lui reculer la machoire et de lui claquer son bec . c est un coup à lui faire bien mal ça , voir meme à ​ç est un coup à la mettre ko .

claquer son bec , ç est rigolo , ça , comme expression , pcq nous on a pas de bec , pas de museau non plus , nous on a rien , on est les seuls a avoir la machoire directement sous le cerveau . alors forcement si tu mets un bon taquet à maman il y a de quoi l ébranler , alors que si maman était un grosse vache ou une grosse chienne , pas sur qu en lui claquant les dents , tu puisses la calmer net , son cerveau etant alors loin derriere .
comme quoi , chez nous ,on a tout intérêt à nous protéger le cerveau des secousses occlusales , on sait jamais :-))


Utilisateur banni

08/06/2021 à 08h29

Furwas faut pas être violent comme ça :)
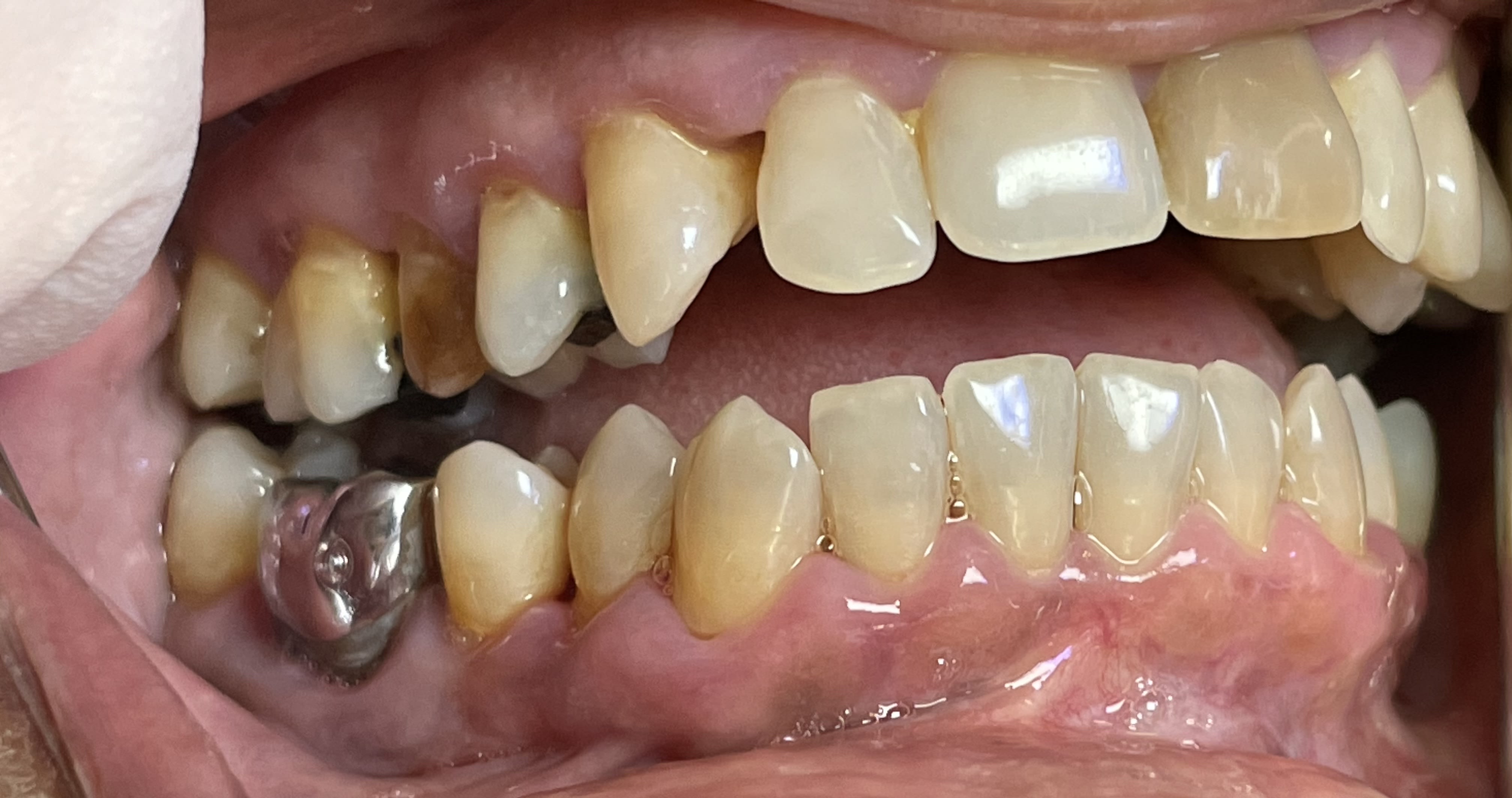
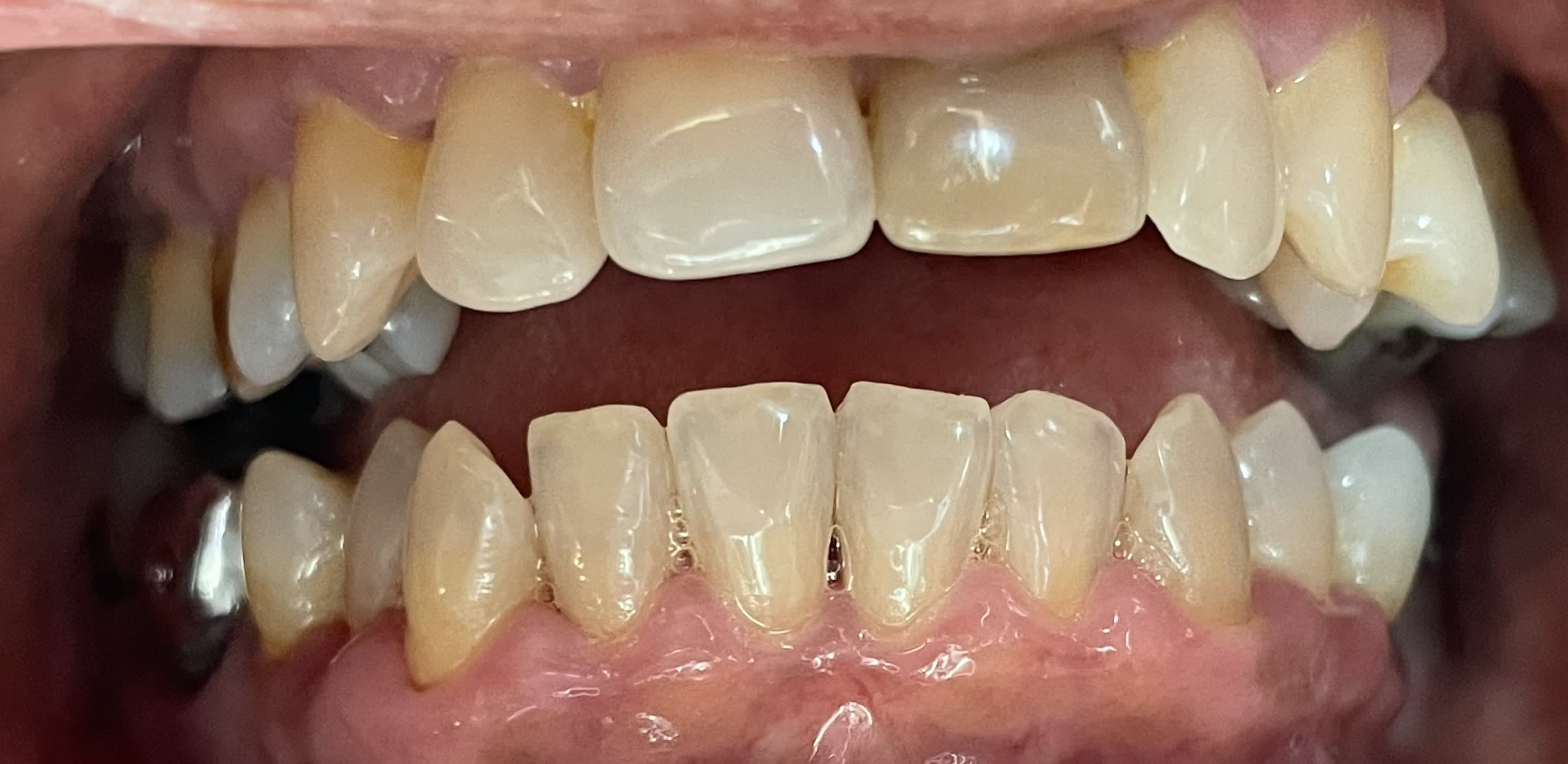
Vu que je parlais de langue , qu’est-ce que vous faites dans ce cas ? Vous savez les cas où on a juste les 7 qui touchent … voir même juste les 8

Ad302cfb af0e 4542 9891 8e9989754452 bdt63y - Eugenol

Vw campersurfvan bmnk1q - Eugenol
enlaye

08/06/2021 à 08h34

:-) j ai dit que Maman pouvait etre une grosse vache ou une grosse chienne , mais ne on sait pas ça pourrait etre un phoque aussi .
et contrairement à ce qu on dit , un phoque n est pas homenivore , ni omnivore non plus .
alors tu pourrais y mettre tout les uppercut que tu veux , il n a meme pas de branche montante ,, du coup il n a meme pas besoin de courbe de spee , y risque rien et de toute facon , pcq meme si tu tapes fort en lui claquant les dents , il a tellement de calage par son engrènent , que ça ne peut pas partir en arrière .
nous à coté , avec notre engrenement mis à part notre petite 4 qui fait butée anti retrusive , on est petit joueur .
bon en plus , sais pas si tu as vu mais elle a l air bien évoluée cette Maman , elle sait meme ecrire sans fautes , on est loin d une sapiens qui a son diasteme pré-canin qui verouille bien .alors fait gaffe quand meme , tapes pas trop fort .


Utilisateur banni

08/06/2021 à 08h56

C’est parce que Furwas nous parlait d’uppercut.
Voilà ce qui arrive avec un uppercut Furwas . Fracture bicondylienne. :) Qu’est-ce qu’il en dit notre boxeur ?:) ou alors t’en fractures qu’un des deux et t’as le visage asymétrique.
Je voulais l’induire en erreur avec une interposition linguale de ce type :
Quand j’y pense celle-là je lui aurais bien regardé quand même les condyles , mais comme elle se trouvait très bien comme ça et qu’elle ne voulait pas sortir son argent pour voir ce qu’on peut faire, elle est repartie comme ça :) ça lui dérange de taper sur les 7 mais elle ne veut rien faire

Dd666d83 e9a2 487d 9afe 1067d40ee179 ngtudk - Eugenol
Dee7fb37 e3c1 4715 a84c 2e50a56a3cf9 wqxsob - Eugenol

Vw campersurfvan bmnk1q - Eugenol
enlaye

08/06/2021 à 09h07

elle s en sort bien , avec sa fracture condylienne , ça a ete son dernier fusible qui a craqué .
pcq , on a pas trop à se plaindre , à part de tomber sur des super Furwass agressifs , finalement on est bien fait et tout est prevu pour amortir l appareil manducateur , afin dejà d en proteger a la fois les dents qui le constituent et le cerveau qui n est pas tres loin .
tu la sens venir , la theorie ?? :-))


Utilisateur banni

08/06/2021 à 09h28

la théorie de la gouttière linguale? ou tu veux reparler des 4.....?
quand je repense aux 4 , quand maman recule sa mandibule même en forçant elle tape à peine sur ses 4, . Si Furwas met un crochet à maman, il y a moyen qu'il lui casse les 4 et les condyles :)


Vw campersurfvan bmnk1q - Eugenol
enlaye

08/06/2021 à 11h03

la 4 ? dans ma théorie retenue ? non , enfin pas assez à mon gout . ,
sinon , je ne sais pas s il va te casser la bouche , le Furwass , tout dépend si tu continues à l énerver .
mais chance pour toi , on est quand meme bien conçu pour gerer les amortissements .
ça tombe bien , puisqu on parle d amortissement , je donne la soluce vite fait à Furwass pour l adoucir afin qu il t épargne :-) en attendant qu on en parle .

Wilson 1 hxvu5y - Eugenol

Vw campersurfvan bmnk1q - Eugenol
enlaye

08/06/2021 à 12h34

donc il a ete etabli que si dans le plan frontal , l interet de la courbe de Wilson , si d un point de vue cinematique , cette courbe favorisait la diduction ,
d un point de vue statique la concavité superieure de cette courbe permet de concentrer les contraintes vers le milieu de la face à travers ses piliers de resistance... etc et patin couffin
et que si la face presente une structure osseuse legere et aerée ( sinus ) , il faut comprendre que cette faiblesse apparente confère une capacité d absorption des contraintes liées à la souplesse de la structure .
bref que tout cela convergeait vers l apophyse Crista Galli

belle phrase , non ?
bon , il leur aura fallu 20 ans quand meme , hein,, avant d en extraire une phrase de ce que je racontais :-))
pcq eux ils n ont exploité mon delire que dans le sens frontal , mais moi comme je n etais pas dentiste mais shaper de surf , j avais plus le reflexe de reflechir en 3D :-)
du coup ma theorie initiale avait beaucoup plus de notions dynamiques que statiques et donc plus d explications quand aux contacts dento dentaires et donc de l orientation de l implantation des dents dans les 3 axes de l espace à savoir une sphère tordue style la sphere de Monson .
et en ce sens Atrax doit etre un peu mentaliste , pcq effectivement ce que je pense est induit de 1920 :-))


Vw campersurfvan bmnk1q - Eugenol
enlaye

08/06/2021 à 17h29

revenons à nos affaire
Maman , tu as dis , à juste titre , que tu étais plus confortable en OIM qu en RC tu fais donc parti de la majorité , sauf bien entendu si Furwass s occupe de ton cas :-) tu admets donc qu il y a un decalage ORC / OIM indispensable , tout au moins pour toi .
ce qui veut dire , que lorsque tu vas la fermer :-)
la mand aura un certain trajet à faire pour aller d une position arrière jusqu a la position d occlusion qui en est plus anterieure .
et sur ce trajet on risque de rencontrer en cours de route une cuspide interferente :-)
or on sait que pour eviter cela la courbe de spee est bénéfique ,
si de plus la mand arrive avec une incidence laterale on sait aussi que la courbe de wilson est adaptée pour .
donc :
* + la distance entre ORC / OIM est importante + les courbes Spee et Wilson devront etre prononcées
c est le 1 er levier d action .


Vw campersurfvan bmnk1q - Eugenol
enlaye

08/06/2021 à 18h17

on a besoin de guidage en fin de mvt pour glisser jusqu a l OIM .
ce guidage devant etre au plus loin de l axe charniere et forcement en arriere de la canine , il n y a pas le choix ce sera la 4 ( ou la 5 en position de 1 ere premo si vous voulez .) sur sa face mesiale

* donc + les cuspides de guidage sont grandes + le guidage se fera précocement et plus on evitera d interference posterieure .
une 4 ayant une cuspide palatine plus marquée que la 5 , elle est plus adaptée , meme si l on fait une rotaion mesiale de la cuspide palatine d une 5 en place de 4


Vw campersurfvan bmnk1q - Eugenol
enlaye

08/06/2021 à 18h21

autrement dit le guidage de fermeture et les courbes sont liées , si tu perds du guidage pm tu compenses par de la courbe et vice versa


Vw campersurfvan bmnk1q - Eugenol
enlaye

08/06/2021 à 18h25

si tu augmentes le decalage OIM / ORC , ( genre avancée des classes 2 ) il faut que tu augmentes de la courbe .


Vw campersurfvan bmnk1q - Eugenol
enlaye

08/06/2021 à 18h50

tu diminues le longueur de l arcade tu peux aplatir spee


Vw campersurfvan bmnk1q - Eugenol
enlaye

08/06/2021 à 19h08

c est le guidage de fin de mvt qui va ralentir et amortir la fin de la fermeture ,
donc plus ce guidage sera important , plus tu auras d amortis .
ce qui veut dire que + tu as de decalage ORC / OIM + l amortis sera important .

a l opposé si tu as un patient avec comportement tonique , musclé , , il aura + tendance a avoir + de contacts post avant même d être guidé en fin de mvt vers l oim . donc non seulement le guidage devra etre important
mais il sera aussi intéressant que cette sequence ( la sommation de pro glissements ) divise l impact final , et pour cela spee et wilson devront etres marqués


Utilisateur banni

08/06/2021 à 19h13

Toi tu décomposes la fermeture ( fermeture rectiligne et non masticatoire ) comme ça :
- RC
- puis cuspide qui guide de la RC jusqu’à l’OIM

Quand maman a la bouche fermée, elle est en OIM . Quand elle ouvre, elle est sur le trajet de sortie de l’OIM , quand elle ferme elle est déjà sur le trajet de fermeture pour accéder à l’OIM (elle est pas con maman , elle ne va pas partir de la RC pour se foutre en OIM, puisque justement le trajet d’ouverture et de fermeture est beaucoup plus agréable quand on n’est pas en RC)
Il y a tout simplement un trajet d’ouverture et de fermeture qui est propre à l’OIM.

Ceci étant je veux bien concevoir que la 14 et je dirais aussi les canines/incisives « encadrent » le mouvement de fermeture classique (ou rectiligne) dans le sens antéro postérieur. Et dans le sens vestibulo lingual , toutes les cuspides encadrent le mouvement.


Vw campersurfvan bmnk1q - Eugenol
enlaye

08/06/2021 à 19h26

maman. écrivait:
------
" Quand maman a la bouche fermée, elle est en OIM . Quand elle ouvre, elle est sur le trajet de sortie de l’OIM , quand elle ferme elle est déjà sur le trajet de fermeture pour accéder à l’OIM "

si tu l ouvres pour ne rien faire je veux dire pour aucune action particuliere , et juste pour refermer immédiatement , effectivement il n y a pas de mvt avant arriere et ça s appelle une parafonction :-) c est le tapoting .
il va de soit que cette parafonction , ne favorise pas l amortissement.
j ai parlé d un echantillon ,en pleine forme :-)))


Utilisateur banni

08/06/2021 à 19h37

Maman n'est pas certaine du tout que mettre la mandibule en RC même pour un échantillon de personnes ça soit une bonne solution.
Sur un sujet normal ça n'est pas agréable d'être en RC , donc je ne vois pas pourquoi chez une personne qui présente une pathologie , un traumatisme , ou une perte de dents ça serait tout d'un coup plus agréable de se mettre en RC.


Vw campersurfvan bmnk1q - Eugenol
enlaye

08/06/2021 à 19h53

une remarque toute fois , je dis spee par ci spee par là pour des raisons de compréhension de courbe transversale ou sagitale , je mélange les termes .
je préfèrerais dire courbe du haut , ce serait plus logique , mais elle n a pas de nom .
et lors de corrections occlusales importantes , , si la courbe du haut est un poil plus marquée que celle du bas , on est plus sur de moins se tromper . cela permet aussi l amortissement .


Vw campersurfvan bmnk1q - Eugenol
enlaye

08/06/2021 à 20h01

maman. écrivait:
------
" Sur un sujet normal ça n'est pas agréable d'être en RC , "
lorsque tu es en fonction , que ton atm travaille , tu es en RC voir plus haut ou plus reculé ou plus en dedans ou plus externe , on est par là pour le farniente , on bosse . ce n est pas une position de repos .
le decalage ORC / OIM est la detente de l atm
on est tout a fait d accord
à condition que ce decalage soit symetrique et bien axial


Vw campersurfvan bmnk1q - Eugenol
enlaye

08/06/2021 à 20h13

maman. écrivait:
------
" donc je ne vois pas pourquoi chez une personne qui présente une pathologie , un traumatisme , ou une perte de dents ça serait tout d'un coup plus agréable de se mettre en RC. "

absolument d autant plus que s il y a pathologie c est qu il n y a plus de centrée .
on parle alors de centrée pathologique ou de recherche de centrée therapeutique , enfin surtout on parle beaucoup pour ne pas faire grand chose , heureusement que l atm est bonne fille .


1...4567