Cookie Consent byPrivacyPolicies.comMucco 33 à 36 - Eugenol
Smile beach jgh0a1 - Eugenol
Céramik

05/06/2021 à 02h33

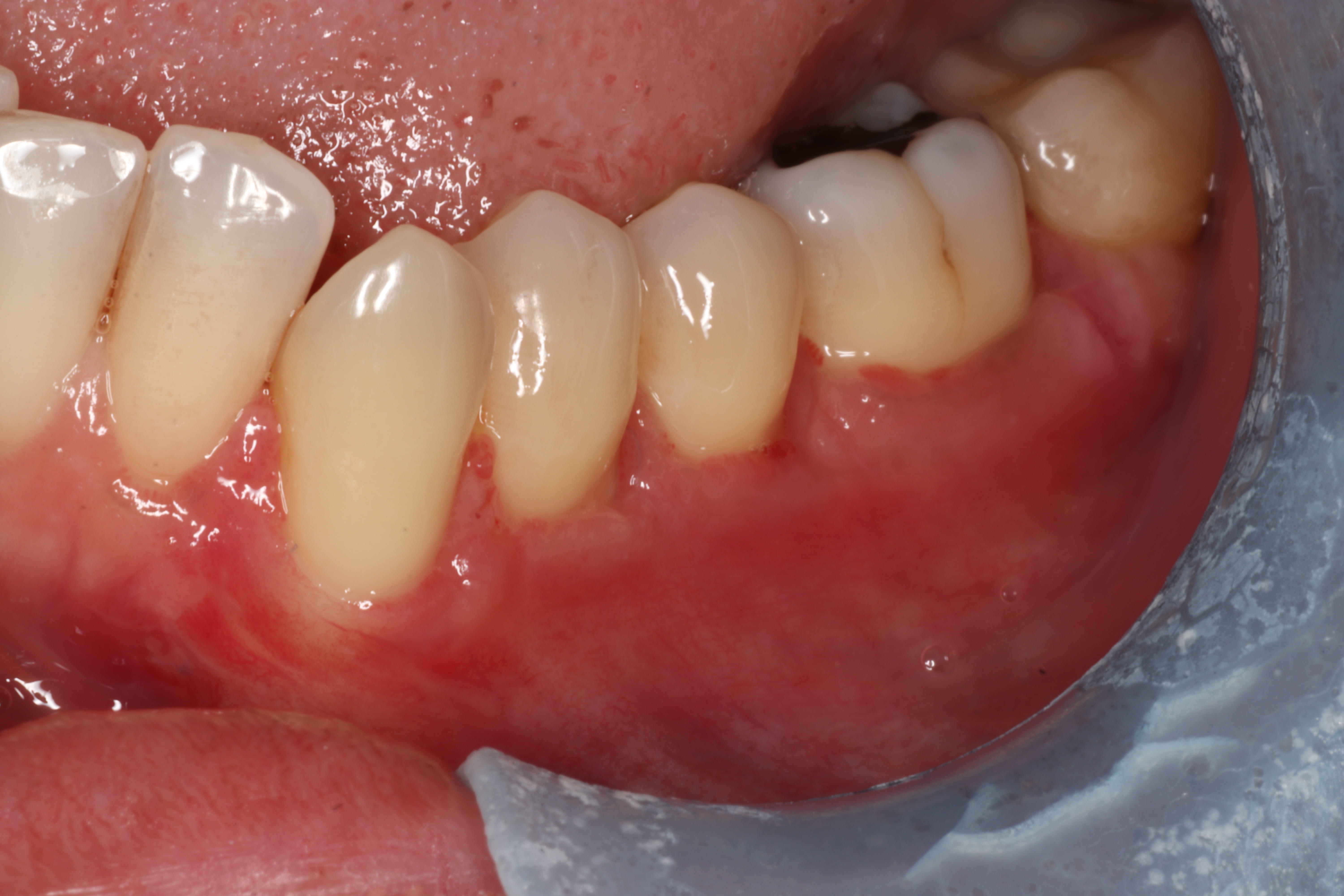
Contrôle à 14 jours, Zuchelli Style

Zone nettoyée curettes, piezo, fraises diamantés, EDTA.
Lambeau Zuchelli, avec décharge verticale en mésial.
Greffon palatin, dé-épithélialisé avec lame 15, sashimi style.
Sutures PGA 7-0 pour le greffon
Sutures Prolene 6-0 pour le lambeau




--
Céramik

Ikvdrtc8q90qmdpcpwza - Eugenol
Ras6lcxwes5qydvle9m2 - Eugenol
R4gcvqfvvysj5uwhqbzh - Eugenol
Xzl5qcmdmmmjcsw0bxfd - Eugenol
M7fmriurjismm4znymic - Eugenol
Zbnr2fpn0hw2bynj1ayh - Eugenol
Pavpbtenzrmgwtbriiwz - Eugenol
Bqsvyxqd5hymvcquoz9v - Eugenol
Robcgundorebpiz1ari5 - Eugenol

burnax

05/06/2021 à 07h30

Un gd plaisir de revoir la dentisterie du pays du sirop d 'érable et Céline Dion.
Très beau cas.
Merci


Utilisateur banni

05/06/2021 à 08h35

La petite planche en bois c’est pour que le greffon ne se faufile pas ?
C’est vrai que sur du métal ça a tendance à glisser… Maman est souvent très contrariée quand le morceau se déplace lors de la préparation.
Les cuisiniers travaillent souvent sur du bois . Les préparateurs de Sushis ils travaillent sur une planche de bois quand ils découpent leurs fines tranches de poissons . Est-ce qu’il existe des petits yanagibas qui permettraient de préparer plus facilement le greffon ….


Zorba le grec 1373406512 108 lfk5ey - Eugenol
zorbalegrec

05/06/2021 à 08h49

Mamman tu prends un écarte langue ça suffit


Smile beach jgh0a1 - Eugenol
Céramik

07/06/2021 à 15h36

-


clarafon

07/06/2021 à 15h51

Bonjour ceramik,
Aurais-tu une image de la zone de prélèvement à nous montrer s'il te plait ?
Tu vas de quel secteur à quel secteur pour avoir une longueur aussi importante?
Merci


Smile beach jgh0a1 - Eugenol
Céramik

07/06/2021 à 16h30

de 3 à 7 environ
Pas de photo de la zone sorry



--
Céramik


Smile beach jgh0a1 - Eugenol
Céramik

07/06/2021 à 16h30

Voilà


zorbalegrec écrivait:
-----------
> Mamman tu prends un écarte langue ça suffit


--
Céramik


eugeneol

07/06/2021 à 17h03

c'est joliment fait , chapeau bas
question certainement très bête : aucune intervention sur les collets ?


CT

07/06/2021 à 17h19

eugeneol écrivait:
--------
> c'est joliment fait , chapeau bas
> question certainement très bête : aucune intervention sur les collets ?

J'avais la même question:)


eugeneol

08/06/2021 à 13h29

tu crois qu'il nous snobe ?


CT

08/06/2021 à 13h59

Céramik écrivait:
-------
> Contrôle à 14 jours, Zuchelli Style
>
> Zone nettoyée curettes, piezo, fraises diamantés, EDTA.

J'imagine qu'avec les fraises diamantés tu as adouci le bombé vestibulaire?
Et avec la piezzo?




Smile beach jgh0a1 - Eugenol
Céramik

09/06/2021 à 02h40

eugeneol écrivait:
--------
> c'est joliment fait , chapeau bas
> question certainement très bête : aucune intervention sur les collets ?

Tu parles de compo ? non


--
Céramik


Smile beach jgh0a1 - Eugenol
Céramik

09/06/2021 à 02h41

CT écrivait:
--
> Céramik écrivait:
> -------
> > Contrôle à 14 jours, Zuchelli Style
> >
> > Zone nettoyée curettes, piezo, fraises diamantés, EDTA.
>
> J'imagine qu'avec les fraises diamantés tu as adouci le bombé vestibulaire?
> Et avec la piezzo?
>
>
>
piezon ou US, pour nettoyer


--
Céramik


Smile beach jgh0a1 - Eugenol
Céramik

13/06/2021 à 23h58

CT écrivait:
--
> Céramik écrivait:
> -------
> > Contrôle à 14 jours, Zuchelli Style
> >
> > Zone nettoyée curettes, piezo, fraises diamantés, EDTA.
>
> J'imagine qu'avec les fraises diamantés tu as adouci le bombé vestibulaire?
> Et avec la piezzo?
>
>
>
oui, adoucir la jonction racine/email

--
Céramik


Smile beach jgh0a1 - Eugenol
Céramik

13/06/2021 à 23h58

eugeneol écrivait:
--------
> tu crois qu'il nous snobe ?

Non, juste occupé


--
Céramik


S2y2o1v7q53ws4r5wy6ou8czrpom - Eugenol
pxav

14/06/2021 à 07h42

burnax écrivait:
------
> Un gd plaisir de revoir la dentisterie du pays du sirop d 'érable et Céline
> Dion.
> Très beau cas.
> Merci

C'est clair, ça fait plaisir de te lire Ceramik, toujours aussi bon...

--
xbk
La connaissance s'acquiert par l'expérience, tout le reste n'est que de l'information." ALBERT EINSTEIN