Cookie Consent byPrivacyPolicies.comPhotos travaux teinte A0 - Eugenol
Nouveau image bitmap fz77zh - Eugenol
Sethef

18/06/2021 à 14h46

Salut à tous.
Je réalise en ce moment un gros boulot antérieur à une jeune, la quarantaine, qui souhaite des dents "blanches".
A priori j'étais bien parti pour lui sortir du A1, déjà ça me fait un peu mal visuellement, je lui ai montré sur le teintier, sa première réflexion a été "mais c'est jaune..."

J'aimerais lui éviter le dentier de carnaval; l'un d'entre vous aurait-il des photos de teintes "plus claires que le A1", afin de pouvoir valider ou non avec son accord?

Je n'en ai pas, ce n'est pas franchement dans mes habitudes de travail.


Et7jtaj0pdi18gzjlxjiamlx15gs - Eugenol
Prunelles

18/06/2021 à 15h41

C'est pour de l'adjointe ou de la conjointe ?

Tu cherches des photos de teinte "bleach" façon US ?

Teeth bleaching results p9hzld - Eugenol

Nouveau image bitmap fz77zh - Eugenol
Sethef

18/06/2021 à 16h26

Adjointe en haut, conjointe en bas.


Et7jtaj0pdi18gzjlxjiamlx15gs - Eugenol
Prunelles

18/06/2021 à 16h42

Sethef écrivait:
------
> Adjointe en haut, conjointe en bas.

Tu peux pas demander un essayage esthétique pour l'adjointe en haut de façon à bloquer une teinte avant de faire la conjointe en bas ?


doagui

18/06/2021 à 18h37

Demander à faire l'essayage avec un proche... histoire qu'elle ne revienne pas 1 semaines après la pose, toute honteuse, demander à tout changer parce que son entourage lui aura rit au nez.


Nouveau image bitmap fz77zh - Eugenol
Sethef

18/06/2021 à 20h55

Niente, le haut est en provisoire, teinte A2 A3, et le bas doit être fini avant l'été.
Haut budget, hautes exigences, haut potentiel d'emmerdes.

Prunelles écrivait:
---------
> Sethef écrivait:
> ------
> > Adjointe en haut, conjointe en bas.
>
> Tu peux pas demander un essayage esthétique pour l'adjointe en haut de façon à
> bloquer une teinte avant de faire la conjointe en bas ?


Blue eye thumb medium dx1i0w - Eugenol
bill

19/06/2021 à 00h09

Valider sur des photos ne me semble pas une bonne idée, la carnation, la couleur des lèvres etc. ne correspondront probablement pas et le résultat ne sera pas reproductible...
S'il y a le budget, pourquoi ne pas faire une réplique provisoire de l'adjointe, juste les antérieures, dans la teinte souhaitée pour essayer, éventuellement avec une gouttière thermoformée qui ne coûte quasiment rien ?


--
https://docudent.fr
Tous les documents du cabinet dentaire
& l'aide à la cotation du Reste à Charge 0
________________________________________


Vw campersurfvan bmnk1q - Eugenol
enlaye

19/06/2021 à 07h55

Pour ceux ou celles qui veulent du blanc de blanc , ce n est pas negociable .
Ils ont ça dans le tête , c est terminé .
Au debut tu as honte , et finalement , tu t y habitues , presque c est ta fierté .


humator2

19/06/2021 à 08h37

c'est trop bo!!

21802618lpw 21802702 article richard anconina theatre jpg 8002327 1250x625 hxxpdt - Eugenol

Pierre logo clykpp - Eugenol
Denteo33

19/06/2021 à 13h08

S’il a le budget, il ne fait pas d’amovible.


4a338550 6a5b 47ea b2a7 d3cb675c5076 oni5gh - Eugenol
𝕱𝖎𝖘𝖙𝖚𝖑𝖊

19/06/2021 à 13h33

En 2012...
C’était Mieux avant !
😷😎

C64530e8 b5a4 41db 86ec d8595ced9049 woxbyx - Eugenol

Nouveau image bitmap fz77zh - Eugenol
Sethef

19/06/2021 à 13h48

Denteo33 écrivait:
--------
> S’il a le budget, il ne fait pas d’amovible.

Y'a le budget mais y'a pas l'os.

Et elle m'a planté mon rdv de midi, les nouveaux bourgeois c'est les pires emmerdeurs qui soient.


Nouveau image bitmap fz77zh - Eugenol
Sethef

19/06/2021 à 13h57

La matinée commençait bien, j'ai posé un boulot splendide, d'une complexité comme rarement, sur un mec hyper sympa; et à midi l'autre zouave que j'ai très manifestement réveillée, alors qu'on bosse en délais serrés.
Boulot simple sur le papier, mais je sens que j'ai pas fini de la revoir, j'aurais mieux fait de passer mon tour.


Nouveau image bitmap fz77zh - Eugenol
Sethef

19/06/2021 à 16h06

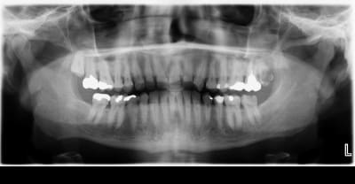
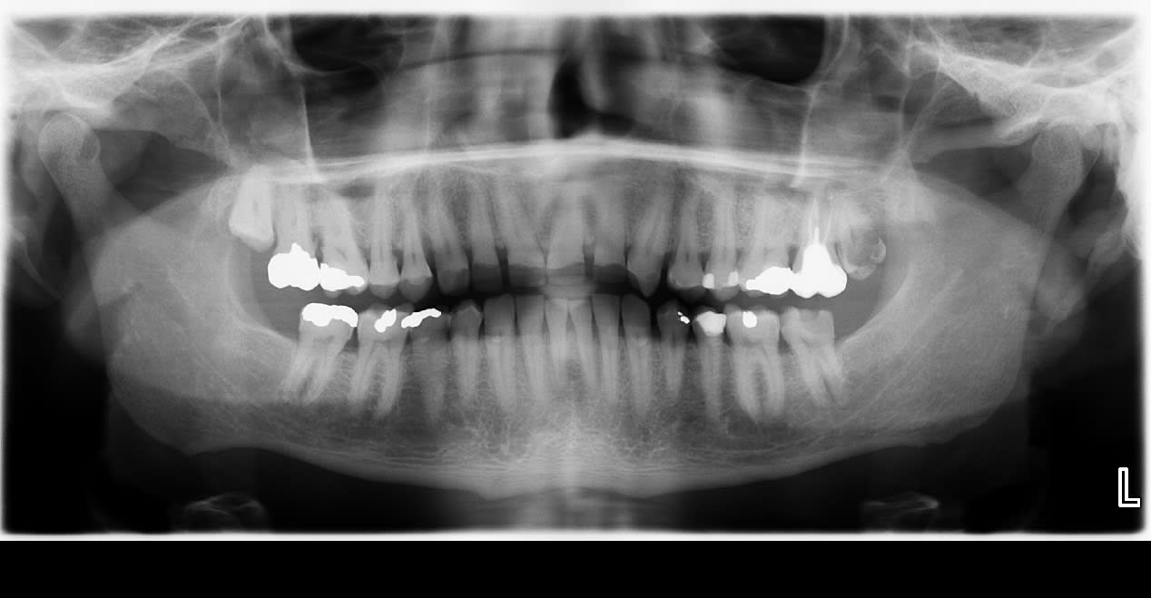
Tiens, j'en ai marre de ce cas, du coup je vous pose une colle sur celui de ce matin:

Sur la base de sa seule pano, saurez-vous trouver comment a fait ce sympathique monsieur pour bouffer jusqu'au trognon ses antérieures entre 14 et 24?

Récupéré quand 11 s'est fracturée à ras, mais il ne restait qu'une fine pellicule d'émail pour les autres.

Pano ftrqey - Eugenol

Vw campersurfvan bmnk1q - Eugenol
enlaye

19/06/2021 à 18h02

Occlusion interferente ( croisée ? ) 45


Index vakr2r - Eugenol
pgc

19/06/2021 à 20h27


Il ronge et mordille un truc très dur?
Pour ta patiente qui aime le blanc, elle t'a fait connaître son souhait. Fais lui du bleach elle sera contente.


Pubg2 rjl8jc - Eugenol
lemondestvaste

19/06/2021 à 20h56

Natation a haute dose ?


Olieve

19/06/2021 à 21h56

Il ne serait pas en classe III avec articulé-croisé antérieur et l'usure concerne les faces vestibulaires ?


Vw campersurfvan bmnk1q - Eugenol
enlaye

19/06/2021 à 23h12

hummm pas sur , il a dit :
"Récupéré quand 11 s'est fracturée à ras, mais il ne restait qu'une fine pellicule d'émail pour les autres."
s il etait en articulé-croisé ant , il resterait la face palatine et les cingulum intacts costauds
et ça n expliquerait pas les diastèmes du haut .


Nouveau image bitmap fz77zh - Eugenol
Sethef

19/06/2021 à 23h51

Pas d'articulé croisé, ni la 45 ni aucune.

Pour PGC, je me suis effectivement demandé si sa pratique de la plongée n'avait pas accéléré l'histoire, mais (je ne crois pas qu') il s'agissait de la cause première.


Nouveau image bitmap fz77zh - Eugenol
Sethef

19/06/2021 à 23h55

Pour info, 5 6 7 ne sont presque pas usées, tout au plus des pentes cuspidiennes un peu plates. A l'inverse, de 14 à 24, c'est razibus.
Et le mr a comme il se doit des masseters de champion.


Et7jtaj0pdi18gzjlxjiamlx15gs - Eugenol
Prunelles

20/06/2021 à 06h36

C’est quoi ces histoires de natation et de plongée ?


Nouveau image bitmap fz77zh - Eugenol
Sethef

20/06/2021 à 08h58

Pour la natation je sais pas, pour la plongée il mord sur le détendeur en caoutchouc.


mla3

20/06/2021 à 09h26

distillation d'indices... technique importée du Var.

Sthef w5rsmh - Eugenol

Vw campersurfvan bmnk1q - Eugenol
enlaye

20/06/2021 à 11h16

:-))) "Sur la base de sa seule pano "
Bandit :-)
Effectivement , atm bien rondes , diastemes dents du haut ....tout concorde .


12